Cookie Consent byPrivacyPolicies.comConserver ou extraire ? - Eugenol

Conserver ou extraire ?

Shey

06/02/2012 à 13h03

Bonjour à tous,
je débute notre activité, et des fois je me retrouve devant des cas limites, ou j'ai besoin d'autres avis.

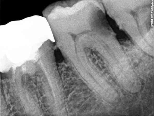
Patient fumeur, non venu depuis 2 ans, consulte pour une douleur au froid sur la 37.
Parodontite chronique/tartrique, 37 non mobile, recession gingivale de 2mm.
J'ai fait la biopulpo pour le soulager et je le revois cette semaine.

J'hésite encore sur la démarche à suivre ...
conserver en sachant que le résultat sera limite (limite sous gingivale ++), endo+amalgame foulé+tenon
ou de suite extraire ...

Vos avis ?

R2 aru7gx - Eugenol

baroud69

06/02/2012 à 13h37

J'ai une opinion très claire sur le cas présenté.

Mais je vais essayer d'être pédagogique : quels éléments te font penser que cette dent serait à extraire ou non ? Quelle analyse fais-tu de cette dent ; parce que des caries comme celle là tu vas en voir beaucoup !


G-P

06/02/2012 à 13h38

Vu le contexte il faut se poser la question dans l'autre sens. Si tu extrais, tu lui proposes quoi à ton patient ?
Implant, sur un patient comme ça j'en pose pas, ou du moins pas avant qu'il m'ait démontré qu'il puisse se brosser les dents et diminuer le tabac.
Donc sois conservateur, même si on est pas vraiment dans les cases...


Grueavatar nptrc9 - Eugenol
Le Choixpeau magique

06/02/2012 à 13h41

Salut Shey, effectivement c'est un cas un peu limite, comme tu l'as fort justement noté tu as:
- alvéolyse horizontale avec sans doute déjà 2 ou 3 mm d'os perdu
- carie volumineuse et très cervicale
- probablement nécrose partielle sur la racine distale

A la rigueur tu pourrais te dire que l'avéolyse va te permettre de couronner sans avoir besoin de faire d'élongation coronaire, mais je pense que l'élément stratégique va être la furcation, l'as-tu sondée ? Si comme on peut le présumer, elle est déjà bien entamée, moi je ne garderais pas la dent.

Si tu essayes de la conserver en accord avec le patient, il faut bien qu'il soit conscient que le pronostic est réservé et sans paro avant tu vas faire plus de mal que de bien.


Humator t9r5wy - Eugenol
humator

06/02/2012 à 14h38

a chaud, comme ça, au vu de la rx, je conserve et couronne.

--
N.Hum


Grueavatar nptrc9 - Eugenol
Le Choixpeau magique

06/02/2012 à 15h02

G-P écrivait:
-------------
> Implant, sur un patient comme ça j'en pose pas, ou du moins pas avant qu'il
> m'ait démontré qu'il puisse se brosser les dents et diminuer le tabac.
> Donc sois conservateur, même si on est pas vraiment dans les cases...

Conservateur c'est quoi ? Un compo direct ? Un amalgame ?

Pourquoi une couronne sur dent aurait plus de chance de fonctionner qu'une couronne sur implant sur ce type de terrain ?


G-P

06/02/2012 à 15h11

Pas une question de chance, mais de coût/risque.


Smile beach jgh0a1 - Eugenol
Céramik

06/02/2012 à 15h19

Le patient désire quoi ?
Fait un bilan global, l'urgence n'est pas au tx de cette dent, mais plutôt de voir ce que le patient veux faire pour conserver ses dents...

Ensuite tu auras une idée pour tx cette dent (et le reste)


--
Céramik


baroud69

06/02/2012 à 16h01

Oo

Je suis surpris que l'extraction soit envisagée sur ce genre de dent cariée...... Sur la radio (pas de pano donc pas d'autres élements) je ne vois pas de parodontite chronique....) > la perte osseuse est à mon sens liée à la carie proximale avec probablement un tassement alimentaire. Une gingivite est probable par ailleurs.

