Cookie Consent byPrivacyPolicies.comGreffe 2D autogène (pour changer...) - Eugenol

Greffe 2D autogène (pour changer...)

Avatar ow44t3 - Eugenol
Chicot

12/01/2012 à 20h48

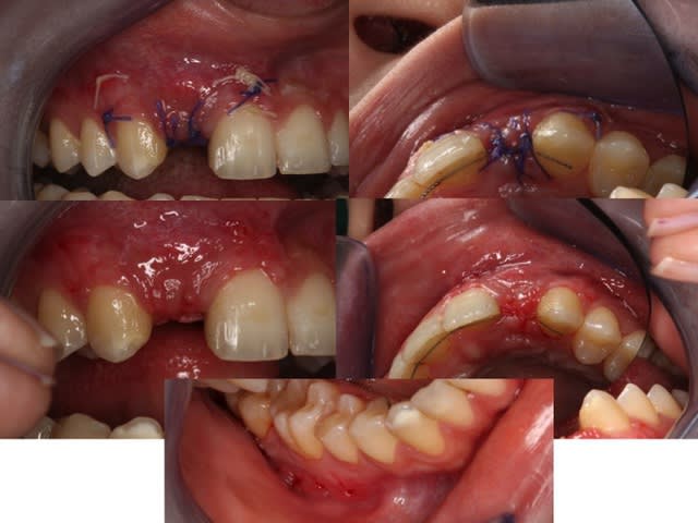
Tout chaud d'aujourd'hui... 1h50 après AL

les commentaires si vous voulez bien un peu plus tard ou selon les questions


--
;O)

Diapositive1 hrcorv - Eugenol
Diapositive2 zerlkv - Eugenol
Diapositive3 t5huyd - Eugenol
Diapositive4 eu76dl - Eugenol
Diapositive5 hl2he4 - Eugenol
Diapositive6 ufhqut - Eugenol
Diapositive7 ipvfbm - Eugenol

Cuisinier2 vnbbxx - Eugenol
jeff2

12/01/2012 à 20h53

pourquoi pas de biobank?


Blason dql7mj - Eugenol
growler

12/01/2012 à 22h05

super


JulienM

12/01/2012 à 23h48

wahouuuu....


Dent masqu e petite f0pbaj - Eugenol
dudule

13/01/2012 à 00h48

encore rondement mené !


Amibien

13/01/2012 à 01h13

ta corticale réceptrice, tu l'as faite saigner ? sur ta photo ça me semble très blanc ?


flicflac

13/01/2012 à 06h15

possible de le faire avec greffon allogène seulement?


Humator t9r5wy - Eugenol
humator

13/01/2012 à 09h59

chicot, tu te lâches grave en 2012!
c'est très beau, respect et rien à redire.

--
N.Hum


Photo pluton1b h9n4ea - Eugenol
pluton

13/01/2012 à 10h07

humator écrivait:
-----------------
> chicot, tu te lâches grave en 2012!
> c'est très beau, respect et rien à redire.


+1...;-)


l adan

13/01/2012 à 10h09

Très joli . As tu "assis" ton bloc sur un lit de copeaux d'os ou directement sur la corticale ?


Avatar ow44t3 - Eugenol
Chicot

13/01/2012 à 14h17

jeff2 écrivait:
---------------
> pourquoi pas de biobank?

Oui pourquoi pas ! Question de coût et d'habitude sans doute.

Je vais bientôt en faire, un cas en 36 et 46 crête étroite corticale trop épaisse pour expansion

Et un autre en 36 37 pas assez de hauteur, mais j'ai pas,encore toute les infos


--
;O)


Avatar ow44t3 - Eugenol
Chicot

13/01/2012 à 14h22

Amibien écrivait:
-----------------
> ta corticale réceptrice, tu l'as faite saigner ? sur ta photo ça me semble très
> blanc ?

Pour faire cette photo je m'y suis repris à trois,fois,pour aspirer et y voir tellement ça saignait bien !

Sur le lit receveur, grosse fraise boule pour virer toute les fibres adhérente à l'os sans toucher à la 11 qui suite à l'ortho est sortie de l'alvéole: apex quasiment dans le vide et racine avec des zones sans os pour pas dire toute la face vestibulaire et distal. Devenir de cette dent ???????
Avec la greffe il y aura peut être un peu plus de soutien osseux en distal 11 ou une ankylose sur cette zone ?

Les photos du scan quand j'ai le temps


--
;O)


Avatar ow44t3 - Eugenol
Chicot

13/01/2012 à 14h23

flicflac écrivait:
------------------
> possible de le faire avec greffon allogène seulement?

