Cookie Consent byPrivacyPolicies.comBiobank VS TBF VS Purros - Eugenol

Biobank VS TBF VS Purros

flicflac

04/02/2012 à 15h05

Ha' Ha' et bien oui, elle reste toujours dure, difficulté à trouvé un coustume de bain pour allé à la plage...
très très drôle Céramik
il faudrait d'abord que je perde une dent...
une étude porte les cas à 5%, je ne veut pas être condamné à payé du viagra à un patient pour le restant de ces jours..


flicflac

04/02/2012 à 15h10

Chicot, les blocs autogènes résorbent d'environ 5%, tu connais mieux? On doit les mettrent directement sur la zone greffé sans aucun intermédiaire...


Avatar ow44t3 - Eugenol
Chicot

04/02/2012 à 15h18

flicflac écrivait:
------------------
> Chicot, les blocs autogènes résorbent d'environ 5%, tu connais mieux? On doit
> les mettrent directement sur la zone greffé sans aucun intermédiaire...

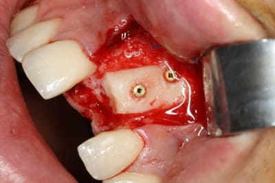
faux ils se résorbent beaucoup plus s'ils sont épais. J'ai des cas ou la tête de la vis de fixation qui était enfui dans la cuvette créée à la fraise boule apparait à 5 mois à 2 bon mm de la greffe.


--
;O)

Img 1069 zo0bmy - Eugenol
Img 0540 znkrv1 - Eugenol

flicflac

04/02/2012 à 15h36

ton bloc a été mis en dehors de l'espace osseux normal pour ce patient, il est au niveau gingivale des dents adjacentes.un remodelage naturelle s'en suit.


Smile beach jgh0a1 - Eugenol
Céramik

04/02/2012 à 16h15

pression du provisoire ?
problème de recouvrement gingivale ?




--
Céramik


Choukroun Joseph

04/02/2012 à 16h50

C'est pas le moment de déprimer les amis, au contraire..
Une des pistes actuellement explorées dans la résorbtion précoce des greffes osseuses (blocs ou granules) est la pression exercée par la gencive !
On connait les ravages exercés par une prothèse amovible sur une greffe, mais on n'a jamais évalué la pression éxercée par la gencive elle même. Et cela parait être un facteur non négligeable!
Chaque fois qu'on arrive à créer un intermédiaire entre la gencive et la greffe, la résorbtion s'arrête au niveau de l'interface...
Plusieurs équipes travaillent sur cette problématique passionnante et ce sera un des thèmes traités lors du prochain Syfac (Juin 2013)
Alors entretemps, toutes les suggestions ou expériences sont les bienvenues.
Joseph


Smile beach jgh0a1 - Eugenol
Céramik

04/02/2012 à 17h51

C'est un peu ce que je pensais, la pression par la gencive.
Avec les quelques cas où j'ai placé une membranne titane, j'ai eu des résultats surprenants au niveau du volume gagné et conservé.

Par contre, enlever un membranne titane assez rigide et perforée bien fibrosée en place, c'est pas facile !

Les feuilles en titane sont plus aisées, mais bcp moin rigide.

Photo d'un cas fait la sem passée, gain de 5-6 mm en vestibulaire (sur 12 mm) particules allogènes, en 4 mois.




--
Céramik

Membranne titane jzgwlf - Eugenol

S2y2o1v7q53ws4r5wy6ou8czrpom - Eugenol
pxav

04/02/2012 à 18h31

je vais donc aussi être embêté...
en plus des greffes je me suis fait le plaisir de faire de l'expansion (pour vendre des implants bien sur puisque j'ai un très gros pourcentage...)



--
xbk
"Si tous ceux qui croient avoir raison n'avaient pas tort, la vérité ne serait pas loin" Dac Pierre

Dar12 dmdcf3 - Eugenol
Dar13 snfr77 - Eugenol
14dar tm9a6n - Eugenol
Dar14 mu6ia0 - Eugenol
15dar srylok - Eugenol
23dar fu8chl - Eugenol
Dar23 cngblb - Eugenol
24dar rfsfid - Eugenol
Dar24 scegbz - Eugenol
25dar yv2tvr - Eugenol
Dar15 gpvqe1 - Eugenol
Dar25 mrwngv - Eugenol
12dar ujxzdu - Eugenol
13dar zaa5vz - Eugenol
22dar mrs1pw - Eugenol
Darcl12.12 - Eugenol

S2y2o1v7q53ws4r5wy6ou8czrpom - Eugenol
pxav

04/02/2012 à 18h48

les quelques photos (déjà publiées) greffes avec flap à droite et chaussette flapless à gauche.
implant avec spreader (condensation) à droite et ostéotomes (Tatum et divers) à gauche.
Si ça fond, je vais regretter d'avoir piqué le patient à Tulasne, qui avait programmé du pariétal (vestibulaire et palatin).
D'autant plus que je me suis fait gonfler les chevilles car c'était semble t il une première mondiale (greffon préparé d'après modèle 3D avant le traitement de la tête de fémur et sa stérilisation)
tout ça pour rien,sniff!
--
xbk
"Si tous ceux qui croient avoir raison n'avaient pas tort, la vérité ne serait pas loin" Dac Pierre

Img 7141r ylzwwe - Eugenol
Img 7150r tgalxt - Eugenol
Img 7165r raakzy - Eugenol
Img 7155r mvdccj - Eugenol
Img 7162r fldzar - Eugenol

Smile beach jgh0a1 - Eugenol
Céramik

04/02/2012 à 18h53

pffft, t'aurais du enlever la 28 !
ou placer des disques partout.

