Cookie Consent byPrivacyPolicies.comphoto pour mon proto - Eugenol

photo pour mon proto

B0007 r0bvlj - Eugenol
dentiste vignoble

22/12/2011 à 22h08

Depuis quelque temps déjà, j'iconographie mes cas cliniques et je l'utilise aussi pour envoyer un max d'infos à mon proto.
Cependant le résultat n'est pas toujours parfait...comment optimiser les réglages?
1. reglage sur l'appareil, type d'objectif
2. type de flash ou pas
3. type d'éclairage ambiant, avec scialytique ou pas
4.dent sèche ou pas
5. utilisation d'une teinte de ref sur le cliché

Merci de vos avis


sico

22/12/2011 à 22h26

dentiste vignoble écrivait:
---------------------------
> Depuis quelque temps déjà, j'iconographie mes cas cliniques et je l'utilise
> aussi pour envoyer un max d'infos à mon proto.
> Cependant le résultat n'est pas toujours parfait...comment optimiser les
> réglages?
> 1. reglage sur l'appareil, type d'objectif
> 2. type de flash ou pas
> 3. type d'éclairage ambiant, avec scialytique ou pas
> 4.dent sèche ou pas
> 5. utilisation d'une teinte de ref sur le cliché
>
> Merci de vos avis

1. f16-18, vitesse 1/200,objectif macro 105mm les plus grand,le mieux
2.flash d'apareille si tu utilise une grande focal(105mm) flash circulaire si focale courte (60mm par exemple)
3.pas d'eclirage ambiant pas scialytique
4. dent seche et dent humide,comme tu veux
5.teintier en contact avec les dents voisines.

Patiente 4 jzmni7 - Eugenol

B0007 r0bvlj - Eugenol
dentiste vignoble

22/12/2011 à 22h29

rapide, clair et précis.
Merci sico.


sico

23/12/2011 à 00h07

si tu as des autres questions tu peux m'envoyer un mp.


Bebe 038 nf8eum - Eugenol
danteyeah

23/12/2011 à 02h47

sico écrivait:
--------------
> dentiste vignoble écrivait:
> ---------------------------
> > Depuis quelque temps déjà, j'iconographie mes cas cliniques et je l'utilise
> > aussi pour envoyer un max d'infos à mon proto.
> > Cependant le résultat n'est pas toujours parfait...comment optimiser les
> > réglages?
> > 1. reglage sur l'appareil, type d'objectif
> > 2. type de flash ou pas
> > 3. type d'éclairage ambiant, avec scialytique ou pas
> > 4.dent sèche ou pas
> > 5. utilisation d'une teinte de ref sur le cliché
> >
> > Merci de vos avis
>
> 1. f16-18, vitesse 1/200,objectif macro 105mm les plus grand,le mieux

Pourquoi mieux?

> 2.flash d'apareille si tu utilise une grande focal(105mm) flash circulaire si
> focale courte (60mm par exemple)

N'importe quoi!, y'a que le flash de l'appareil sur ta photo: résultat, photo plate, légèrement surexposée dans les zones lumineuses, bouchée dans les zones d'ombre, pas d'indication de la micro géographie. Non!!! Le flash annulaire n'est pas une option si la focal est plus longue.

> 3.pas d'eclirage ambiant pas scialytique

Tu fais tes photos dans le noir??? Si éclairage ambiant bien entendu, par contre pas de Scialytique évidement.
> 4. dent seche et dent humide,comme tu veux

C'est mieux sec, mais ça prend du temps

> 5.teintier en contact avec les dents voisines.

