Cookie Consent byPrivacyPolicies.comPhoto dentaire et développement RAW - Eugenol

Photo dentaire et développement RAW

JulienM

24/12/2011 à 14h44

Pour rebondir sur le sujet "photo et proto", je propose de parler un peu de développement RAW.
Tous nos boitiers reflex proposent le double enregistrement des clichés en JPG et RAW.
Le RAW sert à enregistrer plus d'information de lumière, et les développeuses RAW qui permettent de l'exploiter sont intégrées dans Photoshop, Lightroom, Aperture ou même fournies avec les appareils directement (Canon Digital Photo Pro, équivalent chez Sony ou Nikon).
On peut bidouiller pas mal de réglages, et enregistrer des sets de réglages sous forme de profils pour les rappeler rapidement au fauteuil.
Le cliché est dénaturé, mais pour analyser l'état de surface ou les zones de transparences, ça apporte un oeil nouveau !
Quelques paires d'images (JPG/RAW développé) expliqueront mieux que moi.

Par contre, un inconvénient majeur : ça rend très très humble sur son travail ...et un poil maniaque ! :)

Un très joyeux Noel à tous !

Cabinet 003 oldm8t - Eugenol
Cabinet 003c ccwptm - Eugenol
Cabinet 004 gejqig - Eugenol
Cabinet 004c e8ldnb - Eugenol
Cabinet 010 aeeudm - Eugenol
Cabinet 010b cur9kw - Eugenol
Essai photo dentaire 011 cj8hcs - Eugenol
Essai photo dentaire 011b tssjfd - Eugenol

le dabe

06/01/2012 à 21h05

A partir d'un certain nombre de pixels, l'humilité n'a rien à voir avec le format du fichier.
La résolution Raw ne sert pas à grand chose en dentaire. La qualité Jpeg suffit amplement pour le travail quotidien et plus. T'es tu soucié de savoir comment était équipé ton protos, quelle carte graphique, quel écran, résolution, calibration...
Le traitement d'image que tu réalises sur tes clichés est tout à fait réalisable sur fichier jpeg. Le format Raw n'y est pour rien. La taille de fichier en plus.
Stocker du raw à foison devient vite ingérable...
Mais oui, si tu veux faire tes livraison en DB9, c'est mieux qu'en Clio...


Ico v for vendetta08 jzhpep - Eugenol
Arnaud Go

06/01/2012 à 22h10

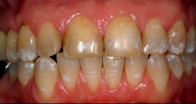
Je trouve les informations obtenues sur les photos en Raw très intéressantes sur l'état de surface, les zones d'opacité de l'émail (les espèces de spots sur la photo 1Raw) et de la dentine.
Je n'avais jamais vu de tels détails sur des photos classiques. Peut-être que cela permet d'améliorer le montage de la céramique afin d'obtenir un aspect final plus mimétique ?

Maintenant les infos obtenues du Raw peuvent êtres gardées en Jpeg et le Raw jeté après.


JulienM

06/01/2012 à 22h57

le dabe écrivait:
-----------------
> La résolution Raw ne sert pas à grand chose en dentaire. La qualité Jpeg suffit
> amplement pour le travail quotidien et plus. T'es tu soucié de savoir comment
> était équipé ton protos, quelle carte graphique, quel écran, résolution,
> calibration...

Vu que tu me parais être averti de ces problématiques, je te proposerais bien un coup de main pour les résoudre en te prêtant ma sonde de calibration, mais ton pseudo me laisse imaginer qu'on exerce pas dans la même région. C'est où d'ailleurs, les dabes ?

> Le traitement d'image que tu réalises sur tes clichés est tout à fait réalisable
> sur fichier jpeg. Le format Raw n'y est pour rien. La taille de fichier en plus.

Les deux types de traitement proposés ici, état de surface et translucidité, nécessitent des fichiers RAW pour la simple raison qu'il n'enregistre pas "une exposition" mais une plage d'expositions, contrairement à un jpeg.

> Stocker du raw à foison devient vite ingérable...

C'est exact et Arnaud vient de te donner la solution.

> Mais oui, si tu veux faire tes livraison en DB9, c'est mieux qu'en Clio...

Mon prothésiste, grand amateur de voiture, serait ravi de faire ses livraisons en DB9. Pour l'instant c'est une spitfire dans son garage, et on partage le goût des belles anglaises.

