Cookie Consent byPrivacyPolicies.comechecs TEKKA - Eugenol

echecs TEKKA

Photo pluton1b h9n4ea - Eugenol
pluton

06/04/2012 à 00h53

Mario180 écrivait:
------------------

> Je pense qu'on peut faire pareil sur du Leone, non ?
>

si tu perds 1 spire avec du leone, c'est que tu as déjà perdu plus de 3mm...
j'ai rarement eu plus de 1mm de perte sur les zimmer, ID et ce sur du moyen/long terme (mes cas remontent à environ 8 ans sur zimmer et plus de 4 ans sur ID) et encore sur quelques cas seulement où hygiène pas top et 1 périimplantite (en cours de ttm avec un implant ID sur plus de 200 posés)
pas encore vu de perte sur les dentium

le "truc" qui me fait "marrer" c'est que tout ceux que je connais et qui posent ou posaient du tekka ont eu (voir ont toujours) du mal à s'avouer avoir des problèmes avec ces implants...
mais bon si vous trouvez qu'avoir 20% de cratérisation c'est normal...gardez bien vous œillères, çà évite de se poser des questions...et de se remettre en question...


Avatar ow44t3 - Eugenol
Chicot

06/04/2012 à 01h01

64cb écrivait:
--------------
> Réponse aux inquiéts:
>
> Sur 86 implants TEKKA In-kone posés en un temps chirurgical en post
> extractionnel
>
> (immédiat ou différé à un mois) ou aprés cicatrisation osseuse compléte j'ai eu
> deux échecs
>
> immédiats ( 15 j aprés la pose des fixtures).
>
> Les autres (84) ostéo-intégrés avec parfois des cratérisations (20% des cas) de
> l'ordre de 1 mm liées certainement à un serrage trop excessif et des pressions
> impotantes au niveau de l'os cortical malgré un positionnement implantaire
> généralement sous crestal.
>
> Taux de succés implantaire : 97,7 %
> Taux de prothése toujours en place :100%
> Recul clinique sur l'InKone : 1 an et 1/2.

Tu te plantes, c'est un taux de survie que tu annonce , pas de succès car avec tes craterisations importantes tu n'es pas dans les taux de succès selon les critères d'aujourd'hui

En plus c'est sur 1 an 1/2 pour le premier et combien pour le dernier ?

Pas très scientifique tous ça .....


J'ai bien fait de décliner l'offre de visite de la commerciale......

--
;O)


Photo pluton1b h9n4ea - Eugenol
pluton

06/04/2012 à 01h22

Chicot écrivait:
----------------

> Tu te plantes, c'est un taux de survie que tu annonce , pas de succès car avec
> tes craterisations importantes tu n'es pas dans les taux de succès selon les
> critères d'aujourd'hui
>
> En plus c'est sur 1 an 1/2 pour le premier et combien pour le dernier ?
>
> Pas très scientifique tous ça .....
>
>
> J'ai bien fait de décliner l'offre de visite de la commerciale......

+1, enfin un qui sais raison garder...


Mario ycg44a - Eugenol
Mario180

06/04/2012 à 01h58

Dans l'absolu je suis d'accord avec toi, la courbe d'apprentissage est un peu longue pour l'Inkone, particulièrement pour ce qui concerne la perte osseuse cervicale. Mais il y a des causes à celà, qui sont je crois l'avoir observé en rapport avec l'opérateur et non l'implant.
Bien sûr, ceux qui ont une grande expérience en particulier du bone level ont plus de facilité pour l'éviter.

Une fois de plus, si on n'a pas une bonne maîtrise de l'implantologie ou du bone level, de l'enfouissement et/ou de la gestion de l'espace biologique ensuite, on est plus enclin à avoir de la cratérisation (situation dont je pense me sortir). Bien entendu, celà n'est plus ton cas cher Pluton depuis un certain temps, donc il t'es difficile de régresser pour le comprendre.


