Cookie Consent byPrivacyPolicies.comcomplication du matin... - Eugenol

complication du matin...

Humator t9r5wy - Eugenol
humator

09/03/2012 à 12h53

ouf! je viens de finir une pose d'implant et rog, mais un bon coup de stress m'a bien enquiquiné 60 minutes de+!
je me suis rappelé d'un ancien post de growler, et j'ai réussi à resortir l'intru!
je ne vous souhaite pas cette situation!

--
N.Hum

Oups  uflamw - Eugenol
Oupsoups  nhps1a - Eugenol

Fouilla h6plsy - Eugenol
fouilla

09/03/2012 à 14h01


sniffé de l'anthogyr le matin pffff tes patients sont space quand même.

reouf pour toi


--
.


Avatar ow44t3 - Eugenol
Chicot

09/03/2012 à 14h06

tu as fait un petit accès latéral + aspi ?


--
;O)


Humator t9r5wy - Eugenol
humator

09/03/2012 à 14h46

oui, c'est ça: fenêtre latérale et recherche. Mais entre la pano et le retour au fauteuil, je le trouvais plus! d’où la 2eme radio: il avait roulé au fond. du coup, j'ai mis la patiente assise, lui ai fait bouger la tête par quelques petits mouvement bref, ce qui l'a fait se replacer dans le bas fond. avec l'aspi, j'ai pu le ramener et l'attraper.
je brillais pas! (j'ai quand même fini le bas)
ça m'apprendra à vouloir poser dans de la soupe!
la prochaine fois: ostéotension à 45j

--
N.Hum


003 penrd2 - Eugenol
Cingulum

09/03/2012 à 14h59

SUPER POST ! ça donne à relativiser...
j'ai failli un glisser un comme ça...
et effectivement après pour le retrouver bonbon...
je pense que j'aurais été tellement vidé, que j'aurais pas fait le bas
bravo et merci ça permet de mieux réagir le jour ou ça nous arrivera... car ça n'arrive qu'aux autres, c'est connu..



--
Dr Cingulum
-----Ancien interné----
----Attaché à l'apex----
http://www.clinic-all.fr/ formation par passion


Avatar ow44t3 - Eugenol
Chicot

09/03/2012 à 15h11

humator écrivait:
-----------------
> j'ai pu le ramener et l'attraper.
> je brillais pas! (j'ai quand même fini le bas)
>

c'est le même que tu as mis en bas ou tu n'as pas poussé le vice aussi loin ?????

--
;O)


Humator t9r5wy - Eugenol
humator

09/03/2012 à 15h23

non, j'ai fini le bas avant d'aller à la peche!
effectivement, je ne pensais pas que ça m'arriverai un jour.
pour situer le danger:
j'ai posé un PX, donc pour os peu dense, en sous forant ++.
il est rentré comme de rien. Je retire le préhenseur d'implant, en maintenant le bord de l'implant avec mon decolleur (j'avais peur qu'il ressorte).
je décide alors de tester la stab primaire avec ma sonde paro, très doucement et...trop tard il a filé direct!
Ça faisait un moment que j'avais un excès de confiance, ça m'a bien remis les pieds sur terre!
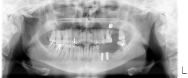
Si effectivement ça peut vous servir, méfiez vous des zones sous sinusienne avec os peu dense et cortical du sinus peu visible: cf pano jointe.
ps: je n’arrêterai pas l'implanto tout de même!

--
N.Hum

Cas init wdncw2 - Eugenol

Fouilla h6plsy - Eugenol
fouilla

09/03/2012 à 16h19

tu t'en es très bien tiré mais ton patient a très pue de chance lorsque l'on regarde la pano on s'aperçoit que même le canal a aspiré la pâte de traitement .

il est clair que l'on doit rester humble et que malheureusement il faut faire face à certaines situations ...délicates parfois . sinon puisque tu parles du px tu en as déja mis un peu beaucoup ?

je te rajoute une question sur le PX en rapport avec utilisation en juxtasinusien : sa forme au col me l'aurait plutôt fait écarter dans cette indication qu'en penses tu ? en toute honnêteté pas dans ton cas montré compte tenu de la hauteur disponible .
--
.


01 ukhwbq - Eugenol
ʎqqoq

09/03/2012 à 16h52

Chicot écrivait:
----------------

> c'est le même que tu as mis en bas ou tu n'as pas poussé le vice aussi loin
> ?????
>
> --
> ;O)

Poussé la vis aussi loin ^^

T'as drôlement assuré pour le retirer, comme quoi, en chir, faut avoir une grosse marge de manœuvre au niveau technique quand ça m.... pour s'en tirer.


Humator t9r5wy - Eugenol
humator

09/03/2012 à 17h06

Je t'assure que quand c'est arrivé, j'ai du lutter contre la montée d'adrénaline qui m'a envahie! et j'ai mis un moment (pendant toute la pose du bas) à me décider si je me lançais ou si je bottais en touche chez l'ORL...
Au final, très satisfait d'avoir pu me démerder!

pour les PX, ma foufouille, ça aurai été mon 1er!

