Cookie Consent byPrivacyPolicies.comQuels compo stratifié pas trop cher pour se faire plaisir et - Eugenol

Quels compo stratifié pas trop cher pour se faire plaisir et débuter ?

DocJ

15/12/2011 à 21h42

Tout est dans le titre...
Et que pensez vous du super bond de chez bisico ?

Merci


Grueavatar nptrc9 - Eugenol
Le Choixpeau magique

15/12/2011 à 22h20

Le moins cher c'est le Gradia, ou ça version upgradée G-aenial, plus chère.
Tu prends A1-A2-A3-A3.5-A4, WT (émail clair, appelé JE sur le G-Aenial), NT (émail normal, appelé AE sur le G-Aenial), et tu peux déjà faire des trucs sympas en débutant.
Par contre attention le Gradia n'est pas radio-opaque et le G-Aenial Anterior l'est à peine.


maz

16/12/2011 à 05h24

je pense que le superbond ne sert plus à rien

je ne connais pas les prix des compos stratifiés, j'utilise le enaHRi, mais je pense qu'il est très cher et pas forcément idéal pour débuter

le miris 2 que j'ai utilisé un moment est sympa, concept 2 teintes, et un teintier tout con pour déjà superposer les deux teintes avant de prendre la teinte

celui dont viens de parler choixp' a bonne presse aussi, je ne crois pas qu'il ait le teintier idiotproof du miris

dans tous les cas, ne pas mettre une épaisseur d'émail trop importante, le plus fin sera surement le mieux !


Bing surfboards tm mark pcsd1h - Eugenol
jayetche

16/12/2011 à 08h31

J'utilise pour ma part l'amaris de voco sur les Conseils de Tirlet et Attal.
La stratification est un art vraiment complexe mais ce composite me donne entière satisfaction malgré mais faibles compétences en la matière


Bebe 038 nf8eum - Eugenol
danteyeah

16/12/2011 à 14h13

Comme Choipx pour les postérieurs: GC Gradia ou G-Aenial, facile, pas trop cher (compule pour moi, donc plus cher), mais cela ne permet que peu de stratification.

Comme Maz en antérieur: Enamel HRI avec réchauffeur (ça devient cher), et surtout HFO sans réchauffeur (moins cher), pour rappel les seringues de chez Micerium sont certes plus cher, mais il y en a aussi plus dedans (sauf pour les kits de plusieurs teinte, là elles sont remplies à moitié)

Sinon testé 3M XT et XTE, ça reste cher, et ne m'a pas emballé
Super Bond????? connais pas!


Grueavatar nptrc9 - Eugenol
Le Choixpeau magique

16/12/2011 à 15h02

danteyeah écrivait:
-------------------
> Comme Choipx pour les postérieurs: GC Gradia ou G-Aenial, facile, pas trop cher
> (compule pour moi, donc plus cher), mais cela ne permet que peu de
> stratification.

Va voir les cas de Jason Smithson sur dentaltown, tu nous diras si on ne peut pas stratifier avec. ;)
Le gros problème du Gradia/G-Aenial, c'est sur les hautes luminosités, même le WT/JE manque de luminosité.
En antérieur, il fait la dernière couche avec du Renamel Microfill (cosmedent), pour la rétention du poli.


Bebe 038 nf8eum - Eugenol
danteyeah

16/12/2011 à 15h33

Le Choixpeau magique écrivait:
------------------------------
> danteyeah écrivait:
> -------------------
> > Comme Choipx pour les postérieurs: GC Gradia ou G-Aenial, facile, pas trop
> cher
> > (compule pour moi, donc plus cher), mais cela ne permet que peu de
> > stratification.
>
> Va voir les cas de Jason Smithson sur dentaltown, tu nous diras si on ne peut
> pas stratifier avec. ;)
> Le gros problème du Gradia/G-Aenial, c'est sur les hautes luminosités, même le
> WT/JE manque de luminosité.
> En antérieur, il fait la dernière couche avec du Renamel Microfill (cosmedent),
> pour la rétention du poli.

