Cookie Consent byPrivacyPolicies.comCeram E-MAX sur FM E-MAX sur 21 - Eugenol

Ceram E-MAX sur FM E-MAX sur 21

Gutgut

21/12/2011 à 16h13

Bonjour


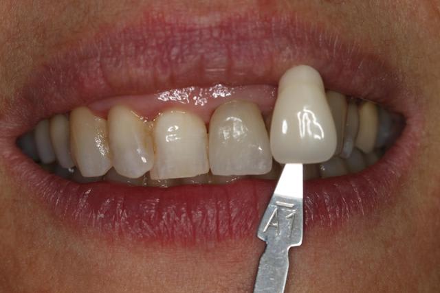
Essayage ce jour de la ceram pure, pouf trop grise.
Ai bien vérifié la teinte avant et après, c'est bien A1. (comme sur la 11) Avec un collet assez opaque, un bord incisif avec un aspect un petit peu crayeux.
Par contre un bon gris de la 21 "dent dévitalisée" difficile à retrouver sur le teintier (Shofu) type C2.

FM E-Max teinte A3.

A quoi est-ce du :

- défaut de confection du prothésiste ?
- inconvénient de l'E-max niveau translucidité par rapport à une chape zircone plus opaque ?
- autre chose ? J'ai peu de recul sur ce type de couronne.

Merci pour tous vos avis et critiques (modérées c'est bientôt Noel...), et d'avance merci à Ceramik pour ses conseils éclairés :)

Img 4703 gkfnz5 - Eugenol
Img 4704 mwat0v - Eugenol
Img 4706 urkzgy - Eugenol
Img 4762 zcgyjy - Eugenol
Img 4762gris ly5cjx - Eugenol
Img 4765 qzllgh - Eugenol
Img 4765gris upvanf - Eugenol

Tortue verte 6011 ubjnyd - Eugenol
Glyde

21/12/2011 à 16h26

Salut Gutgut,
Comme tu l'as souligné, c'est (je pense) davantage un problème de translucidité que de teinte.
Vus d'une part la couleur du substrat, d'autre part la luminosité de la 11 (très lumineuse et peu d'effets de translucidité), une armature céramique semi-opaque est préférable.
Effectivement la zircone correspond à ces caractéristiques.
Mais si tu veux rester sur l'e.max, elle existe aussi en plusieurs degrés de translucidité (haute translucidité, basse translucidité, moyenne opacité, haute opacité).


Img 2951 flo3gr - Eugenol
molinarius

21/12/2011 à 17h01

moi je vois surtout que la 21 qui t a été livrée n'est pas en a1 ..


01 ukhwbq - Eugenol
Bobby

21/12/2011 à 17h18

la poudre de D3 devait être à coté de celle de A1 ^^
Je suis d'accord avec Molinarius. Là c'est plus (+) qu'une question de substrat.


Logo qw3xdt - Eugenol
dds

21/12/2011 à 18h10

Tu peux lui demander une chape MO pour EMax afin de masquer un moignon trop coloré.
Sinon si tu lui as transmis des photos de la prise de teinte, prends une photo de ta pastille du teintier avec bord libre contre bord libre.
Ainsi tu as la dent de référence et ton teintier dans le même plan. C'est plus facile pour lui d'analyser la teinte.
Ton faux moignon est en céramique ou en composite?
La macro-texture au niveau du tiers médian choque un peu par rapport à la dent adjacente.
Enfin sinon, dans ce cas tu n'as aucun intérêt à mettre de la zircone. Reste en EMax, déjà avec du MO tu auras un bon résultat.

--
Normal is not something to aspire to, it's something to get away from


Gutgut

21/12/2011 à 21h10

J'ai essayé de faire tout comme un post récent (http://www.eugenol.com/sujets/393208-ca-vous-parait-correcte?page=3#post_562994)
avec le meme principe : FM E-max + tenon quartz (ici c'est fibre de verre), + Cr E-MAX

J'ai collé le FM au variolink 2.

C'est quoi chape MO ? Mono opaque ? :)

Merci pour vos conseils. Le prothésiste n'est pas hyper formé à l'emax, plutot zircone. Il va me refaire les 2 pour comparer :)

Il se demandait principalement si il pourrait obtenir la meme opacité/translucidité qu'avec la zircone (et moi aussi).
Mais je veux essayer, et vu les différents posts sur l'emax, ça m'interesse vachement !


aldo74

21/12/2011 à 21h26

MO: moyenne opacité sur moignon un peu coloré (orangé jaune)et peu d'épaisseur
HO: haute opacité sur moignon très coloré( gris) et peu d'épaisseur
HT :haute transparence :dent vivante.

la chape dans ton exemple doit être en haute transparence et la translucidité laisse apparaitre le grisé du moignon .
il faudrait vérifier si avec un ciment (fuji) et non une colle (plus indiquée cependant)la translucidité disparaitrait


87 ujotte - Eugenol
Spatouille

21/12/2011 à 21h27

il a bien pressé/usiné un bloc de A1 ? HT, LT , MO ... ?

chez e.max MO c'est moyenne opacité et HO hight opacité (opaque)

mais le bon choix du matériau d'armature ne suffira pas pour donner un bon résultat.
ici l'incisal est très lumineux (ajout de blanc)
l'état de surface est améliorable.