Tu dis dans ton premier post sur Nonol faire 80% de tout céramique. Le RAW n'est pas un outil du quotidien pour moi.
Mais je ne fais pas la même proportion de CCC, et peut-être pour ça, les antérieures sont à chaque fois une occasion de faire au plus proche du naturel.


JulienM

06/01/2012 à 23h17

Arnaud Go écrivait:
-------------------
> Je trouve les informations obtenues sur les photos en Raw très intéressantes sur
> l'état de surface, les zones d'opacité de l'émail (les espèces de spots sur la
> photo 1Raw) et de la dentine.
> Je n'avais jamais vu de tels détails sur des photos classiques. Peut-être que
> cela permet d'améliorer le montage de la céramique afin d'obtenir un aspect
> final plus mimétique ?

Merci de ton intérêt.
J'essaierai de donner les réglages à utiliser pour reproduire l'effet la semaine prochaine.
Bon week end !


Logo qw3xdt - Eugenol
DDS

06/01/2012 à 23h24

JulienM écrivait:
-----------------

> Vu que tu me parais être averti de ces problématiques, je te proposerais bien un
> coup de main pour les résoudre en te prêtant ma sonde de calibration, mais ton
> pseudo me laisse imaginer qu'on exerce pas dans la même région. C'est où
> d'ailleurs, les dabes ?

Le Dabe c'est pas plutôt en rapport avec un vieux film par hasard?

--
Normal is not something to aspire to, it's something to get away from...


Grueavatar nptrc9 - Eugenol
Le Choixpeau magique

06/01/2012 à 23h39

JulienM écrivait:
-----------------
> Les deux types de traitement proposés ici, état de surface et translucidité,
> nécessitent des fichiers RAW pour la simple raison qu'il n'enregistre pas "une
> exposition" mais une plage d'expositions, contrairement à un jpeg.

Salut Julien, permet moi de corriger cette info, comme tu le sais un RAW enregistre autant qu'un jpeg une seule exposition, mais par contre retient plus d'informations, en ne faisant pas de compression comme le jpeg d'une part, et surtout en enregistrant une dynamique de tons bien plus étendue. Ce sont ces informations supplémentaires qui permettent de faire des traitements de meilleure qualité, tout en mettant en évidence des informations cachées (à la perception) dans le raw, et parfois absentes du jpeg.


le dabe

06/01/2012 à 23h59

Oula, pardon d'avoir heurté une sensibilité si grande. Je n'ai pas dit que tu avais tort, j'émettais juste un bémol sur l'utilisation de ce type de fichier dans une pratique quotidienne. Pardon, je ne savais pas que tu faisais dans la spectrophotométrie...
Il me semblait juste que dans un forum à destination du dentaire, donc destiné à des professionnels censés utiliser des outils cohérents dans leur exercice quotidien, l'utilisation du Raw est surfaite.
C'est beau de faire du Raw, ce serait déjà bien de faire de bonnes photos Jpeg. Je tiens à préciser, vue ta susceptibilité, que je ne dis pas par là que c'est ton cas, tes photos Raw étant magnifiques.
Pardon d'avoir émis une objection à de si pertinentes remarques... Je te laisse donc à cette magnifique excellence que je ne mérite pas.
Quand à tes interprétations géographiques sur mon pseudo, elles sont fausses. Mais bon, à chacun ses références, toi c'est Raw, moi c'est Jpeg, toi c'est l'ornithologie, moi c'est Audiard... Navré de faire dans le médiocre, j'essayerais de faire mieux la prochaine fois.


RépondreCiter
Grueavatar nptrc9 - Eugenol
Le Choixpeau magique

07/01/2012 à 01h47

Salut le dabe, tu débarques comme ça, on ne te connaît pas, et tu écris une réponse très condescendante suite au message de Julien qui a eu la gentillesse de nous faire partager sa thèse d'un haut niveau technique. Ensuite tu as l'outrecuidance de jouer les vierges effarouchées quand il te répond du tac au tac et te renvoies dans tes buts. C'est un peu l'hôpital qui se moque de la charité.

Si comme tu avais l'air de le soutenir, tu peux obtenir les résultats qu'il obtient à partir de jpeg, montre nous.

