Cookie Consent byPrivacyPolicies.comdévitaliser pour couronner! - Eugenol

dévitaliser pour couronner!

Zoe   son arriv e whwqpj - Eugenol
emma

06/12/2011 à 14h48

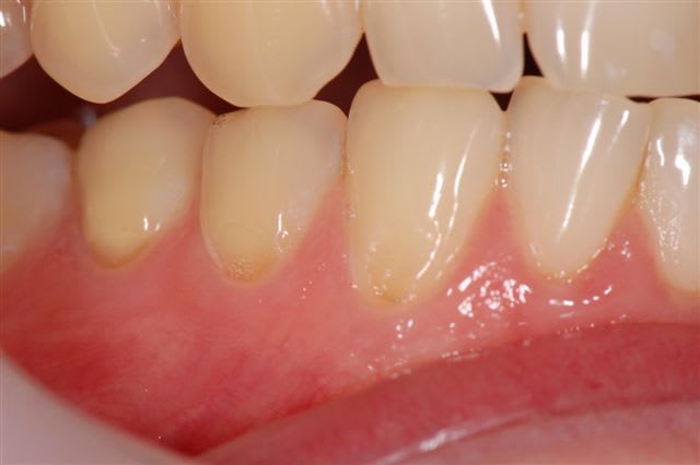
Patient ayant déménagé à 40 km de mon cabinet et ayant consulté un confrère sur place pour son contrôle annuel, verdict: dévitalisation de 43 44 45, inlays cores et couronnes car ces dents "risquent de se casser" vu leur usure!

Le patient, avant d'accepter le plan de traitement, a voulu me demander mon avis.

voici les photos des dents concernées, qu'en pensez vous?


--
"je préfère vivre en optimiste et me tromper, que vivre en pessimiste et avoir toujours raison"

emma

007  4  gn0vmn - Eugenol
006 tvzwfq - Eugenol

Gutt-A

06/12/2011 à 15h02

bah je lui dirais, qu 'en ce qui me concerne, je ne couronne pas des dents pour cet état d'usure.
Point barre.
Il est où le problème?


jpc

06/12/2011 à 15h07

escroc???????


Marque a3 orange fyvhyq - Eugenol
Marc Apap

06/12/2011 à 15h09

Il n'y a pas de pb puisque le patient s'est douté qu'il y avait qq chose de pas normal. Ce n'est pas à nous de faire la police, sauf si bien sûr, on a une dent contre certains confrères. Vous avez dit confrères ?


P1060810  800x600  dlavv9 - Eugenol
Hebken

06/12/2011 à 15h15

Ca fait froid dans le dos...mais c'est juste un plan de traitement par anticipation...avec 40 ans d'avance sur ce qui peut se produire. C'est visionnaire ^^


Utilisateur banni

06/12/2011 à 15h27

Inutile d'en rajouter sur ce gugus, la profession n'a pas besoin de ça. Les campagnes de stigmatisation s'en chargent déjà.

Cela dit, notre nomenclature kafkaienne pousse les esprits faibles dans ce genre de dérive.

Qd on gagnera notre vie en réalisant des soins conservateurs et de la prévention, les plans de traitement débiles de ce type seront bien plus rares. Mais c'est pas demain la veille.


Saucisson aux piments odddxi - Eugenol
AMG31

06/12/2011 à 15h41

on croit rever!!!


cocobret

06/12/2011 à 15h58

moi, j'aurais dit extraction-implantation... l'usure étant avancée, et on n'est pas sûr que ça va pas reprendre sous les couronnes...


Grueavatar nptrc9 - Eugenol
Le Choixpeau magique

06/12/2011 à 16h09

Au delà de ça, tu lui a proposé quoi ? Il y a manifestement un problème érosif dans cette bouche.


G-P

06/12/2011 à 18h14

Je profite de ce sujet pour exposer mon problème :

Ma prédécesseur dans le cabinet où je travaille (qui est toujours en exercice), a réalisé un nombre important de dévitalisations inutiles en vue de faire des bridges (radio à l'appui) et des devis de bridges avec des dents piliers absolument sans défaut.
Exemple de devis: devis bridge 12 13 - - 16 avec 12 13 et 16 qui n'ont même pas un petit composite. Devis bridge 34 35 - 37 avec encore 3 dents intactes.
Aucune information des patients sur la possibilité de poser un implant. Quand j'ai informé les dits patients, sans incriminer en quoi que ce soit la consoeur, ils ont fait des yeux ronds...

Etant donné que cette consoeur peut "nuire" à des patients, je songeais à l'avertir amicalement que ces pratiques sont arriérées. Mais étant donné que je n'ai aucun moyen de vérification, et que c'est évidemment de mauvaise foi et dans un but financier qu'elle a proposé ces traitements (vu le nombre pas besoin d'appeler l'inspecteur Derrick), je ne sais pas quoi faire de plus.

Des idées ?


zebigtouff

06/12/2011 à 18h58

encore plus fort! un patient vient chez moi pour se faire mettre des implants. Son dentiste chilien lui a fait un devis astronomique, mais il n'avait pas eu le temps de faire faire le travail au Chili. Ce patient vient faire la saison de ski à côté de chez moi, et pensait pouvoir se faire poser les implants avant Avril. Il ouvre la bouche et me présente 32 dents impeccables, sauf une 18 dévitalisée, et une 28 un peu mobile. Je n'ai toujours pas compris où on devait poser les implants, peut-être en extra-buccal?