J'ai vu et je te remercie d'ailleurs de m'avoir fait découvrir ce forum à travers tes posts (merci très sincèrement, je vais encore passer des nuits blanches!).
Jason Smithson c'est pas n'importe qui, d'où la qualité des cas, mais t'avoue toi même que question choix émail on est limite avec le GC, et en plus pour trouver du WT en compule, faut souvent si prendre 3 mois à l'avance,


Bebe 038 nf8eum - Eugenol
danteyeah

16/12/2011 à 16h08

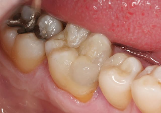
Tiens voila un exemple de ce que donne du GC avec du NT, trop de couche émail ne pardonne pas et ça donne ce coté grisâtre bof, le WT ça marche mieux quand on en trouve!!!!

Composite mol apres zajtdf - Eugenol
Composite mol avant xh4cvy - Eugenol

Grueavatar nptrc9 - Eugenol
Le Choixpeau magique

16/12/2011 à 16h15

Pas mal pour un résultat grisâtre, félicitations !


Bebe 038 nf8eum - Eugenol
danteyeah

16/12/2011 à 17h11

Voila ce qu'on obtient avec du HFO, c'est déjà plus un truc stratifié non?
L'idée c'est surtout de montrer le coté gris des emails GC qui sont moins apte à la stratification multicouche (bon d'accord, y' en a un peu trop sur le cas postérieur précédent)

En même temps on compare une référence en strate. (Micérium Enamel) à un tout venant (GC Gradia dans ce cas), et moi je pensais que le sujet du post c'est de faire de la strat. même pour débuter, je préconise de passer direct à des vrai composite de stratification donc Micerium, plus indiqué que GC pour moi! pas pour les gars de Dental Town, j'en conviens mais c'est un autre monde ;-)

Enamel hfo 1 iyyi5o - Eugenol
Enamel hfo 2 gimwnb - Eugenol

Smile beach jgh0a1 - Eugenol
Céramik

16/12/2011 à 23h45

danteyeah écrivait:
-------------------

Très bien tes 2 cas, très bien.

Pour la molaire, franchement, tu es doué, j'avoue ne pas faire cela en direct, du moins pas joli comme cela.
Reste à faire la 47, belle ligne au mésial !!
;-)))))))



--
Céramik


Grueavatar nptrc9 - Eugenol
Le Choixpeau magique

16/12/2011 à 23h51

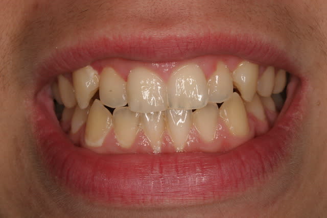
Tes incisives sont superbes aussi, mais d'après toi qu'est-ce qui fait la qualité de ton résultat ? La marque de ton composite ou ta morpho et ton état de surface ?


Capture d  cran 2015 03 12 12.28 - Eugenol
chicot29

17/12/2011 à 00h33

Bel exercice de style. Tu fais ça toute la journée ?


Bebe 038 nf8eum - Eugenol
danteyeah

17/12/2011 à 01h48

Le Choixpeau magique écrivait:
------------------------------
> Tes incisives sont superbes aussi, mais d'après toi qu'est-ce qui fait la
> qualité de ton résultat ? La marque de ton composite ou ta morpho et ton état de
> surface ?