Une endo, une élongation coronaire, une couronne provisoire, une couronne définitive et hop c'est parti pour 15 ans ......

oO


01 ukhwbq - Eugenol
ʎqqoq

06/02/2012 à 16h06

Je ne ferais pas d'élongation, la parodontite s'est chargée du boulot. Et puis dans ce contexte d'hygiène bof...Faut pas être plus royaliste que le roi.


jpc

06/02/2012 à 16h51

si tu commences a extraire ce genre de dents , alors jettes tes turbines et hachettes des daviers.( obt +ic+cc pour 20 ans sans problèmes )


doagui

06/02/2012 à 17h39

Tu aurais pu profiter de la séance de la pulpotomie pour en profiter pour cureter comme il fallait, pour voir ce qu'il te restait et surtout l'état du plancher pulpaire en distal, l'avancée de la lésion sur la racine, éventuellement refaire une radio si tu hésites, bref, faire le bilan et ne plus te poser la question.

Mais là, a priori, tu peux tout à fait faire ton endo et après inlay metallique ou couronne selon les parois restantes.

Comme ça a déjà été dit, si tu extrais ce genre de dents, tu ne vas plus conserver grand chose...


sab22

06/02/2012 à 18h20

je suis d'accord avec les avis précédents à savoir essayer de garder la dent tout en prévenant le patient que c'est un cas limite comme ça si ça marche il est content et s'il y a échec il t'en veut pas puisque tu as tout fait pour sauver sa chère petite dent. Profites-en pour le motiver afin qu'il évite dorénavant de se retrouver dans cette situation


Grueavatar nptrc9 - Eugenol
Le Choixpeau magique

06/02/2012 à 18h43

doagui écrivait:
----------------
> Comme ça a déjà été dit, si tu extrais ce genre de dents, tu ne vas plus
> conserver grand chose...

Comme elle débute et qu'elle a besoin d'entendre tous les sons de cloche, sache que je ne suis pas vraiment d'accord.
Oui cette dent est limite et se discute, sans doute que dans mon cabinet je l'aurai couronnée, mais ce n'est pas aussi facile que vous le laissez entendre.
La paro est déjà bien compromise, il va falloir aller mettre une limite très très basse avec une adaptation très très bonne (sinon la dent est morte avant cinq ans) et avoir un très bon entretien.
C'est clairement de la dentisterie héroïque, comme l'a dit Céramik ça dépend ce que veut le patient. Si il veut qqchose sans histoire qui dure longtemps, c'est pas ça qu'il faut faire.


Shey

06/02/2012 à 19h45

baroud69 écrivait:
------------------
> J'ai une opinion très claire sur le cas présenté.
>
> Mais je vais essayer d'être pédagogique : quels éléments te font penser que
> cette dent serait à extraire ou non ? Quelle analyse fais-tu de cette dent ;
> parce que des caries comme celle là tu vas en voir beaucoup !

Je vais surement en voir beaucoup, mais là c'est "the first one", d'où les interrogations qui sont surtout liées aux limites sous gingivales et l'état parodontal.
Assurer une étanchéité pour l'endo (pas de bague de cuivre ni d'irm au cab), et l'adaptation de la reconstitution en fonction de l'espace biologique.


Shey

06/02/2012 à 19h49

G-P écrivait:
-------------
> Vu le contexte il faut se poser la question dans l'autre sens. Si tu extrais, tu
> lui proposes quoi à ton patient ?
> Implant, sur un patient comme ça j'en pose pas, ou du moins pas avant qu'il
> m'ait démontré qu'il puisse se brosser les dents et diminuer le tabac.
> Donc sois conservateur, même si on est pas vraiment dans les cases...

C'est aussi un point noir. L'état paro est pas fameux (multiples recessions, les furcations des molaires max presques visibles), du tartre comme pas deux (+tabac).
En antagoniste la 26 est absente, si pap mandibulaire c'est que pour 1 dent, et cette solution va me permettre je pense plus de décapsuler les autres dents restantes.
Pour l'implant, je reste septique vu l'hygiène.
Merci de ton avis


Shey

06/02/2012 à 19h51

Le Choixpeau magique écrivait:
------------------------------
> Salut Shey, effectivement c'est un cas un peu limite, comme tu l'as fort
> justement noté tu as:
> - alvéolyse horizontale avec sans doute déjà 2 ou 3 mm d'os perdu
> - carie volumineuse et très cervicale
> - probablement nécrose partielle sur la racine distale
>
> A la rigueur tu pourrais te dire que l'avéolyse va te permettre de couronner
> sans avoir besoin de faire d'élongation coronaire, mais je pense que l'élément
> stratégique va être la furcation, l'as-tu sondée ? Si comme on peut le présumer,
> elle est déjà bien entamée, moi je ne garderais pas la dent.
>
> Si tu essayes de la conserver en accord avec le patient, il faut bien qu'il soit
> conscient que le pronostic est réservé et sans paro avant tu vas faire plus de
> mal que de bien.

