Cookie Consent byPrivacyPolicies.comRelations ODF/simple dentiste - Eugenol

Relations ODF/simple dentiste

Milady

14/12/2011 à 17h34

Petit souci de confraternité avec une orthodontiste à propos de deux de mes patients
Une demoiselle de 13 ans, venue pour pulpite sur 16: ouverture de chambre et temporisation. Multibague en place, disparaissant littéralement sous la plaque dentaire, gencives framboisées, caries sur toutes les 6, les 7 bien attaquées, 5 et 4 pas franchement jolies (pour ce qu'on en voit). j'ai essayé plusieurs fois de joindre l'orthodontiste (centre mutualiste)afin de suggérer une interruption de traitement avant que tout soit bousillé: 5 min de musique pour avoir quelqu'un, le praticien est en soins ou est absent et ne rappelle jamais à mes messages.
La petite avait RDV la semaine dernière avec l'ortho donc je tente la communication par courrier: aujourd'hui la maman me dit que l'ortho ne souhaite pas débaguer et que le traitement sera fini dans 6 mois environ (pas de courrier de réponse).
J'ai expliqué à la mère l'intérêt au choix d'avoir une hygiène nettement meilleure (ça s'améliore mais c'est très loin d'être parfait) ou de stopper le traitement.

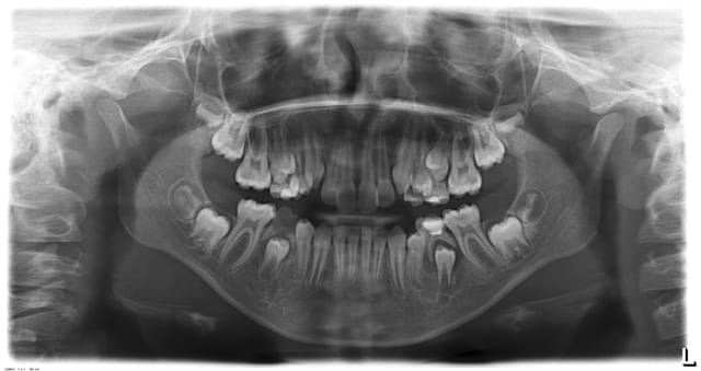
Le cas de conscience: la même orthodontiste veut baguer le petit frère de ma patiente. Son hygiène est aussi nulle que celle de sa soeur. Il a 9 ans. Je vous met la pano du frangin. Le problème d'encombrement (peu important) ne me parait vraimenet pas primordial au vue des risques carieux

La mère est sensible à l'argument de ma consoeur qui dit qu'un traitement ODF à l'age adulte ne sera pas remboursé donc qu'il faut absolument le faire maintenant (famille CMU)

Je ne sais que dire à la mère tout en restant confraternelle


P.S: comment je fais pour mettre la digue sur un arc multibague? Je veux bien des tuyaux.

Ras le bol wujcvz - Eugenol

doagui

14/12/2011 à 18h16

J'ai tendance à penser que sans critiquer ouvertement l'ODF, tu peux toujours (et tu dois...) dire à la mère qu'à ton humble avis de non spécialiste, tu penses que les bagues accentuent le soucis d'hygiène, et que les nouvelles lésions que tu observes vont dans ton sens. Après, libre à elle de se faire sa propre opinion.

En tout cas, tu ne peux pas ne rien faire pour cause de confraternité, si le problème est aussi important que tu sembles le dire. Qu'on se soutienne les uns les autres ok, mais qu'on laisse un patient avoir toutes ses dents qui pourrissent pour ne pas froisser un confrère, non.


Rorschachwhite tx6rqr - Eugenol
Candide Candida

14/12/2011 à 18h17

J'ai connu un problème similaire.

Après conversation téléphonique, décision avait été prise de déposer le tt ODF pour traiter les ouatmilles caries du collet en nappe (PARFAITEMENT VISIBLES DEPUIS DES MOIS^^).

Le jour du RV l'ortho avait déposé .... l'arc métallique et laissé tout les brackets.

1. j'ai déposé les brackets
2. j'ai conseillé aux parents de changer trés vite d'ortho ou de changer de dentiste

Cette situation est quand même assez rare, les orthos étant normalement trés impliqués dans l'HBD, j'ai reçu assez souvent des courriers d'ortho qui me tenaient au courant de l'arrêt de tt chez des patients (communs) qui ne respectaient pas les conseils de brossage.

A noter que lors d'un tt d'ortho il est de la responsabilité de l'ortho lui-même de conseiller, gérer et ameliorer l'HBD de son patient, je veux bien participer mais je ne suis pas son "hygiéniste".

Il est fréquent que je note un contrôle de plaque médiocre sans que l'ortho n'ai manifesté une quelconque désapprobation (je vérifie auprès du patient, vu que les parents sont souvent exclue de la consultation), j'ai souvent téléphoné à des confrères ODF pour leur faire part de mon inquiétude sur des patients fragiles.

Si tu es contraints de travailler par proximité avec des praticiens de ce centre : tu n'as pas finit, pose toi les bonnes questions, décide de ta politique de soin vu que la collaboration avec cet ortho semble compromise.