En fait, là où tu m'as bien cerné il faut le dire, c'est que je n'ai pas d'autre expérience sérieuse avec un autre implant, donc je m'accroche un peu à ça, mais aussi parce que j'observe que je m'approche un peu chaque jour de l'objectif que je me fixe (à savoir un taux de succès compatible avec les données acquises de la science).

Après il faut raison garder, et relativiser les chiffres et les expériences de chacun (surtout quand on ne connait pas directement) : l'implanto, c'est comme tout, c'est opérateur-dépendant, tant dans le résultat obtenu, que dans l'analyse de ce résultat.



Mario ycg44a - Eugenol
Mario180

06/04/2012 à 02h01

pluton écrivait:
----------------
> Chicot écrivait:
> ----------------
>
> > En plus c'est sur 1 an 1/2 pour le premier et combien pour le dernier ?
> >
> > Pas très scientifique tous ça .....
> >
> >
> > J'ai bien fait de décliner l'offre de visite de la commerciale......
>
> +1, enfin un qui sais raison garder...

Pas très scientifique non plus de se baser sur des post de forum ou des avis de potes pour se faire une idée.

D'autant que l'Inkone est un implant relativement jeune, et qui a évolué puisqu'il avait posé des problèmes apparemment (état de surface, design des spires cervicales)


Mario ycg44a - Eugenol
Mario180

06/04/2012 à 02h06

pluton écrivait:
----------------
> Mario180 écrivait:
> ------------------
>
> > Je pense qu'on peut faire pareil sur du Leone, non ?
> >
>
> si tu perds 1 spire avec du leone, c'est que tu as déjà perdu plus de 3mm...

Oui, la première spire est bien plus basse, mais tu peux avoir une perte portant le nom de cratère même si elle ne concerne pas une spire, enfin amha.

Toi tu sais correctement enfouir ton implant, mais ceux qui témoignent de la cratérisation de l'Inkone savent-ils mettre le col de l'implant suffisamment à distance de la limite prothétique?


64cb

06/04/2012 à 16h24

pluton écrivait:
----------------
> Mario180 écrivait:
> ------------------
>
> > Je pense qu'on peut faire pareil sur du Leone, non ?
> >
>
> si tu perds 1 spire avec du leone, c'est que tu as déjà perdu plus de 3mm...
> j'ai rarement eu plus de 1mm de perte sur les zimmer, ID et ce sur du moyen/long
> terme (mes cas remontent à environ 8 ans sur zimmer et plus de 4 ans sur ID) et
> encore sur quelques cas seulement où hygiène pas top et 1 périimplantite (en
> cours de ttm avec un implant ID sur plus de 200 posés)
> pas encore vu de perte sur les dentium
>
> le "truc" qui me fait "marrer" c'est que tout ceux que je connais et qui posent
> ou posaient du tekka ont eu (voir ont toujours) du mal à s'avouer avoir des
> problèmes avec ces implants...
> mais bon si vous trouvez qu'avoir 20% de cratérisation c'est normal...gardez
> bien vous œillères, çà évite de se poser des questions...et de se remettre en
> question...

Avec le recul tu verras que 1 mm de cratérisation peut rester stable dans le temps.

Que beaucoup de praticiens ont adopté Tekka aprés avoir essayé d'autres systémes et y restent fidéle.

Qu'il existe un turn-over important du fait de la multiplicatin des marques.
et Tekka n'échappe pas à la régle.

Plus sérieusement mes cratérisations avouées (contrairement à d'autres... ) sont liées soit à serrage excessif lors de la pose, ou plus certainement à une vis de cicatrisation trop courte (1,5 ou 3 mm).

Chaque systéme à sa courbe d'apprentissage différent d'un systéme à l'autre et Tekka reste un implant interessant en particulier en post-extractionel.


flicflac

06/04/2012 à 16h48

Que pensez-vous du Tekka Twinkon?


