Cookie Consent byPrivacyPolicies.comUne seule empreinte pour inlaycore et coiffe : votre avis ? - Eugenol

Une seule empreinte pour inlaycore et coiffe : votre avis ?

marcus

20/12/2011 à 22h48

Céramik écrivait:
-----------------
> Un truc, éviter les IC, dans la majorité des cas...
>
> 1-Endo + pivot + taille + Cerec
>

> Céramik


+1

qu'est ce que j'ai gagné comme temps et comme qualité de travail depuis que j'ai découvert les tenons fibrés , les resines "dual" collées , et les empreintes optiques dans la foulée.

Un IC métallique sur trois se terminant par une felure ou une fracture radiculaire


Grueavatar nptrc9 - Eugenol
Le Choixpeau magique

20/12/2011 à 23h13

marcus écrivait:
----------------
> Un IC métallique sur trois se terminant par une felure ou une fracture
> radiculaire

Source ?


aldo74

20/12/2011 à 23h14

pour céramique:
l'inlay core necessite une préparation permettant de ceinturer la dent et n'est pas compatible avec les préparations pour céramique pressée ,le congé peripherique ne permettant pas ce ceinturage radiculaire;
le faux moignon subit et transmet alors toutes les contraintes d'ou soit descellement et/ou soit fracture
donc je comprends ce refus de faux moignonspour la céram pressée
.parfois il est difficile de faire autrement et alors il faut revenir à la CCM.
j'ai toutefois constaté que les faux moignons en or donnait de bon résultats en anterieur ,bien sur on ne parle pas du coté financier..
..


aldo74

20/12/2011 à 23h15

je voulais dire CeramiKK...


aldo74

20/12/2011 à 23h15

je voulais dire CeramiKK...


Capture d  cran 2015 03 12 12.28 - Eugenol
chicot29

20/12/2011 à 23h42

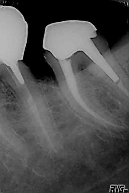
"dit chicot 29 , c'est alesé avec des instruments de quelle taille ces canaux?"

Sx protaper, largo numero 3, re sx pour se rapprocher de l'apex puis s1, s2, f1 f2 protapers. Depuis 4 mois j'ai remplacé s2, f1 f2 par r25 réciproc voir r40.
Ce matin finition r40, pas d'empreinte pour ic, je ne disposais que d'une demi-heure et devis non établi.
Fuck j'arrive pas à virer la radio avec l'inlay core.

R32 dnt4zs - Eugenol
R26 ofbkww - Eugenol

Capture d  cran 2015 03 12 12.28 - Eugenol
chicot29

21/12/2011 à 00h13

marcus écrivait:
----------------
>
> qu'est ce que j'ai gagné comme temps et comme qualité de travail depuis que j'ai
> découvert les tenons fibrés , les resines "dual" collées , et les empreintes
> optiques dans la foulée.

Bah des fois tu as la surprise de trouver des screw post composite sous des ceramo-metal et tu fais la taille direct puis tu cerequise!)
Eh oui, j'ai pas toujours été un bourrin, je me suis calmé pendant 2 ans..... le temps du cerec, mais il a bien fallu remettre les pieds sur terre ))))

R14 p5tqy7 - Eugenol
R28 ehlb93 - Eugenol

Smile beach jgh0a1 - Eugenol
Céramik

21/12/2011 à 00h55

aldo74 écrivait:
----------------
> pour céramique:
> l'inlay core necessite une préparation permettant de ceinturer la dent et n'est
> pas compatible avec les préparations pour céramique pressée ,le congé
> peripherique ne permettant pas ce ceinturage radiculaire;
> le faux moignon subit et transmet alors toutes les contraintes d'ou soit
> descellement et/ou soit fracture
> donc je comprends ce refus de faux moignonspour la céram pressée
> .parfois il est difficile de faire autrement et alors il faut revenir à la CCM.
> j'ai toutefois constaté que les faux moignons en or donnait de bon résultats en
> anterieur ,bien sur on ne parle pas du coté financier..
> ..


Après juste 15 ans de céram collées en antérieur de "5 à 5" , 99% sur des tenons fibrés, je ne vois pas l'intéret des IC, sauf exception assez rare. Si je fait un IC, je ne colle pas de céram, car le collage essentiel pour la céram, n'est pas possible sur des IC métal, alors zircone ou encore plus rarement CCM.

Sur les molaire, ça dépend, mais encore, que quelques IC par an, sur des centaines de cas/an. Mais seulement 15 ans de recul, donc, à ne pas faire !