J'avoue ne pas avoir sonder la furcation. Chose que je ferais au prochain RDV.
J'ai déjà averti le pronostic reservé si on garde cette dent, le patient en est conscient.
Lui aimerait garder au maximum sa dent.


Shey

06/02/2012 à 19h54

Céramik écrivait:
-----------------
> Le patient désire quoi ?
> Fait un bilan global, l'urgence n'est pas au tx de cette dent, mais plutôt de
> voir ce que le patient veux faire pour conserver ses dents...
>
> Ensuite tu auras une idée pour tx cette dent (et le reste)
>
>
> --
> Céramik

Le patient désire garder sa dent un maximum, et l'extraire si vraiment pas d'autre alternative. IL est conscient d'avoir tarder à prendre RDV.
Pano prévu pour voir un aperçu global.


Shey

06/02/2012 à 19h57

baroud69 écrivait:
------------------
> Oo
>
> Je suis surpris que l'extraction soit envisagée sur ce genre de dent
> cariée...... Sur la radio (pas de pano donc pas d'autres élements) je ne vois
> pas de parodontite chronique....) > la perte osseuse est à mon sens liée à la
> carie proximale avec probablement un tassement alimentaire. Une gingivite est
> probable par ailleurs.
>
> Une endo, une élongation coronaire, une couronne provisoire, une couronne
> définitive et hop c'est parti pour 15 ans ......
>
> oO

Sur la radio effectivement pas de grosse atteinte paro visible. Mais en bouche, les incisives mdr ont légère mobilité, les furcations des molaires mxr presques visibles à l'oeil nu. L'alvéolyse n'est pas du qu'à la carie.
L'élongation coronaire rendu difficile par une langue plus que volumineuse et surtout pas d'assistante pour m'aider...


Shey

06/02/2012 à 20h03

Le Choixpeau magique écrivait:
------------------------------
> doagui écrivait:
> ----------------
> > Comme ça a déjà été dit, si tu extrais ce genre de dents, tu ne vas plus
> > conserver grand chose...
>
> Comme elle débute et qu'elle a besoin d'entendre tous les sons de cloche, sache
> que je ne suis pas vraiment d'accord.
> Oui cette dent est limite et se discute, sans doute que dans mon cabinet je
> l'aurai couronnée, mais ce n'est pas aussi facile que vous le laissez entendre.
> La paro est déjà bien compromise, il va falloir aller mettre une limite très
> très basse avec une adaptation très très bonne (sinon la dent est morte avant
> cinq ans) et avoir un très bon entretien.
> C'est clairement de la dentisterie héroïque, comme l'a dit Céramik ça dépend ce
> que veut le patient. Si il veut qqchose sans histoire qui dure longtemps, c'est
> pas ça qu'il faut faire.

C'est un peu ce que je pensais, pronostic de 5 ans, je vois mal la dent tenir plus.
Après le patient en est conscient, d'où mon hésitation. Il m'aurait dit qu'il s'en foutait j'aurais eu moins de doute.


Shey

06/02/2012 à 20h05

Merci de tous vos avis, j'en prends note !


Zorglub

06/02/2012 à 20h12

C'est marrant que personne ne dise vouloir virer la 38...


pélican à deux branches

13/02/2012 à 22h00

Pour moi c'est claire : Endo et tu lui fait un amalgame disto occlusal ...... en gros sois conservateur.Ensuite un bilan long cône pour voir l'étendu des dégâts , après un assainissement :détartrage/surfaçage pour gérer le problème paro. Ensuite tu gères....


pélican à deux branches

13/02/2012 à 22h03

Zorglub écrivait:
-----------------
> C'est marrant que personne ne dise vouloir virer la 38...

Pourquoi virer la 38 ? la radio est partiel et ne permet pas d'en juger.... faudrait une pano.


01 ukhwbq - Eugenol
ʎqqoq

13/02/2012 à 22h05

Faut virer la 37 et voir avec un ODF pour tirer la 38 ^^


12