Sérieusement, le gain est incroyable.
On verra dans 1-2-5 ans... d'ici là, tu partiras à la retraite avec tes % énormes !


--
Céramik


S2y2o1v7q53ws4r5wy6ou8czrpom - Eugenol
pxav

04/02/2012 à 19h04

Céramik écrivait:
-----------------
> Sérieusement, le gain est incroyable.
> On verra dans 1-2-5 ans... d'ici là, tu partiras à la retraite avec tes % énorme
> !

> --
> Céramik

non dans un an avocat, procès?
dans deux ans appel?
dans 5 ans cassation et prison?

--
xbk
"Si tous ceux qui croient avoir raison n'avaient pas tort, la vérité ne serait pas loin" Dac Pierre


Smile beach jgh0a1 - Eugenol
Céramik

04/02/2012 à 19h14

vite, déménage aux USA, avec ta bagnole et va voir les nana en Californie !

--
Céramik


Avatar ow44t3 - Eugenol
Chicot

04/02/2012 à 19h18

Céramik écrivait:
-----------------
> pression du provisoire ?

non pas de contacts vestibulaires


> problème de recouvrement gingivale ?

non, aucune exposition


mais toute greffe autogène se résorbe puisque l'on sur corrige systématiquement, mais il est vrai que l'on crée alors une sur pression des téguments: lèvres, joue, langue

mais sans sur corriger on résorbe aussi et on peut plus implanter derrière....

Avec une membrane rigide, une fois déposé, la greffe se résorbe aussi ?

J'ai vu des photos de M. Jabbour de cas de greffes suivit de l'implantation 4 mois 1/2 après la greffe où l'implant se retrouvait avec des spires exposées en vestibulaire 3 à 8 ans après....

Sur les photos, souvent l'implant était trop vestibulé car la greffe n'avait pas compensé la résorption palatine: Attention de ne pas sur corriger bêtement en vestibulaire alors que la partie palatine est également résorbée --> greffe 3D sinon la partie sur corrigé disparait lors du remodelage osseux bien après la pose de l'implant

Ces problèmes de résorptions sont multifactoriels et il semble trop simpliste d'incriminer un matériau plutôt qu'un autre.



--
;O)


S2y2o1v7q53ws4r5wy6ou8czrpom - Eugenol
pxav

04/02/2012 à 20h15

Chicot écrivait:
----------------
Attention de ne pas sur corriger bêtement en
> vestibulaire alors que la partie palatine est également résorbée --> greffe 3D
> sinon la partie sur corrigé disparait lors du remodelage osseux bien après la
> pose de l'implant
>
> Ces problèmes de résorptions sont multifactoriels et il semble trop simpliste
> d'incriminer un matériau plutôt qu'un autre.
> --
> ;O)

des le début de ma planification, j'avais prévu des blocs de dimensions, sans excès, et surtout avec des bords très ajustés, (intérêt de la préparation sur modèles 3D)
Mon idée (qui n'a pas d'autres fondements que la mécanique de base)c'est qu'un greffon, parfaitement ajusté, sera mieux intégrés par l'organisme (formes et fonctions).
La seule chose que je n'ai pas osé faire c'est quelques séances d'ostéotension, mais la réaction à l'expansion était tout à fait exceptionnelle.
Si par hasard je constate une fonte vestibulaire, je crois que je commencerais par un travail de manipulation sur l'os (microfractures pour provoquer la formation de cals réactifs)
Enfin si j'évite la prison...
--
xbk
"Si tous ceux qui croient avoir raison n'avaient pas tort, la vérité ne serait pas loin" Dac Pierre


rene

04/02/2012 à 22h34

une solution pour éviter la perte vestibulaire pourrait être de mettre une couche de bovin sur le greffon allogène

le bovin étant très peu résorbable ça pourrait diminuer la fonte vestibulaire

qu'en pensez vous?


Smile beach jgh0a1 - Eugenol
Céramik

04/02/2012 à 23h03

rene écrivait:
--------------
> une solution pour éviter la perte vestibulaire pourrait être de mettre une
> couche de bovin sur le greffon allogène
>
> le bovin étant très peu résorbable ça pourrait diminuer la fonte vestibulaire
>
> qu'en pensez vous?


meuh bien sur !

En fait, je ne sais pas.
Placer des particules sur un bloc, pas facile, non ?

--
Céramik


Sans titre tztxfv - Eugenol
Monet

02/10/2016 à 08h00

J'aimerais bien une réactualisation de ses cas de résorption GARANTIE...
Growler, pxav...? Alors qu'en est il?


Blason dql7mj - Eugenol
growler

02/10/2016 à 09h27

Salut Monet !

actuellement on privilégie les greffes 2D et 3D en utilisant des lames d'os cortical pour réaliser des coffrages ensuite remplis avec des granules de spongieux. Les lames sont issues soit du prélèvement ramique autologue soit on utilise celles allogéniques proposées par Biobank:

Lame d'os Cortical 12x10mm
Lame d'os Cortical 22x10 mm

Pour le spongieux particulaire: allogénique Biobank ou anorganique bovin, et c'est pas mal d'y inclure de l'autogène prélevé.

@+


12