Cookie Consent byPrivacyPolicies.comNouveau coffret " Composculp du Dr Dietschi" - Eugenol

Nouveau coffret " Composculp du Dr Dietschi"

Logo qw3xdt - Eugenol
dds

13/12/2011 à 23h39

steph écrivait:
---------------
> On s'en fout de ça.
>
> Ce qu'il faut voir c'est la mise en avant de la dentisterie adhésive, et la
> place de paro pour maintenir les tissus stables et sains dans le temps, le soin
> apporté aux provisoires...
>
> De la dentisterie globale, à haut niveau.

Je suis tout à fait d'accord.
C'est juste le reproche que je ferais, mais en même temps, c'est un site anglo-saxons, donc c'est logique.
Je ne remets pas en cause la qualité des travaux.
Le résultat esthétique recherché est juste différent avec la "vieille Europe"


--
Normal is not something to aspire to, it's something to get away from


Grueavatar nptrc9 - Eugenol
Le Choixpeau magique

14/12/2011 à 00h17

Marc Apap écrivait:
-------------------
> Je viens d'aller voir le site de Chasolen : encore un qui se prend pour Dieu !

Il est assez conscient de son haut niveau... qui est à des années lumières des cas qu'on voit dans les revues françaises (Cahiers de prothèse, stratégie prothétique).

Là bas ils ont des prosthodontists, des spécialistes en prothèse qui ne font que ça, à un très haut niveau. Il a une journée dans sa semaine spéciale pour les bouches complètes... le reste du temps il ne fait "que" de la prothèse par quadrant.


maz

14/12/2011 à 00h18

merci pour les liens !

le resultat esthétique est tout bonnement ... horrible !
mais il faut pas dire "j'aime pas" ... il faut dire : "je comprends pas"
donc je peux dire que je comprends pas comment ils font pour faire des sourires aussi moches !

ensuite sur ce qu'il fait, je sais pas, pour ses gestions de la furcation par exemple, je ne suis pas assez versé en paro pour savoir si c'est une bonne chose ou pas

j'ai surtout l'impression de voir du travail à l'ancienne, bien fait, mais peu de recherche de préservation maximale des dents, plutôt la couronne systématique ; si possible sur 32 dents.
je préfère ce que nous montre céramik avec ses jolis collages un peu trop blancs ;p

et puis le mec a pas l'air super aimable, bien américain dans ses post, contrairement à jason smithson qui avec sa touche anglaise à l'air beaucoup plus sympa


Grueavatar nptrc9 - Eugenol
Le Choixpeau magique

14/12/2011 à 00h24

dds écrivait:
-------------
> Le résultat esthétique recherché est juste différent avec la "vieille Europe"

Oui, c'est du beau blanc lavabo.
Mais sérieusement le gars l'esthétique il s'en fout. Il faut voir le design de ses CCM postérieures avec bandeau métal périphérique surtout pas enfoui, morphologie de dépouille partout et métal apparent au dessus de la furcation sur toute la hauteur, encore une fois pour ne pas avoir de surcontour.
Ces gars là font aussi beaucoup d'or, onlays et même couronnes coulées en or sur les deuxièmes molaires.
Chaque patient qui reçoit une couronne est d'abord mis sous provisoire cuite réalisée au cabinet (comme Steph) et doit aller voir le paro pour élongation coronaire à sa façon + greffe conjonctive avec 4 mois de cicatrisation.

De la dentisterie que tout dentiste aimerait avoir dans sa bouche, sans aucune concession.


Logo qw3xdt - Eugenol
dds

14/12/2011 à 00h31

Le Choixpeau magique écrivait:
------------------------------
> dds écrivait:
> -------------
> > Le résultat esthétique recherché est juste différent avec la "vieille Europe"
>
> Oui, c'est du beau blanc lavabo.
> Mais sérieusement le gars l'esthétique il s'en fout. Il faut voir le design de
> ses CCM postérieures avec bandeau métal périphérique surtout pas enfoui,
> morphologie de dépouille partout et métal apparent au dessus de la furcation sur
> toute la hauteur, encore une fois pour ne pas avoir de surcontour.
> Ces gars là font aussi beaucoup d'or, onlays et même couronnes coulées en or sur
> les deuxièmes molaires.
> Chaque patient qui reçoit une couronne est d'abord mis sous provisoire cuite
> réalisée au cabinet (comme Steph) et doit aller voir le paro pour élongation
> coronaire à sa façon + greffe conjonctive avec 4 mois de cicatrisation.
>
> De la dentisterie que tout dentiste aimerait avoir dans sa bouche, sans aucune
> concession.

