Cookie Consent byPrivacyPolicies.comImplants ? - Eugenol

Implants ?

Smile beach jgh0a1 - Eugenol
Céramik

11/02/2012 à 19h52

Femme, bonne santée, 58 ans.

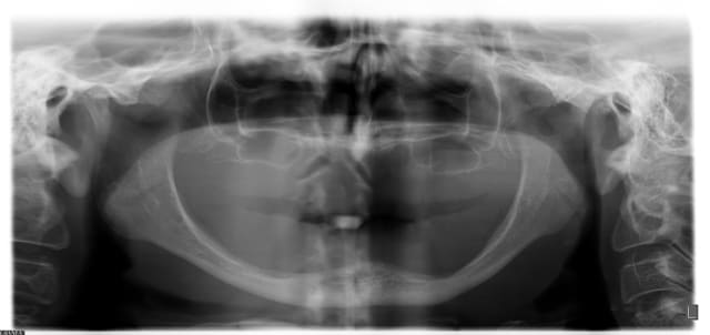
Perte osseuse, disons, avancée.
On lui propose un all-on-4 avec MCI, vient pour un 2e avis.

Suggestions ?



--
Céramik

Pano implant vxsd0d - Eugenol

01 ukhwbq - Eugenol
ʎqqoq

11/02/2012 à 20h07

C'est un patiente qui porte certainement déjà deux complets, je ne vois pas l'intérêt de la MCI, sinon "marketing"...

edit: d'ailleurs on les voit à la pano les complets ^^

Déjà avec deux implants symphysaires et des Locator, ça lui changerait la vie, car vu la résorption, le complet du bas doit bien se balader. Après, faut voir ses attentes.


Numérix

11/02/2012 à 20h20

L'envoyer à Lourdes ou un endroit de ce genre et surtout ne pas lui montrer l'article de Marc BERT dans l'Info Dentaire:"Et qu'est ce qu'on fait maintenant?"( ou la belle histoire du All on 4 si on perd un implant )
Trés grave de proposer n'importe quoi,on croirait du journalisme à la mode "Envoyé fécal" ou "France pépére"...
Nous au moins on a une éthique!!!


Smile beach jgh0a1 - Eugenol
Céramik

11/02/2012 à 20h34

2 implants + attaches est-ce bien comme plan de tx à 58 ans ?
C'était mon idée, mais il y a mieux ?

Pour le all-on-4 + MCI, je lui ai dit, c'est pas mon truc, donc, non.

Quid de la perte osseuse...pour les 10-20 prochaines années ?
2 implants + attaches seront-ils suffisant ?


--
Céramik


Blason dql7mj - Eugenol
growler

11/02/2012 à 20h43

en bas je lui ferais un piloti sur 5 implants


01 ukhwbq - Eugenol
ʎqqoq

11/02/2012 à 20h53

Je pense que les deux implants permettraient de stimuler l'os et donc de le maintenir.
Pour le haut, si on veut du fixe, et comme il faut certainement une fausse gencive, car beaucoup de résorption, il faut 3 implants postérieurs de chaque côté, donc faut greffer les deux sinus, c'est quand même super lourd.
Pour le bas, il ne semble par rester grand chose pour proposer du fixe.
(je débute en implanto, je donne mon avis pour alimenter le post, mais c'est l'avis d'un débutant ^^)


Smile beach jgh0a1 - Eugenol
Céramik

11/02/2012 à 20h56

growler écrivait:
-----------------
> en bas je lui ferais un piloti sur 5 implants


Pas de place pour 5 !
Peut-être pour 4, mais c'est limite.

Je lui ai aussi proposé 4 + Barre usinée.

Son devis pour le all-on-4 était énorme !
Dans les 18,000 euro !
Ça doit être la MCI qui est si chère !
Faut que je revois à la hausse mes tarifs !

--
Céramik


S2y2o1v7q53ws4r5wy6ou8czrpom - Eugenol
pxav

11/02/2012 à 21h14

Nous avons fait un cas identique à Mulhouse (dentiste68) en expansion,4 implants de 8 ou 10, je me souviens pas, c'était "chaud" mais vraiment génial.
Par contre inenvisageable en MCI (je crois qu'elle n'a pas porter le bas pendant 1 mois ou deux.
--
xbk
"Si tous ceux qui croient avoir raison n'avaient pas tort, la vérité ne serait pas loin" Dac Pierre


Zorglub

11/02/2012 à 21h50

C'est un beau cas complexe de basale... avec MCI bien sûr.


