Cookie Consent byPrivacyPolicies.comQue feriez-vous ? (le retour) - Eugenol

Que feriez-vous ? (le retour)

guttapercha

06/03/2012 à 14h49

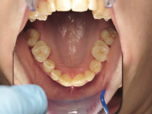
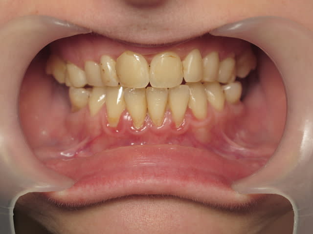
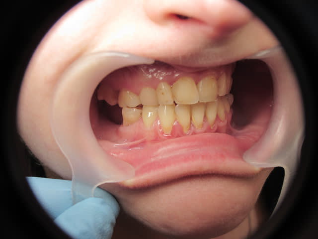
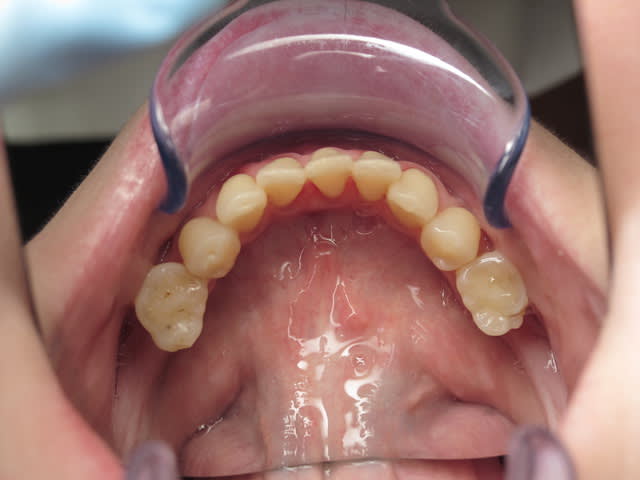
Patiente de 33 ans, questionnaire de santé RAS, demande esthétique. Elle souhaiterait que ses dents soient "davantage visibles" lors du sourire. Les dents absentes sont dues à des agénésies.

Que feriez vous ???

ps : ce sont mes premières photos avec matos perso

Img 2540 gzxulf - Eugenol
Img 2537 cejach - Eugenol
Occlusion de convenance ano6gd - Eugenol
Img 2544 dlqpvu - Eugenol
Img 2547 eavdut - Eugenol
Img 2549 m17mfh - Eugenol

Icon hase505so n7k1wb - Eugenol
airylis

06/03/2012 à 15h24

Ortho !


Blocperso talon jer3sl - Eugenol
mrquentin

06/03/2012 à 15h27

facettes maxillaires 13 à 23,implants postérieurs mandibulaires après une étude de l'occlusion sur articulateur (améloplasties des cuspides dv de 16 et 26?); valider le montage facette éventuellement avec un mock up (si la patiente consulte uniquement pour une question esthétique, autant ne pas se planter). voilà pour moi


Smile beach jgh0a1 - Eugenol
Céramik

06/03/2012 à 16h10


Ajoute un peu de paro, des greffes , des facettes de 6 a 6 ( 3 a 3 pas suffisant).


--
Céramik


G-P

06/03/2012 à 16h18

Pour moi paro, puis orthodontiste, puis implants et enfin esthétique avec facettes 6 à 6.
Prévenir que ça va couter TRES cher.

Pas mal les photos :)


Gbazylo1 fvg1vg - Eugenol
Aron

06/03/2012 à 16h21

A vue de nez, je dirais qu'il y a une retroalvéolie maxillaire importante. Et je crois qu'en réalité c'est ça qui n'est pas joli.

Donc étude ODF voire chir ortho avant de faire du bricolo cosméto esthetique.


Mrpoupi

06/03/2012 à 17h24

elle a dejà eu un traitement ODF j'imagine pour refermer les espaces des PM maxillaires absentes, mais à la mandibule, il lui manque la 2eme prémolaire et la 2emme molaire ? ou 36 et 46 sont en fait 85 et 75 et il lui manque 35 36 et 37 et 45 46 47?
Il y a une panoramique ?


