Cookie Consent byPrivacyPolicies.comDeux couronnes provisoires pour une même dent ? - Eugenol

Deux couronnes provisoires pour une même dent ?

Bonhome goutte d eau wna8zd - Eugenol
Nienae

03/02/2012 à 15h53

Bonjour,

Je me pose une question quant au plan de traitement d'une future consoeur (je suis en 6ème année ... pas encore thésarde !) qui soigne mon copain.

Etape purement prothétique : elle prend la suite du travail d'un endodontiste exclusif qui a réussi à sauver la 37 qui pour elle était condamnée (atteinte furcatoire) : elle ne laissait pour choix que l'hémisection ou l'extraction suivie de la pose d'un implant (je ne crois pas en la première solution, et j'avais un doute pour l'atteinte furcatoire, en prenant l'année dernière des radios à différentes incidences à l'école je n'avais pas la même image ... ce qui me laissait penser à un artefact, je l'ai donc orienté chez un endodontiste exclusif qui a dénoncé l'artefact avec plusieurs radios d'incidences différentes, et aussi avec un cône de gutta : lésion endo-paro).

Elle fait un devis pour une couronne provisoire à 100€, H.N. bien sûr.
Puis un devis pour FM et CR acier, avec une deuxième couronne provisoire à 200€ H.N.

Je ne comprends pas l'intérêt de réaliser deux couronnes provisoires : après pose du FM, la première couronne aurait été évidée puis rebasée ... Même s'il faut suivre sur plusieurs mois l'évolution de la lésion apicale avant de couronner définitivement (la fistule au moins a guéri au bout de deux mois, c'est très bon signe), cela ne justifie pas à mon sens la création d'une deuxième couronne provisoire, d'autant plus que la première a moins de 3 mois.

Quant au prix de la deuxième couronne provisoire, je suis bien sceptique ... je le trouve exorbitant, sans avoir été décidé avec "tact et mesure".

Merci pour vos avis, même si le mieux je pense est d'aller en discuter avec sa dentiste. Mais peut-être suis-je passée à côté du protocole ...


Björn

03/02/2012 à 16h58

C'est trop cher, il faut qu'il trouve un autre dentiste.
Toi par exemple?

--
Faut savoir faire autre chose que de regarder toute sa vie dans la bouche des gens. (Ameli, 7/12/11)


Ico v for vendetta08 jzhpep - Eugenol
Arnaud Go

03/02/2012 à 18h06

On ne fait pas payer la 2è parce qu'il y a autre chose derrière, bizarre pour un exclusif d'ailleurs qu'il fasse l'IC .
Je m'embête pas à rebaser, ça prend trop de temps, je prend le premier automoulage. Dans tous les cas c'est du boulot qui mérite salaire.
Pourquoi la deuxième coûte le double, aucune idée.

Tu lui fais la 2è et puis c'est tout.


Pure msn be1nue - Eugenol
drilleur

03/02/2012 à 18h17

Après un traitement endo d'un spécialiste ou par mes soins d'une dent peu fiable, je temporise, sur 6mois par exemple... ben je fais faire une couronne labo.

Peu etre que c'est de ça qu'il s'agit? Même si ce n'est pas donné.


aterman

03/02/2012 à 18h37

Une couronne acier sur 37??C est pas le top...

La 2eme provisoire est réalisée du fait qu il peut y avoir une perte d'étanchéité de la première provisoire ce qui réduirait à néant les efforts précédent.

Libre à toi de faire une nouvelle provisoire et une couronne toute céramique par la suite si tous les signes cliniques et radios sont au vert.(Sondage paro de l atteinte furcatoire)?


G-P

03/02/2012 à 20h45

Provisoire de labo la 2e, ça parait évident...


labelledeK10

03/02/2012 à 21h11

c'est très cher. Et une couronne coulée sur une dent de 12 ans, ça ne me choque pas. Y a t' il la hauteur pour autre chose?