--
N.Hum


Fouilla h6plsy - Eugenol
fouilla

09/03/2012 à 17h09

humator écrivait:
-
>
> pour les PX, ma foufouille, ça aurai été mon 1er!
>
> --
> N.Hum
j'ai repris le post plus haut sur l'indication du px qu'en penses tu ? par ailleurs tu as acheté tous le forêts ou grands seigneurs ils te les ont prêté ou donné ?


--
.


Petitours

09/03/2012 à 19h39

si je vous comprend bien, la raison essentielle du gag serait la forme de l'implant? oui je sais que os tendre et pas de corticale sous sinusienne donc risque important.
Mais ma question est plutôt de savoir si le risque aurait été le même avec un autre implant?


S2y2o1v7q53ws4r5wy6ou8czrpom - Eugenol
pxav

09/03/2012 à 20h22

je vois mal sur le pano, mais en plus de la qualité de l'os, il me semble que la hauteur est très faible.
Le Px sauf erreur de ma part favorise l’accroche apicale, donc pour un sinus?
Prends ces remarques comme une simple réflexion, surtout pas comme une critique.
En dehors de ça félicitations pour le rattrapage, j'ai eu l'occasion de faire de même sur un anthofit migrateur (excès de confiance de ma par: flapless avec erreur d'axe)et je me souviens de cette poussée d’adrénaline...sympathique.
Les boules quoi:-))
--
xbk
"Si tous ceux qui croient avoir raison n'avaient pas tort, la vérité ne serait pas loin" Dac Pierre


Canin

09/03/2012 à 22h37

moi j'ai un truc infaillible contre ce genre de complications, je ne pose que des implants à la mandibule ;-)

--
Canin


Avatar ow44t3 - Eugenol
Chicot

10/03/2012 à 00h22

Canin écrivait:
---------------
> moi j'ai un truc infaillible contre ce genre de complications, je ne pose que
> des implants à la mandibule ;-)
>
> --
> Canin

Ha ha ha !

Plus sérieux je privilégie les implants coniques en zone sous sinusiennes:

Tapered de Nobel ( oui je sais nul n'est parfait)
EVL K de Serf ( ouf j'ai aussi un 'petit' système ....)

--
;O)


Humator t9r5wy - Eugenol
humator

10/03/2012 à 10h53

en general en sous sinus, j'aime bien le conico-cylindrique, le master C easy implant(style astra), ça grip bien en crestal, et limite ce genre d'ennuis.
pour pxav, tu as raison, en utilisant le px, je me suis focalisé sur l'aspect "os peu dense", et oublié un peu le reste...
pour fouilla: juste un implant en essai et pas de "package"


--
N.Hum


Canin

10/03/2012 à 12h43

Chicot écrivait:
----------------
> Canin écrivait:
> ---------------
> > moi j'ai un truc infaillible contre ce genre de complications, je ne pose que
> > des implants à la mandibule ;-)
> >
> > --
> > Canin
>
> Ha ha ha !
>
> Plus sérieux je privilégie les implants coniques en zone sous sinusiennes:

en fait je privilégie le secteur 40 car je suis droitier, à gauche ça me fatigue


--
Canin


flicflac

10/03/2012 à 13h44

et la complication de l'après-midi
lol
bravo belle récupération


Avatar ow44t3 - Eugenol
Chicot

10/03/2012 à 15h26

Canin écrivait:
---------------
> Chicot écrivait:
> ----------------
> > Canin écrivait:
> > ---------------
> > > moi j'ai un truc infaillible contre ce genre de complications, je ne pose
> que
> > > des implants à la mandibule ;-)
> > >
> > > --
> > > Canin
> >
> > Ha ha ha !
> >
> > Plus sérieux je privilégie les implants coniques en zone sous sinusiennes:
>
> en fait je privilégie le secteur 40 car je suis droitier, à gauche ça me fatigue
>
>
> --
> Canin

+1 !!!!!

Je cherche un gaucher ou une gauchère en vue d'association pour chirurgie implantaire voir plus si affinités !!!!

--
;O)


Humator t9r5wy - Eugenol
humator

10/03/2012 à 16h14

chicot, je suis ton homme! j'suis gaucher!

--
N.Hum


Smile beach jgh0a1 - Eugenol
Céramik

11/03/2012 à 01h29

Ouais, beau rattrapage !

J'aurais fait un Sa-3 pré-op, et non un Sa-2 plus pose simultanée, je suis timide...



--
Céramik


Humator t9r5wy - Eugenol
humator

11/03/2012 à 09h19

Céramik écrivait:
-----------------
> Ouais, beau rattrapage !
>
> J'aurais fait un Sa-3 pré-op, et non un Sa-2 plus pose simultanée, je suis
> timide...

et raisonnable! (l’expérience de l'age! ;-) )
il faut apprendre à être - gourmand et pressé.