Cookie Consent byPrivacyPolicies.comechecs TEKKA - Eugenol

echecs TEKKA

Mario ycg44a - Eugenol
Mario180

16/03/2012 à 10h25

Allez allez un peu de sérieux : le risque zéro n'existe pas.
Tu ne pourra jamais savoir quelle modification est apportée sur la chaîne, quel élément de la gamme est sous-traité, ... La politique industrielle est incontrôlable par nous dans tous ses maillons.
En outre, je ne peux pas croire pas que les implants soient testés avec mini 3 ans de recul après mise en charge avant commercialisation.

Séquence historique : Je vais jouer le jeu et présenter les 5 échecs que j'ai rencontrés depuis 18 mois et mes 84 premiers implants. Je n'ai posé que du Tekka dans mon cab. J'ai commencé par le Krestal, mais il cratérisait, et donc très vite on a changé : heureusement que l'Inkone était sorti, sinon c'était déjà fini pour Tekka.

Je vous présenterais mon premier cas en arrivant au cab dans 1/2 heure.


Mario ycg44a - Eugenol
Mario180

16/03/2012 à 10h29

En attendant, un petit tuto :

Comment fabriquer un cratère avec un Inkone :
- Posez un implant en juxta-crestal ou en léger infra (environ 1 mm maxi)
- Mettez une vis de cicat de hauteur 1,5 et de diamètre 6,5 pour faire une belle molaire.
- Réservez
- Otez la vis à 3 mois et regardez comment la "gencive" à l'air toute bouffie dessous
- Faites une rx de contrôle : c'est prêt. Vous aviez légerement enfoui, et vous avez encore perdu de la hauteur.

Ben en fait cette vis n'a pas d'autre indication que le traumatisme de la muqueuse péri-implantaire.


Logo m4n3gc - Eugenol
drmarcus

16/03/2012 à 10h33

@ Mario:

Je dis simplement que celà n'est pas arrivé depuis sa commercialisation en France et je suis bien placé pour le savoir.
Je pense en fait qu'ils ont au moins 2 ans de mise en charge avant d'arriver sur le marché Français; il suffit de lire leur "Exacone News" et de regarder les dates sur les RX et la date de commercialisation en France.

Je peux te dire une chose: le confère avec qui je partage l'aventure Leone a un fils qui se sort des galères décrites dans ce post en piquant les Leone de son père MDR!

Maintenant je ne suis pas devin et je jurerai pas que ça ne pourrait jamais se produire.

--
"La vis est à l'implant ce que la carie est à la dent!" (Pozzi)


Mario ycg44a - Eugenol
Mario180

16/03/2012 à 12h18

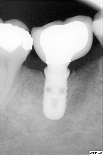
Alors voilà le premier cas :
EII sur 24 du 16/09/10
Obtention d'une stabilité primaire, mais plutôt fragile.

Temporisation par bridge Maryland collé sur une couronne métal en distal, ce qui a été la cause de multiple descellements, et possible traumatismes de l'implant via sa vis de cicat.

Manifestement une autre cause possible est la présence d'une infection maousse en dans le site le jour de la pose...

Qui dit la faute à Tekka ?

Cicat 45j g7zmtp - Eugenol
Pr op g59kd5 - Eugenol
Re pose arvit6 - Eugenol
Postop1 yg5oyl - Eugenol
3 mois peprau - Eugenol
Second temps chir ao5oqz - Eugenol

Logo m4n3gc - Eugenol
drmarcus

16/03/2012 à 13h22

Un "vieux cas" LEONE qui se passe bien malgré des conditions de départ et de chirurgie pas au mieux! 4 ans déjà et aspect sympa très stable dans le temps. une de mes extractions implantation immédiate en site "pas idéal".La chronologie en rx.

--
"La vis est à l'implant ce que la carie est à la dent!" (Pozzi)

Janvier 2008 vzunxr - Eugenol
Octobre 2008 ehmsfj - Eugenol
Mars 2008 jt5qx2 - Eugenol
Novembre 2011 ane4ar - Eugenol

Mario ycg44a - Eugenol
Mario180

16/03/2012 à 13h38

D'accord d'accord, je sais que ça peut marcher, mais comme on me dit que mon taux d'échec est élevé, les publie pour qu'on me dise si c'est la faute au système ou mon taux de testostérone.