Perso, je suis pas sûr de vouloir des ccm sur toutes mes dents.
Après la paro, et le résultat, c'est sûr que c'est sympa...

--
Normal is not something to aspire to, it's something to get away from


Grueavatar nptrc9 - Eugenol
Le Choixpeau magique

14/12/2011 à 00h35

maz écrivait:
-------------
> ensuite sur ce qu'il fait, je sais pas, pour ses gestions de la furcation par
> exemple, je ne suis pas assez versé en paro pour savoir si c'est une bonne chose
> ou pas

C'est leur dada, un truc que les autres paros ne font pas, mais quand on voit leurs résultats, avec une gencive toujours extraordinaire, the proof is in the pudding.

>
> j'ai surtout l'impression de voir du travail à l'ancienne, bien fait, mais peu
> de recherche de préservation maximale des dents, plutôt la couronne systématique
> ; si possible sur 32 dents.

La couronne systématique c'est vrai, ce sont des prosthodontists.
Mais par contre leurs prépas sont minimales, le moins d'endo possible (on est aux Etats Unis où l'endo est payante), les IC sont une rareté, et ils récupèrent des dents bien massacrées que beaucoup auraient extrait. Ils bossent en Floride avec une clientèle majoritairement au dessus de 65 ans, les facettes sur des dents saines de 20 ans c'est pas leur truc...


> je préfère ce que nous montre céramik avec ses jolis collages un peu trop blancs

En CCC ils ne font que de la feldspathique collée.

> et puis le mec a pas l'air super aimable, bien américain dans ses post,
> contrairement à jason smithson qui avec sa touche anglaise à l'air beaucoup
> plus sympa

Il a la satisfaction de l'expérience acquise avec son âge. Mais si tu le lis un peu plus tu verras qu'il est très humain. Jason Smithson en plus d'être européen (les anglais sont des européens ?) est beaucoup plus jeune.


maz

14/12/2011 à 00h40

quand je vois la lettre à son prothésiste, j'ai un peu envie de lui mettre des claques

"Please call to discuss this if it is not clear from the letter. I document this to you so that we can have a better restorative outcome and a good long term relationship. I realize that you deal with many “cosmetic” dentists that are unaware of the relationship between restorative dentistry and periodontal health. This information may be very helpful to their long term success. "

il fait la lettre pour avoir une bonne relation durable et une bonne communication avec son prothé, mais il l'appelle même pas et lui dit que lui peut l'appeller si lui a un problème ... et il lui glisse même au passage qu'il devrait faire faire ça a ses autres dentistes qui sont des quiches ... niveau humain, j'ai vu mieux

c'est vrai que ça me donne un a priori négatif sur le bonhomme


maz

14/12/2011 à 00h44

Le Choixpeau magique écrivait:
------------------------------

> C'est leur dada, un truc que les autres paros ne font pas, mais quand on voit
> leurs résultats, avec une gencive toujours extraordinaire, the proof is in the
> pudding.

c'est tellement facile de ne montrer que les choses qui réussissent, j'ai tendance à me méfier des grands donneurs de leçon, encore une fois c'est plus sur la forme que sur le fond, ou je ne suis pas assez calé en paro et occluso pour juger de l'intérêt, mais faire des mini faces occlusales du coup, ça me plait pas trop d'instinct.


Grueavatar nptrc9 - Eugenol
Le Choixpeau magique

14/12/2011 à 00h56

maz écrivait:
-------------
> c'est tellement facile de ne montrer que les choses qui réussissent, j'ai
> tendance à me méfier des grands donneurs de leçon, encore une fois c'est plus
> sur la forme que sur le fond, ou je ne suis pas assez calé en paro et occluso
> pour juger de l'intérêt, mais faire des mini faces occlusales du coup, ça me
> plait pas trop d'instinct.

