Cookie Consent byPrivacyPolicies.comphoto pour mon proto - Eugenol

photo pour mon proto

mat2t

24/12/2011 à 20h44

Je ne n'y connais absolument rien en photos mais je compte m'y mettre dans un but professionnel.

Si quelqu'un a une référence d'appareil à me conseiller pour commencer , ça serait très sympathique.


maz

25/12/2011 à 01h32

mat2t écrivait:
---------------
> Je ne n'y connais absolument rien en photos mais je compte m'y mettre dans un
> but professionnel.
>
> Si quelqu'un a une référence d'appareil à me conseiller pour commencer , ça
> serait très sympathique.

http://www.eugenol.com/sujets/394955-appareil-photo

joyeux noel


Bebe 038 nf8eum - Eugenol
danteyeah

30/12/2011 à 02h00

JulienM écrivait:
-----------------
> Je profite du sujet pour souhaiter à tous de bonnes fêtes de fin d'année.
> Au pied du sapin d'Eugénol, je mets à disposition de tous ceux qui le désirent
> ma thèse sur la photo au cabinet, j'avais pas mal bossé dessus et ça peut
> surement rendre service à ceux qui commencent ...et peut-être aussi aux autres !
>
> La troisième partie essayait de définir un protocole pour déterminer la teinte
> de façon sure grâce à la photo et photoshop.
> Pour ceux que cela intéresse, je serai ravi d'en discuter avec vous...

Voilà c'est lu, bon j'avoue avoir survolé certains chapitres, et notamment celui qui décrit ton matos et sa prise en main, mais pour les néophytes et ceux qui veulent s'y mettre, lire ton travail devrait répondre à l'ensemble des questions sur le sujet que l'on retrouve sur ce Forum, un grand merci à toi Julien.
Ta proposition du choix des teintes par la photo ressemble de loin (cache, lumière équilibrée, et image reproductible)à la Sopro d'Actéon (dont tu parles d'ailleurs finalement dans ta conclusion), en plus complexe mais également en plus scientifique, et donc plus précis. Il serait tout de même profitable de créer un logiciel qui randomise le travail de comparaison des différent critères définissant la teinte (luminosité-couleur-saturation et pourquoi pas comme tu le proposes translucidité), parce que faire 26 calques par cas puis les comparer ensuite un par un, puis les analyser, les quantifier (et pas de bol, on obtient pas une, mais plusieurs possibilités, avec des nuances etc..), ça prend toute la journée. La sopro c'est plus pifométrique, mais c'est fait en 3 minutes (voir moins).
Un autre détail soulevé aussi (un peu) dans la thèse, c'est que la majorité des céramistes ne travaillent pas avec du 3D master, et ne montent pas forcément en poudre Ivoclar, il y en a même un paquet qui te transforment tes références de teinte 3D master en Vitapan (expérience perso), et le Vitapan ne représente pas des teintes (couleur-luminosité-saturation), mais des montages céramique, c'est donc peu exploitable par ton système et de nouveau pifométrique.
Tu donnes aussi une limite au système dans le cas de microgéographie importante de la dent, et donc de risque important d'ombres portées. A ce moment là, avec un flash annulaire et sans modifier le ration entre le tube droit et le gauche, on devrait pouvoir écraser ces reliefs non?
Toujours dans le domaine du relief, je suis arrivé, aussi de manière empirique à choisir un ratio de 1:4 pour le réglage des tubes du flash, mais indifféremment à droite ou à gauche, dans ta thèse tu sembles faire prédominer la droite sur la gauche, c'est une constation faite, ou simplement tu n'as pas jugé utile de dire que le coté n'a pas d'importance que seul le ratio est important?
Un autre détail: tu utilise quelques principe de psychologie pour expliquer l'intérêt de rester à distance du patient pour réaliser tes clichés (espace privé-social-public...), crois tu vraiment que chez un patient que tu viens de soigner (doigts, matériel et produits plus ou moins dégueu direct en bouche), on en soit encore à se demander si on viol son espace intime avec un appareil photo trop proche de son visage? Pour ma part j'utilise une focale courte, qui, comme je suis souvent seul (assistante pas toujours au fauteuil) me permets de plus facilement tenir un miroir, un écarteur, une soufflette. Les focales longues sont alors mois confortable dans ce cas (bon j'avoue, c'est quand même de l'enculage de mouche là!!).

