Cookie Consent byPrivacyPolicies.coménucléation kyste avant pose implantaire - Eugenol

énucléation kyste avant pose implantaire

Dent masqu e petite f0pbaj - Eugenol
dudule

04/03/2012 à 21h30

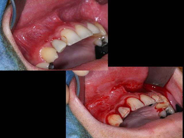
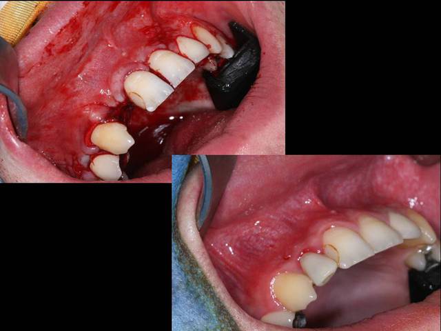
Salut je poste un cas d'un kyste à priori d'origine dentaire avec ROG pour éviter d'avoir un effondrement de la paroi vestibulaire avant pose implantaire.

Comblement au béta TCP pour permettre une résorption totale et un remodelage de la voussure vestibulaire

Diapositive1 yxbpfb - Eugenol
Diapositive2 h6ati5 - Eugenol
Diapositive3 vpe0cq - Eugenol
Diapositive4 taj50f - Eugenol
Diapositive5 fqdz9m - Eugenol
Diapositive6 wxqlg6 - Eugenol

S2y2o1v7q53ws4r5wy6ou8czrpom - Eugenol
pxav

05/03/2012 à 10h44

J'aime bien, c'est propre, nickel!

--
xbk
"Si tous ceux qui croient avoir raison n'avaient pas tort, la vérité ne serait pas loin" Dac Pierre


Canin

05/03/2012 à 13h12

ça pourrait être du globulo-max vu la topo. pas forcément lié à la 12.

faudra voir à l'arrivée mais il est fort possible que tu es une crête fine sur le sommet.

sinon propre et tout , comme d'hab.

--
Canin


Dent masqu e petite f0pbaj - Eugenol
dudule

05/03/2012 à 13h48

Canin écrivait:
---------------
> ça pourrait être du globulo-max vu la topo. pas forcément lié à la 12.
>
> faudra voir à l'arrivée mais il est fort possible que tu es une crête fine sur
> le sommet.
>
> sinon propre et tout , comme d'hab.
>
> --
> Canin

J'y ai également pensé et je l'ai indiqué sur la fiche d'anapath ;+)
En passant je les appelait comme toi kyste dysembryoplasique mais il semble que nous ne soyons plus dans l'actualité...
http://www.sso.ch/doc/doc_download.cfm?uuid=9559FF39D9D9424C4C431470CC567372&&IRACER_AUTOLINK&&

Sans doute estce lié à notre grand âge :+))

Tiens au fait pour ceux qui opèrent sous AG, vous connaissez le montant de l'AG facturé part l'anesthésiste aujourd'hui pour un kyste++, des EDM.
Pour les DDS il me semble que c'est 83,60€.

Merci


Avatar hjdsnm - Eugenol
TiGabi

05/03/2012 à 14h28

Joli cas, très propre : merci pour le partage.

Dommage que les cas cliniques n'attirent pas autant que les "sujets à polémique".


Avatar ow44t3 - Eugenol
Chicot

05/03/2012 à 21h31

sur la dia 6, dernière photo, c'est l'implant avec une MCI ?

tu as utilisé la dent évidée ??

Tu aurai pu mettre une radio !

Chapeau bas, c'est du grand art, plus fort que M.J. mais P.M. t'as appris à faire de plus belle photos avec moins de sang.... faut que tu retournes à feu Garancière toi !!!

Tu as eu quel couple d'insertion final ?

Pourquoi préfères tu le Beta TCP à l'allogénique ici, ou à une Xénogreffe comme le Bio-Oss ?

Le compo stratifié sur 11 semble avoir un joint un peu large, tu devrais en parler à ton correspondant !

lol

ps: on se voit toujours dimanche soir ?????

--
;O)


Dent masqu e petite f0pbaj - Eugenol
dudule

05/03/2012 à 21h54

Chicot écrivait:
----------------
> sur la dia 6, dernière photo, c'est l'implant avec une MCI ?

;+))
Oui j'ai même pu le poser en le torquant à 600Ncm, j'ai voulu m'en servir mais au dernier moment je l'ai retiré et remis dans sa boite pour le patient suivant...

> Chapeau bas, c'est du grand art, plus fort que M.J. mais P.M. t'as appris à
> faire de plus belle photos avec moins de sang.... faut que tu retournes à feu
> Garancière toi !!!

En tout cas merci de m'avoir dit que l'on pouvait utiliser powerpoint pour faire sa mise en page.

> Tu as eu quel couple d'insertion final ?

Réponse plus haut...

> Pourquoi préfères tu le Beta TCP à l'allogénique ici, ou à une Xénogreffe comme
> le Bio-Oss ?
>

Je souhaite avoir une résorption de la voussure vestibulaire donc exit le Bio-oss et après vu que la cavité est quasi fermée, je me dis qu'il n'est franchement utile d'utiliser de l'allogénique.


> Le compo stratifié sur 11 semble avoir un joint un peu large, tu devrais en
> parler à ton correspondant !
>
> lol

Je vais effectivement lui en parler pour qu'il fasse du laser...


> ps: on se voit toujours dimanche soir ?????
>

Bien sur !


3f3boxni50k58rq7e9ce9ddqrxgk - Eugenol
dentiste57

05/03/2012 à 23h59

vin diou!
tu reçois le béta-tcp conditionné en dose de 100 gramme toi ?

merci de poster le cas, ça manque les trucs sympa...


Canin

06/03/2012 à 00h02

dudule écrivait:
----------------
> J'y ai également pensé et je l'ai indiqué sur la fiche d'anapath ;+)
> En passant je les appelait comme toi kyste dysembryoplasique mais il semble que
> nous ne soyons plus dans l'actualité...
> http://www.sso.ch/doc/doc_download.cfm?uuid=9559FF39D9D9424C4C431470CC567372&&IRACER_AUTOLINK&&

je connais également cette article, après moi la notion de KGM me parle plus, elle est pratique sur le plan sémiologique.

mais bon on verra bien ce que répond l'anapath.

--
Canin


Avatar ow44t3 - Eugenol
Chicot

06/03/2012 à 08h18

Quand même c'est un sacré gros kystRe.....


--
;O)


Dent masqu e petite f0pbaj - Eugenol
dudule

12/03/2012 à 19h53

Canin écrivait:
---------------
> mais bon on verra bien ce que répond l'anapath.
>


Verdict : Kyste radiculo-dentaire.

Parfaite cicatrisation à 10 jours


Canin

12/03/2012 à 23h05

dudule écrivait:
----------------
> Canin écrivait:
> ---------------
> > mais bon on verra bien ce que répond l'anapath.
> >
>
>
> Verdict : Kyste radiculo-dentaire.
>
> Parfaite cicatrisation à 10 jours

merci pour l'info. donc la théorie classique du KGM tombe bel et bien à l'eau. Plouf !

--
Canin