Cookie Consent byPrivacyPolicies.combruxoman, héros de l'univers - Eugenol

bruxoman, héros de l'univers

maz

04/02/2012 à 11h09

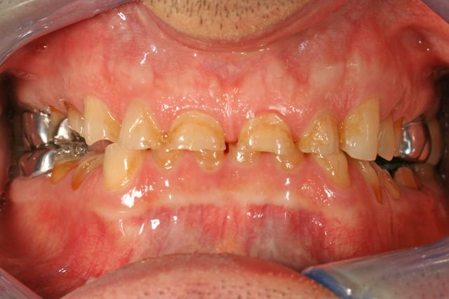
voilà un patient venu en urgence pour sa 36 descellée depuis plus d'un mois, que je n'ai pas pu resceller cause egression de la dent et couronne super fine que j'aurais trouée de partout en la retouchant

Puis je le vois en bilan, ou je vois qu'il est conscient de son problème, il me dit qu'il a déjà cherché des solutions, mais qu'à part deux dentistes qui lui ont fait des gouttières, qu'il a porté un peu mais qu'il a quittées au bout d'un moment, et une dentiste qui à botté en touche ... il n'a pas eu de solutions

je lui ai dit que de toutes façons il pouvait tout user avec son bruxisme (et je le lui redirais !)
et après le bilan, je lui cherche un solution, que je dois lui présenter lundi, avec le devis correspondant.

je commence à y refléchir, et j'avais envie de profiter de vos avis pour ce cas complexe

pour le moment j'ai l'idée de lui proposer une gouttière pour le mettre en RC et en augmentant la DVO puis de lui coller des onlay compo sur toutes les dents, et puis des facettes en antérieur si il est motivé et surtout qu'il a encore des sous.
il me faudra surement me guider sur l'esthétique pour la DVO, donc faire un wax up avant la gouttière (ou après d'ailleurs ?)

dans tous les cas, il y a la 28 qui vient d'être enlevée par le stomato, et la 48 qui présente une LIPOE à la pano

merci d'avance !

Mr t  carteurs 2 mawwxl - Eugenol
Mr t secteur 1 ykdalg - Eugenol
Mr t  carteurs podvdc - Eugenol
Mr t secteur 2 gh27fj - Eugenol
Mr t secteur 3 rdcevn - Eugenol
Mr t secteur 4 bytmdz - Eugenol
Mr t profil modifi  sqwfms - Eugenol
Mr t sourire ogdpcg - Eugenol

maz

04/02/2012 à 11h09

les modèles d'étude

on voit bien l'abrasion liée au bruxisme

l'érosion liée à l'acidité (une bière tous les soirs avant le repas, une pomme tous les soirs en dehors du repas)

l'usure des prémos liée a de mauvaises habitudes dans son métier (tournevis ou stylo au coin de la bouche)

Empreintes mr t cot  gauche ni5dyn - Eugenol
Empreintes mr t lingual gauche vbk1ur - Eugenol
Empreintes mr t lingual droit ubx0gz - Eugenol
Empreintes mr t occlusal cl8fyr - Eugenol
Empreintes mr t cot  droit ykwyew - Eugenol

maz

04/02/2012 à 11h09

je mettrais la pano ici, faut que je passe au cabinet pour ça


Marque a3 orange fyvhyq - Eugenol
Marc Apap

04/02/2012 à 11h48

J'espère que tu ne vas pas lui proposer des onlays céramique collés sur la tranche !


G-P

04/02/2012 à 12h00

Les facettes il va te les exploser. J'espère que tu n'espères pas rentabiliser ce cas, c'est tout sauf rémunérateur.


Image001 e0kg9q - Eugenol
clemsdent

04/02/2012 à 12h34

la bière c'est acide??


Ylfwcw979cz1jnx9gfqeaxndiuzk - Eugenol
Algi

04/02/2012 à 12h51

Gouttière en rc afin de relever la dv, tu libères les antérieures par 1/la surélévation 2/la mise en centrée plus rétruse.

Ensuite..... va falloir essayer de le faire lâcher ses masseters et c'est là qu'on va s'amuser, nous ici car on réouvre un débat serpent de mer et toi chez toi car tu vas devoir choisir une solution parmi nos élucubrations issues de la clinique (que je saches, il n'existe pas de consensus sur comment venir à bout d'un tel cas).

Pour liberer ses tensions: ecole isaie crroc, dentosophie, ecole bjc et electrostimulation, psychotherapie associée et chasse aux mauvaises habitudes.... on oublie le jig préfabriqué de je sais plus qui.