Pourquoi? Tu valides ta teinte sur des photos?


sico

23/12/2011 à 10h57

danteyeah écrivait:
-------------------
> sico écrivait:
> --------------
> > dentiste vignoble écrivait:
> > ---------------------------
> > > Depuis quelque temps déjà, j'iconographie mes cas cliniques et je l'utilise
> > > aussi pour envoyer un max d'infos à mon proto.
> > > Cependant le résultat n'est pas toujours parfait...comment optimiser les
> > > réglages?
> > > 1. reglage sur l'appareil, type d'objectif
> > > 2. type de flash ou pas
> > > 3. type d'éclairage ambiant, avec scialytique ou pas
> > > 4.dent sèche ou pas
> > > 5. utilisation d'une teinte de ref sur le cliché
> > >
> > > Merci de vos avis
> >
> > 1. f16-18, vitesse 1/200,objectif macro 105mm les plus grand,le mieux
>
> Pourquoi mieux?
>
> > 2.flash d'apareille si tu utilise une grande focal(105mm) flash circulaire si
> > focale courte (60mm par exemple)
>
> N'importe quoi!, y'a que le flash de l'appareil sur ta photo: résultat, photo
> plate, légèrement surexposée dans les zones lumineuses, bouchée dans les zones
> d'ombre, pas d'indication de la micro géographie. Non!!! Le flash annulaire
> n'est pas une option si la focal est plus longue.
>
> > 3.pas d'eclirage ambiant pas scialytique
>
> Tu fais tes photos dans le noir??? Si éclairage ambiant bien entendu, par contre
> pas de Scialytique évidement.
> > 4. dent seche et dent humide,comme tu veux
>
> C'est mieux sec, mais ça prend du temps
>
> > 5.teintier en contact avec les dents voisines.
>
> Pourquoi? Tu valides ta teinte sur des photos?

1.c'est simple. avec une focale longue tu peut rester a une plus grande distance de patient...avec une courte tu est oblige de t'aprocher trop.
2.si tu as une grande focale tu peux utilise le flash d'apreille sans avoir une lumiere plat.
en plus, plus la lumiere est proche de centre de l'obiective plus la lumiere va etre plate.
l'exposition du flash tu peux la choisir.
3. ok,eclairage ambiant mais pas du tout important... tu va avoir que la lumiere de flash avec meme si c'est en noir ou avec lumiere ambiante.
5. tu peux valider la teinte sur la photo si tu as fait un balance des blancs corect dans les conditions de cabinet.
je vais essayer de metre des plus des photos .
sur la photo que j'ai poste tu vois des defauts d'eclairage?

sinon ...visitez mon site photo :p www.bondarisilviuphotography.com


sico

23/12/2011 à 11h07

des photos avec mes parametres.
pour la luminosite,photo noir et blanc et pour les detailles photo sous expose...

 dsc0443 o1hhoo - Eugenol
 dsc0466 zshpjc - Eugenol
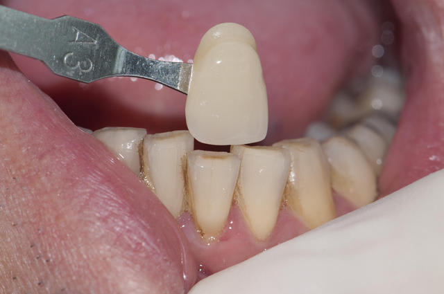
A3 xkko1s - Eugenol
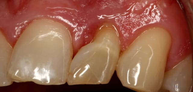
A4 j3y3pu - Eugenol
Dsc 0365 x1khgi - Eugenol
Dsc 0371 vzjaw6 - Eugenol
Empress 4 lxcf6z - Eugenol
Empress 8 ui6pns - Eugenol
Empress 10 nwq5gg - Eugenol
Iana 2 cmeb0l - Eugenol