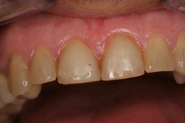
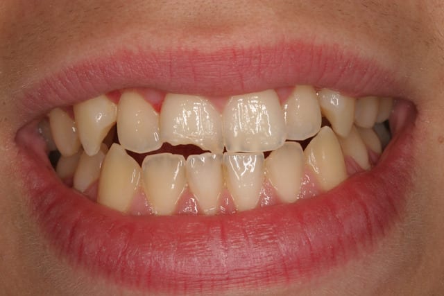
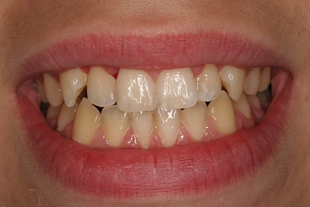
Le COMPOSITE!!!!!!! quand tous les autres critères sont maitrisés.
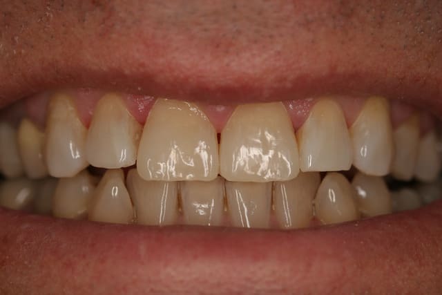
Sur cette fracture de 11, j'ai utilisé du 3M XT, et je ne suis pas arrivé à reproduire les caractérisations du bord libre (jeune patient), alors que morpho. et polissage sont correct (bon la teinte un peu clair, je me suis fait avoir par la déshydratation des dents, rapide, sous digue).
Je n'y suis pas arrivé tout simplement car il n'y a pas (en tout cas je n'en avais pas) de masse opalescente chez 3M (il y en a 3 chez Micérium, de mémoire), et ces masses sont indispensable pour recréer de la transparence au bord libre.
Donc je persiste: si on veut faire de la stratification, il faut un composite offrant une gamme complète pour cela.
On peut faire de belle chose comme Jason S. avec n'importe quel compo, mais si on veut caractériser et se rapprocher de la nature (et si on est pas magicien) il faut un certains type de composite: Miris, Micérium, et Ivoclar vient de si mettre aussi. Composite pas comparable au Gradia ou au truc de Voco dit plus haut.

Comp ant avant jdllad - Eugenol
Comp ant apres hzxqmr - Eugenol
Comp ant strat 005 ilakif - Eugenol

Bebe 038 nf8eum - Eugenol
danteyeah

17/12/2011 à 01h54

chicot29 écrivait:
------------------
> Bel exercice de style. Tu fais ça toute la journée ?

Non, on est en France et il faut que je fasse vivre ma famille. Petit clin d'oeil à Marc Apap: on ne fait pas des inlays/onlays parce que c'est mieux que des composites, ou parce que c'est plus facile; on les fait pour bouffer, même si ça choque certains.
En France faire des composites stratifiés en étant conventionné tient plus ou moins du suicide! De temps en temps ça tient de la passion!


Ico v for vendetta08 jzhpep - Eugenol
Arnaud Go

17/12/2011 à 03h33

Je trouve les compos d'aujourd'hui assez fantastiques en esthétique.
Pour les bords libres d'ados, je trouve ça bonjour à faire mais je dois surtout manquer de technique plus que de variations de teintes translucides.
Les sillons aussi faut que je m'y mette, j'ignore la procédure.
Vanini, un bouquin ou un lien pour apprendre ?
Le gros challenge, c'est, je trouve, sur les postérieures le bon dessin interne des cuspides, le convexe-concave quand on n'est plus guidé.
Le contour de Danteyeah est, sur ce point assez remarquable.
Pour l'argent je n'hésite pas à demander un HN, limite il est vrai, étude photo ou je l'ai fait il y a un mois pour une fracture d'angle, pour un wax-up avec une clé silicone pour avoir la face linguale.


Bebe 038 nf8eum - Eugenol
danteyeah

17/12/2011 à 14h55

Arnaud Go écrivait:
-------------------
> Je trouve les compos d'aujourd'hui assez fantastiques en esthétique.
> Pour les bords libres d'ados, je trouve ça bonjour à faire mais je dois surtout
> manquer de technique plus que de variations de teintes translucides.

