Cookie Consent byPrivacyPolicies.comnévralgies du V3 et du V2 - Eugenol

névralgies du V3 et du V2

Images eb1m5g - Eugenol
tonio

12/01/2012 à 02h30

Bonsoir à tous,

J'ai revu aujourd'hui en consultation un patiente que je n'avais pas vu depuis 2 ans.
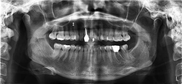
J'avais retraité à l'époque 36 pour une LPA silencieuse et la 37 pour une LPA mais là active; puis IC et CCM sur les deux dents.
Elle a consulté son médecin traitant pour des douleurs diffuses à la mandibule côté gauche qui lui a fait faire une pano.
La pano montre une bonne cicatrisation des LPA avec reformation de la lamina dura autour des apex de 36-37. Les dents de 31 à 35 sont saines. 38 absente depuis longtemps.
Le nerf mandibulaire passe à distance des apex des dents (1 cm environ).

La patiente me décrit une "boule" (pas palpable au touher) en regard du foramen mentonnier. Je n'ai pas senti de calcul salivaire à la palpation.

A l'interrogatoire, elle me décrit des fourmillements et de picotements à la pointe du menton, une douleur diffuse dans la partie basse de la mandibule. Elle a également une douleur pulsatile occasionnelle dans l'oreille et une sensation de lourdeur en regard du processus zygomatique avec des décharges électriques.

Donc vu les signes, on a tendance à penser à une névralgie essentielle du trijumeau, voir du ganglion de Gasser car le territoire sensitif du V2 semble aussi touché.

Le problème commence à durer depuis quelques temps donc ça l'inquiète forcément.
Elle est en train de faire quelques examens complémentaires et de voir des spécialistes (cardio) car elle a fait une thyroïdite de Quervain.
Les premières analyses semblent l'orienter vers une tendance à l'hypothyroïdie chronique qui sera régulée par la suite.

Avez-vous des idées sur la typologie et l'étiologie de ces névralgies ainsi que sur la CAT? adresser à un neuro? scan ou IRM complémentaires? quel traitement (corticoïdes)? névralgie essentielle?


Photo pluton1b h9n4ea - Eugenol
pluton

12/01/2012 à 08h33

je dirais, direction neurologue avec scan et irm de la tête, histoire de vérifier qu'il n'y ait pas une "merde" dans la région du ganglion de Gasser...
si non, le ttm sera "symptomatique" avec antalgiques, souvent associés au tégrétol...
mais bon je suis pas non plus un spécialiste de la question...


Ylfwcw979cz1jnx9gfqeaxndiuzk - Eugenol
Algi

12/01/2012 à 09h47

Afin que je ne meures pas idiot, Tonio, tu entends quoi par "LPA"?



--
"On a toujours le choix! Mais entre quoi et quoi?
Vas-y boulégue et l'avenir te le dira!"


015 agccv9 - Eugenol
alexandre1er

12/01/2012 à 11h02

LPA c'est la ligue protectrice des animaux je crois


 mg 0207 xwjxcl - Eugenol
Tillc

12/01/2012 à 12h39

A titre perso j'aurais fais un dentascan max et mand pour exclure totalement une origine maxillo-dentaire et après directement chez ORL/Neurologue


kingofdogs

12/01/2012 à 15h15

http://www.douleurnonidentifiee.com/_layouts/Pfizernep/default_France.aspx


avant d'envoyer où que ce soit, fiable à environ 90% d'après un médecin d'un grand centre de gestion de la douleur. C'est la deuxieme page qui importe (si plus de 3 oui on a 90% de chances d'avoir une douleur neuropathique)
A imprimer d'après le-dit médecin.


Images eb1m5g - Eugenol
tonio

12/01/2012 à 15h16

Pour algi, LPA = lésion péri-apicale. enfin c'est une LIPOE... ;-)
je vais essayer de scanner la pano


Avatar 46 aoi1yc - Eugenol
HononLulu

12/01/2012 à 15h17

Algi écrivait:
--------------
> Afin que je ne meures pas idiot, Tonio, tu entends quoi par "LPA"?
C'est une excellente question, merci de l'avoir posée..


Images eb1m5g - Eugenol
tonio

12/01/2012 à 15h19

J'ai retrouvé la pano avant les soins qui date de juillet 2008. j'essaye de scanner la deuxième.

N vralgie1 pcxbrr - Eugenol

Images eb1m5g - Eugenol
tonio

12/01/2012 à 15h21

et LIPOE, ça veut dire "lésion inflammatoire péri-apicale d'origine endodontique" qui regroupe les granulomes et les kyssss.. ;-)


Canin

13/01/2012 à 19h50

attends de voir le résultat du bilan médical, laisse venir.

fais ton bilan sans plus

je suis prêt à parier que le patient couve un autre truc en rapport avec sa thyroïdite.

les maladies auto-immunes viennent souvent en couple.

les manifestations que tu décris au niveau du territoirre du trijumeau peuvent très bien être liées à un infiltration granulomateuse ou myxoïde qui n'est pas forcément visible sur les examens d'imagerie.

faut laisser agir les corticoïdes et le reste et réévaluer.

radio des poumons ??

--
Canin