Bebe 038 nf8eum - Eugenol
danteyeah

23/12/2011 à 11h30

Effectivement, c'est pas à toi qu'on va apprendre la composition d'une image, ni le traitement post cliché, mais honnêtement tes photos dentaires sont trop contrastées (sures dans les hautes lumières) et seules celles en légère sousex. donnent des indications de microgéographie, pour les teintes même avec une balance des blancs correct, tu devras exploiter ton cliché sur écran et Quid de son étalonnage? et faut pas espérer que ton prothésiste ai les même réglages que toi. le teinter n'est là que pour indiquer la/les teintes choisie, et non comme aide au choix.
Je suis persuadé que tes images seraient bien meilleur avec un flash annulaire, comme tu dis "l'exposition du flash tu peux la choisir", certes mais pas sa direction, contrairement à un flash macro. Toi qui excelles en portrait tu dois comprendre l'intérêt des boites à lumière, et la nécessité d'éclairer ton sujet en mixant les sources de lumières, pour moi c'est pareil en photo dentaire..
Quand à la focal, prés ou loin du patient n'est ni un avantage ni un inconvénient pour moi, mais là chacun ses gouts.
As tu des images de molaires ou d'arcade complète avec un flash cobra et pas annulaire, je suis curieux du résultat, vu les ombres portées qu'on voit déjà sur tes clichés.


sico

23/12/2011 à 11h53

j'ai pleins des boites a lumiere :)
j'ai essaye aussi les flashes anulaire. je vois pa l'interet.
peut etre je me trompe.
j'utilise bcp la lumiere dans mes photos.
je vais essayer l'anne prochaine de faire un micro curs de photo dentaire de mon point de vue.pour une comparaison des flash et focale.


Bebe 038 nf8eum - Eugenol
danteyeah

23/12/2011 à 12h38

sico écrivait:
--------------
> j'ai pleins des boites a lumiere :)
> j'ai essaye aussi les flashes anulaire. je vois pa l'interet.
> peut etre je me trompe.
> j'utilise bcp la lumiere dans mes photos.
> je vais essayer l'anne prochaine de faire un micro curs de photo dentaire de mon
> point de vue.pour une comparaison des flash et focale.

Fais nous juste un ou deux clichés d'arcade complète avec ton cobra ça devrait suffire à me calmer si ça donne de bon résultat.
Pour ton cours, on devra aussi apprendre l'écartement au doigt et au miroir ;-)
La photo dentaire n'est pas un art (l'art très honnêtement tu maitrises, particulièrement touché par le landscape noir et blanc pose longue, une ambiance qu'on retrouve, même si c'est pas le même sujet, dans le travail de J.L. Sief, j'adore).
La photo dentaire c'est juste de la rigueur, afin d'obtenir des informations. Rigueur que l'on retrouve ici dans le cliché de mock-up postop; mais qui manque dans le cliché préop: manque de profondeur de champ

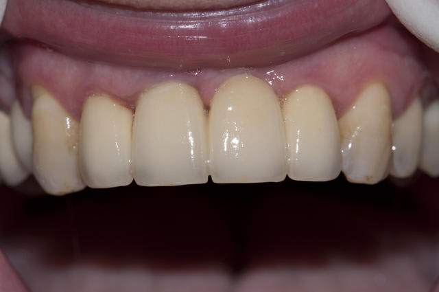
Mockup1 wodaay - Eugenol
Mockup 3 xn24n2 - Eugenol

Bebe 038 nf8eum - Eugenol
danteyeah

23/12/2011 à 12h51

Et pour le coup de la focal courte (j'utilise du 60 mm effectivement), je te promets que la patiente n'a pas porté plainte pour harcèlement quand il a fallu se rapprocher pour obtenir ce grossissement (MAP à 25 ou 30 cm).
Tiens toujours le même défaut entre pré et post mock-up: Profondeur de champ limite, un défaut qu'on retrouve pas mal sur tes clichés d'ailleurs

Mockup 2 bowwfq - Eugenol
Mockup4 flyut1 - Eugenol

cocobret

23/12/2011 à 13h19

Je n'y connais rien en photo et je viens de m'équiper en fonction des conseils des habitués de la photo sur eugénol. Sans vouloir en rajouter une couche et sans être un pro, je trouve que la qualité de tes photos peut-être améliorée.
QUelques clichés pris avec mon appareil que je possède depuis 3 semaines avec le matériel et les réglages donnés dans un autre post.