La gouttiere sera portée au moins 12 mois voire plus et elle seule te permettra de voir si ton choix d'oclusion est le bon: soit ça passe soit ça casse. Plus facile de reparer modifier un truc amovible en resine.

Ensuite: il a porté sa gouttiere, il ne l'explose plus alors oui tu colles des compos en posterieur et oui tu peux faire des facettes mais à condition de respecter ce que dit plus haut càd les monter au mieux en bout à bout en propulsion, ce sera pas top mais mieux que ce qu'il a et ça tiendra.

Tu laisses tes compos en place au moins 6 mois et tu commences par remplacer par du definitif en posterieur, les antérieures plus tard, quand tout va bien. Avantage: etalement des frais et eviter de lui coller trop prématurément pour 10 000€ de prothese qui ne durent pas.

Donc à dans 3 ans pour les protheses.

--
"On a toujours le choix! Mais entre quoi et quoi?
Vas-y boulégue et l'avenir te le dira!"


Bebe 038 nf8eum - Eugenol
danteyeah

04/02/2012 à 13h02

Primo superbes photos. Avec polarisateur?
L'idée de placer tous en Onlay composite, nous a été présenté par Fradéani lors d'un congrès Mimesis il y a 2 ou 3 ans, les taquets occlusaux composites concernaient tout les contacts dento-dentaires même antérieurs et effectivement l'esthétique antérieure était gérée par des facettes, mais bon faut voir le niveau du bonhomme, et évidement on ne présente que les réussites!

J'ai pour ma part tendance à remonter ces cas au composite directe en prenant son OIM comme référence et en la remontant petit à petit tout en analysant son occlusion en fonction (cycle masticatoire, incision, guidage canin surtout en sortie de cycle ), ça permet de savoir si ça marche, casse, se décolle etc.. Cela motive aussi le patient si ça fonctionne et alerte le praticien si ça merde (parafonction, apparemment c'est déjà le cas; trouble neuro-musculaire accentué, fracture, décollement....), sans avoir engagé des frais exorbitant.

Si tout va bien au bout de 6 mois ou plus (parfois patient content=patient qui t'oublie, mais ça pétera tôt ou tard alors il revient!), alors on se lance: Wax-up, élongation (11,21,12,22) dans ce cas je pense, et reconstitution périphérique , j'en ai fait un pas trop abrasé en zircone qui tient, mais généralement c'est CCM, avec taquets occlusaux métalliques, j'ai jamais osez me la jouer Fradéani avec inlay compo et facette céram.
Et évidement gouttière de protection.


Grueavatar nptrc9 - Eugenol
Le Choixpeau magique

04/02/2012 à 13h28

Bonjour, pour vous quelle est l'étiologie de ces pertes de substance ?


maz

04/02/2012 à 14h12

ce que je disais dans mon second post, bruxisme + acidité + habitudes iatrogènes

tu penses à autre chose ?


Ico v for vendetta08 jzhpep - Eugenol
Arnaud Go

04/02/2012 à 14h27

Mis-à-part qu'ayant des CC en bouche, il refusera probablement un traitement global bien chiffré.

Bridge total avec tous les faces masticatrices en zircone, est-ce stupide ?


Ylfwcw979cz1jnx9gfqeaxndiuzk - Eugenol
Algi

04/02/2012 à 15h29

Pourquoi un "bridge"???? Si il casse 1 dent tout est à refaire et il en cassera plus d'une.....

Concernant le montage: la solution compo en bouche et on monte "petit à petit" est pas mauvaise mais ingérable en terme de temps et d'honoraires; comment facturer les etapes successives?

En ce qui me concerne je préfère de loin bosser d'emblée à la hauteur et avec l’occlusion que j'aurai choisies soit avec gouttière soit éventuellement des cales composites collées, les cales venant , en général, après plusieurs mois de port de la gouttière.

Base de travail: enregistrement et montage selon gerber ou planas; occlusion bilatérale balancée, afmp égaux, tests musculaires afin de déterminer la hauteur et surtout phase de test et de validation par port de la gouttière sur des mois et des mois...

Un cas en cours similaire, si j'ai le temps je ferai photos des modèles la semaine prochaine.