Tortue verte 6011 ubjnyd - Eugenol
Glyde

21/12/2011 à 22h03

"Il se demandait principalement si il pourrait obtenir la meme opacité/translucidité qu'avec la zircone (et moi aussi)."

Je comprends que tu veuilles, dans ce cas, coiffer ton moignon e.max avec une e.max. Mais si c'était pour choisir finalement une armature en zircone, tu aurais pu choisir un autre type de FM.

En réponse à ton questionnement, tu peux obtenir le même degré d'opacité avec une e.max MO ou HO qu'avec une zircone.

Cependant, l'e.max, même en haute opacité (HO) et en teinte A1, paraît moins lumineuse que la zircone (plus fluorescente).







Grueavatar nptrc9 - Eugenol
Le Choixpeau magique

21/12/2011 à 22h17

Franchement le moignon n'est pas si gris que ça, ça doit passer sans soucis en MO et peut être même en LT.
Le faux moignon en emax c'est pas une super idée, tu risques de casser ta racine.
Enfin ton prothésiste n'a vraiment pas l'air de maîtriser l'E.max (comme souvent), peut être devrait-il s'entraîner un minimum avant de proposer le produit à ses clients ?
Je parie qu'il l'a faite en HT, puis a essayé de faire du cache misère en faisant un cut back sur la partie incisale.


Logo qw3xdt - Eugenol
dds

21/12/2011 à 23h59

Le Choixpeau magique écrivait:
------------------------------
> Franchement le moignon n'est pas si gris que ça, ça doit passer sans soucis en
> MO et peut être même en LT.
> Le faux moignon en emax c'est pas une super idée, tu risques de casser ta
> racine.

+1

> Enfin ton prothésiste n'a vraiment pas l'air de maîtriser l'E.max (comme
> souvent), peut être devrait-il s'entraîner un minimum avant de proposer le
> produit à ses clients ?

Ça taille dis moi ;-) Tu as l'air d'avoir connu?

> Je parie qu'il l'a faite en HT, puis a essayé de faire du cache misère en
> faisant un cut back sur la partie incisale.


--
Normal is not something to aspire to, it's something to get away from


Grueavatar nptrc9 - Eugenol
Le Choixpeau magique

22/12/2011 à 00h13

dds écrivait:
-------------
> Ça taille dis moi ;-) Tu as l'air d'avoir connu?

Oui, comme le truc est à la mode, certains s'achètent quelques lingotins "pour essayer". Sauf qu'ils ne prennent qu'une seule opacité, et ne font aucune formation pour s'y mettre.
Il y en a un comme ça qui prétendait maîtriser le truc, je lui ai demandé de me faire une molaire monobloc, il m'a assuré que ce n'était pas possible, qu'il fallait absolument faire un cut-back (tu te demandes si le mec a ne serait-ce que lu le manuel d'Ivoclar). Devant mon insistance il a finalement consenti à faire ce que je demandais, sauf que le résultat était immonde, car il a dû la faire en HO...

Je crois qu'avec ces matériaux qui permettent des résultats esthétiques extraordinaires, on peut aussi être en droit de demander une grande maîtrise du matériau. Comme avec la zircone, si c'est pour avoir un résultat opaque Jacob Delafon (dans ce cas précis c'est plutôt l'inverse), autant faire une CCM, c'est plus simple à préparer et à sceller.


Logo qw3xdt - Eugenol
DDS

22/12/2011 à 00h28

Le Choixpeau magique écrivait:
------------------------------
> dds écrivait:
> -------------
> > Ça taille dis moi ;-) Tu as l'air d'avoir connu?
>
> Oui, comme le truc est à la mode, certains s'achètent quelques lingotins "pour
> essayer". Sauf qu'ils ne prennent qu'une seule opacité, et ne font aucune
> formation pour s'y mettre.
> Il y en a un comme ça qui prétendait maîtriser le truc, je lui ai demandé de me
> faire une molaire monobloc, il m'a assuré que ce n'était pas possible, qu'il
> fallait absolument faire un cut-back (tu te demandes si le mec a ne serait-ce
> que lu le manuel d'Ivoclar). Devant mon insistance il a finalement consenti à
> faire ce que je demandais, sauf que le résultat était immonde, car il a dû la
> faire en HO...
>
> Je crois qu'avec ces matériaux qui permettent des résultats esthétiques
> extraordinaires, on peut aussi être en droit de demander une grande maîtrise du
> matériau. Comme avec la zircone, si c'est pour avoir un résultat opaque Jacob
> Delafon (dans ce cas précis c'est plutôt l'inverse), autant faire une CCM, c'est
> plus simple à préparer et à sceller.

