Cookie Consent byPrivacyPolicies.combridge collé temporaire??? - Eugenol

bridge collé temporaire???

Topi

24/02/2012 à 19h17

Bonjour,
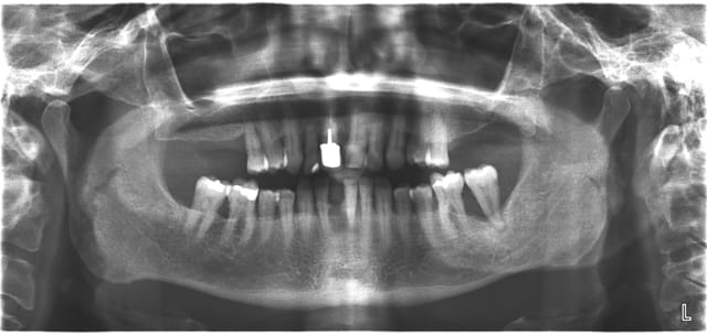
j'ai une patiente de 60 ans qui a consulté ce matin pour "mettre une dent" au niveau de 41. 31 est légèrement mobile, 32 et 42 ne sont pas mobiles. L'hygiène est très moyenne et la demande esthétique et le budget peu élevés. J'envisage de faire une contention paro avec une dent facette au niveau de 41 afin de temporiser et quand le moment sera venu, de faire un stellite. Qu'en pensez-vous? Quels matériaux utiliseriez-vous?
Si la patiente avait bonne hygiène et le budget que lui proposeriez-vous? (bien sur des implants :-) mais si refus!)?
Bon we à vous tous et merci pour vos réponses

Panora auyh6i - Eugenol

Gabriel Dufay

24/02/2012 à 19h37

attelle collée métallique avec inter, collée au superbond.


Bagheera tudzjy - Eugenol
bagheerra

24/02/2012 à 19h38

Si l'occlusion s'y prête (quid des molaires sup ?), pourquoi pas un bridge collé "d'usage" ? Effet contention garanti.
Ailette sur les 3 incisives restantes avec une belle préparation, comme un puits dentinaire par ex.
J'ai fait un cas comme ça il y a 2 ans, le patient est ravi.


Smile beach jgh0a1 - Eugenol
Céramik

25/02/2012 à 20h01

et la zolie 37 ? tu lui pose une attelle ?
ou mieux encore du "Borst" ?

--
Céramik


Topi

26/02/2012 à 18h03

j'en ai pas parlé mais l'extraction de 37 est prévue!...pour cette dent, la question serait plutôt combien de temps il faut prévoir! :-)


Scan10030 ukikhq - Eugenol
vava

09/03/2012 à 02h06

Topi écrivait:
--------------
Quels matériaux utiliseriez-vous?
>

la résine c'est temporaire


kingofdogs

09/03/2012 à 02h16

Mets des molaires en haut et vite! Parce qu'avec une paro comme ça sinon t'es bon pour extraire les deux blocs antérieurs très rapidement (en plus de traiter la paro et enseigner l'hygiène).