1/ 2006-2007: etude du cas et realisation gouttière de surelevation en centrée gerber, port associé d'un activateur de soulet et besombes plus exercices de relaxation avec. Côut: 1500€ enregistrement et gouttière, 1320 par année de soulet et besombes. HN.
2/ 2009: realisation et pose d'une douzaine de cales-onlay en diamond crown indirects montés eux aussi en gerber pour les posterieures et les canines, réalisation de composites directs sur les incisives avec guide silicone tiré du wax up. Cout: 400€ par dent, sc17+Ed car indirect. On continue le soulet et besombes.
3/ 2010: certaines molaires trés degradées sont coiffées, ceram sur zircone pour les premieres, suivies en 2011 de mes premières zircon zahn. Sont coiffées 36,34,35,46,44,45. Les cales sont encore en place sur les 7 du bas et les dents maxillaires. On continue le sb.
4/2012:on attaque 12 à 22, taillé et posé les provisoires en unitaire début février. Ai essayé de rallonger un peu 11 et 21 pour des raisons esthétiques, du coup elle ne sont plus protégées en propulsion..... on va donc attendre un ou deux mois pour voir si ça fonctionne.

--
"On a toujours le choix! Mais entre quoi et quoi?
Vas-y boulégue et l'avenir te le dira!"


maz

04/02/2012 à 16h07

clemsdent écrivait:
-------------------
> la bière c'est acide??

oui, deux petits liens :
http://fr.wikipedia.org/wiki/Bi%C3%A8re_blanche
http://tpefermentationbiere.e-monsite.com/pages/album-photo-taux-d-alcool/le-ph-de-la-biere.html


merci pour ces premières réponses, ça m'aide bien, y compris le scepticisme, de marc par exemple, ça remet les pieds sur terre si on a tendance à s'emballer en imaginant un plan de traitement pas réalisable.

journée chargé aujourd'hui, mais je vous tiens au courant de comment j'avance, même si il est clair qu'une des premières étapes va être d'amener le patient à se soigner, et forcément à mettre la main au porte monnaie pour ça

j'avais oublié que je lui avait rendu son pano pour aller chez le stomato extraire la 28 et qu'il me l'a pas encore ramené


Smile beach jgh0a1 - Eugenol
Céramik

04/02/2012 à 23h47

Algi écrivait:
--------------
>> > La gouttiere sera portée au moins 12 mois voire plus et elle seule te permettra de voir si ton choix d'oclusion est le bon: soit ça passe soit ça casse. Plus
> facile de reparer modifier un truc amovible en resine.

> > > Donc à dans 3 ans pour les protheses.
>
> --


Pour moi, c'est complexe mais gérable.
On peut débuter avec une gouttière, mais faut passer à des provisoires collées, donc fixe, bcp plus facile à vivre et précis.

Ajustement possible de l'occlusion en 3D.
Confort et efficace (il mange avec), pas de problème de phonétique (plus mince, plus physiologique) et surtout controle c.a.d que le patient n'a pas le choix de les porter !

Ensuite, selon le cas, symptômes, problème articulaire ou pas, on surveille 3-6-9 mois, il n'y a pas de règle.

Au final, "couronnes" partout (adhésives, céram ou compo, selon).

Ça se fait en 12 mois, max 18.
Faut aussi elliminer tout facteurs "acide"
Consultation médicale si besoin pour reflux, et aussi apnée du sommeil...

On est loin des soins dentaires de bases...
Devis à la hauteur du cas...


--
Céramik


maz

05/02/2012 à 00h01

j'aime bien ce que tu proposes ceramik, j'ai juste le problème des provisoires collés, tu les vois comment ?

je suppose qu'ils seraient fait en indirect, et en composite
quitte à les coller, autant le faire bien, sous digue

à partir de là si tout va bien, pourquoi les remplacer ?

sinon, provisoires, toujours collées, fait en bouche à partir de clefs en silicone en un matériau style luxatemp ou autre, par dessus une dent non préparée adhésivée ?

autre option dont parlait stefen koubi lors d'un TP, provisoires en luxatemp à partir de clefs en silicone, scellées sur tout un coté au CVIMAR par dessus les dents ...

bref, le gros problème à vouloir éviter de tout couronner est la phase provisoire ...

en plus, autant je crois dur comme fer aux possibilités du collage, y compris dans un cas impressionnant comme ça, autant il faut peut être admettre que passer en tout collé pour ne pas délabrer ce qui reste des dents est trop compliqué pour moi aujourd'hui à mener à bien...

bref, plein de questions pour un patient qui viens lundi chercher sa solution et son devis, sans être sur du tout qu'il accepte !