A la fac on nous a appris que la morpho vestibulaire ne devait pas être trop en surcontour sinon il n'y avait pas assez d'automassage de la gencive par les aliments, mais assez protubérante quand même pour protéger de l'impaction.
Eux te disent qu'il ne faut aucun surcontour et font des dents de dépouille de l'os jusqu'à la face occlusale. Ca leur donne certes une tronche très bizarre, mais quand tu vois la superbe gencive on peut effectivement se dire que l'histoire de la protection contre l'impaction est un mythe.
Lis un peu plus, et tu comprendras pourquoi le type est aussi respecté là bas, et que ce n'est pas du tout son genre de montrer un truc si il n'y croit pas à 200%.


maz

14/12/2011 à 09h15

au final qu'est ce qu'on voit, des gens qui n'ont pas un grave problème paro, puisque ce ne sont que des atteintes de la furcation de classe I

qui sont traités en sortant la totale à chaque fois, tout remettre à plat, chir paro, réhabilitation prothétique complète
heureusement qu'il a de bons résultats !

mais autant ces cas sont impressionnants parce qu'il montre de beaux exemples de mauvaise dentisterie avant son traitement, autant ses resultats sont bons, mais la méthode est peu "conservatrice" et peu "biomimétique". du coup ça me fait pas réver parce que ce n'est pas la dentisterie que j'ai envie de faire, mais c'est très personnel.

ce sont à ses talents de vendeur de solution complète qu'il faudrait s'intéresser, il a l'air fort !


Marque a3 orange fyvhyq - Eugenol
Marc Apap

14/12/2011 à 11h19

Effectivement, tous ces gars là ont avant tout d'excellents talents de vendeurs. Ils sont aussi de bon techniciens, ce qui fait d'eux des dentistes admirés.
La dentisterie adhésive qui passe par les onlays au lieu de couronnes est à la mode parce qu'il faut bien se moderniser et trouver de nouvelles voies pour publier ou attirer le chaland. Elle est intéressante du point de vue conceptuel, moins d'un point de vue pratique et esthétique. Dans 10-15 ans, les dents onlaytisées seront toutes bicolores car la teinte de la dent change contrairement à celle de l'onlay.
Une bonne dentisterie ne devrait pas être celle de réhabilitations orale complètes, sauf exception ou réel besion médical.
Chez ce genre de praticiens américains ou canadiens, ce que nous admirons est une dérive du système vers l'ostentatoire, le paraître au lieu de l'être, bref, le superficiel. Le fait que les réalisations soient d'excellente qualité technique ne compense en aucune manière leur vanité.


Grueavatar nptrc9 - Eugenol
Le Choixpeau magique

14/12/2011 à 13h50

maz écrivait:
-------------
> au final qu'est ce qu'on voit, des gens qui n'ont pas un grave problème paro,
> puisque ce ne sont que des atteintes de la furcation de classe I

D'accord, mais avec les classe II et III de toute façon la dent est le plus souvent bonne pour la poubelle.

>
> qui sont traités en sortant la totale à chaque fois, tout remettre à plat, chir
> paro, réhabilitation prothétique complète
> heureusement qu'il a de bons résultats !

Franchement, je pense que c'est très dur de faire accepter à tous ses patients de faire la totale, en sortant $$$ (tu ne peux même pas imaginer le niveau de ses honoraires), en passant de longs mois avec des provisoires, avec des aller et retour chez le paro, l'endo, le chir si il y a des implants. C'est beaucoup plus dur que de faire une couronne dans des conditions pas idéales, sans paro qui embête le patient... Ce gars a eu les couilles de se lancer dans un projet risqué, faire l'exercice le plus haut de gamme sans aucune concession, je vois pas comment on peut trouver ça facile.

>
> mais autant ces cas sont impressionnants parce qu'il montre de beaux exemples de
> mauvaise dentisterie avant son traitement, autant ses resultats sont bons, mais
> la méthode est peu "conservatrice" et peu "biomimétique". du coup ça me fait pas
> réver parce que ce n'est pas la dentisterie que j'ai envie de faire, mais c'est
> très personnel.

Faut arrêter l'hypocrisie, les soins les plus conservateurs sont les compos directs, point. Quoi qu'en dise Magne, il n'y a aucune preuve scientifique de l'avantage de la dentisterie indirecte sur les compos directs. Après chacun place le curseur conservation/rentabilité là où il est le plus à l'aise.

Allez juste pour le fun:
http://www.towniecentral.com/MessageBoard/thread.aspx?s=2&f=101&t=176132&r=2693567
http://www.towniecentral.com/MessageBoard/thread.aspx?s=2&f=101&t=174238&r=0
http://www.towniecentral.com/MessageBoard/thread.aspx?s=2&f=101&t=176251&v=0


maz

14/12/2011 à 15h00

Magne cite une étude d'un gars d'europe du nord (je les confonds tous) qui a fait un suivi de ses amalgames sur 12 ans, puis un suivi de ses compos sur 12 ans
Opdam dans J Dent Des 2010 : 12 years survival of composite vs amalgam restorations
il trouve de meilleurs taux de survie et moins de fracture sur les composites, même chez les groupes de patients à haut risque carieux
et magne nous explique quand dans cette étude, le gars fait pas d'indirect, et qu'il fait des compos 4 ou 5 faces.

merci pour les liens, très sympa les cas de compo extrême, un jour je tenterais des trucs du style !
par contre, les couronnes en compo, c'est un peu abusé !