Ab dk9enj - Eugenol
Img 0109 ga23kc - Eugenol
Pou zkwzaj - Eugenol

sico

23/12/2011 à 14h04

ok,je veux pas de polemique. moi j'utilise un 105mm nikon et j'ai aussi un 60 mm nikon.
desole pour les doigts dans les photos...
mes photos sont prises avec le flash d'apareille pas avec des cobras...
profondeur de champs est limite...a f16-18 c'est super pour la bouche.
danteyeah tu utilise quoi comme ouverture? f12,f14? on voit pas tres bien les derineres dents et l'image est bcp plus lumineuse sur les canines -incisives...avec le flash anulaire.
moi je vois pas la diference que vous dites entre mes photos et les votres. au niveau exposition un peu peut etre mai ca c'est une question de choix.
si vous voulez acheter un flas anulaire,pas des soucis.

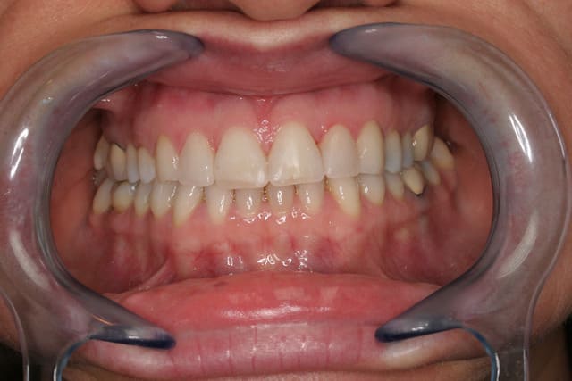
Pre si postop1 zsoxat - Eugenol
Pre si postop2 fbjpna - Eugenol
Suraspre post tfceor - Eugenol

Bebe 038 nf8eum - Eugenol
danteyeah

23/12/2011 à 14h52

sico écrivait:
--------------
> ok,je veux pas de polemique. moi j'utilise un 105mm nikon et j'ai aussi un 60 mm
> nikon.
> desole pour les doigts dans les photos...
> mes photos sont prises avec le flash d'apareille pas avec des cobras...
> profondeur de champs est limite...a f16-18 c'est super pour la bouche.

Sauf que sur tes premiers clichés on est pas à 16 ou 18, contrairement aux dernier

> danteyeah tu utilise quoi comme ouverture? f12,f14? on voit pas tres bien les
> derineres dents et l'image est bcp plus lumineuse sur les canines
> -incisives...avec le flash anulaire.

Oui en préop ça doit doit être ça (surement 12) d'où le manque de profondeur de champ, les post op sont à 16 ou 18 (les petites focale ont une plus grande profondeur de champ, donc on ferme un peu moins l'iris, que pour les 100 ou 105mm).
Pour la lumière, c'est franchement normal que le bloc incisive-canin récupère plus de lumière que le bloc postérieur (il est devant et pas dans l'ombre), c'est amusant cette critique quand on voit des surexposition franche sur tes clichés (bloc antérieur) et des contrastes important lié à la difficulté qu'a un flash d'appareil à moduler la lumière qu'il crée.
Quand je vois tes photos, j'ai l'impression de revoir ce que je faisais il y a presque quinze ans avec mon premier compact numérique (Nikon coolpix 900, en l'occurrence).

> moi je vois pas la diference que vous dites entre mes photos et les votres. au
> niveau exposition un peu peut etre mai ca c'est une question de choix.

Et les ombres portées que crée ton flash tu ne les vois pas????
Sérieux, ça donne des images froide, systématique des images figées au flash avec une source de lumière directe unique, un peu comme ce qu'on obtient avec un scyalitique.

> si vous voulez acheter un flas anulaire,pas des soucis.

