Cookie Consent byPrivacyPolicies.comMCI post-extractionnelle, MCIPE - Eugenol

MCI post-extractionnelle, MCIPE

Utilisateur banni

08/10/2012 à 16h40

voila drmarcus rien que pour toi

pluton j'ai fais le ménage dans la box si tu veux m'envoyer les photos du cas terminé

Protocole mci post extractionnelle positdental 007 l2fraj - Eugenol

Logo m4n3gc - Eugenol
drmarcus

08/10/2012 à 16h56

Ah ouais là c'est mieux! Bon vivement que j'en ai une bonne dizaine....... On pourra frimer!
La box on débroussaillera ça à Florence ( Avec un "E"). :-))
Met celui de Leon :-)))))

--
"La vis est à l'implant ce que la carie est à la dent!" (Pozzi)


JulienM

08/10/2012 à 17h45

Une petite question par rapport à la vidéo :

Qu'est-ce qu'un bridge métallo céramique scellé sur 5 piliers a encore de "provisoire" ?

S'il est posé en fin d'intervention, on imagine que l'adaptation sur les piliers de l'armature est bonne, tout comme l'occlusion, donc pour quelle raison serait-il nécessaire de passer ensuite à un "définitif" ?


Bazaruto 2007 ircsez - Eugenol
jumpingjackflash

08/10/2012 à 17h56

c'est joli les images numériques mais une radio de temps en temps c'est instructif aussi


Utilisateur banni

08/10/2012 à 18h33

JulienM écrivait:
-----------------
> Une petite question par rapport à la vidéo :
>
> Qu'est-ce qu'un bridge métallo céramique scellé sur 5 piliers a encore de
> "provisoire" ?
>


il est en résine

Image21 gyh2bp - Eugenol
Image22 m1lnyz - Eugenol
Image23 a1xksr - Eugenol
Image24 tcgxyk - Eugenol
Image25 csyuko - Eugenol
Image26 ocevmr - Eugenol
Image27 rviqdy - Eugenol
Image28 scea29 - Eugenol
Image29 kxtb0v - Eugenol
Image30 cwlmqc - Eugenol
Image31 cli5fx - Eugenol
Image32 pfuhhg - Eugenol
Image33 ixe7fm - Eugenol
Image34 sxjfcw - Eugenol
Image35 mxavav - Eugenol

Utilisateur banni

08/10/2012 à 18h43

jumpingjackflash écrivait:
--------------------------
> c'est joli les images numériques mais une radio de temps en temps c'est
> instructif aussi

et indispensable

Protocole mci post extractionnelle positdental 020 rrgxfk - Eugenol

JulienM

08/10/2012 à 19h00

et c'est pas trop galère à desceller pour passer en définitif ?


Utilisateur banni

08/10/2012 à 19h18

JulienM écrivait:
-----------------
> et c'est pas trop galère à desceller pour passer en définitif ?

il faut les bons outils

Image36 lgq4fh - Eugenol

Utilisateur banni

08/10/2012 à 20h25

Protocole mci post extractionnelle positdental 006 t88gv8 - Eugenol
Protocole mci post extractionnelle positdental 005 awmpjc - Eugenol

Utilisateur banni

08/10/2012 à 20h45

Protocole mci post extractionnelle positdental 010 ihi5c8 - Eugenol
Protocole mci post extractionnelle positdental 012 isvgvf - Eugenol
Protocole mci post extractionnelle positdental 008 kmlf2g - Eugenol
Protocole mci post extractionnelle positdental 009 zkkl8e - Eugenol
Protocole mci post extractionnelle positdental 011 myrity - Eugenol

Utilisateur banni

08/10/2012 à 20h58

Protocole mci post extractionnelle positdental 013 o2je67 - Eugenol
Protocole mci post extractionnelle positdental 014 uqelyq - Eugenol
Protocole mci post extractionnelle positdental 015 p0bap8 - Eugenol

Utilisateur banni

08/10/2012 à 22h02

Protocole mci post extractionnelle positdental 016 ikywzi - Eugenol
Protocole mci post extractionnelle positdental 017 iypwe7 - Eugenol

Utilisateur banni

09/10/2012 à 10h32

Protocole mci post extractionnelle positdental 018 e9ocwx - Eugenol

Utilisateur banni

09/10/2012 à 13h42

Protocole mci post extractionnelle positdental 019 clcy5r - Eugenol

Utilisateur banni

09/10/2012 à 15h58

Protocole mci post extractionnelle positdental 020 xsgqfn - Eugenol
Protocole mci post extractionnelle positdental 021 dghq6l - Eugenol

Utilisateur banni

13/10/2012 à 16h23

Résumé de cas clinique en vidéo

http://www.positdental.com/cariboost1/crbst_10.html


Utilisateur banni

03/11/2012 à 11h25

<.>

Image2 j419sh - Eugenol

Sans titre tztxfv - Eugenol
Monet

04/11/2012 à 00h43

Sans aucune arrière pensée...la MCI au maxillaire est elle une donnée acquise da la science?


Utilisateur banni

05/11/2012 à 07h44

La question est intéressante.

