Tous les forums
bio et ensuite ??
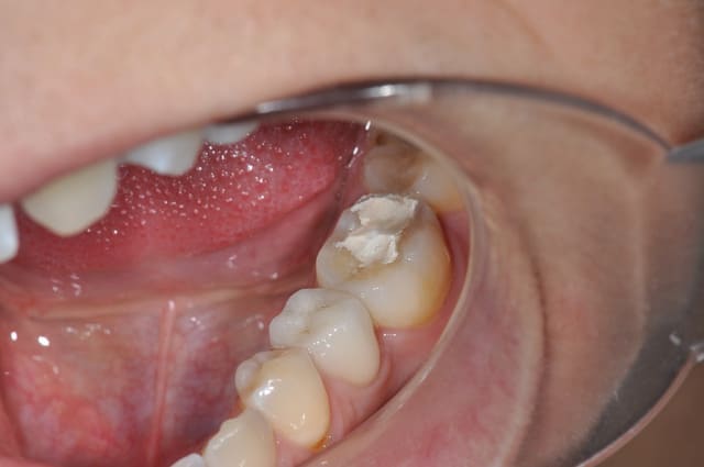
06/12/2011 à 17h07
salut,
juste pour avoir votre confirmation,
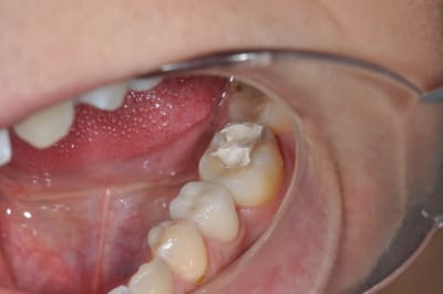
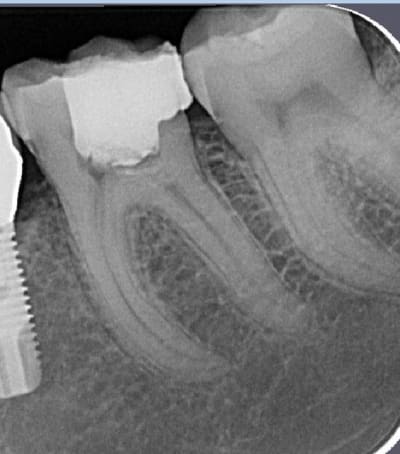
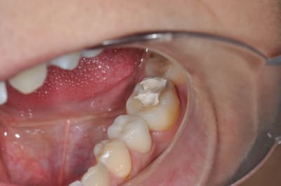
sur cette dent vous faites bio + inlay
ou alors, qui fait une CCC ?
Merci :)
06/12/2011 à 17h24
T'as pas autre chose, une photo sans le pansement, une radio, une photo des autres dents ?
Ce qui m'interpelle c'est que j'ai l'impression qu'on voit la dentine sur la face occlusale, est-ce que toutes les dents sont comme ça ?
06/12/2011 à 17h26
Le Choixpeau magique écrivait:
------------------------------
> T'as pas autre chose, une photo sans le pansement, une radio, une photo des
> autres dents ?
> Ce qui m'interpelle c'est que j'ai l'impression qu'on voit la dentine sur la
> face occlusale, est-ce que toutes les dents sont comme ça ?
car mise en sous-occlusion ^^
06/12/2011 à 17h28
37 semble aussi abrasée, donc je soupconne une abrasion et des parafonctions
couronne CAO
06/12/2011 à 17h28
légère mise en sous-occlusion effectivement
06/12/2011 à 19h26
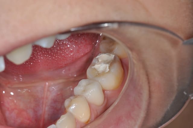
Je tenterais l'onlay . (+endo)
Je ne vois pas en quoi l'usure provoquée de 36 et l'usure soupçonnée sur 37 seraient des contre-indications . Tant qu'à avoir peur , l'implant lui même avec un problème occlusal général et des dysfonctions...ouin .
Peut-être la cause de la perte de la 35 , (mais c'est probablement une agénésie) pourrait donner une réponse et orienter le choix de protection totale et le choix invasif d'emblée de la 36 . Je trouve étonnant que l'espace (35) soit intact , tu nous diras si tu as fait de l'ortho pour regagner l'espace et l'historique du secteur 3 .
