Cookie Consent byPrivacyPolicies.combesoin de vos avis - Eugenol

besoin de vos avis

brighita

01/02/2012 à 15h47

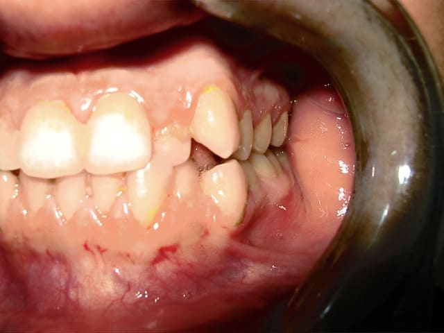
bonjour je vous presente mon cas :
j'ai recu un patient agé de 19ans , qui veut aligner ses dents.
Aprés l'etude du cas le diagnostic est le suivant :
CL1 squelettique tendance Cl3
hyperdivergent
Proalveolie sup
Normoalveolie inf avec une tendance a la retroalveolie
Prochélie

Cl3 dentaire molaire droite et gauche et Cl1 dentaire canine droite et gauche

Le plan de traitement est le suivant :
Pour resoudre le probleme d'encombrement en bas , extraction de la 34 et 44
et en haut on a une Cl3 dentaire , je penses qu'il faudrait extraire la 15 et 25 pour permettre l’avancé des molaires ?
Sinon on extrait que la 14 et 24 et les élastiques permettront cette avancé ?

Img 1431 dbfkbh - Eugenol
Img 1440 vbbonq - Eugenol
Img 1439 dicslm - Eugenol
Img 1402 roxnfl - Eugenol
Img 1405 vftjew - Eugenol
Img 1407 hp9k2g - Eugenol
Img 1432 zz8cak - Eugenol
Img 1441 pttic3 - Eugenol

Photo pluton1b h9n4ea - Eugenol
pluton

01/02/2012 à 15h57

déjà, faudrait qu'il frotte...et que les soins soient réalisés...

et pourquoi pas tenter de tout réaligner sans extraire?
c'est pas quand les quenottes sont dans le plateau qu'il faut se demander si çà pouvait pas tout tenir...


Img 0812 mvp6i0 - Eugenol
jeamba

02/02/2012 à 10h19

Je suis tout à fait d'accord avec pluton. Commencer à niveller en ayant un ancrage postérieur et finir avec des EL II. Ton cas est tout à fait réalisable sans extractions. Si tu pratiques du Damon (et ça va déchaîner les passions)c'est un cas classique.