Le coté économique n'est pas le sujet, c'est de réglages dont on parle, et pour l'instant rien dans tes clichés ne me permets d'affirmer qu'on peut se passer d'un annulaire pour de la macro dentaire, bien au contraire


sico

23/12/2011 à 14h55

t'as raison


JulienM

23/12/2011 à 16h55

Je profite du sujet pour souhaiter à tous de bonnes fêtes de fin d'année.
Au pied du sapin d'Eugénol, je mets à disposition de tous ceux qui le désirent ma thèse sur la photo au cabinet, j'avais pas mal bossé dessus et ça peut surement rendre service à ceux qui commencent ...et peut-être aussi aux autres !

La troisième partie essayait de définir un protocole pour déterminer la teinte de façon sure grâce à la photo et photoshop.
Pour ceux que cela intéresse, je serai ravi d'en discuter avec vous...


Bebe 038 nf8eum - Eugenol
danteyeah

23/12/2011 à 17h25

JulienM écrivait:
-----------------
> Je profite du sujet pour souhaiter à tous de bonnes fêtes de fin d'année.
> Au pied du sapin d'Eugénol, je mets à disposition de tous ceux qui le désirent
> ma thèse sur la photo au cabinet, j'avais pas mal bossé dessus et ça peut
> surement rendre service à ceux qui commencent ...et peut-être aussi aux autres !
>
> La troisième partie essayait de définir un protocole pour déterminer la teinte
> de façon sure grâce à la photo et photoshop.
> Pour ceux que cela intéresse, je serai ravi d'en discuter avec vous...

Vraiment sympa de ta part de partager ton travail, en entier en plus. pas le temps de lire pour l'instant mais promis on va lire, déjà intrigué par l'utilisation de photoshop (un autre monde pour moi, alors que Sico semble parfaitement maitriser ça), là on va apprendre des trucs, merci!


Smile beach jgh0a1 - Eugenol
Céramik

23/12/2011 à 18h21

+1 je ferais la lecture plus tard, mais merci.

Pour moi, je sais que bcp n'aime pas, mais je fais très rarement en dessous de f20, et en générale autour de f29.

Le ring flash est bcp mieux que le flash de l'appareil, il n'ya pas photo...

L'ultime est les flash monté sur un rail pour la photo des antérieurs, avec tx photo shop en Raw, sur écran haute définition étalonné, si ton proto a lui aussi une bel écran étalonné, mais c'est pas pour tout le monde.

http://www.photomed.net/wireless.htm



Voir les photo de P Magne, Ed McLaren de UCLA, et autres.

Il y a un type au usa qui donne 3 niveaux de formation...de 2 jours chaqu'un sur la photo dentaire !!! Je l'ai vu lors d'un présentation de 2h, il est très loin en avance sur mes p'tites photo d'amateur ! La photo est une discipline en soit.

P'tit exemple:
Photo dent 22, f25
Canon Xsi, Mr14-X, Sigma 105 mm
Manuel, ETTL +1/3, f25, iso 200, 1/200
Fichier "medium" (6 mpix et non maxi 12 mpix)
Recadré dans logiciel photo gratuit, ajout d'un peu de contraste
(picassa-3).

Bonne vacances à tous.


--
Céramik

Dent 22  f25  ppvmun - Eugenol

Bebe 038 nf8eum - Eugenol
danteyeah

23/12/2011 à 19h33

Céramik écrivait:
-----------------
> +1 je ferais la lecture plus tard, mais merci.
>
> Pour moi, je sais que bcp n'aime pas, mais je fais très rarement en dessous de
> f20, et en générale autour de f29.
>
> Le ring flash est bcp mieux que le flash de l'appareil, il n'ya pas photo...
>
> L'ultime est les flash monté sur un rail pour la photo des antérieurs, avec tx
> photo shop en Raw, sur écran haute définition étalonné, si ton proto a lui aussi
> une bel écran étalonné, mais c'est pas pour tout le monde.
>
> http://www.photomed.net/wireless.htm