Capture ddc6bm - Eugenol
sumble

11/02/2012 à 22h16

Moi aussi débutant en implanto, donc ça vaut ce que ça vaut (chanceux tout de même d'avoir rencontrer des bons en implanto)...

ʎqqoq écrivait:
---------------
> C'est un patiente qui porte certainement déjà deux complets, je ne vois pas
> l'intérêt de la MCI, sinon "marketing"...

Pas d'accord. Il y pression de l'amovible sur les implants pas sans conséquences + tension sur les berges qui exposent les implants. Entre 2 maux faut choisir le moindre

> Je pense que les deux implants permettraient de stimuler l'os et donc de le
> maintenir.

D'accord

Céramik écrivait:
-----------------

> Son devis pour le all-on-4 était énorme !
> Dans les 18,000 euro !
> Ça doit être la MCI qui est si chère !

Je pense que ça doit être la garantie, la maintenance. Et s'il faut changer de stratégie implanto-prothétique c'est déjà régler :)

J'ai vu des implants posés en lingual du trou mentonnier, les forets étant guidés par la corticale linguale (sur une deudé on parierait s’être manger le nerf). Ça peut être une piste pour augmenter le nombre d'implants (une petite troidé?)

Avis perso: complet bas avec 2 locators, c'est pas craignos du tout


01 ukhwbq - Eugenol
ʎqqoq

11/02/2012 à 22h26

sumble écrivait:
----------------

> Pas d'accord. Il y pression de l'amovible sur les implants pas sans conséquences
> + tension sur les berges qui exposent les implants. Entre 2 maux faut choisir le
> moindre

Là t'es en train de dire que la MCI c'est toujours mieux que la mise en charge différée, sauf quand la temporisation est autre que de l'amovible. (bridge à ailettes ou pas de provisoire pour de l'unitaire, et patient sans prothèse pour de la totale).
Je suis étonné...


Smile beach jgh0a1 - Eugenol
Céramik

11/02/2012 à 22h29

sumble écrivait:
> ----------------
>
> > Pas d'accord. Il y pression de l'amovible sur les implants pas sans
> conséquences
> > + tension sur les berges qui exposent les implants. Entre 2 maux faut choisir
> le
> > moindre
>


Pour avoir fais des dizaines de cas à la mandibule sans MCI, c'est pas si mal.
Si elle veux une MCI, je lui propose le même devis, dans les 18-20,000 euro pour 4 implants, je crois pouvoir le faire !


--
Céramik


sinclair

11/02/2012 à 23h57

Et pourquoi pas 4 mini implant boules avec MCI?


RépondreCiter
Capture ddc6bm - Eugenol
sumble

12/02/2012 à 00h55

ʎqqoq écrivait:
---------------

> Là t'es en train de dire que la MCI c'est toujours mieux que la mise en charge
> différée, sauf quand la temporisation est autre que de l'amovible. (bridge à
> ailettes ou pas de provisoire pour de l'unitaire, et patient sans prothèse pour
> de la totale).
> Je suis étonné...

Je n'ai pas dit ça. Je dit simplement que sur arcade complète une prothèse pro sur implants en nourrice, c'est pas forcement sécurité absolue, et la MCI donne aussi d'excellent résultat.
Au cours de mes formations, ce qui ressort souvent (conférenciers de différentes sensibilités) c'est MCI quasi systématique lorsqu'une arcade complète est envisagée.

Par ailleurs, les cas de MCI avec taux de succès identique à MCD et les plus présents dans la littérature ne sont ils pas bridge à la Bränemark à la mandibule?


flicflac

12/02/2012 à 01h39

Manque de données, forme et courbure des arcades. Veut-elle des implants pour le haut? Fixe ou amovible?
Dépendemment de la corpulance de la personne possibilité de fixe ou amovible sur 4 ou 5 implants, donc d'après toi sur 4 étant donné que 5 semble impossible???
Patiente déja porteureuse de prothèse complète, souvent on opte pour amovible sur barre cad-cam...

Pour le haut, si elle veut vendre une partie de son REER (argent économisé pour la retraite)étant donné les faibles taux d'intérêt; SA-4 double avec probablement greffe osseuse en antérieur si elle veut du fixe (manque de donnés), sinon de l'amovible sur barre avec un implant dans le trou naso-palatin et 3 autre de chaque coté.....

ou....

pour ce qui est des mini-implants pour le bas... 6 mini implants minimun


dentiste68

12/02/2012 à 02h17

+1 pxav... Et je peux en témoigner, ma patiente aussi! Je sais je dois des photos... Plein de photos sur plusieurs post... J'arrive.

