Cookie Consent byPrivacyPolicies.comje l'ai revue hier - Eugenol

je l'ai revue hier

Zoe   son arriv e whwqpj - Eugenol
emma

02/12/2011 à 18h18

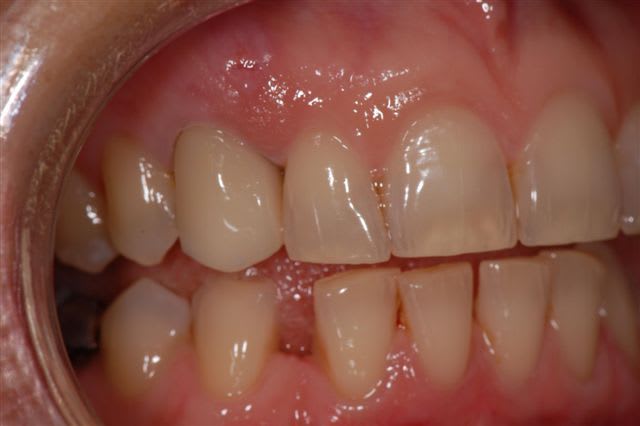
ma première pièce de CEREC faite en 2006 sur la 13, l'intégration gingivale est vraiment top avec le tout ceram, ne trouvez vous pas?

La patiente est partie juste après à la Réunion, elle vient de rentrer et a repris contact avec moi pour contrôle.



emma

012 ukwiak - Eugenol

Marque a3 orange fyvhyq - Eugenol
Marc Apap

02/12/2011 à 18h38

Et pourtant, il y en a qui posent des Cerec à La Réunion aussi. J'en ai rencontré !


Smile beach jgh0a1 - Eugenol
Céramik

03/12/2011 à 20h45

Sympa.

Dire que plusieurs ne pensent qu'au CCM pour les canines...

Pour la gencive, il n'y a guère mieux que le tout céram (le tout or, c'est pas joli).

Tu avais vu la 11 posée il y a 14 ans... ?

http://www.eugenol.com/sujets/394893-posee-il-y-a-ans


--
Céramik


Zoe   son arriv e whwqpj - Eugenol
emma

04/12/2011 à 12h16

Céramik

>
> Tu avais vu la 11 posée il y a 14 ans... ?
>
Superbe comme d'habitude.
Ça réconforte de voir que les reconstitutions " couronnes sur dents vivantes" ne posent pas de problème, quand je lis que certains continuent à dévitaliser systématiquement avec inlay core métallique en sus, mes cheveux se dressent sur la tête!

--
"je préfère vivre en optimiste et me tromper, que vivre en pessimiste et avoir toujours raison"

emma


200106 10150128247663588 709988587 6466236 5598391 n d7mksb - Eugenol
hallboy

04/12/2011 à 14h23

tres tres joli!!