Cookie Consent byPrivacyPolicies.comil paraît qu'a 40 ans... - Eugenol

il paraît qu'a 40 ans...

Logo m4n3gc - Eugenol
drmarcus

20/02/2012 à 09h59

Bon eh bien officiellement attention quand même, je te le confirme, si les implants courts prennent je mettrai quand même 2 implants en distal même très incliné (c'est possible car les piliers sont pleins).
Quant à l'os en vestiulaire Pp a raison (pour des connectiques visssées) mais avec mon expérience (tous les cas identiques) et l'absence de micromouvements cela ne devrait pas poser de pb.
Attention de ne pas te laisser griser par la facilité de ce système. :-))))))) et encore tu vas voir avec la prothèse......

--
"La vis est à l'implant ce que la carie est à la dent!" (Pozzi)


Photo pluton1b h9n4ea - Eugenol
pluton

30/06/2012 à 13h03

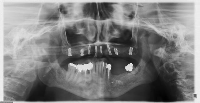
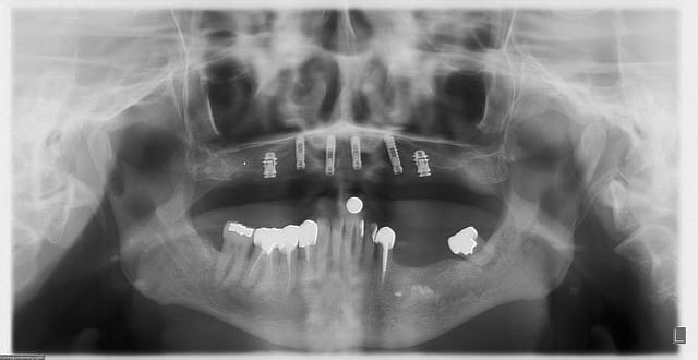
allez, dans ma série, "je remets des sujets" je vous donne quelques nouvelles de ce cas

la raison et vos conseils me sont revenus, j'ai posé hier 2 implants supplémentaires en 17 et 27 (sans les facturer à mon patient)

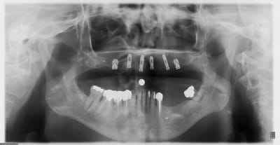
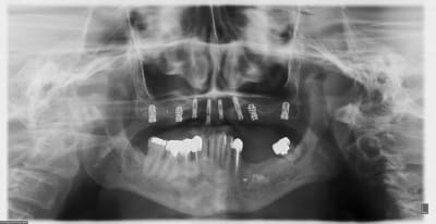
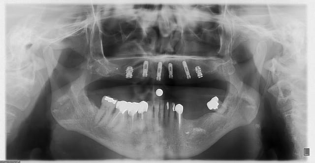
ce qui me frappe, tout de même, avec les quelques radios prises, c'est la cicatrisation osseuse au niveau de ceux en 15 et 25 (cf panos jour de la pose/3mois/4mois et les "zooms" pose/4mois)

la nature est parfois très sympa...;-)

Pose aeu5bp - Eugenol
3 mois tzqvfc - Eugenol
4mois cf1ihd - Eugenol
Detail 15 pose amgzjt - Eugenol
Detail 15 4mois rjtwab - Eugenol
Detail 25 pose ccnqla - Eugenol
Detail 25 4mois xzkifg - Eugenol

Smile beach jgh0a1 - Eugenol
Céramik

30/06/2012 à 17h40

Bonne idée d'avoir ajouter 2 implant.
Tu es dans le sinus en 17 ?

Tu fais quoi avec la belle 38 ?

--
Céramik


Photo pluton1b h9n4ea - Eugenol
pluton

30/06/2012 à 18h55

en 17, non pas dans le sinus...à ras, mais pas dans le sinus


la 38 je vais m'en occuper...;-)


Smile beach jgh0a1 - Eugenol
Céramik

30/06/2012 à 22h11

Oups, le 2e implant en secteur 1 en partant du fond...
Celui qui est court, avec les spires distales dans le vide, enfin, il me semble...



--
Céramik


3f3boxni50k58rq7e9ce9ddqrxgk - Eugenol
dentiste57

01/07/2012 à 02h05

tu as mis du biomat pour tes Summers? et quoi ?


Logo m4n3gc - Eugenol
drmarcus

01/07/2012 à 20h44

Bravo l'ami c'est super!
Félicitations :-)))

--
"La vis est à l'implant ce que la carie est à la dent!" (Pozzi)


12