Je ne vois pas l'intérêt de laisser sous provisoire
indéfiniment dans un cas pareil. Si on a sceller l'inlay-core sur une 37, c'est pas pour le déposer après, non? si la dent est si mal partie, pourquoi ne pas temporiser avec un CVI?

bizarre.
--
je plie et ne romps pas.


Capture d  cran 2015 03 12 12.28 - Eugenol
chicot29

03/02/2012 à 22h08

Arnaud Go écrivait:
-------------------
> On ne fait pas payer la 2è parce qu'il y a autre chose derrière, bizarre pour un
> exclusif d'ailleurs qu'il fasse l'IC .
> Je m'embête pas à rebaser, ça prend trop de temps, je prend le premier
> automoulage. Dans tous les cas c'est du boulot qui mérite salaire.
> Pourquoi la deuxième coûte le double, aucune idée.
>
> Tu lui fais la 2è et puis c'est tout.

Si il est exclusif conventionné comment veux tu qu'il gagne sa croûte ? Personnellement si tous les patients arrivaient avec ic-provisoire-endo au top je signe tout de suite !


Ico v for vendetta08 jzhpep - Eugenol
Arnaud Go

03/02/2012 à 22h28

600€ le retraitement molaire, c'est comme ça qu'ils la gagnent et ce n'est évidemment pas honteux.

Sur quelqu'un de ma famille je ferais la céram directe quitte à extraire après.


Mario ycg44a - Eugenol
Mario180

04/02/2012 à 12h51

Si ton copain a du blé, qu'il le fasse, pour ce prix, y a intérêt que la provisoire soit chiadée.

Sinon, tu lui fais inlay core + provisoire 6 mois à la fac : 0 euros, que de l'huile de coude et ta provisoire sera d'aussi bonne qualité que celle du prothésiste si tu t'appliques.
Tu lui feras la couronne définitive pendant ton premier rempla.

Bilan : Il aura une céram pour un prix bien plus abordable (tu lui fais au tarif de remboursement mutuelle : 0 euros de reste à charge)

Si tu ne veux pas bosser sur ton copain, tu l'envoies à un collègue de ta promo.


Capture d  cran 2015 03 12 12.28 - Eugenol
chicot29

04/02/2012 à 13h42

Déjà, éviter si possible de soigner les patients que tu connais. J'ai 2000 euros dans le C... d'une amie qui s'est fait rembourser par la sécu et sa mutuelle depuis 1 an. je ne l'ai pas revue depuis. Sans compter un éventuel aléa qui peut modifier le plan de tt en cours de route (genre ben ta dent faut l'extraire et ca sera un implant, pas remboursé off course et là ca commence à sentir le roussi)


Ylfwcw979cz1jnx9gfqeaxndiuzk - Eugenol
Algi

04/02/2012 à 16h02

Evider et rebaser une vieille provisoire c'est quelquefois plus long et compliqué que d'en refaire une. D'autre part la "vieille" coiffe, si elle a déjà quelques mois est en général pas jolie jolie surtout si elle est realisée en bouche avec, par exemple, de l'unifast.

En ce qui me concerne: provisoire unifast au fauteuil avec moules provident, 80€. Si on doit refaire c'est de nouveau 80€ ou alors je fais une fleur, elle sera "gratuite" mais me fais honorer avec un accompte à déduire sur la coiffe à venir.
Si on doit, pour une raison ou une autre faire un provisoire labo c'est empreinte, pose et tout ça et là ça peut aller jusqu'à 200€ voire plus...

Sinon, vu que t'es en 6eme année pourquoi tu fais pas la prothèse toi même? Au pire il te remerciera avec un resto :0)

Un exemple:
2010:patient avec images apicales sur 15/16, dents mobiles, paro, endo et amalgames à la ramasse ancrés dans les racines. D'autre part perte de la 36, perte de 44/45/46, bridge CCM de 27 à 23 à refaire (27 perdue)qui s'est descelle et est le motif de la consultation. Implants seront à faire en bas, 15 et 16 va falloir attendre eventuelle amelioration et pour 23 à 27 ce sera pour plus tard.

