Cookie Consent byPrivacyPolicies.comPERTE OSSEUSE AUTOUR DES IMPLANTS - Eugenol

PERTE OSSEUSE AUTOUR DES IMPLANTS

Photo pluton1b h9n4ea - Eugenol
pluton

08/01/2012 à 17h24

Ça va sûrment prendre un peu de temps...le temps d'avoir l'imprimante, le cas, et l'iconographier jusqu'au bout...


flicflac

08/01/2012 à 17h44

Ce à quoi Growler rêve existe en cimenté si on fait la chirurgie, en 2 étapes. A la deuxième étape mise en place des piliers finales avec temporisation et hop...
Mais en tranvissé la même chose pourrait probablement se faire.
Je n'ai pas beaucoup de recul en piliers multi-units, mais pourquoi un pilier custom, la gamme de hauteur et de divergence n'est pas assez grande?
Pour conserver l'os vous êtes unanimes à dire que la portion trans-épithéliale doit être placé idéalement de facon définitive le plutôt possible.


flicflac

05/02/2012 à 22h05

surplus de ciment serait responsable de 90% des péri-implantites???? alors vissons et nous avons que 10%???


Mario ycg44a - Eugenol
Mario180

06/02/2012 à 00h04

growler écrivait:
-----------------
> moi ce que j'aimerais pouvoir disposer c'est d'un système qui permette
> l'élaboration pré-op d'un pilier multi sur mesure:
> scan, réalisation virtuelle de la dent prothétique et du placement de l'implant,
> de cela on en tirerait un guide chirurgical et la réalisation d'un pilier multi
> (type atlantis par exemple) qui serait donc posé le jour de l'implantation. On
> réaliserait alors la prothèse en transvissé quand bon nous semblerait sans avoir
> jamais eu besoin de démonter le pilier. je rêve ?


Le concept du twinkon de Tekka répondrait-il a ta demande ? (http://www.twinkon.fr/tekka/easysite/twinkon/accueil et http://www.tekka.eu/tekka/easysite/tekka-fr/fr/produits/implantologie/twinkon)

Jamais utilisé, il est encore en développement pour sa gamme prothétique, mais très prometteur je trouve, concept qui aurait beaucoup d'avantages.

Au fait : sa connectique prothétique est un cône externe à 5°, mais il utilise une vis pour "l'impaction" du FM. Est-ce un cône Morse vrai ?


Logo m4n3gc - Eugenol
drmarcus

06/02/2012 à 10h27

Mario180 écrivait:
------------------
> Au fait : sa connectique prothétique est un cône externe à 5°, mais il utilise
> une vis pour "l'impaction" du FM. Est-ce un cône Morse vrai ?

Non! En raccourci les cônes Morse vrais vont de 2°5
à 3° et encore il y a d'autres variables mais on l'admet.

Régulièrement il parle de 5° pour assimiler à 5% qui est le cone métrique...... :-))))



--
"La vis est à l'implant ce que la carie est à la dent!" (Pozzi)


Mario ycg44a - Eugenol
Mario180

06/02/2012 à 12h57

En fait il s'agit bien de 5%, je m'est trompé de touche... ;)

M. Larousse dit : Cône morse, emmanchement conique de dimensions normalisées, d'une conicité de l'ordre de 5 %, permettant le centrage et l'entraînement d'un arbre, d'un mandrin, d'un outil de coupe, etc.

Je ne comprends pas : comment sais-tu qualifier un usinage dont on n'a pas les références complètes, et quelle définition utilises-tu ?
J'ai besoin d'alimenter un peu ma réflexion à ce sujet si tu as des références.


01 ukhwbq - Eugenol
ʎqqoq

06/02/2012 à 13h14

A mon sens, le col transgingival type Straumann, c'est ce qu'il y a de mieux. Je ne comprends d'ailleurs pas pourquoi on ne pose pas que ce type d'implant en postérieur. Ça règle pas mal de problèmes, dont celui du ciment, dont les excès sont facilement éliminables.
Je me pose d'ailleurs une question à ce sujet. L'implant Zimmer Swissplus fonctionne-t-il comme les Tissue Level? La limite prothétique se fait-elle au niveau de col de l'implant?
je n'ai pas à choisir un système dans l'immédiat, mais je prépare le terrain...


Logo m4n3gc - Eugenol
drmarcus

06/02/2012 à 13h39

Mario180 écrivait:
------------------
> M. Larousse dit : Cône morse, emmanchement conique de dimensions normalisées,
> d'une conicité de l'ordre de 5 %, permettant le centrage et l'entraînement d'un
> arbre, d'un mandrin, d'un outil de coupe, etc.
>

C'est ça! Dans l'idée.