Gbazylo1 fvg1vg - Eugenol
Aron

06/03/2012 à 17h37

Honnêtement, vu le nombre de prémos, d'incisives et de molaires qui manquent, je penche plutôt pour un syndrome général avec agénésies que pour des extractions ortho!

Sinon, s'il y a quand même eu une intervention odf, ça veut dire que la rétroalvéolie dont je parle a été provoquée exprès, avec pour seul but de rapprocher les dents. Je ne peux tout simplement pas croire à autant de nullité.


Ico v for vendetta08 jzhpep - Eugenol
o⅁ pnɐuɹ∀

06/03/2012 à 18h01

Ortho-chir.

La céphalométrie montrera probablement une rétrognatie maxillaire.

Après on s'occupera de l'aspect esthétique des dents mais ce n'est pas la priorité.

--
Quand Eugénol a exclu Narik, Eugénol a perdu un peu plus que Narik.


Bebe 038 nf8eum - Eugenol
danteyeah

06/03/2012 à 18h14

Aron écrivait:
--------------
> Honnêtement, vu le nombre de prémos, d'incisives et de molaires qui manquent, je
> penche plutôt pour un syndrome général avec agénésies que pour des extractions
> ortho!
>
> Sinon, s'il y a quand même eu une intervention odf, ça veut dire que la
> rétroalvéolie dont je parle a été provoquée exprès, avec pour seul but de
> rapprocher les dents. Je ne peux tout simplement pas croire à autant de nullité.

+1, et malheureusement il y a fort à parier que l'ODF a été fait. C'est dans l'idéal un cas ortho-chir, puis eclairssissement et un peu de maquillage pour l'esthétique (certainement facette à tous les étages si on veut être élitiste, mais déjà avec la chir. on devrait rendre ce sourire largement plus agréable). Pour 33 ans la patiente semble très marquée, ce doit être lié au manque de croissance du maxillaire ( le profil est il concave?), associé à un menton légèrement allongé. Un joli petit cas pour un maxillo.


guttapercha

06/03/2012 à 18h43

Il y a agénésies de 14-15 et 24-25, de 35 et 45 (restent 75 et 85), des molaires du bas. En haut j'avoue que je ne sais pas si ce sont des molaires de lait ou définitives...
Sa mère et sa soeur présentent les mêmes agénésies ou presque.


"A vue de nez, je dirais qu'il y a une retroalvéolie maxillaire importante. Et je crois qu'en réalité c'est ça qui n'est pas joli."

> Exactement, quand on regarde son visage en globalité je pense qu'avec les plus belles facettes du monde on ne solutionnera pas son problème, ou pas complètement... enfin j'ai du mal à me figurer ça, je peux demander un wax up (différence avec un mock up?) à mon prothésiste.
J'ai une photo de son profil (mais non "anonymisée"), il est concave.


J'ai aussi l'impression que l'absence des dents postérieures provoquent une dépression au niveau des joues, ce qui la vieillit. Qu'en pensez vous ?


J'ai une panoramique mais je l'ai foirée :s


Elle a eu un traitement ortho effectivement.


paradoxe

06/03/2012 à 18h55

.


Gbazylo1 fvg1vg - Eugenol
Aron

07/03/2012 à 10h34

guttapercha écrivait:
---------------------


> J'ai aussi l'impression que l'absence des dents postérieures provoquent une
> dépression au niveau des joues, ce qui la vieillit. Qu'en pensez vous ?

En effet, bonne idée.

> Elle a eu un traitement ortho effectivement.

grrmmbll... encore un excellent confrère.


F e01w igu3rl - Eugenol
roumette

07/03/2012 à 13h13

Aron écrivait:

grrmmbll... encore un excellent confrère.