Marque a3 orange fyvhyq - Eugenol
Marc Apap

05/02/2012 à 00h24

Déjà, il faudrait savoir ce qu'il veut lui et ce qu'il est prêt à accepter de faire comme effort. Déjà, ça calme.
Ensuite, je pense que les provisoires faites directement en bouche à partir d'une clé, c'est galère. Une ça va, mais comme ici c'est toute la bouche à refaire, on n'est jamais hyper précis, le moule peut bouger et rien n'est comme on avait prévu sur les modèles.
Sur des cas comme ça, il faut envelopper les dents et pas juste coller un petit truc dessus, qui ne tiendra pas ou se cassera.
La première chose à envisager, c'est la mise en articulateur et le wax up pour voir la forme des dents à venir (arc facial, etc..)
Partant de là, et à supposer qu'on couronne tout (c'est sans doute ce que je proposerais), mieux vaut faire faire les provisoires au labo, et je dirais, solidarisées par série de trois ou quatre (molaires, prémolaires) ou plus (6 antérieures).
Et puis il faut une journée pour la taille de toutes les dents et la pose des provisoires avec rebasage, finition etc.. Le plus dur, c'est si on doit fractionner le travail en plusieurs séances parce qu'il vaut mieux tout recouvrir en même temps pour avoir la bonne hauteur partout.
Ensuite, c'est la routine ...


Smile beach jgh0a1 - Eugenol
Céramik

05/02/2012 à 01h40

Marc Apap écrivait:
-------------------
> Déjà, il faudrait savoir ce qu'il veut lui et ce qu'il est prêt à accepter de
> faire comme effort. Déjà, ça calme.
> Ensuite, je pense que les provisoires faites directement en bouche à partir
> d'une clé, c'est galère. Une ça va, mais comme ici c'est toute la bouche à
> refaire, on n'est jamais hyper précis, le moule peut bouger et rien n'est comme
> on avait prévu sur les modèles.
> Sur des cas comme ça, il faut envelopper les dents et pas juste coller un petit
> truc dessus, qui ne tiendra pas ou se cassera.
> La première chose à envisager, c'est la mise en articulateur et le wax up pour
> voir la forme des dents à venir (arc facial, etc..)
> Partant de là, et à supposer qu'on couronne tout (c'est sans doute ce que je
> proposerais), mieux vaut faire faire les provisoires au labo, et je dirais,
> solidarisées par série de trois ou quatre (molaires, prémolaires) ou plus (6
> antérieures).
> Et puis il faut une journée pour la taille de toutes les dents et la pose des
> provisoires avec rebasage, finition etc.. Le plus dur, c'est si on doit
> fractionner le travail en plusieurs séances parce qu'il vaut mieux tout
> recouvrir en même temps pour avoir la bonne hauteur partout.
> Ensuite, c'est la routine ...


J'ai fais des formations où on apprend comment faire la taille de 28 dents en moins de 5 heures (taille, empreintes et provisoires). C'est possible, c'est un système hyper précis. Impossible d'apprendre cela en 1-2 jours ou via internet.

Pour les provisoires, c'est soit en direct avec clée, soit en indirect en compo (plus précis, mais frais labo en +).

Pascal Magne montre des cas dans ses présentations.
Je fais les 2, ça dépend du cas.

Pour la phase provisoire, moins de 3 heures haut et bas, voir 2 heures cas pas trop délabré.

On ne taille pas vraiment les dents, on colle.
Souvent même pas d'anesthésie, ou très peu.
Ça aide pour l'ajustement final,

C'est certain que toute la base est faite avant, devis, montage, wax-up, soins de base( j'enlève 100% des amalgames, des vieux compo),endo, paro, etc, etc.




--
Céramik


Marque a3 orange fyvhyq - Eugenol
Marc Apap

05/02/2012 à 01h57

Il est certain qu'avec de l'expérience, une bonne organisation, une bonne technique et une assistante efficace, on doit bien gagner 3 heures.


flicflac

05/02/2012 à 03h09

Je fais en une heure, Haut seulement...


Smile beach jgh0a1 - Eugenol
Céramik

05/02/2012 à 05h31

flicflac écrivait:
------------------
> Je fais en une heure, Haut seulement...


Avec augmentation de DV de 5 voir 8-9 mm ?
En général faut faire les 2 arcades, et dans un cas comme celui présenté, bien collé, car ça sera en place au moins 2-3 mois.
Ensuite avoir tous les contacts occlusaux équilibrés.