--
Céramik
avec un seul K, merci


Smile beach jgh0a1 - Eugenol
Céramik

21/12/2011 à 01h02

chicot29 écrivait:
------------------
> "dit chicot 29 , c'est alesé avec des instruments de quelle taille ces canaux?"
>
> Sx protaper, largo numero 3, re sx pour se rapprocher de l'apex puis s1, s2, f1
> f2 protapers. Depuis 4 mois j'ai remplacé s2, f1 f2 par r25 réciproc voir r40.
> Ce matin finition r40, pas d'empreinte pour ic, je ne disposais que d'une
> demi-heure et devis non établi.
> Fuck j'arrive pas à virer la radio avec l'inlay core.

Tsssst
Attention au gros mot....

J'aime bien le IC sur la pré-molaire


--
Céramik

2011 12 20 175740 yyfnny - Eugenol

Capture d  cran 2015 03 12 12.28 - Eugenol
chicot29

21/12/2011 à 01h20

Céramik écrivait:
-----------------
> chicot29 écrivait:
> ------------------
> > "dit chicot 29 , c'est alesé avec des instruments de quelle taille ces
> canaux?"
> >
> > Sx protaper, largo numero 3, re sx pour se rapprocher de l'apex puis s1, s2,
> f1
> > f2 protapers. Depuis 4 mois j'ai remplacé s2, f1 f2 par r25 réciproc voir r40.
> > Ce matin finition r40, pas d'empreinte pour ic, je ne disposais que d'une
> > demi-heure et devis non établi.
> > Fuck j'arrive pas à virer la radio avec l'inlay core.
>
> Tsssst
> Attention au gros mot....
>
> J'aime bien le IC sur la pré-molaire
>
>
> --
> Céramik


1. c'est une 6, 2. c'est pas une de mes réalisations et ça a au moins 12 ans, comme quoi !


Smile beach jgh0a1 - Eugenol
Céramik

21/12/2011 à 02h02

chicot29 écrivait:
------------------
>
>
> 1. c'est une 6, 2. c'est pas une de mes réalisations et ça a au moins 12 ans,
> comme quoi !


C'est certain que sur une 6 ça tient plus...
Place au moins un bout d'amalgame ( eurk) pour boucher l'ouverture..

--
Céramik


Gonzo k0qhwz - Eugenol
matten

21/12/2011 à 14h33

Marc Apap écrivait:
-------------------
> Je n'arrive toujours pas à comprendre comment on peut aimer l'Expasyl .
> L'Astringedent est bien plus facile à utiliser, beaucoup plus efficace et
> incomparablement moins cher. Mais il n'y a pas eu autant de tchatche sur ce
> produit que sur l'autre.

expasyl je n'utilise pas, par contre je connais bien astringedent... Il est extremement acide et brule litterallement les patients si tu le laisses plus de 3 minutes, comme on l'utilise en plus en fin de seance l'anesthesie s'estompe et ces douleurs sont tres difficiles a diminuer meme avec une reinjection d'anesthesique.
En plus il laisse de gros depots colores qui se rincent assez mal je trouve.

Non pour moi c'est le Traxodent qui a toutes les qualites. Tres fort pouvoir hemostatique, pas de brulures, economique.


marcus

21/12/2011 à 23h49

Le Choixpeau magique écrivait:
------------------------------
> marcus écrivait:
> ----------------
> > Un IC métallique sur trois se terminant par une felure ou une fracture
> > radiculaire
>
> Source ?

34 Ans de pratique et d'expérience perso , maintenant je peux trés bien ne pas savoir concevoir des IC métal


Grueavatar nptrc9 - Eugenol
Le Choixpeau magique

22/12/2011 à 00h17

marcus écrivait:
----------------
> 34 Ans de pratique et d'expérience perso , maintenant je peux trés bien ne pas
> savoir concevoir des IC métal

Je ne me permettrais pas de dire cela, mais tu ne trouves pas qu'un sur trois ça fait un peu beaucoup ? Comment se fait-il que ces chiffres ne soient pas retrouvés dans la littérature ? Tu ne crois pas qu'avec un tel taux d'échec cette technique aurait été abandonnée depuis longtemps ?


Marque a3 orange fyvhyq - Eugenol
Marc Apap

22/12/2011 à 09h24

C'est quand même sidérant cet ensemble d'affirmations étayées uniquement pas une expérience personnelle. Et c'est tout aussi étonnant de voir des avis aussi péremptoires, tranchés et divergents.
Concernant l'Astringedent, je n'ai absolument jamais remarqué d'augmentation de douleurs. C'est même pratiquement indolore sur la gencive quand elle n'est pas extrêmement enflammée. Sur les dents, l'effet est nul. J'utilise pratiquement tous les jours de l'Astringedent X avec le seringue et les embouts pour frotter la gencive, et je n'ai jamais vu un produit aussi efficace.
Le Traxodent donne une hémostase faible et de courte durée. A cause de sa consistance très molle, l'éviction gingivale est symbolique.
Si l'on ne veut pas des effets secondaires de l'Astringedent, il y a le Viscostat Clear à base de chlorure d'aluminium. Ces produits interagissent défavorablement avec les polyéthers et les alginates.