> Je ne comprends pas : comment sais-tu qualifier un usinage

Les normes sont mécaniquement définies


dont on n'a pas les
> références complètes

Si on ne veut pas te les fournir (en cas de doute) c'est qu'il y a un bugg quelques part, vécu sur un stand avec Pluton il m'a été impossible d'obtenir ce qu'on appelle la carte d'identité du métal (propriétés mécaniques)


et quelle définition utilises-tu ?
Simple réf "guide du dessinateur industriel" Le chevalier 1969 Hachette (je crois)

Concernant les propiétés mécaniques biologiques etc... il n'y a que les cours de méca. ou les livres associés.

--
"La vis est à l'implant ce que la carie est à la dent!" (Pozzi)


flicflac

07/02/2012 à 02h40

Straumann, bien qu'il soit monopièce, sans connection au niveau osseux...il perd souvent de l'os jusqu'a la première spire. 2 radio a 3 ans d'intervalle.

Straumann decembre 2011 kv7f9v - Eugenol
Straumann d cembre 2008 liqui0 - Eugenol

flicflac

07/02/2012 à 02h50

J'aime bien l'idée twinkon, d'un diamètre juxta-osseux de faible circonférence,on pourrais quand même le faire avec une connection conique interne


Smile beach jgh0a1 - Eugenol
Céramik

07/02/2012 à 04h52

flicflac écrivait:
------------------
> Straumann, bien qu'il soit monopièce, sans connection au niveau osseux...il perd
> souvent de l'os jusqu'a la première spire. 2 radio a 3 ans d'intervalle.


Surchage ?
Placer dans une greffe osseuse ?
Le design des spires de cet implant est môche, pour des implants courts, encore plus.


--
Céramik


Photo pluton1b h9n4ea - Eugenol
pluton

07/02/2012 à 08h24

ʎqqoq écrivait:
---------------
> A mon sens, le col transgingival type Straumann, c'est ce qu'il y a de mieux. Je
> ne comprends d'ailleurs pas pourquoi on ne pose pas que ce type d'implant en
> postérieur. Ça règle pas mal de problèmes, dont celui du ciment, dont les excès
> sont facilement éliminables.
> Je me pose d'ailleurs une question à ce sujet. L'implant Zimmer Swissplus
> fonctionne-t-il comme les Tissue Level? La limite prothétique se fait-elle au
> niveau de col de l'implant?
> je n'ai pas à choisir un système dans l'immédiat, mais je prépare le terrain...

bof, le tissue level...
oui le swissplus zimmer fonctionne comme çà...mais çà t'oblige à avoir en parallèle le TSV pour les secteurs esthétiques...

maintenant si c'est ton trip mais que tu veux plus te poser de questions, si tu veux pouvoir gérer ton stock d'implants ultra facilement sans avoir 2 systèmes en parallèle (un tissue level et un bone level) et pouvoir tout gérer avec un seul...y a çà...;-)

http://www.implantdirect.com/us/documents/PDF/compare/straumann/SwissPlantAd-USNizRevision.pdf


Mario ycg44a - Eugenol
Mario180

07/02/2012 à 10h30

Dr Marcus écrivait:

>Si on ne veut pas te les fournir (en cas de doute) c'est qu'il y a un bugg quelques part,

non je n'ai pas demandé, je crois savoir que 5% c'est très rétentif, très étanche, et que la qualité d'usinage suis, comme les matériaux des pièces prothétiques, dont je n'ai pas non plus demandé les caractéristiques (j'ai peut-être été léger), mais qui fonctionne parfaitement jusqu'ici.


flicflac écrivait:

>Straumann, bien qu'il soit monopièce, sans connection au niveau osseux...il perd souvent >de l'os jusqu'a la première spire. 2 radio a 3 ans d'intervalle.

Oui là il y a un bug, mais je ne crois pas que le tissue level soit en cause. Pourquoi l'os est-il surchargé ?


Pluton écrivait:
>bof, le tissue level...
>oui le swissplus zimmer fonctionne comme çà...mais çà t'oblige à avoir en parallèle le TSV >pour les secteurs esthétiques...

D'accord avec toi. Multiplier les solutions si on en une qui marche... C'est tout de même une voie de recherche intéressante, même si elle peut ne rien donner ;)

Pour mon cas personnel qui utilise déjà des inkones, les twinkons se posent avec la même séquence et suivant la même technique. Par ailleurs il n'est pas contre-indiqué dans les secteurs esthétiques, sauf que très compressif si os très dense.
Je demande juste à voir comment se fait l'angulation des pièces prothétiques.


Logo m4n3gc - Eugenol
drmarcus

07/02/2012 à 10h57

Une petite réflexion mécanique sur le principe et pourquoi la société semble préférer un cône externe plutôt qu'interne.
Admettons qu'il soit à 5% inséré, bloqué par vis: la déformation des pièces est importante, il est plus sérieux et moins risqué de faire travailler à la fatigue un métal en compression qu'en étirement.
De plus on limite la surface de contact pour que l'extraction (vis inverse nécessaire) soit possible mais attention à ce stade il y a un rsique de frottement et "d'usure" des pièces, d'où la vis.......

