Cookie Consent byPrivacyPolicies.comdémonter une 22 - Eugenol

démonter une 22

zaimepaslefoot

08/12/2011 à 13h39

Bonjour à tous

J'ai une galère à gérer ( vivement les vacances hihi)

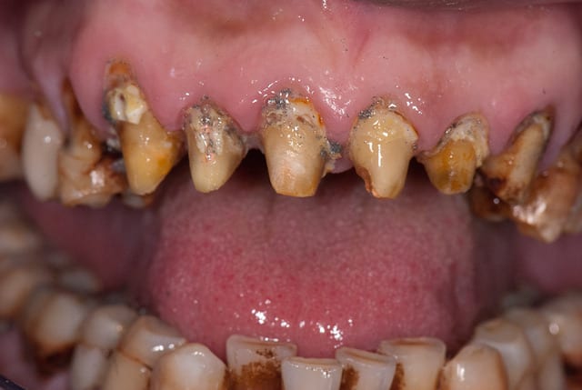
J'ai la céramique d'une CCM posée sur 22 qui a cassé
tout l angle distal ...GRRR

Bien sûr je vais refaire cette couronne

Mais comment démonter sans traumatiser le moins possible cette dent, qui a un inlay core
le tout a été scellé au fuji plus

habituellement, j'utilise les wam key ,
mais je ne les ai jamais utilisés en anterieur, du coup je flippe un peu

arrache couronne manuel, je pense que c est peine perdue

on a un arrache couronne "pneumatique" (je ne sais pas comment ca s appelle) (qui se branche sur un moteur de piece a main)
mais c est assez "violent"
je ne l ai utilisé que pour desceller des bridges ....
alors ma petite 22...

ou alors je fraise à la transmetal toute la couronne?

merci d avance pour vos reponses


Avatar 46 aoi1yc - Eugenol
HononLulu

08/12/2011 à 14h06

Avec le passage de la Wam key 1 entre l'inlay core et la couronne, tu ne traumatiseras pas ta racine.
Il te faudra bien sûr refaire la coiffe mais ce n'est pas aussi difficile que si tu démontes une Richmond..


zaimepaslefoot

08/12/2011 à 14h20

Merci!

question bete, tu passes en vestibulaire ou en palatin pour une 22


G-P

08/12/2011 à 15h27

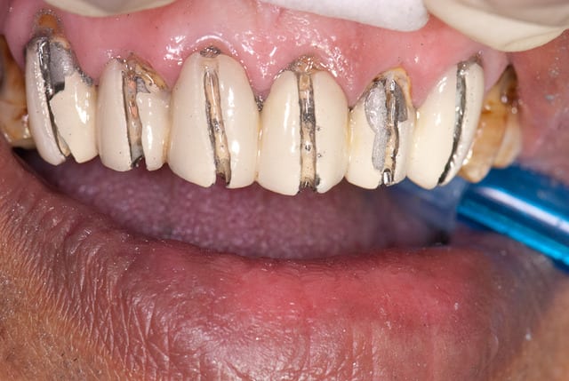
Découpe la à la fraise transmétal, ca prend 5 minutes pour une incisive, et aucun risque.


zebigtouff

08/12/2011 à 16h07

pour passer en palatin, tu chauffes ton Wamkey à 1000°,

sur une enclume tu le poses, avec un marteau tu t'acharnes

dessus, jusqu'à le plier à 90° (au moins), et là tu es

prête à desceller ta coiffe. Faut voir pour le HN +++++!



--
Zebigtouff


Marque a3 orange fyvhyq - Eugenol
Marc Apap

08/12/2011 à 16h24

La ccm doit être détruite, c'est plus facile de la découper à la fraise diamantée pour la céramique puis une transmetal que de vouloir la sortir au wamkey, surtout une incisive.
C'est le métier que rentre, j'en ai souvent à faire comme ça, pour remplacer d'anciennes couronnes mal adaptées ou avec des limites cervicales trop visibles.


Grueavatar nptrc9 - Eugenol
Le Choixpeau magique

08/12/2011 à 17h22

Marc Apap écrivait:
-------------------
> La ccm doit être détruite, c'est plus facile de la découper à la fraise
> diamantée pour la céramique puis une transmetal que de vouloir la sortir au
> wamkey, surtout une incisive.
> C'est le métier que rentre, j'en ai souvent à faire comme ça, pour remplacer
> d'anciennes couronnes mal adaptées ou avec des limites cervicales trop visibles.

Banzai !

Banzai ipagw5 - Eugenol
Caprogresse hp2tmx - Eugenol
Miam mnxv4i - Eugenol
Bonappetit io9qxk - Eugenol

200106 10150128247663588 709988587 6466236 5598391 n d7mksb - Eugenol
hallboy

08/12/2011 à 17h38

;)


Bagheera tudzjy - Eugenol
bagheerra

08/12/2011 à 19h08

Le Choixpeau magique écrivait:
------------------------------
> Banzai !

Par curiosité, la dépose des céram constitue-t-elle un acte à part en HN ou est-ce compris dans le prix des provisoires, voire des nouvelles coiffes ?

PS1 : Un intérêt majeur de la WamKey est de réutiliser la coiffe déposée en guise de provisoire (éventuellement rebasée). Cet intérêt est rarement utilisable en antérieur car dans la plupart des cas il faut effectivement découper.

PS2 : un petit détartrage / aéropolissage est sûrement prévu pour ce patient...


Grueavatar nptrc9 - Eugenol
Le Choixpeau magique

08/12/2011 à 19h35

bagheerra écrivait:
-------------------
> Par curiosité, la dépose des céram constitue-t-elle un acte à part en HN ou
> est-ce compris dans le prix des provisoires, voire des nouvelles coiffes ?

Dans ce cas là il n'y avait pas de tenon, j'ai fait juste payer les couronnes transitoires de labo (une pêche par dent).


> PS2 : un petit détartrage / aéropolissage est sûrement prévu pour ce patient...

Je sais pas je suis pas détartrologue !


PopHip

08/12/2011 à 19h55

bagheerra écrivait:
-------------------

> PS1 : Un intérêt majeur de la WamKey est de réutiliser la coiffe déposée en
> guise de provisoire (éventuellement rebasée). Cet intérêt est rarement
> utilisable en antérieur car dans la plupart des cas il faut effectivement
> découper.

en théorie ouais... en pratique t'as la céramique qui éclate entre temps :)))

je préfère une empreinte sectorielle avec un silicone, déposer la ccm, et refaire une belle provisoire résine qui aura l'avantage d'être propre et plus facilement rebasable (surtout après avoir démonté l'amalgame-screwpost sous-jacent).


zaimepaslefoot

08/12/2011 à 21h33

Merci pour les réponses
Bon ben je ferai à l instinct ;)

Par contre j ai pas compris la réponse sur tenter le wam key en palatin..?!