Grueavatar nptrc9 - Eugenol
Le Choixpeau magique

14/12/2011 à 16h16

maz écrivait:
-------------
> merci pour les liens, très sympa les cas de compo extrême, un jour je tenterais
> des trucs du style !
> par contre, les couronnes en compo, c'est un peu abusé !

Oui, la céramique gardera sans doute un meilleur aspect pendant plus longtemps, mais c'était juste pour faire un clin d'oeil sur le thème "il y a toujours plus conservateur que soi"


Olieve

15/12/2011 à 22h13

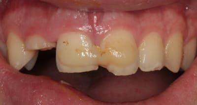
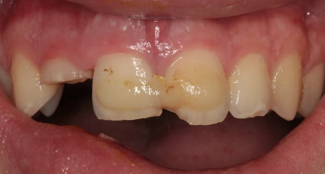
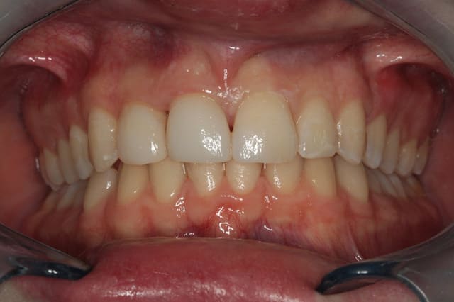
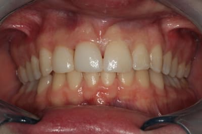
Puisqu'on parle compo.... je viens de terminer ma journée par ça :

Accident de voiture il y a 15 jours, on ne le voit pas bien sur la 1ere image mais la 11 a été réimplantée trop en lingual et trop profondément, l'urgentiste (non dentiste) a quand même fait de son mieux. Je n'ai pas osé re-luxer et ré-implanter 3 jours après. j'ai juste fait l'endo de 12 ce jour-là.

2ème photo il y a 2 heures. 12 sur tenon fibré, facette compo sur 11 pour corriger l'axe et la position du bord, coin de la 21 et petit éclat sur bord de 22.

J'étais super satisfait de mon travail en bouche. Un peu moins à la vue de la photo. Une photo ne pardonne pas les détails. Teinte un peu trop claire, bord incisal de 11 pas assez symétrique à la 21.

Le patient était ravi et très reconnaissant, c'est pour ces gens-là qu'on est heureux de faire notre boulot.

Ah oui, pour revenir au fil du sujet : juste une spatule inox ! :-)

1ere consult xbm9b2 - Eugenol
Apr s fsnklh - Eugenol

200106 10150128247663588 709988587 6466236 5598391 n d7mksb - Eugenol
hallboy

15/12/2011 à 22h19

joli boulot....


maz

15/12/2011 à 23h28

+1


Smile beach jgh0a1 - Eugenol
Céramik

15/12/2011 à 23h43

Olieve écrivait:
----------------
> Puisqu'on parle compo.... je viens de terminer ma journée par ça :
>
> Ah oui, pour revenir au fil du sujet : juste une spatule inox ! :-)


Très bien, très très bien
Pour ta photo finale, attend 48 heures, et la teinte sera surement très belle.


--
Céramik


Bebe 038 nf8eum - Eugenol
danteyeah

20/03/2012 à 14h23

Tiens j'avais oublié ce fil et cette référence:

Smiperdan écrivait:
-------------------
> Je viens de recevoir celui là:
> http://www.ronvig.com/default.asp?mode=Products&GroupID=2&page=10&ImageID=8


Ca fait 3, 4 semaines que j'ai repris et que je l'essaye et c'est du tout bon, certes cher, mais aussi souple que les Micérium (en bois pas autoclavable), et totalement stérilisable, apparemment costaud et suffisamment ergonomique. Par contre le Gaenial ne s'étale pas bien avec ça, contrairement au enamel HFO.

Pour notre toute récente commerciale Suisse: une spatule métal, une silicone et un pinceau à colorant (ou une sonde) ça suffit amplement pour stratifier un composite, pas besoin de votre "trousse à outil", il y'a déjà assez de bordel dans nos tiroirs!


12