Merci pour le lien, très intéressant le CANON EX 270, qui peut aussi faire Cobra, je connaissais que les Flashs Nikon dans ce genre, ça me tente bien (là c'est la blonde en moi qui parle :-))

Pour les fermetures en dessous de f20 (voir même de f16), c'est un tic de vieux photographe, en effet les cailloux donnent souvent le meilleur d'eux même au alentour de f8, et plus on ferme et plus on perd en piquet et on risque le vignettage etc.., mais franchement tu as raison de fermer plus ton iris,Céramik, car en dentaire on y gagne énormément en profondeur de champ, et que généralement on regarde nos images sur écran et je ne pense pas que quelqu'un veuille s'amuser à tirer ses clichés en 4 par 3. Promis je vais m'y mettre
>
>
>
> Voir les photo de P Magne, Ed McLaren de UCLA, et autres.
>
> Il y a un type au usa qui donne 3 niveaux de formation...de 2 jours chaqu'un sur
> la photo dentaire !!! Je l'ai vu lors d'un présentation de 2h, il est très loin
> en avance sur mes p'tites photo d'amateur ! La photo est une discipline en soit.

Sinon on attend un peu et va y avoir le cour de Sico bientôt ;-)

>
> P'tit exemple:
> Photo dent 22, f25
> Canon Xsi, Mr14-X, Sigma 105 mm
> Manuel, ETTL +1/3, f25, iso 200, 1/200
> Fichier "medium" (6 mpix et non maxi 12 mpix)
> Recadré dans logiciel photo gratuit, ajout d'un peu de contraste
> (picassa-3).

Bohhhh!!!

Une petite question: à 4 mains tes photos ou tout seul?
>
> Bonne vacances à tous.

Pareil
>
>
> --
> Céramik


B0007 r0bvlj - Eugenol
dentiste vignoble

23/12/2011 à 19h47

Très interessant vos posts.
Concernant la restitution des teintes, quel type d'éclairage d'ambiance utilisé vous(je fonctionne avec un albedo 2.0)?
J'ai la sensation que la puissance de la lampe ou son spectre oriente souvent mes choix de teinte, j'ai par exemple rarement du B.
La couleur des murs va t-elle influée?


Bebe 038 nf8eum - Eugenol
danteyeah

23/12/2011 à 20h12

dentiste vignoble écrivait:
---------------------------
> Très interessant vos posts.
> Concernant la restitution des teintes, quel type d'éclairage d'ambiance utilisé
> vous(je fonctionne avec un albedo 2.0)?
> J'ai la sensation que la puissance de la lampe ou son spectre oriente souvent
> mes choix de teinte, j'ai par exemple rarement du B.

Ca c'est parceque tu es en Alsace ;-), il y a plein de D.

Sinon l'éclairage influx, donc pour améliorer l'éclairage du cabinet, on a besoin d'un éclairagiste, il y avait un post la dessus avec de bonnes remarques de Marc Apap.

Plus simple si ça marche: Bisico, distribue aussi un dispositif qui isole la ou les dents à analyser sous une lumière à 5500°K, avec un environnement de gris à 16 ou 18% je crois, je n'ai pas essayé, faudrait leur demander si ils prêtent leur matos pour ce faire une idée, ça s'appel le "TrueShade".

> La couleur des murs va t-elle influée?
Oui entre autre.


Smile beach jgh0a1 - Eugenol
Céramik

23/12/2011 à 20h26

4 mains, le patient tient les rétracteurs, et je fais la photo !!!

Ou bien, patient tient les rétracteurs, l'AD le miroir, et je fais la photo...6 mains !

Je fais parfois seul miroir une maim, appareil photo de l'autre et patient tient rétracteurs, mais c'est plus difficile.

