Cookie Consent byPrivacyPolicies.comcouleur gencive ? - Eugenol

couleur gencive ?

maz

02/12/2011 à 00h45

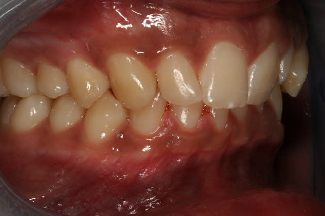
ce jeune (20 ans) patient que je vois pour la première fois me dis que ces gencives, depuis 3-4 mois prennent cette couleur plus marron en antérieur, et que ça a progressé petit à petit du centre vers les cotés


je lui ai clairement dit que je n'avais aucune idée de ce que c'était, mais que j'essaierais de me renseigner avant de l'adresser à un stomato, après l'avoir rassuré en disant que, je cite : "ce n'est pas grave !"

bref, savez vous de quoi il s'agit ?

Couleur gencive 2 ozmt2v - Eugenol
Couleur gencive 3 nyb69n - Eugenol
Couleur gencive 1 j9gver - Eugenol

Avatar hjdsnm - Eugenol
TiGabi

02/12/2011 à 07h54

Colorations ethniques ?


maz

02/12/2011 à 09h24

il est tout blanc tout maigrichon !

et je pensais que les colorations ethniques étaient en place depuis l'enfance, même si en fait je n'en sais rien


Kon nx3ojp - Eugenol
Kon

02/12/2011 à 12h46

Il est heureux en ce moment, il sourit et rit donc d'avantage et sa gencive a bronzé puisque plus exposée aux rayonnements UV du soleil.

Nous ne voyons pas d'autres explications


G-P

02/12/2011 à 12h56

Bain de bouche en continu ? Tabagique ? Alcoolisme ? Centre de blanchiment en Turquie ?


maz

02/12/2011 à 21h35

G-P écrivait:
-------------
> Bain de bouche en continu ? Tabagique ? Alcoolisme ? Centre de blanchiment en
> Turquie ?

je vais lui demander si il faisait systématique des bains de bouches le matin après ses nuits à chiquer et boire du raki !


flicflac

03/12/2011 à 23h26

mélanose tabagique? Il est sûrement fumeur, arrêt de fumer et couleur normal revient au bout de 6 à 9 mois


maz

03/12/2011 à 23h53

Pourquoi pas, ça ne peut pas faire de mal, je pourrais toujours lui proposer !


flicflac

04/12/2011 à 02h53

il est fumeur? combien de cigarettes par jour?