Cookie Consent byPrivacyPolicies.comBridge made in Marocco - Eugenol

Bridge made in Marocco

Ico v for vendetta08 jzhpep - Eugenol
Arnaud Go

16/01/2012 à 21h12

J'avais déjà vu ça mais peut-être pas tout le monde.

Étonnant que ce ne soit pas encore tout pourri en-dessous.
Je lui demanderai quand il s'est fait faire cette œuvre d'art.

Bridge made in marocco 3 nkqaqc - Eugenol
Bridge made in marocco 2 i0dba5 - Eugenol
Bridge made in marocco y6s47d - Eugenol

pasteke

16/01/2012 à 23h20

ya du dossier mais malheureusement j'ai vu encore pire "made in spain" et abandonné "made in Budapest"...


Img 3657 cwjvqm - Eugenol
alapex

17/01/2012 à 12h12

Bienvenu au club ...)))
http://www.eugenol.com/sujets/394961-cadeau-d-alapex


Gaudi parc guell lezard  ntokms - Eugenol
lezard

17/01/2012 à 13h27

Pareil

http://www.eugenol.com/sujets/326281-bridge-cantilever?page=1#post_331012


Img 3657 cwjvqm - Eugenol
alapex

01/02/2012 à 13h57

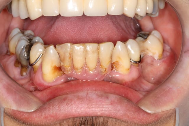
Motif de la consult : carie sur 26 .
Ah ? J'ai des problèmes .
Même pour ça , la 26 est paro donc ext et pas endo . Prudence avant ext. explicage du reste ...il attend pour la pano demandé au rv précédent .

Attention , j'ai volontairement déporté votre attention en haut mais en bas ...
Patient vu il y a 5 ans , et plus rien . J'ai donc traité dans l'urgence mais quoi donc ?

Img 0649 gnuvob - Eugenol

Img 3657 cwjvqm - Eugenol
alapex

01/02/2012 à 14h15

Quoi donc ? Et comment ?
J'exposerai cette méthode écobioéconomique issue des méthodes naturelles à l'AMB . (Association des Métiers de Bouche) .


Img 3657 cwjvqm - Eugenol
alapex

01/02/2012 à 15h54

Vous êtes abscons le mercredi aprem ?


Fouilla h6plsy - Eugenol
fouilla

01/02/2012 à 16h11


venu te consulter en urgence pour un léger problème d'halitose
traitement : HE
pi chui sur que le petit crochet se détendait donc petite réactivation
sinon ras tvb
ah si le tout pour une consult

j'ai bon la ????

--
.


colza2

01/02/2012 à 16h34

fracture de 35 : bridge 1 dent sur fil à crochet ?


Img 3657 cwjvqm - Eugenol
alapex

01/02/2012 à 17h17

Indication : J'ai su préserver malgré tout le bloc incisif ...)))


Rorschachwhite tx6rqr - Eugenol
Candide Candida

01/02/2012 à 17h24

Easy : un p'tit netoyage des dents du bas paskessassevoi

CC.


Img 3657 cwjvqm - Eugenol
alapex

01/02/2012 à 17h49

Ah ... il y a des dents , 2 crochets .


Scan10030 ukikhq - Eugenol
vava

01/02/2012 à 17h55

n'a jamais retiré son berlinguot


Img 3657 cwjvqm - Eugenol
alapex

01/02/2012 à 18h12

Ah , c'est un appareil en bas . Quelles sont les dents de l'appareil ?


Scan10030 ukikhq - Eugenol
vava

01/02/2012 à 18h21

31 32 41 42 + tartre monobloc


Scan10030 ukikhq - Eugenol
vava

01/02/2012 à 18h36

39 45


Img 3657 cwjvqm - Eugenol
alapex

01/02/2012 à 19h01

Bonne réponse Vava .
Quelle la marque des dents ?


Scan10030 ukikhq - Eugenol
vava

01/02/2012 à 19h17

vava dit vita


Ico v for vendetta08 jzhpep - Eugenol
Arnaud Go

01/02/2012 à 19h55

Nono dit autogène, voire un don.

Il sort de chez Dentexia ?


aimpi

01/02/2012 à 20h35

3M espe, assez mimétiques en fait


Img 3657 cwjvqm - Eugenol
alapex

01/02/2012 à 21h31

Le temps de la réponse est venu .


Pp ayant ouvert une banque gratuite de dents extraites , je peux m'y alimenter facilement . Certes parfois teinte et dimension sont difficiles à assortir , mais , vous pouvez encore tarifier des cavités (même composées) à la sécu en cas de récidive de carie . Coordonnées de la banque en mp .

Bon allez c'est pour rire...)))

Ce sont les dents du patient , empreinte , extractions , repositionnement dans empreinte (phase extrêmement importante , ne pas intervertir les dents;)), le prothésiste ne s'embête pas , moi non plus . Le tout est en bouche depuis 4 ans ... Il voulait du rapide en jurant qu'après ...pis le v'là aujourd'hui : "Ah ? Ca va mal ? Fallait que je reviendus ?!?!?

L'important est de satisfaire le patient , et surtout de lui "rendre service"...)))


Img 0653 hdfxkv - Eugenol

Avatar 46 aoi1yc - Eugenol
HononLulu

01/02/2012 à 21h37

Et c'est comme ça que le confrère voisin se dit:
Mon confrère, quel Georges-Alain.


Pépélaratiche

01/02/2012 à 22h18

Moi aussi je préférais Eugénol avant ...quoique avec les affaires et la banque de dents

Pp :-))))))))))))))))


Ico v for vendetta08 jzhpep - Eugenol
Arnaud Go

01/02/2012 à 22h31

C'est moi qui ai gagné!

Je peux choisir mon lot ? la prothèse du patient à attacher autour du cou pour parader l'été sur la plage.


Img 3657 cwjvqm - Eugenol
alapex

01/02/2012 à 22h39

YA ,ya ...)))
Je n'ai pas osé détourner l'objectif , vous évitant l'anneau dans le lobe de l'oreille , tribal sans aucun doute ... déjà qu'il me demandait à quoi servaient les photos...)))


12