Cookie Consent byPrivacyPolicies.comConseils MIH / 46 - Eugenol

Conseils MIH / 46

Pilpil

07/02/2012 à 19h00

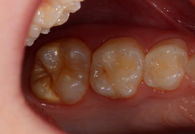
Je vois une petite fille de 9 ans présentant des MIH sur les 4 premières molaires.
Rien sur les incisives, OUF!
La 46 est très atteinte, mais pas de symptomatologie!
Que feriez-vous?
Désolée, je n'ai pas fait de rétro...

Forey c 20030401 52689104 0 1 xry10x - Eugenol

Implant wq5dd1 - Eugenol
sinuslift

07/02/2012 à 19h45

C 'est quoi des MIH?


41467 100000418256397 4215 n ypxyho - Eugenol
starsky55

07/02/2012 à 19h53

MIH ???


Avatar hjdsnm - Eugenol
TiGabi

07/02/2012 à 19h55

Molar Incisor Hypomineralization : taches opaques blanc-jaune de l'émail des premières molaires permanentes (et dans 3 cas sur 4 des incisives permanentes). L'émail est fragile est tend à se fracturer sous l'effet des pressions occlusales, majoritairement durant les deux années suivant l'éruption.
Une fois l'émail fracturé, la dentine sous-jacente n'est plus protégée (carie, pulpopathies).

Restauration collée pour soutenir les pans fragiles d'émail marginal.

Si tu dois temporiser : CVI et contrôle bi-annuel, fluorations topiques.

Idéalement : onlay.

Img 1871 x2v7ab - Eugenol
Img 1848 n7fekx - Eugenol

Photo 158 mluhia - Eugenol
robin

07/02/2012 à 19h57

MIH: Molaire Insidieusement Hexplosée. :-)


Pilpil

07/02/2012 à 21h11

Concernant le MIH de la molaire que tu nous montres, quelle intervention fais-tu?
Juste une fluoration régulière de l'émail hypominéralisé et une surveillance tous les 6 mois ou est-ce que tu enlèves cet émail fragilisé et colles un compo pour protèger la dentine sous-jacente?
Merci!


Avatar hjdsnm - Eugenol
TiGabi

07/02/2012 à 21h21

Pilpil écrivait:
----------------
> Concernant le MIH de la molaire que tu nous montres, quelle intervention
> fais-tu?

Tant que tu n'as pas d'émail fracturé, il n'y a pas nécessité d'intervention invasive : contrôle/fluoration tous les 6 mois de 6 à 10 ans et sealants.
Après 10 ans, si tu n'as pas eu de fracture, il est probable qu'il n'y en aura jamais de majeure : surveillance annuelle.

Img 1785 btcqey - Eugenol
Img 1789 q8p8ue - Eugenol

juco

07/02/2012 à 22h13

Bonjour,
Si le délabrement est trop important, alors une coiffe pédo semble l'indication idéale.
Une fluoration ? Ok sur petite atteinte, mais ici, la mih parait déjà très avancée.
Une extraction? Ok sur une atteinte très importante des 4 molaires.
l'avantage de la coiffe pédo est que le délabrement est vraiment minime car la surface occlusale est déjà délabrée. Il sera toutefois nécessaire de coiffer définitivement en denture définitive après l'orthodontie.