--
"La vis est à l'implant ce que la carie est à la dent!" (Pozzi)


01 ukhwbq - Eugenol
ʎqqoq

07/02/2012 à 11h23

Concernant la compression de l'os, je ne sais plus quoi penser. En formation, un coup on nous dit qu'il ne faut pas trop comprimer l'os, et le lendemain, on nous explique qu'on peut poser à 100 Ncm, que ça ne pose pas de problème, et que pour ça faut du titane grade 5, sinon on risque de casser l'implant.
D'ailleurs, je n'ai rien trouvé concernant l'éventuel relargage d'aluminium et de vanadium.

@ Pluton: ce système a l'air sympa, mais je suis frileux sur les systèmes autres que premium. Ils sont forts en marketing ces grosses boîtes lol

@ Flicflac: c'est un complet sur 4 Locators le cas que tu montres? T'as fait un palais plein? Échancré?


flicflac

08/02/2012 à 00h57

Voûte palatine pleine, le patient a des crochets sur dents naturelles du côté opposé... mais l'hygiène est moche...
+100 avec Céramik design des spires pas fort... n'augmente pas la surface en macrodesign de la surface de l'implant.


flicflac

19/02/2012 à 22h20

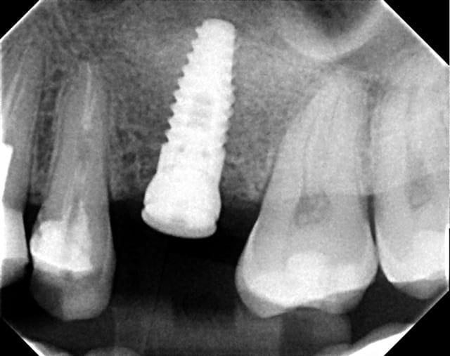
Vous est-il arrivé de voir une résoption en apex d'un implant situé dans une greffe sinusale?
radiographie à suivre avec perte osseuse, merci

Implant juillet 2010 cnmkmg - Eugenol
Couronne  lors de la mise en bouche stvmce - Eugenol

flicflac

11/03/2012 à 19h24

la radio viendra...
perte osseuse au site de greffe sinusal en apex des implants, çà vous est déjà arrivé?


Img 1744 z0evts - Eugenol
dumaille

11/03/2012 à 19h36

flicflac écrivait:
------------------
> la radio viendra...
> perte osseuse au site de greffe sinusal en apex des implants, çà vous est déjà
> arrivé?

mais de quoi tu parles?
--
La vie est une fête!


flicflac

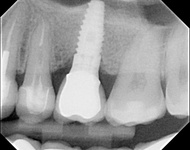
06/04/2012 à 05h22

la voila

Post greffe sinusale pdsngu - Eugenol

Smile beach jgh0a1 - Eugenol
Céramik

07/04/2012 à 07h40

flicflac écrivait:
------------------
> la voila


Il me semble que ton implant est trop enfoui, la connection se trouve au niveau osseux, donc perte ossseuse automatique avec une connection hex de ce genre.


--
Céramik


01 ukhwbq - Eugenol
ʎqqoq

07/04/2012 à 09h53

C'est bizarre, comme si l'os non stimulé s'était résorbé. (ce qui est la règle au final ^^)
Dans un sinus greffé non implanté, la greffe tient combien de temps? Ça doit pas arriver souvent, mais un patient qui part dans la nature après un sinus lift, la greffe elle devient quoi au bout de 5 ans, 10 ans?


flicflac

07/04/2012 à 15h55

Ceramik, je parle de perte osseuse à l'apex. Le laser lock a été enfouie de moitié, ce qui est recommandé, regarde plus haut la BW à la mise en bouche. Pas de perte à ce niveau, si tu le penses trop enfouie, c'est que de l'os s'est formé en quantité non négligable, ety non c'est l'axe de la PA. PA=pas bon pour jugé du niveau osseux au collet.

Dans les cas de sinus lift non unitaire, j'utilise au plafond (greffon juxta membrane) de l'hydroxyapatite non résorbable et le reste de l'allogreffe.


flicflac

07/04/2012 à 16h02

Sinus greffé et non implanté, las greffe tiens combien de temps. Cela dépend du greffon utilisé. Un non résorbable, ne devrais pas résorbé etde l'allogène comme a résorbé apres 8 mois environ, avec autoigèene encore plus rapide...
Dépend de la vitesse de turn over du greffon en os patient.


flicflac

04/10/2013 à 10h01

perte osseuse= péri-implantite?