1/ 15/16:taillées pour obtenir moignons, detartrage surfacage des 2 dents et adjacentes, laser yap+h202; realisation des provisoires sur les moignons amalgame avec gencive ne saignant plus, suivie immediatement de depose amalgames et reprises de traitement endo. Coiffes temporaires solidarisées scellés avec ciment provisoire directement sur dents retraitées avec au prealable boulette d'eugenate au fond de la chambre. J'en profite pour diminuer la hauteur de 15 16 qui avaient égressé serieusement.
Dans la même seance: empreinte pour une ppa resine bas 4 dents.

Les endos sont pas top mais j'ai fait au mieux.

2/ provisoires en place, ppa en place en bas. Je depose le bridge 23/27, nettoie dessous et rescelle avec un ciment oxyphosphate, apres rebasage resine auto. On fera avec en attendant. Ce bridge est inclus dans une bouche avec une occlusion lamentable, sa forme, si on peut parler de "forme", est inutilisable dans un cadre de rehabilitation comme celle là.

3/ 2010/2011: Pas de place pour implanter 36, pas assez d'os.... choix est fait d'un bridge zircone zahn de 37 à 35, le proto a pour consigne de ne pas tenir compte du bridge CCM antagoniste que je meulerai pour retrouver un plan d'oclusion correct. Le jour de la pose on decoupe la 36 sur la ppa et on ne garde que les dents coté droit et l'appui résine jusqu'à la 34. Tout se passe bien si ce n'est que je passe plus d'une heure à devoir meuler la saloperie de bridge du haut qui a du être réalisé en rail de chemin de fer ou en acier trempé..... la prochaine fois je prévoirai ce poste ou je proposerai directement un bridge provisoire labo realisé en même temps que l'antagoniste zircone!!!!!!

4/ mi 2011:Les implants en bas à droite ont été posés, on devrait realiser 3 coiffes zircon zahn dessus courant fevrier 2012.

2012: 15/16 ne sont toujours pas top mais plus de signes cliniques, gencives saines, plus aucune mobilité, reste un etat paro et endo qui ne me parait pas fiable sur le long terme. Les provisoires sont en place depuis presque 2 ans, ils sont un peu fatigués hé hé hé mais dessous ça va encore. Je dépose et realise 2 faux moignons tenon fibré en compo direct et rebasage des provisoires resine, ça tiendra peut être 1 mois ou deux mais pas plus car la resine est morte et pue lorsque je la fraise.... heureusement les dents dessous, merci eugenate, sont restées propres et sentent bon.
Il va falloir maintenant decider "quoi" mettre dessus; ce sera soit des coiffes transitoires resine cuite ou compo avec armature metal ou fibrée soit 2 zircone zahn.
Armature metal ou zircone = spr50 chaque, fibrées, sans metal, c'est mieux selon moi mais c'est hn... d'un coté le patient est remboursé mais des coiffes sont faites sur des dents douteuses de l'autre je suis clean vis à vis de la secu mais mon patient perd des tunes.... on verra.

Prochaine étape: on attaque les implants en haut à gauche, soit ce sera ppa sur edentation terminale aprés extraction de la 27 soit on a la place de planter entre 23 et 27 et alors on garde le bridge provisoire existant. J'attend infos de l'implanto (si sinus lift on pourra difficilement garder la 27).

--
"On a toujours le choix! Mais entre quoi et quoi?
Vas-y boulégue et l'avenir te le dira!"


dock

04/02/2012 à 17h56

Nienae écrivait:
----------------

> Puis un devis pour FM et CR acier, avec une deuxième couronne provisoire à 200€ H.N.



Personnellement je n'ai jamais fait payer 2 provisoires, même quand il y a une provisoire de labo.
Ni même quand le patient revient entre deux rdv la refaire parce qu'il a oublié qu'il n'a pas droit aux caramels..

Sympa les tarifs en tout cas, ça donne quoi le FM et la CC?