Ce n'est pas une variation de "teinte translucide" mais des masses opalescente différente des masses émail (translucide) et qui sont apte à moduler, par leur variation d'épaisseur, l'effet de transparence des zones incisales.

> Les sillons aussi faut que je m'y mette, j'ignore la procédure.
> Vanini, un bouquin ou un lien pour apprendre ?

-Faire soi même ses wax-up, aller voir bosser son prothésiste (dans la mesure où son niveau est correct et qu'il soit amicale; le mien m'a appris beaucoup).
- Vanini, par le biais de René Serfati (DU Esthétique de Strasbourg), mais il y a aussi Mimésis, Smile, Symbiose.....même Bisico fait des formations sur le composite. Il y a du choix.

> Le gros challenge, c'est, je trouve, sur les postérieures le bon dessin interne
> des cuspides, le convexe-concave quand on n'est plus guidé.
> Le contour de Danteyeah est, sur ce point assez remarquable.
> Pour l'argent je n'hésite pas à demander un HN, limite il est vrai, étude photo
> ou je l'ai fait il y a un mois pour une fracture d'angle, pour un wax-up avec
> une clé silicone pour avoir la face linguale.

Déjà fait aussi, mais pas très rentable, souvent les frais horaires nécessaire au temps pour expliquer le HN (petite somme dans ce cas) coute plus cher que le HN demandé, et puis l'illégalité pour 3 francs six sous...bof, on passe aux Inlays et facettes et là ça devient légale, quelqu'un disait que l'on marchait sur la tête en France, dans un autre post!!!!!!


DocJ

17/12/2011 à 18h59

Avez vous des livres sur les reconstitutions en compo stratifié à recommander ? Merci


maz

17/12/2011 à 19h55

vanini en a fait un, qui est distribué (pas facile à trouver) par bisico en france
il doit être traduit qu'en anglais je pense

je crois qu'il en prépare un autre ou il aura filmé tous les cas cliniques qu'il montre dans le livre, ce qui sera surement beaucoup plus didactique

il avait l'air de dire que comme ça, ça montrerait que ses photos ne sont pas trafiquées (il disait que beaucoup de monde dans pas mal de spécialités sont très bons pour tout rattraper avec photoshop)


DocJ

17/12/2011 à 20h03

Oui je cherche mais ne trouve rien même pas celui de vanini. C'est dommage


Smile beach jgh0a1 - Eugenol
Céramik

17/12/2011 à 22h23

DocJ écrivait:
--------------
> Oui je cherche mais ne trouve rien même pas celui de vanini. C'est dommage



google : vanini composite



--
Céramik


DocJ

17/12/2011 à 22h59

Deja vu. Merci quand même. Je cherche un peu plus. Des livres, d'autres cas etc


Grueavatar nptrc9 - Eugenol
Le Choixpeau magique

17/12/2011 à 23h24

danteyeah écrivait:
-------------------
> Sur cette fracture de 11, j'ai utilisé du 3M XT, et je ne suis pas arrivé à
> reproduire les caractérisations du bord libre (jeune patient), alors que morpho.

C'est vrai que le résultat est à vomir (;) ;))

> Je n'y suis pas arrivé tout simplement car il n'y a pas (en tout cas je n'en
> avais pas) de masse opalescente chez 3M (il y en a 3 chez Micérium, de mémoire),

Je ne connais pas bien le 3M, mais est-ce que les émaux transparent, bleu, gris et ambre ne correspondraient pas à ce que tu recherches ?

> On peut faire de belle chose comme Jason S. avec n'importe quel compo, mais si
> on veut caractériser et se rapprocher de la nature (et si on est pas magicien)
> il faut un certains type de composite: Miris, Micérium, et Ivoclar vient de si
> mettre aussi. Composite pas comparable au Gradia ou au truc de Voco dit plus
> haut.

