Cookie Consent byPrivacyPolicies.comMCIPE bi-maxillaire du 13 févier 2012. - Eugenol
Utilisateur banni

26/01/2012 à 18h01

OTP

Mcipe bi maxillaire du 13 f vier 2012 artuhr - Eugenol

Amibien

26/01/2012 à 18h05

et d'ici là tu auras curé les foyers infectieux, stabilisé la musculature et assuré un jeu ionique parfait, tu es un vrai magicien !

(:-))


Utilisateur banni

27/01/2012 à 07h39

S.I.A.O
(simulation implantaire assistée par ordinateur)

Mcipe bi maxillaire du 13 f vier 2012 002 p5clpf - Eugenol
Mcipe bi maxillaire du 13 f vier 2012 003 gakn21 - Eugenol
Mcipe bi maxillaire du 13 f vier 2012 004 mukfy0 - Eugenol
Mcipe bi maxillaire du 13 f vier 2012 005 mxmlpv - Eugenol
Mcipe bi maxillaire du 13 f vier 2012 006 h8qr9r - Eugenol
Mcipe bi maxillaire du 13 f vier 2012 007 puwpqf - Eugenol

Utilisateur banni

14/02/2012 à 00h25

.

2012 02 13 positdental 143 lyyccg - Eugenol

Utilisateur banni

14/02/2012 à 13h04

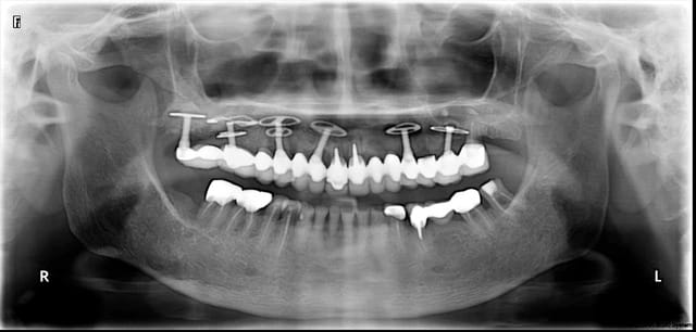
bridges posés avant équilibration occlusale

Mcipe bi maxillaire du 13 f vier 2012 008 sjst7t - Eugenol

Pépélaratiche

14/02/2012 à 13h59

1. conserver la 37 est sans intérêt
2. le joli ciment endo resté au dessus de 15 amènera d ici qques années une belle aspergillose sinusale qu il faudra gérer en présence d implants

Tjs sans intérêt de présenter des cas comme ça où restent des perles sur le plan clinique

C est que de la technique et on sait que tu sais faire des guides mais ça reste creux et dangereux sur le plan clinique qui est le plan de la réalité !!!!!!!!!!!!

Le ciment endo on le vire d l os avant d implanter !!!!!!!!

--
Pp, bon en rien, mauvais en tout ...
Sed Fortuna audaces iuvat ...


Utilisateur banni

14/02/2012 à 14h38

Pépélaratiche écrivait:
-----------------------
« Tjs sans intérêt de présenter des cas comme ça où restent des perles sur le plan clinique »

C’est ton humble avis, un verre peut être à moitié vide ou à moitié plein, les outils fournis par positdental ont permis de réaliser le plan de traitement implantaire, faire une MICIPE bi-maxillaire en 1 seule intervention n’est pas courant.


 mg 0207 xwjxcl - Eugenol
Tillc

14/02/2012 à 14h59

Autant parfois tu présentes des trucs sympa autant la c'est un peu naze.
Des piliers max ne semblent pas vissés a fond ( j'aurais bien aimé voir le test de Sheffield la !)
Au maxillaire le patient n'a que des dents de 14 à 24 donc il y a de forte de chance que le prat mettent des extensions...
Ce qui me semble vraiment foireux au maxillaire
Et des implants de 4 de diametre en post c'est un peu leger je trouve !


Utilisateur banni

14/02/2012 à 15h17

Il est inutile de faire le test de Sheffield pour s’assurer de la passivité de l’armature avec ce protocole, certain font des extansions postérieures d’autre non. Les implants distaux sont en 5.


 mg 0207 xwjxcl - Eugenol
Tillc

14/02/2012 à 15h50

A bon ? Pas de test de sheffield ? Et si tu as une bascule tu fais comment ? Tu perds ton implant ?


Utilisateur banni

14/02/2012 à 16h14

Tillc écrivait:
---------------
> A bon ? Pas de test de sheffield ? Et si tu as une bascule tu fais comment ? Tu
> perds ton implant ?

Pourquoi veux-tu perdre un implant pour un problème de bascule puisque le bridge est passif ?