Sinon....


maz

07/01/2012 à 09h47

autant stocker du raw prend plus de place, autant quand on veut faire un bon boulot de retouche photo, c'est quand même la base

en plus de la possibilité d'avoir une bien meilleur dynamique qu'en jpeg (12 bits avec une partie des reflex au lieu des 8 du jpeg) comme l'a dit choixp', ça permet aussi de faire ce que nous montre bien JulienM dans les meilleures conditions
si tu fais la même chose en jpeg, tu dois faire très attention à ne pas toucher ton fichier original car les modifications ne sont pas reversibles, et toute sauvegarde dégrade l'image.
En raw, ça te donne un flux de production non destructif, et en plus ça ne prends pas plus de place sur le disque dur, puisque les retouches sont justes quelques métadonnées associées au fichier raw, tu peux en faire plusieurs jeux par image

et comme le raw s'utilise de plus en plus en photo, il y a des logiciels qui permettent de gérer une photothèque directement en raw

ça ne me semble plus une aberration de faire du raw au boulot, à condition qu'on aime la photo et qu'on sache se servir de lightroom ou d'un autre, je suis en train d'y reflechir en tous cas. c'est vrai que pour un travail classique, je jpeg reste plus simple.

ce n'est pas le prix du gigaoctet de stockage qui coute cher à un cabinet dentaire


le dabe

07/01/2012 à 16h55

Le Choixpeau magique écrivait:
------------------------------
> Salut le dabe, tu débarques comme ça, on ne te connaît pas, et tu écris une
> réponse très condescendante suite au message de Julien qui a eu la gentillesse
> de nous faire partager sa thèse d'un haut niveau technique. Ensuite tu as
> l'outrecuidance de jouer les vierges effarouchées quand il te répond du tac au
> tac et te renvoies dans tes buts. C'est un peu l'hôpital qui se moque de la
> charité.
>
> Si comme tu avais l'air de le soutenir, tu peux obtenir les résultats qu'il
> obtient à partir de jpeg, montre nous.
>
> Sinon....

Encore désolé si ma remarque vous a déplu. Vous n'avez pas le monopole de la susceptibilité et le fait de faire 80 % de tout céram ne me semblait pas avoir grand chose à faire avec mon propos. Je n'avais pas eu l'impression d'être inconvenant dans mon premier post. Contrairement à la réponse...
A ce moment là, si vous estimez que le fait d'utiliser du Raw représente une avancée notable ( ce que je ne nie pas) par rapport au jpeg, pourquoi ne pas appliquer le même raisonnement à ce que vous posez. 80% de tout céram n'a rien de critiquable ni d'exceptionnel, alors pourquoi le tout céram ne serait pas à la ccm ce que le raw est au jpeg?
Pour observer les états de surface et les transparences, le travail de l'image est tout à fait possible en jpeg, donc au quotidien, donc de façon bien plus constructive à mon avis. Vous dites assez qu'il est difficile de trouver un bon prothésiste pour vous faire du tout ceram, mais je pense que cette constatation s'applique aussi pour le traitement photo, et encore plus pour le traitement du raw.
L'image de la DB9 était dans ce sens. Désolé qu'elle ait été mal interprétée...


Mosquitogif zt3c7k - Eugenol
mosquito

07/01/2012 à 17h32

le dabe écrivait:
-----------------
> Mais oui, si tu veux faire tes livraison en DB9, c'est mieux qu'en Clio...
------------------------------------
pour te garer en ville ce n'est pas évident.

Faire du raw si toute ta chaine (toi et protho ) n'est pas étalonnée régulièrement, pas évident.
Le RAW permet de récupérer certaines zones sous ex (plus dur pour le sur ex)si tu as un bon éclairage quel intérêt!
Et pourtant toutes mes photos perso sont en RAW.Sauf au fuji X10 qui sort des Jpeg d enfer.


le dabe

07/01/2012 à 17h35

Effectivement, le problème c'est la chaine. De ton appareil à l'écran de ton proto...En raw ou en jpeg d'aileurs ;)


Grueavatar nptrc9 - Eugenol
Le Choixpeau magique

07/01/2012 à 17h47

mosquito écrivait:
------------------
> Faire du raw si toute ta chaine (toi et protho ) n'est pas étalonnée
> régulièrement, pas évident.

Quel rapport ?