Il paraît mais pas d'expérience

--
;O)


Avatar ow44t3 - Eugenol
Chicot

13/01/2012 à 14h27

l adan écrivait:
----------------
> Très joli . As tu "assis" ton bloc sur un lit de copeaux d'os ou directement sur
> la corticale ?

Greffe 2D:

Greffon mince en vestibulaire qui coulisse sur les deux vis, on écarte du SR ( photo avec syndesmotome faucille) on glisse dessous les fragments copeaux d'os et on ressert un peu à la fin
Donc le greffon cortical sert de membrane pour protéger le lit de copeaux

Le photos sont dans l'ordre de réalisation

Bientôt les légendes

--
;O)


Img 0812 mvp6i0 - Eugenol
jeamba

13/01/2012 à 15h01

Bonjour Chicot,
As-tu mis deux épaisseurs de ton greffon en occlusal, je ne vois pas bien. Regarde ta m.p


flicflac

14/01/2012 à 04h07

ce que je voie, une lamelle en bucale avec 2 vis, la seconde lamelle passer au broyeur à os pour mettre copeaux sous la lamelle en sandwich


Avatar ow44t3 - Eugenol
Chicot

26/01/2012 à 20h04

suite op: RAS mis à part un petit abcès sur un point en bas

J'avais pas mis les légendes....... Sorry:

Prélèvement rétromolaire/ramique

Nettoyage du SR avec fraise boule pour retirer tout les tissus fibreux sur l'os et accessoirement ouvrir les espaces médullaire ( en théorie ) Ici grosse frayeur car l'apex de 11 est dans le vide ainsi que la moitié de la dent: toute la face vestibulaire et distal... Merci Mrs les ortho.....

Séparation du greffon en deux et mise en forme

Préparation des trous de vis en diam 1,5 pour vis de 1,3 et cuvette pour les têtes de vis

Pince de barth pour maintenir le greffon et forage dans les trous au forêt de 1mm et mise en place des vis. Le greffon est libre, pour pouvoir régler l'épaisseur souhaitée.

Broyage du reste du prélèvement

Le greffon est soulevé pour glisser dessous le broyât osseux

Serrage final des vis et élimination des angles tranchants à la fraise boule diamantée

Libération du lambeau avec une lame 15 neuve

Contrôle de la passivité du lambeau en position

Suture et PAP une dent




--
;O)

Diapositive1 ckwjug - Eugenol

Avatar ow44t3 - Eugenol
Chicot

27/01/2012 à 14h43


... Mise à jour des légendes ..

--
;O)


Abeille lzfkas - Eugenol
domi38

29/01/2012 à 20h26

Chapeau! Je suis très impressionné.
Bonne nouvelle pour moi, après 5 implants posés au cabinet, j'ai une marge de progression non négligeable.

Qu'est ce que tu utilises pour prélever le greffon?


Avatar ow44t3 - Eugenol
Chicot

29/01/2012 à 20h45

... 5 ... hihi ça me rappelle début 2005 à mes débuts .......

Prélèvement piezo satelec 1° génération


--
;O)


Abeille lzfkas - Eugenol
domi38

29/01/2012 à 21h57

Chicot écrivait:
----------------
> ... 5 ... hihi ça me rappelle début 2005 à mes débuts .......
>
> Prélèvement piezo satelec 1° génération
>
>
> --
> ;O)

Merci pour la réponse!
J'en ai 2 de plus à poser mardi. Ca fera 7 en 6 semaines de cabinet. C'est bien, non? :-)


Avatar ow44t3 - Eugenol
Chicot

29/01/2012 à 22h27


Prépare bien tes cas, c'est la clef du succès !

--
;O)


Avatar jt8tlq - Eugenol
bogenom

29/01/2012 à 23h54

Belles photos Chicot
si tu peux glisser le Scan j'ai hate de voir la suite
dans combien de temps le prochain scan ?


Avatar ow44t3 - Eugenol
Chicot

30/01/2012 à 00h23

Il faut que je le prenne en photo.

Scan de contrôle à 4 mois et pose de l'implant 15j plus tard si tout est OK.

3 mois de mise en nourice puis mise en fonction avec une provisoire. Je ne pense pas opter pour une MCI car la patiente n'est plus à 3 mois près et sur une greffe je veux pas prendre de risque

Et vous vous tenteriez la MCI ?

--
;O)


Smile beach jgh0a1 - Eugenol
Céramik

30/01/2012 à 00h42

Chicot écrivait:
----------------
>je veux pas prendre de risque
>
> Et vous vous tenteriez la MCI ?
>

Non

--
Céramik


12