Cookie Consent byPrivacyPolicies.comPano 2D, Pano 3D - Eugenol
poterie

07/01/2012 à 12h29

Bonjour,

Quels sont vos "best of" ?


spartacus

08/01/2012 à 10h24

Avec ou sans lunettes ?


poterie

08/01/2012 à 10h53

plutôt sans...

Ma pano est en train de rendre l'âme...(planmeca proline EC)
Elle perd de l'huile...4500 € de devis de réparation.
Elle a 7 ans donc je vais plutôt la remplacer...

Quels sont vos choix en la matière... ?

(omnipratique et implantologie occasionnelle, 5 praticiens)

Merci d'avance.


king_zoulou

08/01/2012 à 11h55

http://www.vatech-france.fr/


Michel4 ve7g1x - Eugenol
chabit

08/01/2012 à 13h58

Salut,
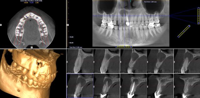
Je suis omnipraticien, je fais pas mal de 8 et 3 incluses, de kystes, de ROG, sinus et pose une petite centaine d’implants par an. Je me suis « offert » une Pano 3D en juillet après longue et mûre réflexion. En voici la teneur globale :
Les contres :
Le prix en ce sens où il n’y a pas de cotation (donc HN), et que le financement ne dépendra que de mon type de patientèle et/ou d’activité.
Les doses de Rx pour finalement me faire plaisir.
La suppression complète de mes prescriptions de scanner(*).
Les pour :
La qualité et la précision du résultat que je peux gérer en fonction de mon cas (300µ, c’est mieux qu’une coupe tous les 1mm ou 2.5mm suivant les manipulateurs),
La disponibilité : le sur place au lieu de balader mes patients de clinique en hosto,
Le confort et la sécurité que la 3D apporte par rapport à une 2D,
L’impact de la visualisation 3D sur les patients,
L’image du cabinet.
Donc, j’ai ma 3D depuis 6 mois. Bilan :
Facturation dans le devis implantaire,
Facturation 40€ cotée Z21+17.07€ HN pour tout ce qui n’est pas implantaire, mais qui évite le scanner ailleurs, plus cher (mais remboursé), plus irradiant et pas forcément adapté à ma demande.
Le guide radiologique est un vrai plaisir, avec simulation de pose
Je me suis évité de très mauvaises surprises en chir : en vrac, kyste apical 22,23,24 avec perfo nasale, perfo linguale sur un comblement alvéolaire de 36, des fractures radiculaires sagittales en pagaille, canal supplémentaire sur 33 ou34, fenestration de tables externes, etc…
Je peux faire mes contrôles post chir sur place et à ma main
Je remets au patient le cd de son scan préop, clipsé dans son dossier implantaire,
J’ai plusieurs cas de lésions apicales visibles en 3D seulement, lors de bilan préopératoire (chir orthopédique)
Visualisation des ATM, des sinus (souvent pour mes voisins médecins),
Ma 3D se paye toute seule (600€/mois de plus que la 2D)
4/5 radios ne concernent pas directement l’implanto,
J’ai bien fait de craquer !
(*) Si la SS n’a plus a rembourser de scanner parce qu’on s’arrange pour le faire nous même, pour irradier moins, pour faire payer le patient en HN, je crois qu’on n’est pas près de voir une cotation pour la3D qui permettrait de financer cet équipement très utile.


poterie

08/01/2012 à 14h23

Merci pour ton post détaillé.
Vers quelle machine t'es-tu orienté, à quel prix ?

Mes critères principaux seraient :

- la fiabilité et la qualité du SAV
- la facilité d'utilisation pour mes assistantes
- le caractère reproductible des résultats
- la finesse de l'image produite

Je ne souhaite plus de planmeca...leurs logiciels sont abscons...


Grueavatar nptrc9 - Eugenol
Le Choixpeau magique

08/01/2012 à 14h48

chabit écrivait:
----------------
> Facturation 40€ cotée Z21+17.07€ HN pour tout ce qui n’est pas implantaire,

Salut Chabit, ça ne me semble pas correct, en cas de contrôle ça sera pour ta pomme !


Michel4 ve7g1x - Eugenol
chabit

08/01/2012 à 14h50

Sans vouloir leur faire de pub...
SIRONA Orthophos avec Galliléos pour l'implanto, 2 licences (poste pano et secrétariat grand écran), le micro qui va avec et tout, 85 K€


Michel4 ve7g1x - Eugenol
chabit

08/01/2012 à 14h58

Le Choixpeau magique écrivait:
------------------------------
> chabit écrivait:
> ----------------
> > Facturation 40€ cotée Z21+17.07€ HN pour tout ce qui n’est pas implantaire,
>
> Salut Chabit, ça ne me semble pas correct, en cas de contrôle ça sera pour ta
> pomme !

Je sais bien, mais en cas de contrôle soit je fais une 2D vite fait (en numérique ça coute rien), soit, je récupère la pano de la 2d. Dans tous les cas je prends le risque (et j'assume) pour que le patient récupère un remboursement que je considère justifié.

3d nq7ji3 - Eugenol

Blason dql7mj - Eugenol
growler

08/01/2012 à 22h43

I-cat CB 500

Capture gf6qc7 - Eugenol

1 okqrab - Eugenol
Léonard

09/01/2012 à 03h23

poterie écrivait:

> Je ne souhaite plus de planmeca...leurs logiciels sont abscons...

pas d'accord, sur la 3d promax, je trouve ca plutot bien foutu.