Bebe 038 nf8eum - Eugenol
danteyeah

07/01/2012 à 18h30

le dabe écrivait:
-----------------
> Le Choixpeau magique écrivait:
> ------------------------------
> > Salut le dabe, tu débarques comme ça, on ne te connaît pas, et tu écris une
> > réponse très condescendante suite au message de Julien qui a eu la gentillesse
> > de nous faire partager sa thèse d'un haut niveau technique. Ensuite tu as
> > l'outrecuidance de jouer les vierges effarouchées quand il te répond du tac au
> > tac et te renvoies dans tes buts. C'est un peu l'hôpital qui se moque de la
> > charité.
> >
> > Si comme tu avais l'air de le soutenir, tu peux obtenir les résultats qu'il
> > obtient à partir de jpeg, montre nous.
> >
> > Sinon....
>
> Encore désolé si ma remarque vous a déplu. Vous n'avez pas le monopole de la
> susceptibilité et le fait de faire 80 % de tout céram ne me semblait pas avoir
> grand chose à faire avec mon propos. Je n'avais pas eu l'impression d'être
> inconvenant dans mon premier post. Contrairement à la réponse...
> A ce moment là, si vous estimez que le fait d'utiliser du Raw représente une
> avancée notable ( ce que je ne nie pas) par rapport au jpeg, pourquoi ne pas
> appliquer le même raisonnement à ce que vous posez. 80% de tout céram n'a rien
> de critiquable ni d'exceptionnel, alors pourquoi le tout céram ne serait pas à
> la ccm ce que le raw est au jpeg?
> Pour observer les états de surface et les transparences, le travail de l'image
> est tout à fait possible en jpeg, donc au quotidien, donc de façon bien plus
> constructive à mon avis. Vous dites assez qu'il est difficile de trouver un bon
> prothésiste pour vous faire du tout ceram, mais je pense que cette constatation
> s'applique aussi pour le traitement photo, et encore plus pour le traitement du
> raw.
> L'image de la DB9 était dans ce sens. Désolé qu'elle ait été mal interprétée...

Il y a méprise total sur tout ton post initial: Ce post a été lancé par Julien suite à une autre discussion nous amenant à réfléchir sur la possibilité d'améliorer la communication avec le prothésiste quand à l'évaluation des teintes, montages et caractérisation de son montage céramique par la PHOTO. Ce nouveau post est établi avec comme axiome obligatoire que nous partagions évidement des éléments de visionage étalonné, que nous utilisions le même langage et le même outil d'évaluation avec notre protho.

L'idée n'est pas de savoir si le Jpeg suffit ou non, ou si le Raw est mieux pour faire de jolis photos ou non....on s'en fout.

Julien propose d'utiliser des données du Raw (inexistantes en Jpeg), qui lui permettent de mettre en valeur certaines caractéristiques de la construction externe et interne de la dent comme l'état de surface, la microgéographie, la translucidité, voir la transparence , et sur l'autre post un outil permettant d'évaluer la teinte en éliminant certains artéfact de lumière induite par l'ensemble des éléments éclairés lors de la prise de vue, devenant eux même une source d'éclairage et toujours en utilisant le Raw pour ne rien perdre des données de la photo mais aussi pour ne pas amener par le Jpeg un post traitement (lié à l'appareil photo et même variable en fonction des marques) entrainant une interprétation de l'image, et par conséquent la dénaturant!!!!
Pour mieux comprendre ces propos, Julien a même eu la gentillesse de partager l'intégralité de son travail de thèse avec nous, un très joli outil pour tout le monde: du néophyte à l'expert chevronné. Je te conseil d'y jeter un oeil, tu y apprendras sans doute quelque chose.


le dabe

07/01/2012 à 18h49

danteyeah écrivait:
-------------------
> le dabe écrivait:
> -----------------
> > Le Choixpeau magique écrivait:
> Il y a méprise total sur tout ton post initial: Ce post a été lancé par Julien
> suite à une autre discussion nous amenant à réfléchir sur la possibilité
> d'améliorer la communication avec le prothésiste quand à l'évaluation des
> teintes, montages et caractérisation de son montage céramique par la PHOTO. Ce
> nouveau post est établi avec comme axiome obligatoire que nous partagions
> évidement des éléments de visionage étalonné, que nous utilisions le même
> langage et le même outil d'évaluation avec notre protho.
>
> L'idée n'est pas de savoir si le Jpeg suffit ou non, ou si le Raw est mieux pour
> faire de jolis photos ou non....on s'en fout.

