Cookie Consent byPrivacyPolicies.comun cas de facette avec plastie gingival au laser. - Eugenol

un cas de facette avec plastie gingival au laser.

Humator t9r5wy - Eugenol
humator

27/01/2012 à 14h48

bonjour,
je vous poste un cas qui m'a fait plaisir, et montre la facilité de travail au laser CO2.
jeune homme en demande esthétique:
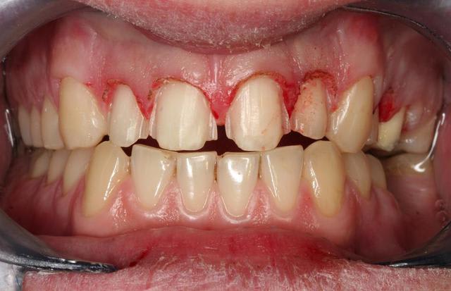
1 cas initial: diastème et 22 rikiki.
2 festonnage au CO2.
3 le même jour, préparation/empreinte.
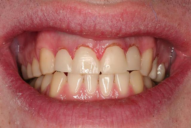
4 pose des provisoires. (en réalité façade d'une seule pièce)
--
N.Hum

01pr  op pxn3uu - Eugenol
02laser ak5jjm - Eugenol
03prepa w43qrf - Eugenol
04provisoire   j0 dum6bg - Eugenol

Humator t9r5wy - Eugenol
humator

27/01/2012 à 14h51

la suite...
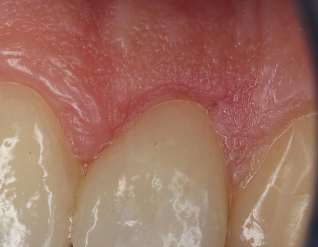
5 cicatrisation à 3 jours (pas mal, non?)
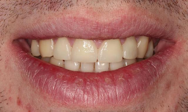
6 sourire final, 6 jours après la pose des définitives (des E max).
7 même chose, plus près...
le patient est très content, et moi aussi!
--
N.Hum

05 provisoir j 3 knwg5m - Eugenol
Sourir   6j h6wjet - Eugenol
D tail  j6 l61xvk - Eugenol

Fouilla h6plsy - Eugenol
fouilla

27/01/2012 à 17h29

humator écrivait:
-----------------

> le patient est très content, et moi aussi!
> --
> N.Hum

ben nous aussi :-)

tes derniers cas avant d'aller bosser chez dentexia ??? t'inquiète pas ils aiment les ptis jeunes expérimentés dans ton genre...
joli en tout cas le cas

mais bon en toute sincérité une lame ou un bistouri électrique font la même chose non ? faut bien dire une ptite critique ça me fait ierch ces mecs qui se la pète avec leur guerre des étoiles :-(
--
.


Humator t9r5wy - Eugenol
humator

27/01/2012 à 17h37

avec une lame? oui, oui, mais:
ça pisse bien
la cicat' est + longue
la cicat' est + douloureuse.

voilà, ma foufouille! et oui, ça y est, je lâche le libéral dans 15 jours et mon contrat est signé! youhou! à moi la liberté (jaloux!)
en + j'ai les ticket resto...

--
N.Hum


RépondreCiter
3f3boxni50k58rq7e9ce9ddqrxgk - Eugenol
dentiste57

27/01/2012 à 21h43

humator écrivait:
-----------------
> avec une lame? oui, oui, mais:
> ça pisse bien
> la cicat' est + longue
> la cicat' est + douloureuse.
>
> voilà, ma foufouille! et oui, ça y est, je lâche le libéral dans 15 jours et mon
> contrat est signé! youhou! à moi la liberté (jaloux!)
> en + j'ai les ticket resto...
>
> --
> N.Hum

quel gâchis de voir partir les bons vers ces structures.!


aldo74

27/01/2012 à 22h06

et l'espace biologique?
ou est le niveau osseux?


