Cookie Consent byPrivacyPolicies.comDépose implant : mode d'emploi. - Eugenol

Dépose implant : mode d'emploi.

Implant wq5dd1 - Eugenol
sinuslift

22/02/2012 à 19h32

Bonsoir,

J'ai toujours déposé des implants mobiles ou non intégré donc sans difficulté.

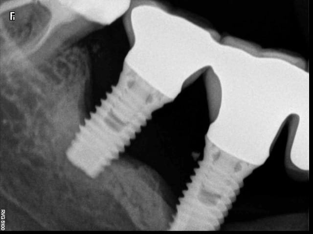
Là je doit déposer celui ci sur 47 (je l ai posé en 2006) et suite à une péri implantite je préfère l enlever.

Comment m y prendre ?

je songeais sectionner les deux couronnes jumelées puis à l'aide d'un davier dévisser tout simplement. Y a t il un os à attendre ? ou dois je suivre une autre procédure ?

Ensuite quid de l alvéole ouverte ?

Dans l 'attente de vos réponses , merci.

Decembre 2012 hhocqg - Eugenol

Implant wq5dd1 - Eugenol
sinuslift

23/02/2012 à 15h20

234 lectures et pas un qui a son expérience à partager ?


Humator t9r5wy - Eugenol
humator

23/02/2012 à 15h29

1 oui il faut séparer les couronnes.
2 apparemment il reste des spires ancrées, donc ça va resister un peu, et il faut devisser dans l'axe.
3 tu devrais déposer la couronne, deviser le moignon, et utiliser un tourne à gauche.
visible ici:
http://www.praxisinstruments.fr/boutique/liste_produits.cfm?type=16&code_lg=lg_fr&num=31


--
N.Hum


Photo pluton1b h9n4ea - Eugenol
pluton

23/02/2012 à 15h42

+1...
ou alors remettre le porte implant (s'il y en a un) et utiliser la clef à cliquet en dévissage...;-)


Implant wq5dd1 - Eugenol
sinuslift

23/02/2012 à 16h05

Merci pour vos réponses à tous deux.

Dans l'hypothèse ou je ne peux déposer la couronne( j'ai scellé mais de souvenir, à l'époque, je ne mettais rien pour protéger la vis donc celle-ci doit être bien prise)...puis je essayer de dévisser l'ensemble ? Je pense pas pouvoir déposer le FM.


l adan

23/02/2012 à 16h22

Selon toi , quelle est la cause de cette peri implantite ?


Capture ddc6bm - Eugenol
sumble

23/02/2012 à 16h23

la piezo peut aider avec l'insert scalpel:

-coupe micro-métrique
-clivage de 2 interfaces de densités différentes
-inefficacité sur tissu mou...

http://www.mectron.com/extraction-kit.527.0.html


Implant wq5dd1 - Eugenol
sinuslift

23/02/2012 à 16h33

J'ai eu deux soucis sur ces implants.

Le jour de la mise en place je pense avoir trop forcé sur l'os lors du vissage peut être par un sous forage lié à la position de la 47 (faible ouverture + langue bien présente) J'y voyais pas grand chose et je pense, et j'ai eu tord,que j'étais pressé d'en finir.

Mais l'implant à bien pris (j'ai posté la séquence de cet implant sur un post sur les échecs). J'ai donc réalisé la prothèse mais ai du me contenter d'une couronne coulée vue la faible hauteur (le patient souhaitait ça aussi "au fond".)

6 mois après seconde tuile : dévissage et mobilité de la cc sur 47. La raison est la même je pense : l'accès difficile.

J'ai donc déposé / reposé et scellé (abondamment)...bref loi de Murphy sur la totale de ce cas.

J'ai donc décidé d'arrêter les frais....

Le patient ne le souhaitais pas vu que tout tien parfaitement bien et que la gencive est au niveau des couronnes. Seule la radio expose le problème et sa seule existence me heurte.

Voila voila .....