Ylfwcw979cz1jnx9gfqeaxndiuzk - Eugenol
Algi

04/02/2012 à 18h01

I core dans les 400€, CC c'est 400 plus provisoire, vu que je propose la zircone zahn à 500, "seulement" 100 de plus, tarif dissuasif, marre de ces choses en metal chiantes à regler en oclusion et electriquement pas neutres.

ps: zirone zahn: zircone taillé dans la masse, monochrome mais maquillable, correct au niveau esthetique, dureté finale théoriquement quasi la même que dent naturelle mais resitantes, bonne alternative aux cc trop dures et moches.

--
"On a toujours le choix! Mais entre quoi et quoi?
Vas-y boulégue et l'avenir te le dira!"


La mule ynmlik - Eugenol
la mule

04/02/2012 à 20h06

En tant que petit dentiste minable de province, je trouve le prix de 200€ exorbitant pour une deuxieme provisoire. Mais nous devons avoir affaire a un grand praticien spécialiste des couronnes provisoires.
Je dirais même que c'est ce genre de comportement que les gens et les médias retiennent pour claironner que "les soins dentaires sont de plus en plus chers".
Ensuite, allez ramer a contre courant pour expliquer que SC9, c'est pas cher, et je gagne pas ma vie, gnagnagna, et SPR50 pas réévalué depuis 1988, et gnagnagna ma bonne Dame....
Faut pas trop s'étonner non plus , des fois..


RépondreCiter
Björn

04/02/2012 à 20h27

Ceux qui trouvent que c'est "cher", vous utilisez quelle marque de clamp pour vos endo?

Combien de retraitements par an en moyenne sur pêches asymptomatiques?

Vous avez quand même compris que ce ne sont pas des provisoires que paient les patients, mais une prise en charge?
On dirait des "journalistes"...





Mario ycg44a - Eugenol
Mario180

04/02/2012 à 20h46

Björn écrivait:
---------------
> Ceux qui trouvent que c'est "cher", vous utilisez quelle marque de clamp pour
> vos endo?
>
> Combien de retraitements par an en moyenne sur pêches asymptomatiques?
>
> Vous avez quand même compris que ce ne sont pas des provisoires que paient les
> patients, mais une prise en charge?
> On dirait des "journalistes"...
>
>
>
>
Une provisoire c'est une provisoire, une endo c'est une endo.

Faut pas mélanger les torchons et les serviettes.



Une temporisation, pour moi, c'est 25 provisoires si il faut, mais je me vois pas la facturer plusieurs fois ; en principe tu sais dès le départ si tu as besoin d'une temporisation particulière.
En implanto, je peux avoir à "sculpter" mes tissus mous avec un jeu de pro rebasées : forfait temporisation.

Si une provisoire en technique directe suffit, ça prend 5 minutes, ça coute 5 francs : vite fait et bien fait. Alors facturer ça 100 euros ou plus de 200, c'est de l'arnaque.

Après si quelqu'un souhaite une temporisation long terme (>6mois), c'est labo et devis on est d'accord, mais plus de 150 euros c'est oublié tact et mesure (ici c'est 300 dont on parle!!!)



La mule ynmlik - Eugenol
la mule

04/02/2012 à 22h45

Tout a fait d'accord. Il ne faut pas oublier qu'il s'agit de la DEUXIEME provisoire.


Bonhome goutte d eau wna8zd - Eugenol
Nienae

04/02/2012 à 23h27

Merci pour vos réponses, je n'avais pas du tout pensé à une couronne provisoire au labo ... j'étais restée sur le bloc technique.

Et non je ne peux pas lui faire moi-même la provisoire, je ne mets plus les pieds à l'école, ayant choisi de faire une partie de ma 6ème année en stage dans un hôpital psy (muni d'un service Odonto), et le deuxième semestre en stage dans un cabinet.
Et puis même si je pouvais le faire, je préfère éviter de soigner des connaissances (famille, conjoint ou amis) à part pour des petits actes (détartrage).

La première provisoire n'a pas été faite par l'endo exclusif, qui a mis un pansement type IRM le temps qu'il aille se faire poser une provisoire chez sa dentiste (10 jours après).