Eh bien y a plus qu'à s'y mettre à Photoshop et à ses calques. Et si quelqu'un est capable de pondre un programme permettant le traitement du cliché avec choix de la teinte dans la minute, on a trouvé le "XRite" du pauvre (colorimètre hors de prix, surtout qu'il en faut 2, un au cabinet et un au labo!!!).































maz

30/12/2011 à 11h52

si on rentre dans l'enculage de mouches, michel magne, à sa conf a bruxelle au début du mois disait sur la photo
que le 100mm était l'universel qui permettait de tout faire
que les 50/60 étaient mieux en antérieur, mais moins bien en postérieur
(cela dit, je m'en sort avec mon 60 et comme tu dis, j'arrive à l'utiliser facilement sans assistante, avec miroir dans la bouche du patient dans la main gauche)

je pense que c'était parce que en étant plus prêt de la dent à photographier ça permettait de donner a la lumière du flash une orientation plus tangentielle à la dent, et mieux mettre en valeur la géographie
si c'est pour ça, un système de bras prolongateurs pour mieux placer les têtes de flash comme celui qu'à posté ceramik permettrait de faire pareil avec le 100 qu'avec le 60

perso je viens de faire l'acquisition de ces petites rotules pour avancer les têtes de mon 24EX comme sur cette photo : http://www.naturepixel.com/canon_100macro_mt24ex_580ex_diffuseur_stofen_omni-bounce.htm

j'ai d'ailleurs pris aussi (sur les conseils de la conf de michel magne toujours) les diffuseurs pour les têtes du flash, et un filtre polarisant pour l'objectif
je les ai reçus la semaine dernière, pas eu trop le temps de tester


JulienM

30/12/2011 à 15h23

Tout d'abord, merci d'avoir pris du temps pour me lire :)

Tu as tout à fait raison Denteyeah, la troisième partie avait plus vocation de recherche et de "disséquer" le fonctionnement des colorimètres (mieux comprendre pour mieux utiliser). Au début, j'avoue avoir vraiment cru à une macro enregistrée qui ferait tout le travail automatiquement, mais à force de nuit blanche, je me suis fait une raison...

Effectivement, les protos ne travaillent ni avec le même teintier, ou même parfois avec des poudres d'autres systèmes moins chers. Et VITA par exemple, mais pas exclusivement, ne fournit pas de table de correspondance des teintes d'un fabricant à un autre. C'est donc uniquement à l'oeil que le proto "convertit". Pifométrique tu as dit ?

Pour la microgéographie, je sépare l'état de surface qui va créer des ombres portées dans certains cas et la microgéographie des teintes, qui signifie que pour une antérieure, on ne peut généralement pas se contenter de dire "c'est du 3M2". La solution est donc une cartographie. Au cab, bien concrètement, on fait souvent des cartos à 3 teintes, voire 4, assez schématique. Plus on détaillerait cette carte, meilleur devrait être le résultat, mais quels yeux ferait le proto devant une carto avec 17 zones identifiées ?
Le flash annulaire n'aura donc pas d'incidence sur la microgéographie des teintes. Pour l'état de surface, je ne pense pas qu'il y ait une grosse différence entre un ratio décalé sur le flash droit ou sur le gauche si on reste assez tangentiel à l'arcade.
Pour l'état de surface, c'est 30 secondes sur l'ordi pour importer la photo et appliquer la transformation (cf mon post Photo dentaire et développement RAW).

Pour la psychologie, hum, comme le reste au cabinet, on a le droit de parler pour expliquer, et ça passe tout seul. Je crois aussi que cette partie ne sert vraiment pas à grand chose.

Maz, tu parles de Michel Magne, il y a un lien avec Pascal Magne ? C'est pour moi l'ouvrage le mieux iconographié dans notre domaine, les photos sont sublimes et on verserait presque une larmichette d'émotion en se disant "c'est beau une incisive !"

1615479 l gjkr8y - Eugenol

Bebe 038 nf8eum - Eugenol
danteyeah

30/12/2011 à 15h57

maz écrivait:
-------------
> si on rentre dans l'enculage de mouches, michel magne, à sa conf a bruxelle au
> début du mois disait sur la photo
> que le 100mm était l'universel qui permettait de tout faire
> que les 50/60 étaient mieux en antérieur, mais moins bien en postérieur
> (cela dit, je m'en sort avec mon 60 et comme tu dis, j'arrive à l'utiliser
> facilement sans assistante, avec miroir dans la bouche du patient dans la main
> gauche)
>
> je pense que c'était parce que en étant plus prêt de la dent à photographier ça
> permettait de donner a la lumière du flash une orientation plus tangentielle à
> la dent, et mieux mettre en valeur la géographie
> si c'est pour ça, un système de bras prolongateurs pour mieux placer les têtes
> de flash comme celui qu'à posté ceramik permettrait de faire pareil avec le 100
> qu'avec le 60
>
> perso je viens de faire l'acquisition de ces petites rotules pour avancer les
> têtes de mon 24EX comme sur cette photo :
> http://www.naturepixel.com/canon_100macro_mt24ex_580ex_diffuseur_stofen_omni-bounce.htm
>
> j'ai d'ailleurs pris aussi (sur les conseils de la conf de michel magne
> toujours) les diffuseurs pour les têtes du flash, et un filtre polarisant pour
> l'objectif
> je les ai reçus la semaine dernière, pas eu trop le temps de tester