Si c'est seulement un cas à valeur esthétique fait avec un clée direct, pour un essai de 1-2 semaines, ça se fait en 1 heure, mais pour le prix de mon devis, j'aime bien prendre le temps de bien polir, faire des photos et gérer au maximum l'occlusion et l'esthétique, comme ça, reste plus grand chose à faire plus tard.




--
Céramik


Marque a3 orange fyvhyq - Eugenol
Marc Apap

05/02/2012 à 10h03

On est bien d'accord, sauf que chez nous, le temps dure plus longtemps. Ca doit être la chaleur qui nous rend nonchalants.


Fourre tout 05 12 08 017 apc4pu - Eugenol
Pier

05/02/2012 à 11h04

Si au préalable les causes qui ont abouties à ce résultat et à ce désordre occlusal ne sont pas réglées , il y a de grandes chances ou malchances que les mêmes causes produisant les mêmes effets, on se retrouve avec les restaurations magnifiques envisagées dans le même état que ce qui existe actuellement. Les éléments composites collées ont peu de chance de ne pas être abrasés et réduits à leur plus simple expression, vu ce que le patient a fait de ses dents et de ses couronnes en métal.
Par ailleurs, a t il des douleurs associées au niveau des ATM des épaules du cou, présente t il des troubles de la déglutition, présente t il des contractures anormales au niveau des élévateurs et des abaisseurs?
Si non , peut être faudrait il voir ces abrasions en partie comme une tentative d'adaptation de l'appareil stomatognatique , adaptation ayant entrainée un résultat inesthétique (car de plus renforcé par des mauvaises habitudes et des causes iatrogènes) mais nécessaire, l'adaptation, à la protection du reste des éléments composant le dit appareil.


Fourre tout 05 12 08 017 apc4pu - Eugenol
Pier

05/02/2012 à 11h04

Peut être faudrait il régler les causes avant de traiter les effets.


Grueavatar nptrc9 - Eugenol
Le Choixpeau magique

05/02/2012 à 11h41

maz écrivait:
-------------
> ce que je disais dans mon second post, bruxisme + acidité + habitudes iatrogènes
>
> tu penses à autre chose ?

Non, je pense que la cause principale est l'acidité, compliqué par le bruxisme.

Sachant cela, si l'acidité ne peut pas être contrôlée, quel pronostic auront les restaurations _partielles_ que tu envisages ?


Dsc00025 b0pnzl - Eugenol
Vancou350

05/02/2012 à 12h05

Beau cas!

Il ne me semble pas forcément nécessaire d'augmenter énormément la DV d'après les photos (peut être 2-3mm grand max?). Dans tous les cas, si le patient veut faire quelque chose qui dure dans le temps, je pense qu'il faut tout couronner.

S'il est motivé, je ferais montage directeur wax up en articu, puis provisoires solidarisées par secteurs en haut et en bas (de x7 à x5/x4, de x4 à x1 ou de x3 à x3). Tout faire le même jour est faisable et conseillé, même avec des clés c'est possible( par exemple en sectorisant les modèles un waxé, l'autre non. Avoir un bon prothésiste est primordial...) Dans ces cas là j'aime bien voir les patients porter leurs provisoires entre 6 mois et 1 an, en faisant des ajustements esthétiques et fonctionnels, et lorsqu'il y a des échecs cela permet de recadrer et de réajuster. Il est à mes yeux important de recréer des dents provisoires suffisamment cuspidées (sans forcément mettre des dents de jeune homme!) afin d'entrainer une modifications de ses mouvements musculaires de mastications, progressive et naturelle, ce qui aura également pour effet de diminuer sons bruxisme (utopiquement, de le supprimer, si la cause n'est que dentaire, ce qui n'est jamais vraiment le cas...)

Si tout va bien, le patient s'habitue à ses provisoires, et vice-versa, et à la fin des 6 mois - 1 an on peut passer aux CCM et CCA pourquoi pas, plus ou moins solidarisées suivant le cas. Perso j'essaye de solidariser le moins possible. Et s'il a toujours tendance à bruxer à la fin, proposer une gouttière en lui expliquant que ça va permettre d'augmenter énormément la durée de vie de ses couronnes, et donc rentabiliser au mieux son investissement. Après avoir mis quelques milliers d'euros dans sa bouche, le port de la gouttière peut être très bien observé par le patient soucieux de ne pas tout foutre en l'air...

D'ailleurs ce n'est pas mentionné: bruxisme diurne, nocturne ou les deux chez ce monsieur? Si c'est diurne, c'est nettement plus chiant...


12...