Cookie Consent byPrivacyPolicies.comgermectomie 44 à 9ans - Eugenol

germectomie 44 à 9ans

DMD

02/12/2011 à 18h52

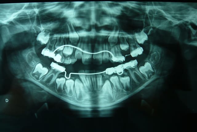
Petit cas de germectomie peu fréquente envoyé par l'ODF.

Sur un couloir de 17 mm, 3 germes se bousculant , décision d'extraction de la 44 (ODF).
Patient asa 1, 9ans.

Protocole choisi :
-lambeau vestibulaire à décharge trapézoîdale, à distance du foramen mentonier.
-décollement individualisation du foramen et protection lors de l'écartement
-morcellement simple de la dent et extraction..
- sutures

Votre avis ?
Cdt .

P1050856 fqpzuz - Eugenol
P1050860 xrpshe - Eugenol
P1050855 o7wrz0 - Eugenol
P1050858 pz9y1w - Eugenol
P1050862 blx7oi - Eugenol
P1050859 mtxcek - Eugenol

Avatar hjdsnm - Eugenol
TiGabi

02/12/2011 à 22h48

Bonsoir,

Au niveau technique, c'est propre, net : merci d'avoir pris le temps de faire des photos.

Au niveau indication, je ne suis pas d'accord : l'intervention me semble précipitée.
Il n'est pas possible de prédire la quantité de croissance qu'aura cet enfant de seulement 9 ans.
Le manque d'espace relatif actuel est dû à la mésioversion de 46. La petite boucle du mainteneur n'est pas suffisante pour corriger cette version.


laurent 02

03/12/2011 à 11h10

J'le ferai pas à mon fils ou ma fille.
Pourquoi pas enlever les 8 pendant qu'on y est...........


RépondreCiter
Icon poker h4nm2d - Eugenol
jeff

03/12/2011 à 12h07

17mm, pour mettre 3 dents de 7mm, soit 21 mm. Déficit de 4 mm : Un D-gainer ( collage incisif avec ressort niti faible pour recréer de l'espace en étant legerement plus actif que la croissance naturelle).Ne pas oublier que c'est des germes de dents adultes, dans une mâchoire d'enfant, l'encombrement est quasi normal. Mais c'est trop tard..
Maintenant, on s'achemine vers germectomie de 34 14 et 24..
Je ne vois pas l'interet du mainteneur d'espace, alors, a part encaisser un semestre.
Orthodontie d'un autre age...
Difficile pour le chirurgien de contre-dire le confrere ODF, mais a méditer quand même .


 mg 0207 xwjxcl - Eugenol
Tillc

03/12/2011 à 20h22

En tout cas la chirurgie nikel . Propre de A a Z . Peut etre qu'avec un fil plus fin du obtiendrais une meilleurs cicat . Mais bon ca reste juste du detail dans ce genre de chirurgie.


B0007 r0bvlj - Eugenol
dentiste vignoble alsace

04/12/2011 à 21h52

Ah quand on aime ouvrir on peut pas s'en empêcher.
Mais je suis d'accord avec les posts précédents j'aurais demandé un deuxième avis ortho.


Loukoumparisien

05/12/2011 à 18h41

On m'a une fois adressé un cas similaire sauf que la 44 était incluse avec 43 et 45 presque en contact proximal.

Après avoir demandé un scann je me suis aperçu qu'en allant chercher le germe il fallait passer à travers le foramen mentonnier...

j'ai donc préfér m'abstenir ^^

pas de soucis de paresthésie de ton côté?
comment t'as géré le foramen?


DMD

05/12/2011 à 20h09

Hello, merci pour vos réponses :

@jeff : ton analyse odf des distances est intéressante et permet de méditer...
L'indication odf des extractions étant posé par un service CHU d'odf et doublement vérifié : en effet extract des 14/24/34/44

Pour la technique chirurgicale :
-cone beam réalisé avant l'acte permettant de visualiser le foramen situé ici entre germe de 4 et 5 donc inévitable lors de la chirurgie.
- choix d'un lambeau avec décharges et à distance du foramen permettant de l'individualiser avec un décollement prudent. Puis protection idéalement par un écarteur non compressif :
séparation dentaire de la partie haute de la couronne permettant un dégagement osseux moindre, ainsi restant à distance de 2mm du foramen..

(foramen et pédicule mentonnier visible sur la photo avec l'extraction ).

Pas encore vu le jeune patient, je vous signalerai si accident nerveux lors de la cicat.

Cdlt..


azerty

07/12/2011 à 14h03

ce qui est sur, c'est que je ne ferai pas ca a mon gamin.
faut pas déconner qd meme! y a pas le feu!


RépondreCiter