Cookie Consent byPrivacyPolicies.comAgénésies multiples - Eugenol

Agénésies multiples

P1060810  800x600  dlavv9 - Eugenol
Hebken

06/01/2012 à 14h19

Bonjour,
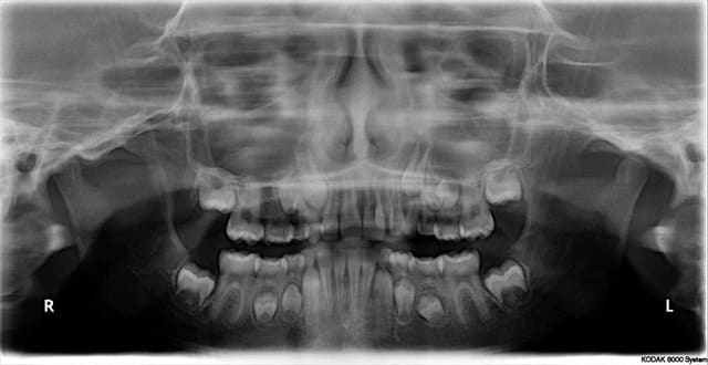
je fais appel à vous (ODF) pour le cas de ce jeune patient de 9 ans qui présente plusieurs agénésies.

Quel serait vo(tre)s plan(s) de traitement ?

chronologie des interventions?

Merci

P2 kglawf - Eugenol

P1060810  800x600  dlavv9 - Eugenol
Hebken

06/01/2012 à 14h25

Ici c'est sa soeur âgée de 11 ans agénésie de 15 et 22 surnuméraire (déjà extraite car évoluant au palais)

mêmes questions.

Merci

P1 ys8nbc - Eugenol

P1060810  800x600  dlavv9 - Eugenol
Hebken

07/01/2012 à 10h18

up


Photo pluton1b h9n4ea - Eugenol
pluton

07/01/2012 à 10h24

classe dentaire, photos/moulages...???
on manque d'infos pour te répondre...


Bagheera tudzjy - Eugenol
bagheerra

07/01/2012 à 10h24

Hebken écrivait:
----------------
> Bonjour,
> je fais appel à vous (ODF) pour le cas de ce jeune patient de 9 ans qui présente
> plusieurs agénésies.
>
> Quel serait vo(tre)s plan(s) de traitement ?
>
> chronologie des interventions?
>
> Merci

Je ne fais pas d'odf, mais si je devais établir un plan de ttt pour ce patient à la seule vue de la pano, ce serai extraction des 4 "5" lactéales et fermeture des espaces, et envisager un implant en place de 44, le plus tard possible si la 84 tient le coup. Ce serai amha le meilleur compromis.


P1060810  800x600  dlavv9 - Eugenol
Hebken

07/01/2012 à 11h18

pluton écrivait:
----------------
> classe dentaire, photos/moulages...???
> on manque d'infos pour te répondre...

normocclusion, pas de moulages,
diastème 11/21 les 22 et 12 pas sorties sans doute vestibulées, j'ai du extraire la 62 précocément du fait de sa version prononcée: espace 53/11 2,5 mm idem pour 21/63.


Photo pluton1b h9n4ea - Eugenol
pluton

07/01/2012 à 11h49

alors pour l'instant, amha c'est abstention...tu laisses évoluer et tu réévalues (pour les 2)tous les ans...;-)


P1060810  800x600  dlavv9 - Eugenol
Hebken

07/01/2012 à 12h25

pluton écrivait:
----------------
> alors pour l'instant, amha c'est abstention...tu laisses évoluer et tu réévalues
> (pour les 2)tous les ans...;-)

Ok mais l'idée ct de pouvoir anticiper la future perte des lactéales (les 5)et surtout le secteur 4 ...

A quel âge, selon amha, devra-t'on envisager de réagir?


P1060810  800x600  dlavv9 - Eugenol
Hebken

07/01/2012 à 20h41

up


Photo pluton1b h9n4ea - Eugenol
pluton

07/01/2012 à 22h25

le problème c'est que c'est difficile à prédire...
on a tous dans nos patients des personnes qui à 35 ans voir plus ont encore des déciduales fonctionnelles...et d'autres chez qui le processus de rhizalyse se fait quand même...donc surveillance, tu as le temps avant les 16 ans de voir l'évolution de ces dents...


P1060810  800x600  dlavv9 - Eugenol
Hebken

10/01/2012 à 11h17

up !


aterman

10/01/2012 à 11h30

Pourquoi enlever des 5 sur un patient avec agénésies?

J ai pas mal de patients qui a 40-50 ans ont encore une ou deux 5 de lait et ne présentent aucun problème.

Wait and see

" Laissons agir et aidons en toute circonstance l action spontanément favorable de la nature "


RépondreCiter