Pépélaratiche

14/02/2012 à 18h08

Tillc écrivait:
---------------
> Autant parfois tu présentes des trucs sympa autant la c'est un peu naze.
> Des piliers max ne semblent pas vissés a fond ( j'aurais bien aimé voir le test
> de Sheffield la !)
> Au maxillaire le patient n'a que des dents de 14 à 24 donc il y a de forte de
> chance que le prat mettent des extensions...
> Ce qui me semble vraiment foireux au maxillaire
> Et des implants de 4 de diametre en post c'est un peu leger je trouve !


+1

Sans équiper les secteurs molaires ça merde tjs un jour ou l autre mais ça posit l ignore et puis il te dira que ce seont les pans de traitements de praticiens et que lui est pas praticien...tout son tralala habituel

Il ne s agit pas d un problème de fausse modestie mais bien de réalisme : je sais poser sans depuis tjs...même des ptérygos qui mettent les boules à la plupart donc pourquoi je m embêterais avec ses gros châssis métalliques à fourrer ds les bouches

J ai déjà fait des MCI bimax sans avoir besoin de guide pour la cause donc ne nous dis pas que ton intervention est exceptionelle...

Les interventions difficiles que nous menons en basale se font sans guide car il impossible d en faire ds ces cas...
--
Pp, bon en rien, mauvais en tout ...
Sed Fortuna audaces iuvat ...


 mg 0207 xwjxcl - Eugenol
Tillc

14/02/2012 à 18h10

Ca veut dire quoi un bridge passif ????


Utilisateur banni

14/02/2012 à 18h55

Tillc écrivait:
---------------
> Ca veut dire quoi un bridge passif ????

la même définition que armature passive


Utilisateur banni

14/02/2012 à 18h57

1) ton intention est encore de pourrir mes post.

2) tu ne fait pas de MCI mais des MCLD.

3) c’est une MCIPE.

4) si tu veux faire une remarque au praticien, tu sors de l’anonymat.

5) je respecte le chirurgien mais trouve le personnage de Pp ridicule

6) ton but n’est que de préserver ta crémerie dixit :

Pépélaratiche écrivait:
-----------------------
> Céramik écrivait:
> -----------------
> > Zorglub écrivait:
> > -----------------
> > > Et pourquoi pas... avec MCI !
> >
> > Wow, sympa, il y en a du titane !
> > Pas d'implants de ce type disponible chez moi...
> >
> > --
> > Céramik
>
> Tu lui fais les 3 séances d ostéotension
> Tu l accompagnes en Europe une semaine
> Et sur cette semaine on lui fait la MCI
>
> J ai un pote qui en fait comme ça depuis des années en provenance des USA :
> interdit chez vous certes mais pas interdit aux patients de se les faire poser
> en Europe
>
> Bien à toi Ceramik
>
> --
> Pp, bon en rien, mauvais en tout ...
> Sed Fortuna audaces iuvat ...


RépondreCiter
Img 3657 cwjvqm - Eugenol
alapex

14/02/2012 à 21h46

Vous devriez vous rappeler que discuter est une chose , Vous invectiver directement en est une autre .

Je ne suis pas implanto , mais je suis d'accord garder la 37 (surtout avec son environnement paro pressenti) ne sert à rien et est à la limite de l’hérésie . Elle est un non sens complet dans une implanto totale .

L'équipement maxillaire est mécaniquement voué à l'échec , s'arrêter aux 5 , je ne comprends pas , à moins que l'implanté ait 95 ans pour des raisons évidente de SAV .

L'équipement implantaire à la mandibule me laisse perplexe , les 2 en distal des trous mentonniers , n'est ce pas un peu risqué .

C'est marrant parce que pour une fois que les implants ne sont pas placés dans tous les axes avec des angulations de fou , on dirait presque que le parallélisme est là pour faciliter l'extraction totale implantaire .

Mais bon , c'est un avis .


Pépélaratiche

14/02/2012 à 22h01

alapex écrivait:
----------------
> Vous devriez vous rappeler que discuter est une chose , Vous invectiver
> directement en est une autre .
>
> Je ne suis pas implanto , mais je suis d'accord garder la 37 (surtout avec son
> environnement paro pressenti) ne sert à rien et est à la limite de l’hérésie .
> Elle est un non sens complet dans une implanto totale .
>
> L'équipement maxillaire est mécaniquement voué à l'échec , s'arrêter aux 5 , je
> ne comprends pas , à moins que l'implanté ait 95 ans pour des raisons évidente
> de SAV .
>
> L'équipement implantaire à la mandibule me laisse perplexe , les 2 en distal des
> trous mentonniers , n'est ce pas un peu risqué .
>
> C'est marrant parce que pour une fois que les implants ne sont pas placés dans
> tous les axes avec des angulations de fou , on dirait presque que le
> parallélisme est là pour faciliter l'extraction totale implantaire .
>
> Mais bon , c'est un avis .
>

Ala,

on ne s invective pas... Je persiste et je signe : Posit aime jouer au Docteur et se prendre pour un Docteur mais comble de la frustration pour lui, il n est que proteux informaticien

Bises à toi Ala


--
Pp, bon en rien, mauvais en tout ...
Sed Fortuna audaces iuvat ...