Concernant les inlays cores, c'est encore plus incroyable : affirmer que ça provoque des cassures dans une aussi grande proportion, c'est que soit on extrapole, soit il y a vraiment un problème : pas forcément de conception, mais peut être de fabrication, de taille et forme des tenons, de forage des logements, l'ajustage de la pièce métallique, de scellement, de forme de couronne, d'indication...
Les tenons fibrés sont une vaste entreprise commerciale et ne sont pas plus justifiés que les tenons titane. Quand on peut mettre un tenon fibré, on peut mettre n'importe quoi d'autre sans grand risque. Le collage à la dentine radiculaire est assez imparfait malheureusement et compter là dessus, c'est un peu utopique.
J'ai fait des quantités de restaurations directes avec tenons en acier puis en titane. Elles durent mais parfois, il y a des infiltrations entre le composite et la dent. On ne voit jamais ça avec des inlays core en métal. Le composite, même sous une couronne peut s'hydrater, je pense, se dégrader c'est sûr car la résine n'est jamais complètement polymérisée. Sans parler des métalloprotéinases dentinaires qui sont activées et peuvent détruire le collage.
Mon expérience personnelle, c'est que je vois très rarement des fractures radiculaires à cause de tenons. Les plus fréquentes sont sur les prémolaires parce que leur structure les prédispose à la fracture longitudinale. Les racines mésiales des molaires inférieures également.
Parmi les dents que je traite, ce sont surtout des décollement d'inlay core ou de restaurations à tenon fibré qui viennent avec leur couronne que de fractures de racines.


Ico v for vendetta08 jzhpep - Eugenol
Arnaud Go

22/12/2011 à 13h36

Marc Apap écrivait:
-------------------
Concernant les inlays cores, c'est encore plus incroyable : affirmer que ça
> provoque des cassures dans une aussi grande proportion, c'est que soit on
> extrapole, soit il y a vraiment un problème : pas forcément de conception, mais
> peut être de fabrication, de taille et forme des tenons, de forage des
> logements, l'ajustage de la pièce métallique, de scellement, de forme de
> couronne, d'indication...
Marc qui est diplomate. Ça doit être Noël.
Pour le collage céram sur métal, il n'y a pas de traitement de surface le permettant ?
Les réussites de Ceramik sont peut-être liées au strict respect du protocole et l'hygiène des patients d'outre-atlantique.


Smile beach jgh0a1 - Eugenol
Céramik

22/12/2011 à 13h54

Arnaud Go écrivait:
-------------------
> Les réussites de Ceramik sont peut-être liées au strict respect du protocole et
> l'hygiène des patients d'outre-atlantique.

http://www.eugenol.com/sujets/389473-championat-de-france-de-bouche-pourrie-c-est-parti?page=13

hygiène outre Atlantique ???


--
Céramik


Björn

22/12/2011 à 15h56

Apap like.

Dire que les IC fracturent la racine dans 1/3 des cas signifie que:
-soit on ne sait pas faire un IC
-soit on a que des billes autour de son cabinet qui ne savent pas les faire non plus.

Puisqu'on y va de ses statistiques personnelles, j'ai fait environ 3000 IC, j'ai eu quatre fractures (deux prémol sup, une premol inf et une latérale) et trois descellements en onze ans (oui je compte).
Ca fait 0,13% de fractures connues pour des IC scellés depuis trois jours à onze ans.
Je ne compte pas, en revanche, les RFT d'autres praticiens qui se sont pétées dans la couronne et les reprises de caries.


Peut-être les autres échecs sont-ils allés ailleurs, mais c'est possible aussi pour ceux qui font des RFT...

Le seul avantage OBJECTIF des RFT est de pouvoir fermer définitivement le système canalaire avant d'enlever la digue. (difficile de prendre l'empreinte de l'IC avec la digue...).
Le reste, ce sont des résultats d'"études" à faire mourir de rire n'importe quel statisticien, financées par les fabricants de composites et de tenons.