Je suis bien d'accord avec toi.
Malheureusement il y a le même problème avec la zircone qui est la mode. Du coup tu as du bon et du moins bon.
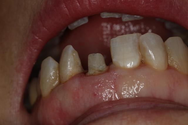
Tiens, voici un cas pour lequel j'en ai un peu ch*** pour faire les couronnes. Petit papy hémiplégique 80ans pour ses 11 & 21.
Au niveau des lignes de craquelures de l'émail, j'ai abandonné, le pépé n'en voulait pas. J'aurais voulu plus copier les 12-13.
Tant pis. Il a été content quand même.
C'est pas moi les 22 & 23 promis :-p

--
Normal is not something to aspire to, it's something to get away from...

Img 8822 jmhv1j - Eugenol

Bebe 038 nf8eum - Eugenol
danteyeah

22/12/2011 à 00h46

Tout à fait d'accord avec choixp. ton prothésiste (bien qu'apparemment doué) ne maitrise pas cette technologie. J'ai vécu la même mésaventure quand j'ai voulu passer au tout céramique avec le céramiste avec qui je bossais en CCM, il était pourtant très doué, mais c'est première CCC étaient vraiment raté, problème de teinte et de saturation systématique.
Demandes à ton prothésiste de revoir sa copie.


Img 2951 flo3gr - Eugenol
molinarius

24/12/2011 à 02h23

bon faudrait quand même rectifier quelques petites choses..

si vos céramique sur zircone sont opaque , ce n'est pas du à la zircone, mais à la céramique
qui est montée dessus , connaissez vous la marque de céramique employée par vos prothésiste ??
Votre prothésiste a t'il un coffret complet de céramique dédiée à la zircone ou achète il une teinte de temps à autre en fonction de la demande ?
Bien souvent s'il soustraite la chape et que c'est occasionnel il va peut être réfléchir avant d'investir 2 à 3 voir 4000 euros dans un coffret ??? ce qui peut ce comprendre ...
Un peu comme vous au cabinet avec les implants ... avez vous toute les longueurs de tournevis de 2 3 ou 4 marques différente? avec les clefs dynamométrique associée ... ??


Idem pour l'emax .... l'investissement n'est pas seulement matériel , imaginez vous stocker
, acheter des plots vendu par 5 dans 10 ou 15 teintes différentes ... en fait il suffisamment pour pouvoir se le permettre ...?


Gutgut

06/01/2012 à 01h26

Jour d'essayage : le prothésiste m'a fait les 2 possibilités Emax et Zircone :)

Emax = trop translucide / parait trop gris encore. Teinte correspondant pourtant. Souci de grade d'opacité ?

Zircone mieux : je pense par contre que c'est bien l'armature zircone qui fait toute l'opacité.
Pas assez "jaune" au collet, et manque de translucidité sur les bords proximaux.

Zircone mxjga5 - Eugenol
Emax jk5xvn - Eugenol
Img 4797 g3fqkr - Eugenol

Gutgut

06/01/2012 à 01h31

J'ai posé un autre cas d'Emax avant hier pas trop mal, patient content.

Sur 21 très large sur laquelle j'ai fait apexification au MTA.

(Sur la photo, ce n'est pas un herpes, mais une chute en luge au ski...)

Variolink II teinte A3

Img 4823 w1tzll - Eugenol
Img 4824 tefmsv - Eugenol
Img 4825 hb49gq - Eugenol
Img 4826 wt2u9l - Eugenol
Img 4820 bvndfb - Eugenol
Img 4810 glevta - Eugenol

Img 2951 flo3gr - Eugenol
molinarius

06/01/2012 à 10h31

Gutgut écrivait:
----------------

>
> Zircone mieux : je pense par contre que c'est bien l'armature zircone qui fait
> toute l'opacité.
> Pas assez "jaune" au collet, et manque de translucidité sur les bords proximaux.