Mais j'en ai mis un ici qui pour l'instant marche :
http://www.eugenol.com/sujets/396243-eii-ou-temporisation?page=3#post_612583


Mario ycg44a - Eugenol
Mario180

16/03/2012 à 13h44

Allez mon deuxième échec est aussi en EII sur une 24 (grrr), et peut-être dû à Tekka.
Pour leur laisser le bénéfice du doute, la patiente me dit le jour du rdv des 3 mois :
"C'est bizarre, pourtant je l'ai remué avec le doigt très régulièrement et il m'a jamais fait pas mal"

Bref.

Tant mieux, j'avais mis un implant de petit joueur...

Post op blar2a - Eugenol
Fin ttt zwvovr - Eugenol
Preop o1subd - Eugenol

Mario ycg44a - Eugenol
Mario180

16/03/2012 à 14h03

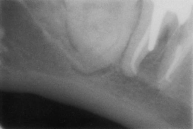
Bon mon numéro 3 est plus énigmatique.

Patient 37 ans, pas de souci médical, perf de racine distale de 47 par tenon radiculaire...

- Extraction le 5/05/10
- Alvéolite suppurée, traitement par mèches eugenol
- à j+7, mise en place d'ALVOGYL, car le patient part en vacances

- à 2 mois : je vais pour clouter, le site est toujours plein de fibres d'alvogyl non résorbée...
Bref, je pleure et referme.

- à 6 mois : implantation d'un inkone 5.5/8.5

- période d'ostéointégration : du 30/11 au 30/03 (prudent)
-> fibrointégration

- dépose illico et re-pose à 6 semaines, ça roule aujourd'hui.

Bon, honnêtement, je trouve que je l'avais mal posé, il était pas assez enfoui, et j'avais laissé des remparts osseux trop fins...

Mais bon, on ne peux exclure de me dédouaner en accusant un état de surface, c'est gentil de votre part si vous y penser.

4 mois cicat aeypek - Eugenol
Preop xzbkyt - Eugenol
Postop snyv55 - Eugenol

Mario ycg44a - Eugenol
Mario180

16/03/2012 à 14h15

Echec n°4 :

Pose de 2 implants
Comblement sinusien par voie latéral
Pose d'un 3ème inkone sous sinusien

Bon je crois qu'on peut admettre que j'ai forcé le destin.
Mon site de forage était trop rapproché de ma fenêtre latérale: j'ai fracturé la corticale vestibulaire entre les deux...

Bon comme la stabilité primaire était mauvaise, mais existante, j'ai tenté de laisser faire, et l'implant pas assez enfoui du tout, a été déposé.

Et cerise sur le gateau :
Dépose des sutures : la membrane collagène sur ledit site est exposée, le lambeau s'est rétracté car il a nécrosé sur son versant palatin : - You lose -

Manque de stabilité primaire ou état de surface foireux ?

Ca me fait un peu drôle de raconter mes pires conneries, mais c'est le jeu...


Mario ycg44a - Eugenol
Mario180

16/03/2012 à 14h18

Echec n°5

Implantation différée de 2 mois dans un site 47.

Rien à signaler sur ce cas, j'ai toujours pas compris ce qui s'est passé, mais j'ai diagnostiqué la fibrointégration ce lundi. Dépité, pas compris...

Ah si ! c'est la faute à Tekka !

C'est vrai que ça soulage...


Mario ycg44a - Eugenol
Mario180

16/03/2012 à 14h23

Bilan : 84 implants, 5 échecs = env 6% d'échecs.

Je pense que j'aurais pu facilement m'en épargner 3 en calmant ma joie de jeunot.


