Cookie Consent byPrivacyPolicies.coméventail - Eugenol

éventail

Spicule

09/03/2012 à 18h57

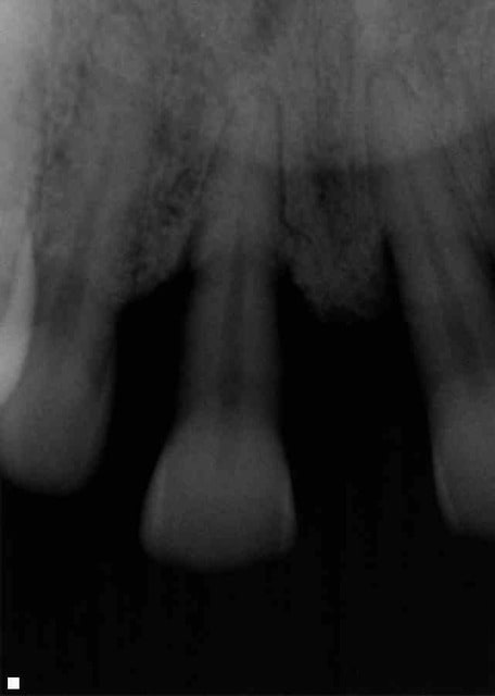
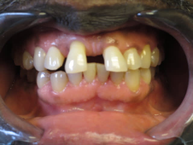
- Patient 53 ans, non fumeur, bonne santé générale.
- Consulte pour 11 "légèrement mobile et qui vient toucher sa lèvre inférieure".
- dent surfaçée il y 5 ans (d'après lui).
- Reste de la bouche plutôt sain, quelques soins, pas de prothèse, pas de dents manquantes.
- grosses usure amélaire sur les molaires (type ruminant!)

Comment gérez-vous ce genre de cas ? je ne sais pas par où commencer...
y'en a qui implante
y'en a qui ingresse
y'en a qui regarde
...

Merci pour vos conseils !
s.

C1 gbohfw - Eugenol
Img 0695 htdb12 - Eugenol
Img 0694 jdzh18 - Eugenol

Avatar 46 aoi1yc - Eugenol
HononLulu

09/03/2012 à 22h25

Et la pano ??


dr rourou

09/03/2012 à 22h38

la mobilité est probablement d'origine parodontale.
il faut faire des séances de soins parodontaux, afin de stabiliser la mobilité. en cas de persistance de la mobilité, il faut faire une contention.


qbriance

11/03/2012 à 02h12

ca sent la parodontite agressive.
les molaires sont touchées elles aussi?
visiblement peu de plaque et de tartre, et le patient s'est rendu compte de la progression de la maladie parodontale, ce qui veut dire que c'est assez rapide. Il faudrait quand meme la pano et un charting pour confirmer le diagnostic.
Dc ttt d'une parodontite agressive. ATB prescription hygiene surfacage, et une fois stabilisé on voit


Spicule

13/03/2012 à 10h34

Merci pour ces premiers éléments, la pano arrive.

s.