100% "enculage de mouche approuvé" :-)
Par contre pour le rajout du filtre polarisant, va falloir te greffer 2 bras supplémentaires, c'est déjà galère la MAP manuelle avec les nulissime bague de réglage des optique AF d'aujourd'hui, alors gérer en plus le réglage du filtre, ça va devenir une prouesse de prestidigitateur, donnés nous t'es impressions, merci.





maz

30/12/2011 à 16h42

JulienM écrivait:

> Maz, tu parles de Michel Magne, il y a un lien avec Pascal Magne ? C'est pour
> moi l'ouvrage le mieux iconographié dans notre domaine, les photos sont sublimes
> et on verserait presque une larmichette d'émotion en se disant "c'est beau une
> incisive !"

oui, c'est son grand frère, et son prothésiste
c'est lui qui fait les céramiques qu'on voit dans ce bouquin déprimant ... quand on voit une dent on ne sait pas si c'est une provisoire, une vrai dent ou une céramique ;p
ils donnent des cours ensemble, chez eux aux states, et parfois des confs ensemble comme récemment à bruxelles, une demi-journée chacun

pour le filtre et les diffuseurs, il suffit de visser le filtre sur l'objectif, et de clipper les diffuseurs sur le flash, ça ne change rien après


Bebe 038 nf8eum - Eugenol
danteyeah

30/12/2011 à 17h02

maz écrivait:
-------------
> pour le filtre et les diffuseurs, il suffit de visser le filtre sur l'objectif,
> et de clipper les diffuseurs sur le flash, ça ne change rien après
>

Un filtre polarisant est généralement circulaire, et change d'effet en fonctions de sa position, il faut donc le faire tourner pour obtenir le résultat recherché, cela fait donc un truc en plus à régler. Pire, si la MAP de l'objectif n'est pas interne, alors la MAP va faire tourner le filtre et changer les réglages (c'est du vécu, avec il est vrai avec un transtandard moyen gamme à réglage externe du zoom et de la MAP, mais je crois que l' EF 60 de Canon ne souffre pas de ce défaut)


maz

30/12/2011 à 18h05

j'ai pris un filtre uniforme, et effectivement, le 60 EFS canon ne tourne pas je crois


maz

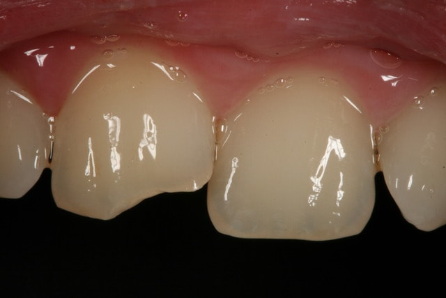
14/01/2012 à 17h03

premier test du filtre polarisant, avec une sous ex du flash, je trouve qu'on voit déjà pas mal "à l'intérieur" de la dent

image brute, même pas retournée ; puis la même boostée

20120106 img 0115 xyxmeo - Eugenol
Contrast e wsv62r - Eugenol

Smile beach jgh0a1 - Eugenol
Céramik

14/01/2012 à 18h17

maz écrivait:
-------------
> premier test du filtre polarisant, avec une sous ex du flash, je trouve qu'on
> voit déjà pas mal "à l'intérieur" de la dent
>
> image brute, même pas retournée ; puis la même boostée


Je me demande ce que ton protho peux faire avec ces images ?

--
Céramik


87 ujotte - Eugenol
Spatouille

14/01/2012 à 21h07

si c'est utile ceramik, on y voit bien l'intérieur de la dent comme dit Maz (mamelons, translucides ...) et la macrogéographie .
à accompagné d'une photo normalement exposée pour la teinte avec échantillon teintier dessus .


maz

14/01/2012 à 22h39

toutafay on voit plus l'intérieur de la dent, la partie dentine et la zone opalescente
par contre on voit moins les reflexions de l'email et la géographie avec le filtre polarisant, puisque justement on élimine les reflets

un exemple d'utilisation pour faire un compo, une photo (j'avais pas encore le filtre polarisant, mais comme dit plus haut, c'est un peu de la sodomie de dyptère d'aller jusque là, c'est parce que je me fais plaisir avec la photo surtout)
une retouche bourrin sur photoshop pour bien voir le merdier

le compo fait en fonction

la photo de fin est la pire, ça permet de voir toutes les imperfections de son travail, j'étais il y a pas longtemps à une conf ou le conférencier disait que faire des photos c'était fantastique, mais seulement après 2 ou 3 ans, le temps de s'améliorer, au début quand on regarde ses photos ça va jamais !

Pierre  1  wrqyis - Eugenol
Pierre contrast  hph1y4 - Eugenol
Composite finit umqgvk - Eugenol

12