--
Zebigtouff


Zoe   son arriv e whwqpj - Eugenol
emma

06/12/2011 à 21h10

Tapavuméclé écrivait:
---------------------
> Inutile d'en rajouter sur ce gugus, la profession n'a pas besoin de ça. Les
> campagnes de stigmatisation s'en chargent déjà.
>

C'est une blague?
C'est à cause de con...frères de ce type que les dentistes passent pour des escrocs, nous devons balayer devant notre porte si nous voulons être crédibles et considérer par nos congénères!!!
--
"je préfère vivre en optimiste et me tromper, que vivre en pessimiste et avoir toujours raison"

emma


PopHip

06/12/2011 à 21h26

Le Choixpeau magique écrivait:
------------------------------
> Au delà de ça, tu lui a proposé quoi ? Il y a manifestement un problème érosif
> dans cette bouche.

Oh hé l'aut', il pête l'ambiance.


Capture d  cran 2015 03 12 12.28 - Eugenol
chicot29

06/12/2011 à 21h33

emma écrivait:
--------------
> Tapavuméclé écrivait:
> ---------------------
> > Inutile d'en rajouter sur ce gugus, la profession n'a pas besoin de ça. Les
> > campagnes de stigmatisation s'en chargent déjà.
> >
>
> C'est une blague?
> C'est à cause de con...frères de ce type que les dentistes passent pour des
> escrocs, nous devons balayer devant notre porte si nous voulons être crédibles
> et considérer par nos congénères!!!
> --
>

Sauf que les con génères ne retiennent que l'escroc et mettent tout le monde dans le même sac. Tous des cochons de dentistes.


Capture d  cran 2015 03 12 12.28 - Eugenol
chicot29

06/12/2011 à 21h38

emma écrivait:
--------------
> Patient ayant déménagé à 40 km de mon cabinet et ayant consulté un confrère sur
> place pour son contrôle annuel, verdict: dévitalisation de 43 44 45, inlays
> cores et couronnes car ces dents "risquent de se casser" vu leur usure!
>
> Le patient, avant d'accepter le plan de traitement, a voulu me demander mon
> avis.
>
> voici les photos des dents concernées, qu'en pensez vous?
>
>
> --
Qu'il faut prendre des radios, si ça se trouve grosses caries proximales invisibles (déjà vu).


Q42955962076 4064 lcuc3e - Eugenol
dentino

06/12/2011 à 21h59

G-P écrivait:
-------------
>
> Etant donné que cette consoeur peut "nuire" à des patients, je songeais à
> l'avertir amicalement que ces pratiques sont arriérées. Mais étant donné que je
> n'ai aucun moyen de vérification, et que c'est évidemment de mauvaise foi et
> dans un but financier qu'elle a proposé ces traitements (vu le nombre pas besoin
> d'appeler l'inspecteur Derrick), je ne sais pas quoi faire de plus.
>
> Des idées ?

C'est bien simple: tu avertis amicalement et confraternellement ta consoeur que ces techniques ont eu leur heure de gloire, mais que de nos jours, dévitaliser inutilement des dents pour en faire des piliers de bridges peut lui valoir une poursuite au pénal pour "mutilation volontaire" et ce, même si les traitements endos et le bridge sont parfaitement réalisés.
Et que le fait de ne pas évoquer la solution implantaire ne va pas arranger son cas... les patients sont tellement bien informés et procéduriers, de nos jours...


Zoe   son arriv e whwqpj - Eugenol
emma

06/12/2011 à 22h09

chicot29 écrivait:

> > --
> Qu'il faut prendre des radios, si ça se trouve grosses caries proximales
> invisibles (déjà vu).

T'inquiète, c'est fait et les dents sont parfaitement saines mise à part ce problème de fracture prismatique au niveau des collets de plusieurs dents.

le plan de traitement consiste à modifier l'occlusion par Orthodontie fonctionnelle puis de reconstituer l'intégrité des faces vestibulaires par composites (ça j'aime pas trop) ou facettes céramiques (plus à mon goût)


--
"je préfère vivre en optimiste et me tromper, que vivre en pessimiste et avoir toujours raison"

emma


Björn

06/12/2011 à 23h05

Depuis combien de temps suivais-tu ce patient?


Capture d  cran 2015 03 12 12.28 - Eugenol
chicot29

06/12/2011 à 23h17

emma écrivait:
--------------
> chicot29 écrivait:
>
> > > --
> > Qu'il faut prendre des radios, si ça se trouve grosses caries proximales
> > invisibles (déjà vu).
>
> T'inquiète, c'est fait et les dents sont parfaitement saines mise à part ce
> problème de fracture prismatique au niveau des collets de plusieurs dents.
>
> le plan de traitement consiste à modifier l'occlusion par Orthodontie
> fonctionnelle puis de reconstituer l'intégrité des faces vestibulaires par
> composites (ça j'aime pas trop) ou facettes céramiques (plus à mon goût)
>
>
> --
> "je préfère vivre en optimiste et me tromper, que vivre en pessimiste et avoir
> toujours raison"
>
> emma


Si il va voir un 3 eme dentiste qui lui propose 3 sc7 il va tourner bourrique le patient !)))))
Ouh là , fracture prismatique ? c'est grave docteur ?))))