Ce n'est pas sympa de juger ainsi l'ortho qui a du composer avec 13 agénésies si je ne m'abuse (dont 4 dds , et 75/85 encore en place toutefois), et sans doute les possibilités financières des parents à l'époque, ainsi que leur volonté, leurs peurs, la disponibilité d'un bon chir orthognatique, que sais-je...

Maintenant, la patiente à 33 ans, je suppose qu'on peut lui proposer chir ortho et tout ce qui s'en suit, genre bouffer à la paille pendant des lustres, ortho et implanto et tout le bazar, mais c'est lourd, et je suppose qu'elle a aussi une vie familiale professionnelle, un budget... que peut-ELLE faire???

Idéalement, il faudrait recréer un espace pour des prémolaires max, mais est-ce possible dans le volume osseux résiduel? Je ne suis pas ortho.

Perso, je proposerai de faire une solution de compromis plus light, avec génioplastie, rhinoplastie pour tricher et "décreuser" le profil, prévoir des implants en "7" en bas (et les pseudo-6 quand elles tomberont... plus tard), et revoir le secteur antérieur ( c'est quoi ces cacas composites sur 12, 11 et 21?)avec juste peut être un éclaircissement, pour un effet trompe-l'oeuil.




Images eb1m5g - Eugenol
tonio

07/03/2012 à 14h35

Aron écrivait:
--------------
> A vue de nez, je dirais qu'il y a une retroalvéolie maxillaire importante. Et je
> crois qu'en réalité c'est ça qui n'est pas joli.
>
> Donc étude ODF voire chir ortho avant de faire du bricolo cosméto esthetique.

bien d'accord avec toi.

Avant de tailler ses dents de façon irréversible, il serait quand même plus sage de peaufiner l'orthodontie?
Puis mettre 2 clous en 37+47 pour caler l'occlusion de 17+47, puis éclaircissement et l'adresser à un psy (certainement un mal-être intérieur, un complexe caché) pour un bilan.

Si ça ne suffit pas, il sera toujours le temps d'envisager des facettes par la suite.

Be careful tout de même au protoype de patiente jamais contente du résultat.


Gbazylo1 fvg1vg - Eugenol
Aron

07/03/2012 à 15h27

roumette écrivait:
------------------

> Ce n'est pas sympa de juger ainsi l'ortho qui a du composer avec 13 agénésies si
> je ne m'abuse (dont 4 dds , et 75/85 encore en place toutefois), et sans doute
> les possibilités financières des parents à l'époque, ainsi que leur volonté,
> leurs peurs, la disponibilité d'un bon chir orthognatique, que sais-je...

Non mais ok, et en plus je t'avoue que je suis une bite en odf.
Mais bon, le résultat du profil est éloquent: Quelles qu'aient pu être les raisons, l'abstention thérapeutique si les conditions d'un bon traitement ne sont pas réunies est aussi une solution, ne crois tu pas? Je n'ai pas entendu parler d'un praticien sur qui on aurait braqué un flingue pour qu'il traite...

On a déjà l'obligation souvent mensongère d'être confraternel avec des gens qu'on connaît et qu'on sait être des traitants dangereux, mais là je ne sais même pas de qui je parle, personne ne le sait et pas le patient en premier lieu. Flûte à la fin, au milieu il y a des patients, et certains ont été bien ratés!

J'ajoute qu'en retour, j'accepterais les critiques qui pourraient être émises à mon encontre si je les méritais.

Au contraire, ce sont les échecs qui nous apprennent le plus, encore faut-il avoir l'humilité de les appeler ainsi.



> Perso, je proposerai de faire une solution de compromis plus light, avec
> génioplastie, rhinoplastie pour tricher et "décreuser" le profil, (...) pour un effet trompe-l'oeuil.

Chacun son truc. Je pense, sans étude plus poussée, que ce traitement à base -quand même!- de rhinoplastie et génioplastie, entre autres, tout ça pour un effet trompe-l'oeil, c'est du compromis avec ses défauts en terme de résultat, en y ajoutant les défauts d'un traitement plutôt lourd. A la patiente de décider.