--
Faut savoir faire autre chose que de regarder toute sa vie dans la bouche des gens. (Ameli, 7/12/11)


marcus

24/12/2011 à 01h38

Marc Apap écrivait:
-------------------
> C'est quand même sidérant cet ensemble d'affirmations étayées uniquement pas une
> expérience personnelle. >

Ben oui , cher môssieur le donneur de leçons,
Eugénol n'est qu'un forum d'échange d'idées et d'expériences PERSONNELLES qui n'engagent que leurs auteurs , JE PERSISTE ET JE SIGNE

Je ne peux malheureusement pas mettre en ligne 34 ans de radios mettant en évidence les erreurs que j'ai pu faire ainsi que celles de mes chers confrères , cela n'a , je te l'accorde , aucune valeur scientifique , mais cela essaie de mettre en garde nos plus jeunes quant à la perennité de ce type de reconstruction

çà te plait , çà te plait pas , ton avis m'indiffère

(que les modérateurs m'excusent )


Marque a3 orange fyvhyq - Eugenol
Marc Apap

24/12/2011 à 09h24

Arnaud avait raison, j'aurais dû être moins diplomate avec quelqu'un qui réagit comme toi.
Je trouve sidérant la manière de généraliser, laissant à penser que ton expérience personnelle est une vérité absolue.
Tu aurais écrit : "dans ma pratique, j'ai remarqué que, malheureusement, un IC sur trois se termine par...", cela aurait été plus correct.


01 ukhwbq - Eugenol
Bobby

24/12/2011 à 12h20

Les IC, c'est comme les brocolis. On ne dit pas "les IC, c'est pas bon!".
On dit "j'aime pas les IC" ;-)
90% des problèmes sous IC, c'est quand il y a une clavette, ou deux. La distinction entre IC simple et à clavette est importante à faire. C'est certainement biaisé par les fait que les dent sur lesquelles on fait un IC à clavette sont plus délabrées.
Mon père a eu droit à un IC à clavette sur une 4 du haut. Autant dire que ça s'est mal fini...


maz

24/12/2011 à 12h33

Björn écrivait:
---------------

> Le seul avantage OBJECTIF des RFT est de pouvoir fermer définitivement le
> système canalaire avant d'enlever la digue. (difficile de prendre l'empreinte de
> l'IC avec la digue...).

et la préservation tissulaire ?
mettre de dépouille pour rentrer le "bordel metallique", ça préserve pas des masses les structures résiduelles, alors qu'un collage, oui, surtout qu'avec un collage, on peut continuer à coller derrière, que ce soit un onlay ou une couronne (empress ou emax) ou une facette

et ça ce sont des avantages OBJECTIFS

le "bordel metallique", c'est juste pour ralimenter un peu le débat ;p


Marque a3 orange fyvhyq - Eugenol
Marc Apap

24/12/2011 à 12h46

Uniquement pour le plaisir intellectuel :
Il faudrait comparer la résistance d'une dent reconstituée par un inlay core et celle d'une dent reconstituée par une restauration à tenon avec un composite collé.
Le pb est de faire cela, toutes choses égales par ailleurs, et après une longue période post opératoire, car la résistance de la dentine, du collage, des ciments de scellement, de la capacité de résister à la corrosion etc.. diminuent certainement dans le temps.
Autrement dit, mission quasi impossible. Donc l'objectivité n'est qu'un leurre !


Björn

24/12/2011 à 14h08

maz écrivait:
-------------

> et la préservation tissulaire ?
> mettre de dépouille pour rentrer le "bordel metallique", ça préserve pas des
> masses les structures résiduelles, alors qu'un collage, oui,
>
> et ça ce sont des avantages OBJECTIFS
>

Non, car on ne sait pas si cet avantage des rft n'est pas annulé par d'autres inconvénients non connus.

J'ai de toutes façons l'impression qu'on parle dans le vide, car il y a énormément de paramètres à prendre en compte, en premier lieu les indications: peut-être certains ont-ils la dévitalisation plus facile que d'autres, et donc ont plus de dents avec indication de rft, alors que d'autres dévitalisent lorsque c'est vraiment nécessaire et ont plus d'indications d'inlay core...

Il est sûr qu'une dent peu délabrée qu'on dévitalise pour des raisons "personnelles" sera plus solide avec une rft qu'une dent complètement pourrie avec un ic.
La "préservation tissulaire" commence par éviter de faire des endos, et vue notre nomenclature de merde...
Le principal, c'est que chacun ait trouvé son créneau pour pouvoir bouffer dans ce cadre .

surtout qu'avec un
> collage, on peut continuer à coller derrière, que ce soit un onlay ou une
> couronne (empress ou emax) ou une facette

Je crois que le sujet qui nous occupe, c'est RFT/IC, non?
On peut coller une facette sur une dent dévitalisée?


Björn

24/12/2011 à 14h11

maz écrivait:
-------------
>
> le "bordel metallique", c'est juste pour ralimenter un peu le débat ;p

Sûr que si tu pétais un tiers des racines dans lesquelles tu scellais des IC, comme tu l'as écrit, t'as bien fait d'arrêter. ;-)

--
Faut savoir faire autre chose que de regarder toute sa vie dans la bouche des gens. (Ameli, 7/12/11)