Et l'utilité de la deuxième provisoire pour "protéger tout ce qui a été fait avant" ne tient pas debout à mon sens, l'inlay-core permettant l'étanchéité du système endocanalaire. Après s'il s'agit aussi d'éviter toute récidive de carie à l'interface dent/CR ... c'est une toute autre histoire !

Et oui l'endo molaire aura coûté 610€, mais quand je vois le résultat ! (radio pré-op et post-op à l'appui).

Sondage paro : ok, l'endodontiste exclusif a jugé bon de terminer le traitement endo sur cette dent. Il a revu dernièrement mon copain pour vérifier s'il était en voie de guérison. Sa dent va être un moment sous inlay-core (plusieurs mois) le temps que la lésion apicale se résorbe pour être dans les normes imposées par la Sécu.

Je vous donnerai les détails du devis quand je l'aurai sous la main.



Capture ddc6bm - Eugenol
sumble

05/02/2012 à 00h50

j'ai pas bien compris cette prise en charge...

infection avec lésion paro d'origine endo uniquement (?)

une endo appliquée et contrôle radio à 3 mois (temps de cicat osseuse, sachant qu'une reminéralisation se voit même avant). 2 pro pour 3 mois ça fait réfléchir

si cicat ok couronne d'usage
si cicat ne va pas, alors c'est pas l'endo qui sauvera la dent

pourquoi sortir l'artillerie lourde pour une endo, se faire honorer 610ronrons (honoraire effectivement juste pour un exclusif) et au final ne pas être sûr de son traitement?

excusez le provincial soucieux de l'efficience de son traitement. Une deuxième couronne pro à peine moins cher que la cca...


les radio seraient pas mal

----

sumble, efficient dynamite


Bonhome goutte d eau wna8zd - Eugenol
Nienae

05/02/2012 à 23h09

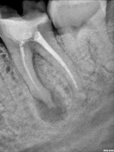
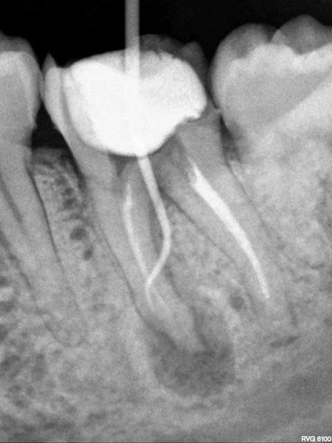
Voici les radios de l'endo exclusif. A noter la racine distale qui avait été retraitée par sa dentiste quelques semaines auparavant (la racine mésiale n'ayant pas été retraitée car elle proposait une hémisection).


J'ai éclairci l'histoire de la "deuxième couronne à 200€", car j'avais vraiment du mal à y croire ... j'ai épluché les devis, et en fait mon copain a compris que l'inlay-core à 220€ était sa prochaine couronne provisoire :D

R4 e5qu6n - Eugenol
Radio pre op et post op mpan7b - Eugenol
R2 cnqooi - Eugenol

Smile beach jgh0a1 - Eugenol
Céramik

06/02/2012 à 02h53

cette dent sera une provisoire, en attendant l'implant...
A voir dans 6-12 mois...Si la lésion guérit...




--
Céramik


labelledeK10

06/02/2012 à 09h26

sur la 4ème radio, c'est une perfo avec un cône?

--
je plie et ne romps pas.


Bebe 038 nf8eum - Eugenol
danteyeah

06/02/2012 à 09h32

Franchement, Ya des baffes qui se perdent.
Payer un endo exclu pour une molaire avec un plancher défoncé voir bien carié?????
Faut être raisonnable, il n'y aucun service rendu ici, et comme le dit Céramik, direction implanto très très rapidement.
En suivant cette voie "conservatrice" ton ami a perdu du temps et de l'argent. Au pire je serai resté sur l'idée du premier praticien (endo distale + hémisection), puis implanto plus tard.
Mais là c'est de l'acharnement thérapeutique.


Olieve

06/02/2012 à 09h45

danteyeah écrivait:
-------------------
ton ami a perdu du temps et de l'argent.


Du temps, de l'argent, et probablement de l'os... un bien si précieux !


12