Pour avoir plus jaune au colllet, teinter l armature en fonction , et sur la zone cervical,
Et pour le manque de translucidité , c est une question de montage de poudre par le ceramiste...


le dabe

07/01/2012 à 00h49

Ce qui pose problème en général pour le tout céram, c'est la gestion de la luminosité, et non du chroma.
Pour l'emax, tant que l'on reste dans une gamme de lingotins d'opacité dentinaire, type MO, on gère le chroma, sur une base de luminosité moyenne dans la dentine. Peu de chance d'avoir trop de gris avec ce type de matériau, sauf si bien sur on a du métal (icore ou ancienne richmond taillée). Sur des épaisseurs importantes, sans une stratification adequate des couches d'émail, on peut avoir un effet "opaque" quelque fois génant. Mais, la luminosité est alors réglée par le prothésiste par l'émail, comme dans la plupart du temps dans la dent naturelle.
Sur des épaisseurs plus fines, le LT donne de bon résultat pour avoir une base chromatique compatible avec la teinte choisie. Mais attention au épaisseur de matériau de pressée trop importante. Le matériau étant plus translucide, apporte alors du gris. Absorption qui ne se corrige alors plus par l'émail. Par contre, sur des épaisseurs plus faibles, c'est un matériau très mimétique.
La zircone quant à elle pose souvent des problèmes du fait de sa grande capacité de réflexion. On a souvent un résultat trop lumineux. Mais contrairement à ce que l'on croit souvent, ce n'est pas un matériau opaque. Et il existe une foultitude de zircones commercialisées, avec des caractéristiques optiques, reflectives et mécaniques très différentes. Si ta zircone est plutôt translucide, et que l'épaisseur de l'armature trop faible, c'est le contraire qui peut se produire. Ainsi, avec un support sombre, la couronne devient grise.
C'est toute la magie mais la difficulté du tout céram, c'est que tout ces matériaux ont leur propriètés propres et que ces propriètés changent avec l'environnement ou l'épaisseur...


le dabe

07/01/2012 à 01h12

Gutgut écrivait:
----------------

>
> FM E-Max teinte A3.
>



Le faux moignon emax est en fait un faux moignon avec un tenon Cosmopost et de l'emax pressée dessus. Le Cosmopost, c'est de la zircone. Super rigide et cassant pour un tenon. Délaissé depuis l'arrivée des Ceromer bien plus souples et surtout sur lequel on peut réintervenir et qui se collent, contrairement au tenon Cosmo qui est un fusil à un coup et qui se scelle. Dangereux... Si ca casse, c mort...
Les Ceromer, c'est vraiment top, mais comme tous ces nouveaux produits, nécessitent une mise en oeuvre sans faille...


Smile beach jgh0a1 - Eugenol
Céramik

07/01/2012 à 02h49

le dabe écrivait:
-----------------
> Les Ceromer, c'est vraiment top, mais comme tous ces nouveaux produits,
> nécessitent une mise en oeuvre sans faille...


Tu parles de quoi avec les ceromer ?
Tu as des exemples de produits dans cette classe ?

Merci


--
Céramik


le dabe

07/01/2012 à 17h08

Tenon fibré avec un Ceromer de labo. Type Adoro, Gradia. L'inconvénient de ces produits est qu'il faut une mise en oeuvre sans faille.
Par exemple, l'adoro est un Ceromer photo ET thermo. Valeurs mécaniques excellentes, meilleures que pour une reconstitution directe, esthétique, ça se colle.... Mais la mise en oeuvre au labo doit bien être thermo ET photo. Le raccourci du tunnel de polymérisation classique est facile à prendre, puisque le four adéquate vaut 7000€ je crois. Et si la mise en oeuvre n'est pas bonne, ca tient le temps que ça veut... :)
Autre intérêt de ces produits, c'est le recul important puisque certains existent depuis presque 10 ans.... J'en fais depuis 8 ans avec beaucoup de succès, et quelques échecs. L'expérience étant la somme de nos erreurs, à force d'en faire, le domaine d'application et surtout de mise en oeuvre s'est précisé sur quelques règles simples à suivre...


Grueavatar nptrc9 - Eugenol
Le Choixpeau magique

07/01/2012 à 17h49

Ceromer = composite.


Smile beach jgh0a1 - Eugenol
Céramik

07/01/2012 à 18h03


Donc, c'est un tenon fibré et du compo, fait en indirect sur une empreinte.

J'appel cela un tenon fibré indirect ou bien un IC résine.

J'en ai fait plusieurs, et cela depuis plus de 10 ans.
Effectivement ça prend un labo de qualité, sinon, vaut mieux faire un tenon fibré collé sous digue dans les règles, ce que je fais dans 90%+ des cas.

Et comme dit l'autre, le meilleur tenon, c'est pas de tenon, donc, couronne adhésive, et le moins d'endo possible....vive les onlays ! (autre sujet, je sais !!! )

--
Céramik


le dabe

07/01/2012 à 18h12

Tout à fait d'accord avec toi, à ceci près que ce n'est pas de la résine, mais du Ceromer. Valeur mécaniques très différentes suivant les produits, la mise en oeuvre et une reconstitution directe.


12