1/ 58 ans c'est jeune... Quid des mini-implants dans le temps?
2/ il faudra sans doute expandre ou greffer... Si on fait cela, se limiter à deux implants c'est dommage, à mon avis!
3/ Expansion + 4 implants courts (forcément) donc reliés par une barre. Mais port de la prothèse mandibulaire interdit pendant cicatrisation, les corticales risquent d'être très fragiles.
4/ LRA interforaminale + 4 implants courts donc reliés par une barre.
5/ LRA + VRA...

Comme d'hab: "on peut faire beaucoup de choses, mais vous, Mme, jusqu'où êtes vous prête à aller?" ...






flicflac

12/02/2012 à 03h58

LRA=???
VRA=???
désolé


Zorglub

12/02/2012 à 10h25

Une chose est pour moi certaine. Il faut faire du fixe car quand on a aussi peu d'os, l'amovible stabilisé pose deux problèmes:

La bascule postérieure de l'amovible inférieur qui peut ou va à la longue provoquer des compressions des nerfs dentaires.

L'hyperpression sur les zones d'appui postérieures qui vont continuer à résorber l'os avec un risque de fracture spontanée de la mandibule.


Zorglub

12/02/2012 à 10h28

Et pourquoi pas... avec MCI !

Plaques01 1  y5m4zo - Eugenol

Utilisateur banni

12/02/2012 à 12h55

Zorglub, quelles influences ont la flexibilité mandibulaire lors de l’ouverture sur les réhabilitations implanto- portées basales à long thermes ?

Growler, 5 implants ou place tu l’implant médian ?


Zorglub

12/02/2012 à 14h03

posit écrivait:
---------------
> Zorglub, quelles influences ont la flexibilité mandibulaire lors de l’ouverture
> sur les réhabilitations implanto- portées basales à long thermes ?
>
> Growler, 5 implants ou place tu l’implant médian ?


Plus la mandibule est fine, plus elle va fléchir. On a observé à maintes reprises une réossification des zones postérieures et de la zone mentonnière avec ré-enfouissement du foramen après quelques mois de mise en charge.

Le diskimplant, de par sa forme et vu la relative étroitesse de son fût 2.3 mm est à même d'accompagner la flexion et s'il ne l'accompagne pas, on peut observer parfois une déminéralisation osseuse autour de certaines partie de disk pour permettre la flexion.

C'est sans conséquence dans la mesure où il ne faut jamais déposer un disk même légèrement mobile s'il n'y a pas douleur ou infection. Avec la reminéralisation de l'ensemble de la mandibule, on a observé une reminéralisation autout des disks.

Pour faire simple: les disks réagissent souvent mieux que les cylindres à la flexion de la mandibule, car ils sont plus souples.


Smile beach jgh0a1 - Eugenol
Céramik

12/02/2012 à 15h22

Zorglub écrivait:
-----------------
> Une chose est pour moi certaine. Il faut faire du fixe car quand on a aussi peu
> d'os, l'amovible stabilisé pose deux problèmes:
>
> La bascule postérieure de l'amovible inférieur qui peut ou va à la longue
> provoquer des compressions des nerfs dentaires.
>
> L'hyperpression sur les zones d'appui postérieures qui vont continuer à résorber
> l'os avec un risque de fracture spontanée de la mandibule.


C'est justement pour cela que les 2 implants + attaches ne sont pas dans mes choix pour cette patiente, elle est trop jeune et l'os trop mince.

J'ai fait 2 implants + attaches pour une dame de 87 ans, un home de 89 et une autre de 84. Là ça marche super bien !
Mais à 58 ans, je pense pas rendre le meilleur service.

--
Céramik


Smile beach jgh0a1 - Eugenol
Céramik

12/02/2012 à 15h30

Zorglub écrivait:
-----------------
> Et pourquoi pas... avec MCI !

Wow, sympa, il y en a du titane !
Pas d'implants de ce type disponible chez moi...

--
Céramik


flicflac

12/02/2012 à 19h40

Bascule postérieure de la prothèse amovible sur une barre avec 4 ou 5 implants, c'est un RP-4 pas de mouvements comme cela possible...


Zorglub

12/02/2012 à 21h41

Alors, inutile de faire de l'amovible qui va coûter plus cher que du fixe en frais de labo, qui va favoriser la macération des aliments sous l'appareil, qui va surdimensionner l'extension, qui va solliciter les implants en traction à chaque dépose pour nettoyage...