Pourquoi tu crois que J Smithson, qui prend si je ne dis pas de bêtise l'équivalent de 800$ pour un composite antérieur (sur lequel il va passer plusieurs heures, il dit lui même que ça serait beaucoup plus rentable de faire des facettes), et qui n'achète pas ses composites, s'embêterait à utiliser le G-Aenial pour ses dentines antérieures et pour l'ultra majorité de ses cas postérieurs si il pouvait faire beaucoup mieux avec les Micerium (qu'il n'aime pas beaucoup) ?
Il fait des cas avec l'empress direct, le résultat est toujours moins bien qu'avec le gradia, si tu veux mon avis il le fait pour faire plaisir avec ivoclar.


Ico v for vendetta08 jzhpep - Eugenol
Arnaud Go

17/12/2011 à 23h45

Je mets les définitions que j'ai trouvées pour le mot opalescent qui je m'avance, n'est pas employé avec suffisamment de précision :
L'opalescence est la propriété optique d'un matériau transparent ou translucide ou encore ayant l'aspect de l'opale, l'aspect laiteux translucide est également retrouvé.

Merci pour tous ces liens.


Bebe 038 nf8eum - Eugenol
danteyeah

18/12/2011 à 00h10

Le Choixpeau magique écrivait:
------------------------------
> danteyeah écrivait:
> -------------------
> > Sur cette fracture de 11, j'ai utilisé du 3M XT, et je ne suis pas arrivé à
> > reproduire les caractérisations du bord libre (jeune patient), alors que
> morpho.
>
> C'est vrai que le résultat est à vomir (;) ;))
>
> > Je n'y suis pas arrivé tout simplement car il n'y a pas (en tout cas je n'en
> > avais pas) de masse opalescente chez 3M (il y en a 3 chez Micérium, de
> mémoire),
>
> Je ne connais pas bien le 3M, mais est-ce que les émaux transparent, bleu, gris
> et ambre ne correspondraient pas à ce que tu recherches ?

Ca se pourrait, mais je n'ai aucun souvenir que cela m'ai été fourni à l'époque avec la dizaine (voir plus)de seringue acheté chez 3M. C'est un système qui nécessite trop de seringue différente pour obtenir un bon résultat dans toute situation, alors que 7 ou 8 seringues différente suffise chez Micérium.
>
> > On peut faire de belle chose comme Jason S. avec n'importe quel compo, mais si
> > on veut caractériser et se rapprocher de la nature (et si on est pas magicien)
> > il faut un certains type de composite: Miris, Micérium, et Ivoclar vient de si
> > mettre aussi. Composite pas comparable au Gradia ou au truc de Voco dit plus
> > haut.
>
> Pourquoi tu crois que J Smithson, qui prend si je ne dis pas de bêtise
> l'équivalent de 800$ pour un composite antérieur (sur lequel il va passer
> plusieurs heures, il dit lui même que ça serait beaucoup plus rentable de faire
> des facettes), et qui n'achète pas ses composites, s'embêterait à utiliser le
> G-Aenial pour ses dentines antérieures

-Quelle masse émail utilise t-il?
-De quelle variation de teinte a t-il besoin au pays du blanc?
- De quel type de caractérisation a t-il besoin pour réaliser les cas présentés (généralement des réhab. complète au composite)?

et pour l'ultra majorité de ses cas
> postérieurs si il pouvait faire beaucoup mieux avec les Micerium (qu'il n'aime
> pas beaucoup) ?
> Il fait des cas avec l'empress direct, le résultat est toujours moins bien
> qu'avec le gradia, si tu veux mon avis il le fait pour faire plaisir avec
> ivoclar.
Et combien il touche pour faire la promo d'Ivoclar et de GC??
Evidement cette remarque est applicable à toute les marques et à leur leader d'opinion.
Il n'empêche que si tu as une réponse au poil pour le G-Aenial je suis preneur.


12...