Implant wq5dd1 - Eugenol
sinuslift

23/02/2012 à 16h34

sumble écrivait:
----------------
> la piezo peut aider avec l'insert scalpel:
>
> -coupe micro-métrique
> -clivage de 2 interfaces de densités différentes
> -inefficacité sur tissu mou...
>
> http://www.mectron.com/extraction-kit.527.0.html

Mouai mais j'ai pas cet appareil (j'aimerai mais j'ai pas)


Morgan ztbb1b - Eugenol
BONNET jc

23/02/2012 à 19h44

Justement, il y a 15 jours j'ai cherché une video sur canal palatin ou autre sur ce sujet et je n'ai rien trouvé.


flicflac

24/02/2012 à 13h30

à mon humble avis, après séparation des couronnes, les quelques spires restantes semblent être dans un os D4 voir même fibrose au pourtour, devrais pas résister beaucoup


Manolito wom2of - Eugenol
manolito

24/02/2012 à 14h21

BONNET jc écrivait:
-------------------
> Justement, il y a 15 jours j'ai cherché une video sur canal palatin ou autre sur
> ce sujet et je n'ai rien trouvé.


y'a ça

http://www.generation-implant.com/index.php?p=GITVVideoDetail&id=55&idt=1


Img 0812 mvp6i0 - Eugenol
jeamba

24/02/2012 à 15h33

flicflac écrivait:
------------------
> à mon humble avis, après séparation des couronnes, les quelques spires restantes
> semblent être dans un os D4 voir même fibrose au pourtour, devrais pas résister
> beaucoup

flic flac, il ne suffit pas de dire à mon humble avis ( ne le prends pas mal c'est pas mon intention) car deux ou trois spires peuvent avoir une résistance incroyable. Il y a un mois j'ai dû déposer un WP posé par un confrère il a 4 ans avec 3 spires qui restaient intégrées, le tourne à gauche s'est cassé, le davier restait inefficace, et j'ai dû carotter autour pour le déposer car comme toi, en voyant la radio, je pensais que c'était facile.

R19 mjpni3 - Eugenol

Humator t9r5wy - Eugenol
humator

24/02/2012 à 16h32

+1 avec jeamba, ça peut très bien tenir bien fort.

--
N.Hum


Blason dql7mj - Eugenol
growler

27/02/2012 à 22h56

aujourd'hui retrait d'un ancien implant serf ciny (état de surface usiné), col et vis cassés, retrait du fragment de vis et tourne à gauche de chez implant direct (je l'avais acheté il y a un an et jamais servi encore), il restait à peu près 10 mm dans l'os et j'ai dû forcer comme une brute pour qu'enfin l'implant se décide à venir. Le plus difficile ensuite a été de désolidariser le tourne à gauche de l'implant...terriblement efficace et accrocheur ce matos.


Zorglub

27/02/2012 à 23h07

growler écrivait:
-----------------
> aujourd'hui retrait d'un ancien implant serf ciny (état de surface usiné), col
> et vis cassés, retrait du fragment de vis et tourne à gauche de chez implant
> direct (je l'avais acheté il y a un an et jamais servi encore), il restait à peu
> près 10 mm dans l'os et j'ai dû forcer comme une brute pour qu'enfin l'implant
> se décide à venir. Le plus difficile ensuite a été de désolidariser le tourne à
> gauche de l'implant...terriblement efficace et accrocheur ce matos.


Ostéotension autour de l'implant et 21 jours plus tard, l'os est ramolli et ça devrait sortir tout seul grâce à l'action des ostéoclastes...


flicflac

28/02/2012 à 03h20

jeamba, merci pour ta remarque et j'en prend note.
Le cas que tu présente, les spires sont dans de l'os D1
(corticale) tandis que l'autre cas l'os est vraiment de faible densité.
On peut faire de l'ostéotension rapide à la carotteuse autour de l'implant puis tourne à gauche...dépose immédiate... ou électrocautère sur l'implant et dépose par nécrose osseuse (sûrement technique à ne pas utiliser).