06/12/2011 à 19h29
marco17 écrivait:
-----------------
> personne ne tenterait l'inlay ??
Si t'arrives à faire ton endo sans élargir plus la chambre, c'est une indication d'Inlay.
Mais il y a fort à parier au regard de la courbure importante de la racine mésiale qu'il faudra élargir cette chambre en mésiale, à ceci s'ajoute une carie débutante toujours en mésiale (sans parler des caries multiples un peu partout), donc on se dirige à mon avis vers de la prothèse périphérique.
Par contre le titre dit "bio et ensuite", ben ensuite, c'est soins conservateur multiples (y a du boulot), motivation hygiène (c'est bizarre toutes ces caries dans une bouche présentant un implant, signe de patient généralement motivé!), et enfin CCC.
06/12/2011 à 19h53
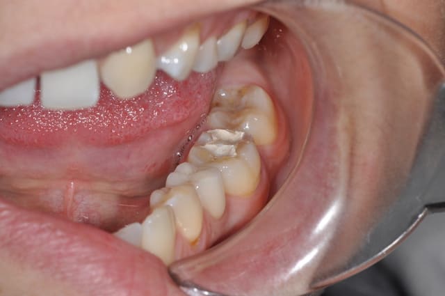
la limite distale finira en juxta osseux.non?
on peux quand meme faire un inlay?
06/12/2011 à 20h17
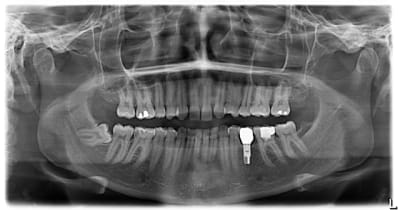
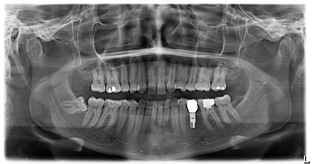
patiente 26 ans,
effectivement implant 35 suite à la perte de la 75 tardivement ( agénésie de la 35 )
motivée à l'hygiène mais grignote des sucreries toute la journée ( pas bien :( )
06/12/2011 à 20h21
rien avoir avec le sujet, mais au niveau de la 48 vous laissez tel quel dans la theorie ?
06/12/2011 à 21h15
Tu veux sans doute dire les sucettes à l anis d annie...
Je sors aussi
Pp :-)))))))))))
06/12/2011 à 22h40
Je privilégierai l'inlay sauf si ça le fait pas une fois la carie nettoyée.
Il y a de bonnes parois dentaires, ça me ferait mal au coeur de les supprimer.
07/12/2011 à 03h32
Pourquoi avoir placer en sous occlusion comme cela ?
L'émail perdu complique un peu l'inlay-onlay.
1er choix inlay-onlay, 2e choix ccc, pas de tenon métal ou de IC.
--
Céramik
07/12/2011 à 19h39
Céramik écrivait:
-----------------
> Pourquoi avoir placer en sous occlusion comme cela ?
> L'émail perdu complique un peu l'inlay-onlay.
>
> 1er choix inlay-onlay, 2e choix ccc, pas de tenon métal ou de IC.
>
>
>
> --
> Céramik
Au pays des bisounours peut être. Dans la réalité le reste à charge est un élément déterminant.
Sinon compo ou amg 2 faces avec ou sans tenon fibré ou screw post ? ))))
07/12/2011 à 23h40
Ceux qui font un "inlay", pourquoi pas plutôt un composite direct ?
08/12/2011 à 01h58
tungstene écrivait:
-------------------
> rien avoir avec le sujet, mais au niveau de la 48 vous laissez tel quel dans la
> theorie ?
Personne ?
08/12/2011 à 10h40
cyanolit écrivait:
------------------
> tungstene écrivait:
> -------------------
> > rien avoir avec le sujet, mais au niveau de la 48 vous laissez tel quel dans
> la
> > theorie ?
>
> Personne ?
Moi non, et encore moins depuis que je ne sais plus qui a posté une panoramique sur eugenol montrant clairement les racines des 7 en train de se faire dévorer toute crues (il me semble même que la 37 était limite en pulpite à cause de ça)
09/12/2011 à 19h19
Question pour ceux qui en ont fait plusieurs avec un peu de recul, dans le cas présenté, hormis la sous-occlusion, ça reste de l'inlay ou vous recouvrez la face occlusale ?