Homer simpson wallpaper brain 1024 f4t8dv - Eugenol
Jpeg

27/01/2012 à 22h39

c'est un très beau cas ! en 6 jours la réponse gingivale est superbe. Ils en ont de la chance les futurs patients Dentexia !
tes provisoires sont-elles réalisées à partir d'un moke-up ou d'une empreinte faite lors d'une précédente séance ?


Smile beach jgh0a1 - Eugenol
Céramik

28/01/2012 à 01h33

dentiste57 écrivait:
--------------------
>
> quel gâchis de voir partir les bons vers ces structures.!


J'étais curieux, donc google "dentexia"

http://www.dentexia.fr/Les-tarifs-Article-6213.aspx

C'est très fort, un implant-couronne-pillier-scanner et tout les extras pour 970 euro, très fort...

Ils font comment ?


--
Céramik


003 penrd2 - Eugenol
Cingulum

28/01/2012 à 11h47

Dentxiiia on sait pas... on se demande...

en tout le cas de facette est très joli
Je suis un peu d'accord avec un bistouri electrique on a la meme chose non ?
Et j'aurais moins préparé les dents... ;)

Mais c'est un super résultat :)



--
Dr Cingulum
-----Ancien interné----
----Attaché à l'apex----
http://www.clinic-all.fr/ formation par passion


Humator t9r5wy - Eugenol
humator

28/01/2012 à 16h44

provisoires d'après un wax-up par bibi (c'est pas très réussi!)
merci, car je suis très satisfais de ce cas (et le patient surtout!)
pour les prépas, j'ai pas eu l'impresion de surpréparer. d'ailleur, les facettes étaient très fines (j'essaye de joindre une photo lundi)
bistouri éléctrique, j'sais pas, j'en ai pas l’expérience...
mais le CO2, je m'amuse bien avec!
--
N.Hum


Smile beach jgh0a1 - Eugenol
Céramik

28/01/2012 à 18h54

Joli résultat.
Entre le CO2 et le bistouri electrique, j'aime mieux le laser diode 940nm, mais bon, on peut tous arriver à faire quelque chose de bien. Par contre, lame, ouach !

PS: j'ai utilisé les 3, et le diode est le top, enfin, pour moi.

Tu as collé au Fuji ?
;-)

--
Céramik


aldo74

28/01/2012 à 21h08

serait ce une question piège?
part ailleurs;je n'ai pas eu de réponse quand au niveau osseux et au risque de recroissance gingivale par non respect de l'espace biologique ??
était ce un entrainement pour la future activité
avec un temps de réalisation si court?
désolé......


Smile beach jgh0a1 - Eugenol
Céramik

29/01/2012 à 01h10

aldo74 écrivait:
----------------
> serait ce une question piège?
> part ailleurs;je n'ai pas eu de réponse quand au niveau osseux et au risque de
> recroissance gingivale par non respect de l'espace biologique ??
> était ce un entrainement pour la future activité
> avec un temps de réalisation si court?
> désolé......

Pour avoir fait des cas comme cela depuis 7 ans, ça fonctionne, si on sonde bien, et que le niveau paro est bon.

Si tu vas trop loin, tu auras des problèmes.
Parfois, faut faire une chirurgie osseuse.
Certains font cela avec un laser erbium, sans lambeau, mais ça faut pas le dire, car les laser, c'est tabou sur nonol...



--
Céramik


 mg 0207 xwjxcl - Eugenol
Tillc

29/01/2012 à 10h45

Bein moi je trouve pas ca si beau . Comment as tu géré l'espace biologique? Comment as tu géré le niveau osseux ?
On sait très bien que sur un parodonte sains , sans atcd de parodontite le niveau osseux suit le niveau de la gencive.
Il est vrai que si tu as bien géré ton profil d'émergence la gencive ne remontera pas MAIS comme ta photo terminale en témoigne => Gingivite entre 22 et 21 ( exactement la ou la gingivectomie est la plus profonde ).

Ma conclusion => Bonne indication, bonne réalisation dentaire, mauvaise gestion per op.