OK, très bien, pardon. Pour la troisième fois, je vous prie d'accepter mes excuses.
L'axe de ma réflexion était aussi sur l'échange avec le protho. Et j'émettait juste le fait que ce que vous essayer de révéler avec le raw peut se faire, peut être moins bien, avec du Jpeg.
Je pensais juste au protho qui n'avait peut être pas les moyens matériels ou compétences pour le faire. Mon idée venait aussi du fait que le protho a X client et que si toute sa clientèle se met à travailler en raw, il avait plutôt intérêt à investir dans du serveur de compétition. :))
Si c'est réalisable au niveau d'un cabinet, ça devient problématique au labo.
Et encore une fois, mon post ne jugeait en rien de l'excellence du travail de Julien qui est indéniable. Ma réflexion n'était axée que sur l'exploitation d'une telle technique au quotidien.


JulienM

07/01/2012 à 18h50

D'ailleurs, c'est vrai qu'avant de partir dans les idéaux, on pourrait commencer par les bases. Même si le reflex est au cabinet, je ne l'utilise bien évidemment pas pour chaque patient.
Si on occulte bien évidemment l'iconographie pour les conférenciers/universitaires, et les relations avec le proto, quelles utilisations avez-vous de la photographie dans votre pratique quotidienne ?

Perso, je prends régulièrement le temps de revoir à tête reposée les plans de traitement complexes. La photo est donc le moyen complémentaire à la panoramique, aux rétro-alvéolaires et à mes notes pendant l'examen de pouvoir "revoir" mon patient a posteriori et construire tranquillement mon plan de traitement et le découper en séances.
Certaines photos sont prises dans un but de communication aussi. Pour moi, une image remplace beaucoup de mots pour comprendre ce qu'est une facette, un éclaircissement, un onlay, etc.
En paro aussi, la comparaison des clichés entre la situation au premier rdv et après la mise en place d'une hygiène adaptée peut être une motivation complémentaire pour les patients qui oublient vite comment c'était avant. Au début, j'avoue que je trichais un peu en augmentant un peu la saturation des rouges sur le premier cliché, mais avec le temps, je me dis que ce n'est même pas nécessaire :)
"Si sur la photo ça change, c'est que ça marche et que ça vaut le coup." est la réflexion que je souhaite provoquer.
Enfin, pour les longs traitements, j'aime mettre en page un "avant/après" (10sec avec lightroom) que je présente au patient et lui envoie par email. D'abord parce que c'est un élément supplémentaire de satisfaction pour le patient. Ensuite parce que c'est sympa pour moi de garder un "souvenir" des gros traitements, et que ça permet dans un album de se rendre compte de l'évolution de sa pratique.
Et enfin parce que les patients à qui j'envoie les photos ...les montrent à leurs proches...

Et vous ?

Ccm ab mjx4we - Eugenol
Collets ftgzce - Eugenol
D tartrage fuflg5 - Eugenol
Final 1 ziliwj - Eugenol

le dabe

07/01/2012 à 19h14

Une image vaut mieux que 1000 mots.
Tu as parfaitement raison!
Explication, motivation, démonstration. Au cabinet, c'est de toute façon du temps de gagné.

