Cookie Consent byPrivacyPolicies.comLacune a operer ou non ? - Eugenol
 mg 0207 xwjxcl - Eugenol
Tillc

02/03/2012 à 16h31

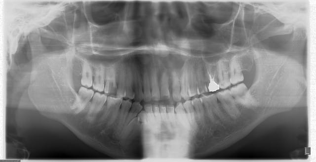
Il s'agit d'un patient africain avec une grosse lacune au dessus de la 22 . A savoir que le patient est en super bipro alveolie.
Asymptomatique totalement. Je sens une grosse dépression a la palpation.
A operer ? a explorer? a surveiller ?
Vous trouverez ici la video du scanner (entre 8 et 13 )



Merci de vos avis

Diane mahamoud 23022012 184200 ucyrim - Eugenol

 mg 0207 xwjxcl - Eugenol
Tillc

02/03/2012 à 17h57

70 vues pas de commentaires , jespere bientot passer le cap des 100 !


Photo pluton1b h9n4ea - Eugenol
pluton

02/03/2012 à 18h05

je vais pas te laisser tout seul...
amha faut intervenir...mais une idée de l'étiologie?
c'est difficile de se prononcer avec les images du scan qui défilent aussi vite...


marcandre

02/03/2012 à 18h29

Bonjour, sur ton scan et sur ta pano on ne voit pas de continuité entre les apex et le defect osseux, pourquoi veux tu intervenir au niveau dentaire?
Marcandre


 mg 0207 xwjxcl - Eugenol
Tillc

02/03/2012 à 18h39

C'est au niveau chirurgical que je veux intervenir pas dentaire


Canin

02/03/2012 à 18h53

on dirait une lésion des tissus mous.

y'a-t-il moyen de récup les coupes pour faire notre propre analyse. c'est pas évident sur les seules coupes horizontales.

Le déplacement dentaire indique qu'il y a un processus tumoral sous-jacent, certainement bénin mais y'a quelque chose

faut ouvrir et aller voir pour faire une biopsie.

demandes une irm avec et sans produit de contraste


--
Canin


laure

02/03/2012 à 22h54

J'ai eu une image identique sur une patiente
elle n'avait aucune symptomatologie
après reintervention le compte rendu a decris une lesion lacunaire idiopahtique (évolutive??)
un curetage a été réalisé afin de creer un caillot sanguin dans la lacune et permettre sa "cicatrisation"
Un intervention non sans conséquence: sensibilités dentaires, paresthesie mentonnière pendant qq semaines, douleur à la palpation ...


Canin

02/03/2012 à 22h56

après réflexion, ma première hypothèse serait un kyste naso-labial.

tiens nous informés.

--
Canin


johnnybegood

03/03/2012 à 00h48

on dirait qu il y a des dents surnuméraires ou odontoides:
possible deux dans la lacune au dessus de 22 et voir au dessus de 12... voir 3D


 mg 0207 xwjxcl - Eugenol
Tillc

03/03/2012 à 09h09

Canin écrivait:
---------------
> après réflexion, ma première hypothèse serait un kyste naso-labial.
>
> tiens nous informés.
>
> --
> Canin

A la palpation je sens une depression importante et pas une voussure c est pour ca que je pensais plus a une lesion idiopathique qu a un kyste congenital . Je vous post les coup antero post des que je suis au cabinet


Canin

03/03/2012 à 10h37

Tillc écrivait:
---------------
> Canin écrivait:
> ---------------
> > après réflexion, ma première hypothèse serait un kyste naso-labial.
> >
> > tiens nous informés.
> >
> > --
> > Canin
>
> A la palpation je sens une depression importante et pas une voussure c est pour
> ca que je pensais plus a une lesion idiopathique qu a un kyste congenital . Je
> vous post les coup antero post des que je suis au cabinet

c quoi un kyste idiopathique ?? si tu fais la biopsie ou l'exérèse elle sera plus idiopathique ta lésion.

toujours est-il que la topographie et la sémiologie radiologique sont compatibles avec le KNL.