Photo pluton1b h9n4ea - Eugenol
pluton

16/03/2012 à 14h24

tiens mario, un petit souvenir...comme quoi on peut poser en EII avec aussi une MCI même si les sites sont infectés(et plutôt bien pour la 24)...
si curetage soigneux et bétadine verte...y a pas de raisons...

http://www.eugenol.com/sujets/391949-1ere-eii-avec-une-mci-sur-implants-superline

sincèrement tes cas me rappellent ceux de mes confrères qui posaient du tekka...des fibrointégrations pas vraiment explicables, des cratérisations, etc...et ce depuis la forme "universal" comme je te l'ai déjà dit...
certains d'ailleurs géraient les reprises en posant de "simples" progress qui ne semblaient pas affectés par cet étrange phénomène...avant qu'ils ne modifient à son tour son design pour le rendre compatible avec la trousse universal...

plus que de l'état de surface, je suis plus certain de l'influence du design général de l'implant qui doit mal distribuer les contraintes à l'os lors de l'insertion...
sinon, lisse ou quelque soit sa rugosité, çà devrait marcher...à moins d'un pépin de stérilité...et ce d'autant que tes chirs me semblent plutôt bien conduites...y a pas vraiment de raisons que tu aies 3 à 4 fois plus d'échecs...


Logo m4n3gc - Eugenol
drmarcus

16/03/2012 à 14h24

Arretes de te faire du mal Mario! Ce n'est pas ta testostérone! Ni réellement l'état de surface! A moins de le traiter à la salive éventuellement et encore, la nature est bonne fille. Il n'y a pas qu'une seule cause en jeu généralement mais une somme.

--
"La vis est à l'implant ce que la carie est à la dent!" (Pozzi)


Mario ycg44a - Eugenol
Mario180

16/03/2012 à 14h39

pluton écrivait:
----------------

> sincèrement tes cas me rappellent ceux de mes confrères qui posaient du
> tekka...des fibrointégrations pas vraiment explicables, des cratérisations,

le ou lesquels ?

>...avant qu'ils ne modifient à
> son tour son design pour le rendre compatible avec la trousse universal...

Ca n'est pas encore fait, et rien ne le prédit.

> plus que de l'état de surface, je suis plus certain de l'influence du design
> général de l'implant qui doit mal distribuer les contraintes à l'os lors de
> l'insertion...

Oui, c'est pourquoi il faut faire gaffe dans les os denses, car le filet condense à mort.

> conduites...y a pas vraiment de raisons que tu aies 3 à 4 fois plus d'échecs...

Donc tu dis que celui qui a plus de 2%, c'est qu'il a pas le bon implant ?


Mario ycg44a - Eugenol
Mario180

16/03/2012 à 14h42

drmarcus écrivait:
------------------
> Arretes de te faire du mal Mario!

;)

Au contraire, ça fait toujours du bien à tout le monde de jouer carte sur table.

Me concernant, je vais continuer à faire comme je fais en tâchant de surveiller ma courbe de progression.

Nous aurons forcément l'occasion d'en reparler une nième fois...


Logo m4n3gc - Eugenol
drmarcus

16/03/2012 à 15h04

Mario180 écrivait:
------------------
> pluton écrivait:
> ----------------

> Donc tu dis que celui qui a plus de 2%, c'est qu'il a pas le bon implant ?

Non il ne faut pas dire ça comme celà! Ce n'est pas juste! Peut etre qu'on pourrait dire que ce n'est pas un implant pour une telle situation clinique; en résumé que l'implant n'est pas suffisamment exhautif.
Les nombreux post sur nonol le prouve, quand on ouvre nous n'avons pas toujours ce à quoi on pouvait s'attendre.


--
"La vis est à l'implant ce que la carie est à la dent!" (Pozzi)


Photo pluton1b h9n4ea - Eugenol
pluton

16/03/2012 à 15h12

Mario180 écrivait:
------------------

> le ou lesquels ?
2 confrères de mon secteur + 2 potes de promo

>
> >...avant qu'ils ne modifient à
> > son tour son design pour le rendre compatible avec la trousse universal...
>
> Ca n'est pas encore fait, et rien ne le prédit.

ah, je pensais qu'ils l'avaient modifié pour...y a pas eu une évolution du filetage sur le progress?

>
> > plus que de l'état de surface, je suis plus certain de l'influence du design
> > général de l'implant qui doit mal distribuer les contraintes à l'os lors de
> > l'insertion...
>
> Oui, c'est pourquoi il faut faire gaffe dans les os denses, car le filet
> condense à mort.
>
probablement trop...

> > conduites...y a pas vraiment de raisons que tu aies 3 à 4 fois plus
> d'échecs...
>
> Donc tu dis que celui qui a plus de 2%, c'est qu'il a pas le bon implant ?

je dis juste que 99% des marques avancent des taux d'échec de cet ordre...que pour les implants que j'utilise, j'arrive à avoir des stats conformes...
et que donc si tu as plus, c'est vraisemblablement qu'il y a quelque chose...non?