Mais lorsque tu parles de MCI au maxillaire tu pense à MCI en réhabilitation totale ou sectorielle ?
Comment définis tu la MCI ?
Chirurgie à mains levées ou guidée ?
Si guidée, quel type de guide ?
Quel protocole ?
Quelles inclusions ou exclusions ?
Les questions ne sont pas exhaustives comme prothèse vissée ou scellée, la longueur des implants, types de connections, nombres…

Enfin quelles littératures as tu trouvées sur le sujet ?


Utilisateur banni

08/11/2012 à 10h20

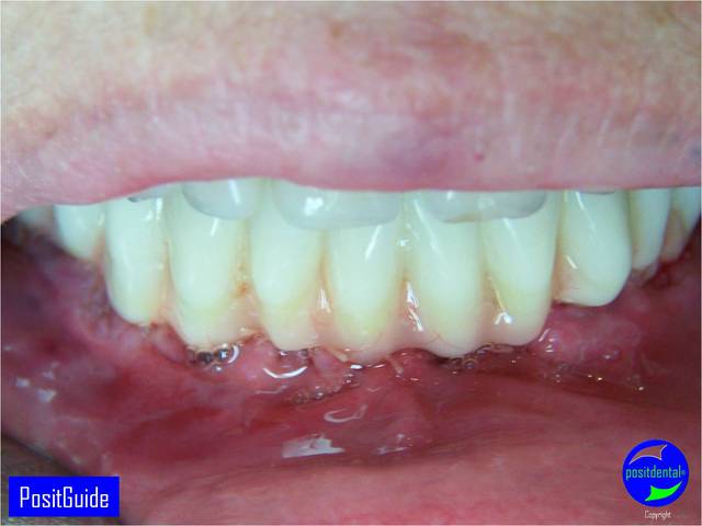
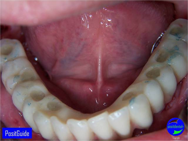
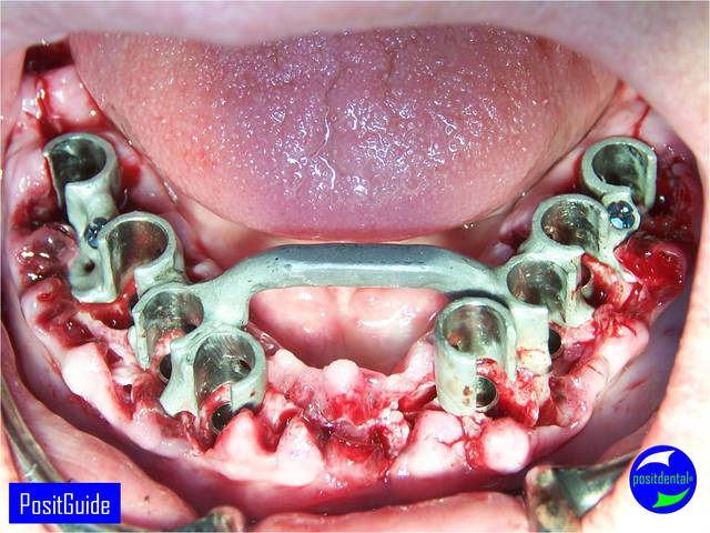
Mise en Charge Immédiate Post Extractionnelle , MCIPE partie chirurgicale de A à Z

Image1 fyaqeg - Eugenol
Image5 vodw2u - Eugenol
Image11 xodjkk - Eugenol
Image14 vhnfdn - Eugenol
Image18 eunoda - Eugenol
Image19 mmkm6i - Eugenol
Image2 b5hmmy - Eugenol
Image23 f4owmj - Eugenol
Image3 nfpkrt - Eugenol
Image4 xfwgcy - Eugenol
Image6 yglz1a - Eugenol
Image7 uqnxfs - Eugenol
Image8 tg6j2q - Eugenol
Image9 uxbtol - Eugenol
Image10 m3o7j6 - Eugenol
Image20 tx85u7 - Eugenol
Image21 wgtv0t - Eugenol
Image22 lap8pm - Eugenol

Utilisateur banni

09/11/2012 à 18h11

implants in situ et S.I.A.O pré-opératoire

Image24 n5hmd3 - Eugenol

Canin

10/11/2012 à 09h48

Je trouve ces cas très bien réalisés, rapide et impressionnants.

Cependant, qu'en est-il de la stabilité sur le long terme dans dans des contextes paro aussi sévère.

N'étant pasparo-compétent, qu'en est-il de la microbiologie buccale et du risque de péri-implantite à 10 ans ?


--
Canin


Utilisateur banni

22/11/2012 à 09h34

Les bactéries pathogènes sont quasi totalement absentes dans les bouches édentées, ta question est : l’avulsion totale des dents est elle un traitement efficace dans le traitement évolutif de la maladie parodontales si la pose d’implant précède celle-ci ou une temporisation sera-t-elle indispensable pour avoir une modification de la composition de la flore bactérienne ou dans quelles conditions ce traitement doit-il être pratiqué ou quelles sont les facteurs de développement des bactéries pathogènes sur les implants?