PS J apprécie bcp ta prise de postion sur ce traitement mais là encore on voit que toi tu es Dr en Chirugie Dentaire et stt et avant tout Universitaire ;-)


saintantoine

15/02/2012 à 00h42

Pourquoi tant de haine dans un Forum qui se veut constructif.
Nul n'a la sciences acquise. Et pourquoi critiquer systématiquement les cas cliniques des uns et des autres.
Chacun traîne des galères et celui qui prétend qu'il n'existe qu'une seule implantologie, axiale (à hexagone interne ou externe) ou basale, et qui prétend imposer ses dogmes comme des statuts immuables ferait bien de se souvenir qu'un jour ou l'autre elles seront déboulonnées (cf l'antiquité).

Basale - Eugenol

Img 3657 cwjvqm - Eugenol
alapex

15/02/2012 à 08h49

"'est beau l'amitié des fois ça ressemble à l’amour"


Je le concède ; mais me connaissant tu devrais savoir que comme je l'ai écrit c'est un avis sur un cas , on ne peut pas toujours être d'accord .
Je ne remets pas en cause ton système de guide , je le pense toutefois faillible (comme tout d'ailleurs) , je remets en cause le plan de réhabilitation du praticien qui a traité ce cas . Mettre des roues de bicyclette sur un camion c'est pas bon .
J'ai d'ailleurs le même avis sur les disks parfois . J'ai d'ailleurs entendu de la bouche même de G Sc. "je traiterai différemment ce cas aujourd'hui" , ce qui signifie que tout le monde fait ce qu'il peut au moment où il le fait , et ça ne se casse pas forcément la gueule .

Voili , voilà , bisou quand même car j'en fais à Pp , mais je t'en garde un peu ...)))


Logo m4n3gc - Eugenol
drmarcus

15/02/2012 à 08h49

Bien d'accord avec Saintantoine!
Je ne comprends pas vos attitudes d'agressivité!
Au fil des posts vous vous arrangez de produits mal conçus (biodentine etc...); vous bidouillez leur utilisation car leur protocole ou conditionnement est imparfait. :-(????
Vous n'avez pas été formé au principe de base de la mécanique à fortiori de la biomécanique et pourtant vous êtes suspendu aux lèvres des commerciaux qui vous vantent de façon vénale les qualités en mélangeant les genres et vous reproduisez sans autre recherche leur parole...
En fait vous vous comportez comme nos politiques qui un jour quand ça les arrangent disent blanc et le lendemain parce que le vent a changé de sens vous pronez "noir".

Waouh ça m'a fait du bien :-)))))

Ok Posit n'est pas dentiste, Matérialise non plus, Nobelguide non plus et tous les autres... pourtant ils peuvent faciliter l'exerciceµ. Se passer de leur aide, de ces outils, simplement par suffisance, serait une ineptie.

--
"La vis est à l'implant ce que la carie est à la dent!" (Pozzi)


Blason dql7mj - Eugenol
growler

15/02/2012 à 09h43

dr marcus, il ne faut cependant pas sous estimer l'esprit critique de bon nombre des praticiens, pas si prompts à gober n'importe quel discours d'un commercial.


finalement ce qui nous intéresse tout autant et même plus que la technique mise en oeuvre, c'est la prise de décision et l'élaboration d'un plan de traitement cohérent et le plus prédictible possible.


Modérateur

15/02/2012 à 17h50

+1.

J’espère que du coup beaucoup de choses deviennent plus claires pour beaucoup de monde.


Avatar transparent iqadnc - Eugenol
adhoc

15/02/2012 à 19h06

En tout cas, c'est didactique, merci posit, ce n'est pas moi qui critiquerais ou approuverais telle ou telle technique, ne connaissant pas cette discipline.
J'ai vu qu'il y avait une discussion sur la 37. Qu’est ce qui empêche de faire son extraction et implants 36 37 quand la 37 rendra l’âme? (je ne pense pas que le bridge sera mixte implant-dent, quand même!)
Qu’est ce qui empêche d'enlever la pâte canalaire 15 dans quelque temps? il n'y a pas le feu!


Img 3657 cwjvqm - Eugenol
alapex

15/02/2012 à 19h31

"Qu’est ce qui empêche de faire son extraction et implants 36 37 quand la 37 rendra l’âme?"

Qu'on ne sache pas poser d'implant à la place des molaires , car on s'arrête aux 5 en bas aussi . (c'est une réponse d'omnipraticien non implanto). J'ai bon ?


yanou

16/02/2012 à 00h11

J'ai trouvé un post qui va tous vous satisfaire

40 implants r4jh8o - Eugenol

12