Blocperso talon jer3sl - Eugenol
mrquentin

08/03/2012 à 11h07

perso, ca me fait un peu alluciner la sévérité de vos propositions; d'après la seule photo, je ne dirais pas que la patiente ait un menton vraiiiiiiment en galoche, elle vient juste pour une petite (je maintiens) demande esthétique, pas pour un extreme makeover acec psychanalyse à la clef (qui a dit qu'elle nétait pas bien? elle a le droit que pas etre satisfaite de son sourire sans etre depressive!) et vous lui proposez chir ortho, odf, avec parfois génio plastie et rhinoplastie et vous dites que des petites facettes c'est irrémédiable.... c'est irrémédiable, mais bien faites, c'est les restaurations les plus sûres de la dentisterie... surtout que vue la palatoversion des incisives, y'aura pas trop à fraiser! Le diagnostic de rétroalvéolie (comment? moi je penche vers une liguoversion des insc, c'est tout) vous fait remettre en cause tout le tt odf d'un confrère qui, je pense aussi, n'a pas eu une situation idéale pour traiter...je pense qu'on a déjà pas mal eu d'interventions d'odf sur eugénol, quand on pensait à mettre des 8 à la place des 7, qui disaient que c'était loin d'etre aussi facile que ca, mais là, c'est encore plus difficile! Je pense que meme avec de la chir, le résultat ne sera pas génial, perso, je ne suis pas sûr que l'esthétique d'un maxillaire normopositionné avec des dents normoversées et des molaires à la place des premieres prémo soit top top, mais bon

céramik, as tu des cas de facettes sur molaire, ca m'interesse bcp, est ce que l'occlusion cuspide cuspide de 16 et 46 n'est pas une contre indication, car la cuspide palatine n'a pas l'air en occlusion? est-ce que tu englobes toute la cuspide vestibulaire ou tu fait qu'une pellicule vestibulaire en t'attangeant pour que l'occlusion ne soit pas néfaste pour la facette? concernant 26, à vue de nez, que penserais tu de ne mettre la facette que sur la cuspide mv, ou c'est trop faible? je crois qu'oliver noah avait publié un cas qui m'avait bcp impressionné de facette 3/4 sur une canine chez un top modèle, c'est faisable dans le cas des molaires?


Gbazylo1 fvg1vg - Eugenol
Aron

08/03/2012 à 20h32

Perso, ça me fait un peu halluciner que tu ne te rendes pas compte que des facettes vont juste lui prendre du pognon, pas lui redonner la visibilité de ses incisives, sauf à lui faire des ratiches de 2cm, et ce sera fragile et horrible. Ce qui lui manque (on a confirmé que le profil est concave) c'est une croissance antérieure et je pense vers le bas du maxillaire, elles sont très bien (quoiqu'un peu jaunes sur la photo), ses incisives!

Pourquoi donc vouloir lui proposer d'emblée un traitement qui ne serait pas le ttt idéal, mais plutôt du maquillage?


Bebe 038 nf8eum - Eugenol
danteyeah

08/03/2012 à 22h31

Mr Quentin,
c'est pas totalement dans notre champ de compétence mais un petit tour chez les maxillo te permettrait peut être de plus facilement comprendre les défauts de ce sourire: premier module du D.U. d'esthétique du sourire de Strasbourg, cela dit en passant. Le maxillaire manque de développement, et il n'y a pas de palatoversion des incisives sup. ici, une réalisation de facettes sans préparation ici risquerait de plus d'être iatrogène pour le support paro (sur contour). Je sais la chir ortho ça fait peur, mais c'est pourtant une indication qui semble juste dans ce cas: un mix assez improbable de "long face" (mandibule) et "short face" (maxillaire). Y a rien d'hallucinant la dedans.