3  collage facette tp  - Eugenol
3  collage facette tp  - Eugenol

Bebe 038 nf8eum - Eugenol
danteyeah

07/01/2012 à 19h54

JulienM écrivait:
-----------------
> D'ailleurs, c'est vrai qu'avant de partir dans les idéaux, on pourrait commencer
> par les bases. Même si le reflex est au cabinet, je ne l'utilise bien évidemment
> pas pour chaque patient.
> Si on occulte bien évidemment l'iconographie pour les
> conférenciers/universitaires, et les relations avec le proto, quelles
> utilisations avez-vous de la photographie dans votre pratique quotidienne ?
>
> Perso, je prends régulièrement le temps de revoir à tête reposée les plans de
> traitement complexes. La photo est donc le moyen complémentaire à la
> panoramique, aux rétro-alvéolaires et à mes notes pendant l'examen de pouvoir
> "revoir" mon patient a posteriori et construire tranquillement mon plan de
> traitement et le découper en séances.
> Certaines photos sont prises dans un but de communication aussi. Pour moi, une
> image remplace beaucoup de mots pour comprendre ce qu'est une facette, un
> éclaircissement, un onlay, etc.
> En paro aussi, la comparaison des clichés entre la situation au premier rdv et
> après la mise en place d'une hygiène adaptée peut être une motivation
> complémentaire pour les patients qui oublient vite comment c'était avant. Au
> début, j'avoue que je trichais un peu en augmentant un peu la saturation des
> rouges sur le premier cliché, mais avec le temps, je me dis que ce n'est même
> pas nécessaire :)
> "Si sur la photo ça change, c'est que ça marche et que ça vaut le coup." est la
> réflexion que je souhaite provoquer.
> Enfin, pour les longs traitements, j'aime mettre en page un "avant/après" (10sec
> avec lightroom) que je présente au patient et lui envoie par email. D'abord
> parce que c'est un élément supplémentaire de satisfaction pour le patient.
> Ensuite parce que c'est sympa pour moi de garder un "souvenir" des gros
> traitements, et que ça permet dans un album de se rendre compte de l'évolution
> de sa pratique.
> Et enfin parce que les patients à qui j'envoie les photos ...les montrent à
> leurs proches...
>
> Et vous ?

Oups tu sautes un peu du coq à l'âne, mais pour répondre à ta deuxième question j'avoue que les patients chez qui on a fait des réhabilitations esthétiques sont très demandeurs de clichés avant/après, bizarrement j'avais jamais pensé les leur données pour qu'ils puissent les montrer à leur entourage, c'est un peu commerciale, mais pourquoi pas faudrait essayer.

Pour revenir au sujet du post: As tu des exemples de photos d'un cas réalisé en utilisant la photo comme outil de communication, et si oui, le truc intéressant serait de savoir ce que le prothésiste peu réellement exploiter; le montage céramique ne répondant pas aux mêmes critères optique que ceux de la dent naturelle. Une photo d'une Emax en bouche avant et après avec post traitement Raw dans les deux cas permettrait d'étayer un tel cas et d'expliquer ce qu'il a pu exploiter réellement de ces images. Merci.


Mosquitogif zt3c7k - Eugenol
mosquito

08/01/2012 à 00h21

Le Choixpeau magique écrivait:
------------------------------
> mosquito écrivait:
> ------------------
> > Faire du raw si toute ta chaine (toi et protho ) n'est pas étalonnée
> > régulièrement, pas évident.
>
> Quel rapport ?
-----------
j'aurai pus préciser effectivement et avec des logiciels compatibles .ouvre un RAW (NEF) traité avec capture NX2en utilisant photoshop celui ci sera incapable de voir les modifications apportées.Le JPEG est plus compatible avec les différents logiciels disponibles.


Blason dql7mj - Eugenol
growler

08/01/2012 à 10h01

le dabe écrivait:
-----------------
> Une image vaut mieux que 1000 mots.
> Tu as parfaitement raison!
> Explication, motivation, démonstration. Au cabinet, c'est de toute façon du
> temps de gagné.


superbe, je trouve.


le dabe

08/01/2012 à 11h56

Merci, ce sont 4 facettes...


Smile beach jgh0a1 - Eugenol
Céramik

08/01/2012 à 18h17

le dabe écrivait:
-----------------
> Merci, ce sont 4 facettes...

En zircone ?????
Mdr

Très joli


--
Céramik


le dabe

08/01/2012 à 20h55

Céramik écrivait:
-----------------
> le dabe écrivait:
> -----------------
> > Merci, ce sont 4 facettes...
>
> En zircone ?????


Oui montée à la feuille de platine, technique Launois, Sintérisée au feu de bois!

LOL


JulienM

08/01/2012 à 20h59

danteyeah écrivait:
-------------------

> Pour revenir au sujet du post: As tu des exemples de photos d'un cas réalisé en
> utilisant la photo comme outil de communication, et si oui, le truc intéressant
> serait de savoir ce que le prothésiste peu réellement exploiter; le montage
> céramique ne répondant pas aux mêmes critères optique que ceux de la dent
> naturelle. Une photo d'une Emax en bouche avant et après avec post traitement
> Raw dans les deux cas permettrait d'étayer un tel cas et d'expliquer ce qu'il a
> pu exploiter réellement de ces images. Merci.

En fait, non, je n'en ai pas. Je n'ai jamais pensé à réappliquer ces filtres sur des clichés après pose. Pour le prochain cas pertinent au cabinet, je ferai l'expérience.


12