Mon Canon Xsi me fait des conneries cette semaine...l'auto focus, que je prend pas très souvent refuse de fonctionner...problème d'objectif ou de boitier, je testerais avec autre boitier et objectif...



--
Céramik


JulienM

24/12/2011 à 13h33

En fait, l'environnement influe très peu (couleurs des murs, éclairage des spots, plafonniers, etc).

On peut appréhender les différentes sources de lumières ainsi :
1/ On bannit tout de suite le scyalitique, lumière souvent jaune. On l'écarte.
2/ Lumière d'ambiance du cabinet : on garde, déjà parce que ça donnerait une image très étrange du cab de se mettre dans le noir avec le patient. Ensuite, parce qu'on a besoin d'un minimum de lumière pour mettre au point précisément.
Et enfin, je maintiens que ça ne change pas la donne. Pour s'en rendre compte, il suffit de conserver les réglages (diaph fermé à minimum f/20 pour la profondeur de champ, vitesse à 1/125) et de déclencher sans flash : la photo est très très sombre !! Plus de 99% de la lumière saisie par le capteur provient du flash annulaire.


JulienM

24/12/2011 à 13h48

Denteyeah écrivait :"Plus simple si ça marche: Bisico, distribue aussi un dispositif qui isole la ou les dents à analyser sous une lumière à 5500°K, avec un environnement de gris à 16 ou 18% je crois, je n'ai pas essayé, faudrait leur demander si ils prêtent leur matos pour ce faire une idée, ça s'appel le "TrueShade"."

Le plus gênant au niveau teinte en fait, c'est que la lumière projetée du flash annulaire va atteindre la dent par deux trajets. Le premier est direct. La seconde partie de la lumière atteint dans un premier temps la gencive, puis se réfracte sur les éléments dentaires, après avoir vu son spectre modifié pour devenir "rosée".

Il en résulte un phénomène appelé redshift : un halo rosé sur les éléments dentaires proches des tissus gingivaux (cf illu)

Au moment où je réfléchissais à tout ça, j'avais fabriqué un dispositif en résine + peinture noir mat, c'était de l'artisanat :)

Red shift1 ujpjbq - Eugenol
Redshift 002 n0c0lv - Eugenol
Redshift 008 o0zt6o - Eugenol
Redshift 007 vyt70o - Eugenol
Redshift2 ejsyyy - Eugenol

Bebe 038 nf8eum - Eugenol
danteyeah

24/12/2011 à 16h55

JulienM écrivait:
-----------------
> En fait, l'environnement influe très peu (couleurs des murs, éclairage des
> spots, plafonniers, etc).
>
> On peut appréhender les différentes sources de lumières ainsi :
> 1/ On bannit tout de suite le scyalitique, lumière souvent jaune. On l'écarte.
> 2/ Lumière d'ambiance du cabinet : on garde, déjà parce que ça donnerait une
> image très étrange du cab de se mettre dans le noir avec le patient. Ensuite,
> parce qu'on a besoin d'un minimum de lumière pour mettre au point précisément.
> Et enfin, je maintiens que ça ne change pas la donne. Pour s'en rendre compte,
> il suffit de conserver les réglages (diaph fermé à minimum f/20 pour la
> profondeur de champ, vitesse à 1/125) et de déclencher sans flash : la photo est
> très très sombre !! Plus de 99% de la lumière saisie par le capteur provient du
> flash annulaire.

Oui bien sur , mais la question posé par notre confrère Alsacien, ne concernait pas la photo, mais la prise de teinte au fauteuil à l'oeil nu (en tout cas c'est ce que j'avais compris), donc dans ce cas les couleur, température de couleur des éclairages sont important car notre oeil y est sensible (je ne parlais pas du capteur de l'appareil), et le True Shade est une sorte de "jumelle", ça n'est pas compatible avec de la photo.

Sinon pour ta thèse et ton nouveau post, patiente...on va lire mais pour l'instant c'est les enfants avant tout....Bonnes fêtes.


12