--
Canin


 mg 0207 xwjxcl - Eugenol
Tillc

03/03/2012 à 16h03

genre lacune de stafn


Canin

03/03/2012 à 17h48

Tillc écrivait:
---------------
> genre lacune de stafn

genre une lacune de stafne du maxillaire (supérieur) ??? ch'ui pas franchement convaincu et reste sur mon analyse qui correspond à quelquechose qui est décrit même si on l'observe rarement.

si tu veux pas y toucher direct, faut tenter l'IRM et voir ce qu'elle peut nous apprendre de plus.

--
Canin


sidchir

03/03/2012 à 22h07

j'ai eu 4 cas du genre depuis le début d'année (dont 2 kératokystes (k.épidermoide) très récidivants :< ),j'aurais préféré que tu nous montre les coupes coronales sur ton scan.
vas'y lame 15 + degagement osseux+ énucléation et surtout anapath en croisant les doigts.
Tu nous donnera le résultat dans 5jours ;)


Mario ycg44a - Eugenol
Mario180

04/03/2012 à 23h05

Je vois pas comment on pourrait intervenir sans avoir une reconstruction 3D avec une bonne isolation du volume de la lésion.

Tu peux faire préparer une scène 3D pour pas cher par ce biais : [email protected]


 mg 0207 xwjxcl - Eugenol
Tillc

05/03/2012 à 14h48

Voila les coupes AP ( de mauvaise qualité c'est moi qui ai fait la photo).
D'apres toi canin je tente directe sous AL ?
A savoir qu'a la palpation je sens vraiment un "trou".

 mg 0059 msazdz - Eugenol
 mg 0057 twjj5y - Eugenol

Gbazylo1 fvg1vg - Eugenol
Aron

05/03/2012 à 16h59

Je plussoie sur la reconstitution 3D (de chez 3dneovision par exemple, c'est vrai qu'ils sont bien foutus et pas chers)


 mg 0207 xwjxcl - Eugenol
Tillc

05/03/2012 à 22h43

je vois franchement pas l,interet de le reconstitution . Pr contre l irm ce serait interessant pour voir si il y a extension dans les tissus mous


Canin

05/03/2012 à 23h53

l'irm peut être intéressante pour orienter le diagnostic ou exclure certains autre.

maintenant que j pense que c'est un cas gérable sous AL mais faut bien assurer l'AL en étant assez large et surtout suffisament profond au niveau du seuil narinaire car faudra décoller très haut.

la difficulté sera certainemnt l'adhésion de la membrane kystique contre la face interne de la muqueuse vestibulaire, j'utiliserais un metzenbaum.


--
Canin


 mg 0207 xwjxcl - Eugenol
Tillc

06/03/2012 à 10h56

Wé allé c'est partie ! je vous tiens au courant


Canin

07/03/2012 à 23h31

Tillc écrivait:
---------------
> Wé allé c'est partie ! je vous tiens au courant

une petite lésion artériolaire n'est pas à exclure dans cette région

--
Canin


Dent masqu e petite f0pbaj - Eugenol
dudule

08/03/2012 à 00h41

pourquoi prendre le risque de la gestion d'une AL ? Fait ça sous AG.

L'anesthésie risque de se lever assez vite car saignement ++ et très désagréable pour le patient.

Maintenant si tu vas vite pourquoi pas.


 mg 0207 xwjxcl - Eugenol
Tillc

08/03/2012 à 13h38

Meuh non pas de lésion arteriolaire :) Parle pas de malheure


dr.demolay

09/03/2012 à 12h26

lésion depressible tu dis?
mobilisable ? pulsatile ? adhérente ? des adénopathies ? si ça refoule l'os, évolution lente (un point). une ponction peut-être si cela est depressible accès de l'aiguille aisée ? sinon conseil = attendre l'IRM


Canin

09/03/2012 à 15h09

dr.demolay écrivait:
--------------------
> lésion depressible tu dis?
> mobilisable ? pulsatile ? adhérente ? des adénopathies ? si ça refoule l'os,
> évolution lente (un point). une ponction peut-être si cela est depressible accès
> de l'aiguille aisée ? sinon conseil = attendre l'IRM

pulsatile ?? => tu penses à une MAV alors oui IRM avec gado

--
Canin


12