Blocperso talon jer3sl - Eugenol
mrquentin

09/03/2012 à 19h41

bon.... si tout le monde semble d'accord .... moi je trouve ca un peu excessif pour un visage qui a l'air agréable, mais si vous dites que cette solution est completement du bricolage... sûrement.


arracheuse

10/03/2012 à 21h58

De ma petite expérience d'étudiante et vis à vis de ce que l'on nous a appris en cours, pourquoi ne pas envisager une reconstruction tout d'abord fonctionnelle: bridge sur dents vivantes au niveau du bloc incisivo-canin+1ère prémo en allogeant la hauteur des dents et en les vestibulant legerement ce qui permettrait de retrouver un guide antérieur fonctionnel. Ensuite on pourrait améliorer esthétique en jouant sur une teinte beaucoup plus claire ( ce qui releverait son sourire). On ne verrait donc plus les dents mandibulaires quand elle sourit... Avec pose d'implants en postérieur. Tout ca bien sur apres passage en paro! Ce n'est qu'une suggestion mais peut etre une alternative à de la chir ou ortho... Qu'en pensez vous?


Bebe 038 nf8eum - Eugenol
danteyeah

11/03/2012 à 01h18

arracheuse écrivait:
--------------------
> De ma petite expérience d'étudiante et vis à vis de ce que l'on nous a appris en
> cours, pourquoi ne pas envisager une reconstruction tout d'abord fonctionnelle:
> bridge sur dents vivantes au niveau du bloc incisivo-canin+1ère prémo

??? qu'entends tu par fonctionnel...la patiente te sembles avoir des problèmes masticatoire, c'est probable vu le peu de dents en occlusion mais ce problème n'a pourtant pas était relevé, pas de doléances à ce niveau apparemment.
Qu'entends tu par bridge???? Y'aurait des dents intercalaires manquantes que l'on pourrait remplacer par un bridge quelque part? ou bien envisages tu de solidariser les dents ensemble juste pour ton bon plaisir?? mais dans quel but??


>en allogeant la hauteur des dents et en les vestibulant legerement ce qui
> permettrait de retrouver un guide antérieur fonctionnel.

La encore, on ne sait pas si l'occlusion actuelle est correct ou pas, donc vestibuler et allonger des incisive au pif pourrait se transformer en trouble articulaire et pathologie parodontale par sur contour et surcharge occlusale.

Ensuite on pourrait
> améliorer esthétique en jouant sur une teinte beaucoup plus claire ( ce qui
> releverait son sourire). On ne verrait donc plus les dents mandibulaires quand
> elle sourit...

Ben on ne les voit déjà pas trop les incisives inférieures.

Faut arrêter!!!! Soit on y va à fond et c'est chir ortho à la clé, soit on fait light: on vire les compos jaune tout moche, puis un bon éclaircissement devrait redonner du peps au sourire ( éventuellement, 2 ou 3 chips composite si harmonie de forme à envisager).
Mais tailler de la dent pour la couronner, et pire vouloir les solidariser, n'est pas un service à rendre à cette patiente!

Avec pose d'implants en postérieur. Tout ca bien sur apres
> passage en paro! Ce n'est qu'une suggestion mais peut etre une alternative à de
> la chir ou ortho... Qu'en pensez vous?

Rien de bon, voilà!


flicflac

11/03/2012 à 05h12

polir esthétiques moches 12-11-21,un traitement de blanchiment et refaire les esthétiques mochent 12-11-21... et quelques bonnes jokes pour la faire sourire.
Y-a-t-il unephoto avec sourire?


guttapercha

11/03/2012 à 07h17

Danteyeah a bien résumé je pense :

Solution light : refaire les compos. Effectivement c'est le minimum.

Solution hard : chir et odf. Je ne sais pas si elle est prête à se lancer là-dedans. Quoiqu'il en soit j'ai bien l'impression que sans chir et ou odf on aura du mal à avoir un résultat satisfaisant...


guttapercha

12/03/2012 à 16h10

Flicflac oui j'ai posté une photo de son sourire... un peu crispé mais c'est pas facile.