Bonne chance

CC.


Images nv3xcf - Eugenol
au fond du canal

14/12/2011 à 18h29

Quand on connait le mode de recrutement des ODF par les centres mutualistes, leur politique de rendement, on se rend compte que ce n'est pas le patient qui est au coeur de leur préocupations...


Milady

14/12/2011 à 18h43

Candide Candida écrivait:
-------------------------
> ...
j'ai souvent téléphoné à
> des confrères ODF pour leur faire part de mon inquiétude sur des patients
> ...


Mon problème est surtout que je n'arrive pas à communiquer avec cette ortho puisque mes 5 coups de fils n'ont jamais reçu de réponse (me rappellera plus tard soi disant) et qu'elle ne répond pas non plus à mes courriers.

Je termine actuellement les soins sur le petit de 9 ans mais j'avoue ne vraiment pas être motivée à l'idée de le revoir débarquer dans 2 ans quand tout sera aligné et carié car j'ai eu l'impression que la mère souhaitait finir les soins puis aller faire le traitement ODF en se disant que ça irait bien quand même. L'argument du traitement "gratuit" uniquement s'il est fait maintenant ayant manifestement touché sa corde sensible...


Canin

14/12/2011 à 21h12

tu peux jouer sur la corde sensible, c'est à dire le fric.

si par hasard le dentiste-contrôleur de la sécu devait convoquer ce patient et constater ce que tu décris, je pense qu'il ne serait pas d'accord qu'il yait un remboursement sécu pour un traitement ortho dans de telles conditions puisque la finalité n'est pas d'avoir une bouche en bonne santé.

à bon entendeur.

--
Canin


Zorglub

14/12/2011 à 21h24

Le truc pour mettre la digue... Acheter un peu de matos et apprendre à déposer et à reposer un arc. Maximum 10 à 15 minutes.

La merde ce sont les brackets autoligaturants, vu que si tu sais pas comment on les ouvre et on les referme, c'est cuit.

Il y a aussi coopération avec ortho ou alors pince coupante, la veille du rv chez l'ortho... mais bon il va pas aimer.


labelledeK10

14/12/2011 à 23h32

une modeste fraise transmétal, ça coupe bien les fils, et on est à l'aise avec même sans y connaître quoi que ce soit à l' ODF.
Et puis "simple dentiste", voilà une expression que j'ai en horreur.
Je travaille en centre mutualiste. J'ai déjà eu ce genre de démêles avec des ortho. Il est malheureux qu'un patient qui a le choix entre changer de dentiste et changer d'ortho préfère l'ortho. La confraternité a bon dos, tu as le droit de poser les conditions de ton choix (et qui sont on ne peut plus justifiées) pour travailler.
--
je plie et ne romps pas.


Mario ycg44a - Eugenol
Mario180

15/12/2011 à 23h27

Je plussoie sur l'expression "simple dentiste" : un dentiste omnipraticien a infiniment plus de domaines de compétence qu'un "simple ortho" amha.

Concernant ton problème, je te propose d'expliquer à la mère que tu soignes les caries à condition d'obtenir une coopération sur l'hygiène, ce qui passe par certaines prescriptions:
- brossage et tutti quanti
- arrêt provisoire de l'orthodontie, avec courrier en ce sens à l'ortho, et document signé par la mère expliquant ta demande.

Si ta proposition de traitement n'est pas acceptée, ils changent de dentiste.

Tu n'est pas prestataire de service SOS carie : si tu donnes dans le dépannage, tu est complice.

Plan B : Tu peux tenter si tu as un bon contact avec elle de rallier la gamine ou le frangin à ton camp en les prenant en tête à tête sur le ton : "qu'est-ce que tu veux toi : des dents pourries alignées et des rdv chez le dentiste à gogo, ou des jolies dents dans une position plus "naturelle"..."
Après tu confrontes la mère au choix de la gosse et tu la culpabilises un peu sur le ton laisser son gosse avoir des caries c'est de la maltraitance.



MAUVE

16/12/2011 à 00h34

dans ces cas là, je fais un courrier pour l'ortho que je remet également au parent du patient.
si l'ortho ne veut pas stopper et que l'enfant ou l'ado ne veut pas brosser correctement, écrire noir sur blanc que la poursuite du traitement d'orthodontie est néfaste pour la santé buccodentaire du patient peut faire un électrochoc.
de plus personne ne pourra me reprocher de ne pas avoir fait mon travail...
après chacun fait ses choix.


Gbazylo1 fvg1vg - Eugenol
Aron

19/12/2011 à 20h20

Cesse toute collaboration avec cet ODF.

Et pour la digue au dessus des MB, fais une digue mixte: une feuille de digue clampée et ouverte sur plusieurs dents avec une seule coupe, qui va donc bailler sur la gencive, ça c'est pour supprimer l'humidité buccale, et pour supprimer le fluide sulculaire, une digue photopolymérisable le long des dents. Je crois que Ceramik avait posté des photos d'exemples il y a un moment de ça.