Mario ycg44a - Eugenol
Mario180

16/03/2012 à 16h35

pluton écrivait:
----------------
> Mario180 écrivait:
> ------------------
>
> > le ou lesquels ?
> 2 confrères de mon secteur + 2 potes de promo
>

;)
c'est pas que j'étais méfiant concernant tes sources : je te demandais lesquels de mes cas te semblent foiré du fait de l'implant?


Photo pluton1b h9n4ea - Eugenol
pluton

16/03/2012 à 17h11

sincèrement, mis à part peut être l'EII sur le foyer infectieux où le doute peut être permis (curetage pas complet, faute à pas de bol, stab primaire trop précaire...) je dirais tous les autres...

donc 4 sur les 5...


Mario ycg44a - Eugenol
Mario180

16/03/2012 à 17h59

Merci de ton point de vue.

Pour moi, ce fil fait avancer le schmilblick sur du concret et pas des jérémiades, après si la conclusion est qu'il me faut le numéro du commercial Leone France, ça ne me pose pas de souci.


Images nv3xcf - Eugenol
au fond du canal

16/03/2012 à 19h52

Mario180 écrivait:
------------------
> En attendant, un petit tuto :
>
> Comment fabriquer un cratère avec un Inkone :
> - Posez un implant en juxta-crestal ou en léger infra (environ 1 mm maxi)
> - Mettez une vis de cicat de hauteur 1,5 et de diamètre 6,5 pour faire une belle
> molaire.
> - Réservez
> - Otez la vis à 3 mois et regardez comment la "gencive" à l'air toute bouffie
> dessous
> - Faites une rx de contrôle : c'est prêt. Vous aviez légerement enfoui, et vous
> avez encore perdu de la hauteur.
>
> Ben en fait cette vis n'a pas d'autre indication que le traumatisme de la
> muqueuse péri-implantaire.
>

Mario, merci d'avoir partagé tes échecs ce qui fait avancer tout le monde. Que préconises-tu pour le pilier de cicatrisation lorsque tu as une molaire? Tu mets seulement une vis de 5 mm de diamètre, ou de 4? Je n'ai posé pour l'instant que 5 inkone et ces vis larges me semblaient séduisantes pour le futur profil d'emmergence prothétique bien que difficiles à visser quand ton implant est bien enfoui en sous crestal.
La réponse est peut-être dans ma dernière phrase...


Mario ycg44a - Eugenol
Mario180

16/03/2012 à 20h36

En fait le problème n'existe qu'avec les vis de hauteur 1,5.

De manière générale, il faut placer l'inkone de manière à ce qu'un pilier de hauteur 3 voit son épaulement arriver à l'emplacement idéal pour faire la prothèse (disons 0,5 mm sous le collet clinique)

Si tu as foiré, et pas assez enfoui parce que tu débutes, tu prendras une vis de hauteur 1,5, et ça va aller, mais surtout tu bannis bien celles de diamètre 6,5 : préfère une de 5. En principe, si tu as un enfouissement correct, tu n'as effectivement pas de souci pour faire ta couronne.

Regardes les vidéos de Guy Maximini (Google is your best friend), il montre bien comment tu positionnes ton implant en fonction de la prothèse que tu vas faire.


Images nv3xcf - Eugenol
au fond du canal

18/03/2012 à 11h34

Thanks


Gbazylo1 fvg1vg - Eugenol
Aron

29/03/2012 à 11h37

À l'intention des eugenoliens sur Tekka:

Qui peut confirmer la rupture de stock indéfinie de Tekka sur les piliers multi-unit (histoire de savoir si ce n'est pas un cas isolé), ce qui appuierait la rumeur de plus en plus insistante selon laquelle Tekka serait en cessation de paiement de son fournisseur depuis plusieurs mois?

Merci


Mario ycg44a - Eugenol
Mario180

29/03/2012 à 12h17

Effectivement retard de livraison sur les pièces de prothèse ici aussi.

Par contre pas d'info concernant une cessation de paiement : tu as des sources (autre que le commercial 3i)?


1234...