Cookie Consent byPrivacyPolicies.comKézako - Eugenol
Images cu89bm - Eugenol
Tizott

09/03/2012 à 11h56

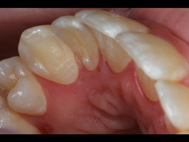
Patient 17 ans. Traitement ortho terminé. Il a présenté il y a environ 4 mois une ulcération symétrique en palatin de 15 et 25.Ces ulcérations sont asymptomatiques. Le patient ne s'en plaint pas. Aucune gêne ni douleurs.Cicatrisent naturellement et réapparaissent.
De retour ce matin, adressé par l'ortho car début d’ulcération nouvelle, tjrs symétrique en palatin de 12-13 et 21-23.
Le plus inquiétant c'est la récession gingivale. Pas de mobilité pour le moment. Hygiène correcte.
Kézako ?

Img 0238 640x480 nn4vnm - Eugenol
Img 0232 640x480 egsdmv - Eugenol
Img 0233 640x480 zguagm - Eugenol
Img 0234 640x480 xq8drh - Eugenol
Img 0235 640x480 lg2lft - Eugenol
Img 0236 640x480 evixg6 - Eugenol
Img 0237 640x480 dhiqke - Eugenol

dr.demolay

09/03/2012 à 12h11

as tu une photo du palais dans son ensemble? le patient as t il des épisodes anémiques ?
comorbidité ?
habitudes nocives ?


Img 3657 cwjvqm - Eugenol
alapex

09/03/2012 à 12h19

Prends donc des radios , tu as peut-être une rhizalyse externe .


Images cu89bm - Eugenol
Tizott

09/03/2012 à 12h23

Je n'ai pas fait de photos du palais dans son ensemble car la muqueuese est saine par ailleurs.
Patient non fumeur.
comorbidité , je ne vois pas ce que c'est.


flyer.

09/03/2012 à 12h29

ton patient a-t-il porté un Quad-LX?


Images cu89bm - Eugenol
Tizott

09/03/2012 à 12h49

Pour le quad LX, je ne sais pas.

Ce qui nous interpelle l'ortho et moi c'est cette survenue symétrique sur un terrain bucco-gingival apparement sain.
Il doit surement y avoir une origine physiologique générale.
En tant que paro, avez-vous rencontré des cas similaires ?
Quel traitement adopter dans ce cas ?


Images cu89bm - Eugenol
Tizott

09/03/2012 à 12h51

alapex écrivait:
----------------
> Prends donc des radios , tu as peut-être une rhizalyse externe .

Radios => Ras


Img 3657 cwjvqm - Eugenol
alapex

09/03/2012 à 14h15

Le ttt ortho a peut-être été un peu rapide sur ces 2 dents ...


Canin

09/03/2012 à 15h13

petite séquelle du ortho agravée par une auto-lésion car le jeune doit sentir quelquechose de différent.

c'est de la pathomimie à première vue.

--
Canin