Implant wq5dd1 - Eugenol
sinuslift

28/02/2012 à 22h03

Bon ça y est j'ai vu le patient.

Chronologie :
-section des couronnes jumelées à la fraise transmétal. Assez facile mais la vibration fait bouger la couronne sur la 46(argggg)

-dès la séparation je vérifie la mobilité de l'implant sur la 47 et la, agréable surprise,j'arrive à le dévisser avec les doigts.....jusque là tout va bien : 10 minutes de passées.

-après curetage et suture du site (j'ai rien mis en place)je décide de resserrer la vis du FM sur la 46 et là rien à faire!! L'hexagone est ovalisé le tournevis tourne dans le vide.
J'ai essayé les ultrasons, la fraise carbure en rotation inverse, j'ai foré autour de la vis dans le FM pour en dégager un peu plus mais impossible. Ca bouge mais ca veut pas de dévisser.....comment faire? (souvenez vous que j'avais tartiné de ciment de scellement :-)

(J'ai acheté le tourne à gauche de chez prodont mais je vois pas son utilité dans ce cas là....si qq'un à une idée je suis preneur.)

Je poste les photos et radios demain.....je le répète si qq'un à de bonnes idées pour avoir cette put**n de vis je suis preneur.


Photo pluton1b h9n4ea - Eugenol
pluton

28/02/2012 à 22h49

sinuslift écrivait:
-------------------

> (J'ai acheté le tourne à gauche de chez prodont mais je vois pas son utilité
> dans ce cas là....si qq'un à une idée je suis preneur.)


le tourne à gauche spécial vis de chez Implant Direct...le SXT...;-)

Sxt 2 gxcqnk - Eugenol

Implant wq5dd1 - Eugenol
sinuslift

28/02/2012 à 23h19

Ca ne marchera pas Pluton car le sxt n'est pas adapté si la tête de la vis est ovalisé (ce que dit leur mode d'emploi).


Smile beach jgh0a1 - Eugenol
Céramik

28/02/2012 à 23h49

Je suis surpris qu'un fraise ronde, neuve, sur CA , en mode recul, ne fonctionne pas...

Faire une rainure et utiliser un tournevis droit ?

--
Céramik


Implant wq5dd1 - Eugenol
sinuslift

29/02/2012 à 11h14

Bonjour,

J'ai pas super bien dormi :-)

La partie supérieure de la vis du FM est ovalisée et pas assez profonde pour utiliser l outil de Pluton (que je vais commander quand même pour le futur ). J'ai essayé de descendre a la fraise transmétal le long de la vis en tournant autour pour en dégager une hauteur suffisante pour avoir une prise pour dévisser mais souvenez vous du postulat du départ.....j'ai pas un accès fantastique donc c'est chaud.

J'ai le sentiment que le ciment de scellement a scellé la vis.

Ai je comme seule et unique choix de forer au travers pour le déposer au risque d'abimer le filetage interne et de réaliser un tenon par la suite ou y a t il encore qq'chose auquel je n'ai pas pensé ?

Ps : je revois le patient demain....après il part 15 jours en vacances...

D pose 47 bgkrab - Eugenol

berli

29/02/2012 à 14h58

il m'est arrivé la m^m chose avec vis de prothese ;
par 2X. Seule solution efficace utiliser un tournevis à rainure après avoir effectué une rainure (fraise carbure701) dans la tete de vis ovalisée ;
nb toujours devisser à un couple > au vissage
Good luck


Fouilla h6plsy - Eugenol
fouilla

29/02/2012 à 19h55


si tu as foré autour de ta vis avec une transmetal essaye de vibrer ta vis avec un insert ultrason que tu places entre ta vis et ton faux moignon et puis monte une fraise touati sur un contre angle tourne autour de ta vis ça va monter ...

--
.


Smile beach jgh0a1 - Eugenol
Céramik

01/03/2012 à 01h05

Tu as encore pas mal de métal sur le pillier, aller taille, place l'ultrason, tourne gauche avec CA + fraise ronde, tu vas le faire !

--
Céramik


12