Cookie Consent byPrivacyPolicies.comC`est quoi cela? - Eugenol

C`est quoi cela?

nadeem

25/02/2012 à 14h11

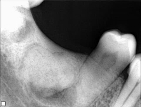
Une image radio du secteur 4. Femme de 40 ans. Aucun symptome particulier. Cela vous fait penser a quoi? On envoie chez le stomato ou pas pour explorer?

Merci pour vos avis!

Sect4 io1 0 1 hmjl3j - Eugenol
Sect4 io1 1 1 xouzkn - Eugenol
Sect4 io1 2 1 se41hv - Eugenol

Canin

25/02/2012 à 14h43

est-elle mélanoderme ? si oui j'ai une petite idée.

et pense à vérifier l'autre côté, sinon fait une pano ça sera plus simple.

tiens nous au courant et on revoit ça

--
Canin


Smile beach jgh0a1 - Eugenol
Céramik

25/02/2012 à 18h56

C'est la dent qui repousse ;-)

--
Céramik


nadeem

25/02/2012 à 19h37

Elle est en effet basanée. Indo-Africaine, je dirai. De l`autre coté l`os a un aspect normal. Lève le voile Dr Canin!


flodec

25/02/2012 à 20h04

nadeem écrivait:
----------------
> Elle est en effet basanée...Indo-Africaine...Lève le voile!!!

Tu risques des problemes avec les modos nadeem ! Eugenol a perdu Narik pour moins que ça ;)

Sinon nadeem, tu sais tres bien qu'on ne peut pas faire un diagnostic sur une simple radio, y'a t-il des douleurs, une voussure, une coloration de la gencive, une ulceration, une adenopathie associée....


Canin

25/02/2012 à 20h31

Dysplasie cémento-osseuse de type focale si le secteur 40 est seul touché.

La lésion devait exister probablement avant les avulsions mais a pu évolué.

si il existe d'anciens clichés, c'est intéressant.

pas de traitement à prévoir jusqu'à nouvel ordre.

Désolé pour le suspens insoutenable que j'ai suscité !



--
Canin


 mg 0207 xwjxcl - Eugenol
Tillc

26/02/2012 à 00h33

pareil j en ai opere une le mois derniers


nadeem

26/02/2012 à 13h21

Merci pour l`info, j`en informerai la patiente.
Vous etes de vrai pros les gars!

P.S: On manque l`humour pimenté de narik c`est certain!