Humator t9r5wy - Eugenol
humator

29/01/2012 à 11h21

faudra m'expliquer où tu vois une gingivite entre 21 et 22?
non, mais t'as vu la qualité de la GA? faut pas déconner!
pour l'espace biologique, il va bien: sur 22, qui était en retrait, j'avais un wagon en GA . De +, je ne sais pas si vous avez déjà vu une gencive avec un espace bio insuffisant, mais en général, ça ne pardonne pas et est visible immédiatement.

--
N.Hum


Humator t9r5wy - Eugenol
humator

20/02/2012 à 14h22

pour faire suite à ce cas, et montrer l’intégration gingivale, voici des photo a 1 mois.
ben elle est pas moche, ma GA!

--
N.Hum

J 30 b0re1a - Eugenol
D tail c0hj2j - Eugenol

Images eb1m5g - Eugenol
tonio

21/02/2012 à 01h41

C'est joli mais je trouve néanmoins dommage d'avoir touché 4 incisives qui n'en avaient pas "médicalement" besoin.

J'aurais (mais au conditionnel c'est facile) plutôt envisagé un traitement ODF avec une frenectomie labiale sup et une plastie gingivale de la 22.


Bebe 038 nf8eum - Eugenol
danteyeah

21/02/2012 à 01h56

tonio écrivait:
---------------
> C'est joli mais je trouve néanmoins dommage d'avoir touché 4 incisives qui n'en
> avaient pas "médicalement" besoin.
>
> J'aurais (mais au conditionnel c'est facile) plutôt envisagé un traitement ODF
> avec une frenectomie labiale sup et une plastie gingivale de la 22.

Je suis plutôt Fan de traitement esthétique ortho. Cependant ici j'ai l'impression d'une dysharmonie dans les volumes des incisives. Les facettes permettent de rétablir des volumes en hauteur mais aussi en largeur plus esthétique. La gencive est bien gérée de 12 à 21, pour la 22 c'est moins sûr mais avec une bonne hygiène ça ne devrait pas bouger. Un traitement ortho pour ingresser 12 et 22 aurait été bénéfique mais surement très long.
Chouette compromis.
Sinon l'histoire de Dentexia c'est du second degré: "private joke" avec Fouilla?


Smile beach jgh0a1 - Eugenol
Céramik

21/02/2012 à 03h04

tonio écrivait:
---------------
> C'est joli mais je trouve néanmoins dommage d'avoir touché 4 incisives qui n'en
> avaient pas "médicalement" besoin.
>


médicalement parlant, tu n'as pas besoin de:
-IC
-mercure
-et pour quoi pas, de dents...


--
Céramik


Humator t9r5wy - Eugenol
humator

21/02/2012 à 09h50

ceramik: bien sure que c'est une blague! je vais pas larbiner chez ces vampires!
tonio: c'est un choix après en avoir bien discuté avec le patient, qui refuse l'odf.
De +, l'ortho n'aurai rien changé à la taille des I...
patient très content, et moi aussi.


--
N.Hum


Bebe 038 nf8eum - Eugenol
danteyeah

21/02/2012 à 11h29

humator écrivait:
-----------------
> ceramik: bien sure que c'est une blague! je vais pas larbiner chez ces vampires!


Cool tu m'as pris pour Céramik....je suis flatté ;-)


implantista

21/02/2012 à 14h53

Je comprends pas pourquoi utiliser le laser dans ce cas ? La gencive n'avait rien de pathologique.

Sinon joli cas ! Bravo.

edit : Ah si en 21 - 22 elle est hyperplasique j'avais pas vu.


Humator t9r5wy - Eugenol
humator

21/02/2012 à 15h14

merci.
j'ai utilisé le laser pour la gingivectomie exsangue qui me permet d'allonger les couronnes cliniques et de faire l'empreinte illico.
Denteyeah, désolé de t'avoir emigré outre atlantique! ;-)

--
N.Hum