Gbazylo1 fvg1vg - Eugenol
Aron

06/04/2012 à 17h38

Ouais enfin: problèmes anciens sur l'In-Kone + aujourd'hui même les fanboys Tekka avouent des chiffres d'insuccès important + très sérieux doutes sur santé financière de Tekka = les derniers que je prendrais si je changeais de système

Ah oui et j'aime bien comme dialectique: si cratérisation, c'est donc la faute de l'opérateur! ben voyons...

Ça me rassurerait presque sur l'entreprise Tekka: je me demande si ils ont encore du pognon à mettre dans le troubleshooting sur les forums?


Rorschachwhite tx6rqr - Eugenol
Candide Candida

06/04/2012 à 18h11

Il n'y a que moi qui trouve "étonnant" que des craterisations à 20% (ou a 15 ou 10 etc ..) cad >>> perte osseuse marginale de la première année, soit expliqué par la fameuse courbe d'apprentissage ?

Si le protocole de pose est validé et correctement décrit par la société je ne voit pas en quoi c'est à l'utilisateur de valider si c'est bien ou pas de le poser à X mm de la crête ou si un torque de Y N.cm est trop fort ou pas.

Vous me donnez l'impression de beta-tester un système vendu sans le mode d'emploi.

C'est surement exaltant de participer tel un pionnier à la découverte d'un implant, mais sans rire, si ces cratérisations débouchent sur des perte d'OI à 2-3 ans, qui paiera vos tests et gérera ces échecs ?

Vous avez toute ma sympathie ^^

CC.


Mario ycg44a - Eugenol
Mario180

06/04/2012 à 18h43

flicflac écrivait:
------------------
> Que pensez-vous du Tekka Twinkon?

A priori pas facile à manipuler : pas pour débutants c'est clair.

Bon concept, mais je crois savoir que le catalogue de prothèse est peut-être encore un peu mince, à voir.

Pour l'instant le but de Tekka a été surtout de parfaire la gamme Inkone qui est à ce jour complète.


Mario ycg44a - Eugenol
Mario180

06/04/2012 à 18h47

> Ah oui et j'aime bien comme dialectique: si cratérisation, c'est donc la faute
> de l'opérateur! ben voyons...


tu peux me citer un implant que tu faire poser à un aveugle non chirdent avec les pieds et qui s'ancre avec de l'os qui repousse sur toutes les spires.

Je maintiens que c'est opérateur dépendant, et qu'aujourd'hui les taux de succès sont conformes (les miens en tous cas), mais que l'implant est difficile à maîtriser.

Après ceux qui ont pratiqué donnent leurs avis sur l'implant d'aujourd'hui (et pas les prototypes de 2009), et les autres posent peut-être les questions, non ?



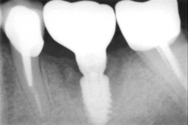
En illustration, j'ajoute des clichés pour RE expliquer pour ceux qu'on pas pigé que c'est opérateur dépendant.

cliché 1 : l'implant mésial a pas été assez enfoui, cratérisation distale (site d'extraction du jour de la pose)

cliché 2 : le pilier de droite est trop bas (pas de 3mm le jour de la pose, mais patient voulait une pro : mis un 1,5 angulé...bof). Sanction : ça commence à chier en mésial.

cliché 3 : enfouissement ok : quand c'est posé comme ça avec la bonne vis qui arrive à la bonne hauteur pour la prothèse définitive, on a JAMAIS de souci de "cratère"

cliché 4 : EII sur une 36, l'os a l'air de quand même bien aimer ce col quand la prothèse est à distance...

Moralité : c'est la prothèse qui dicte l'enfouissement, et pas le niveau osseux dispo. Mais ptêt que certains font autrement, après faut pas chercher pourquoi on cratérise : l'espace biologique.

NB : aussi faut pas le torquer comme un porc, c'est sûr, surtout en os dense...

1 uemjxk - Eugenol
3 pb9sx7 - Eugenol
4 k4c1nn - Eugenol
2 l3rszg - Eugenol

Gbazylo1 fvg1vg - Eugenol
Aron

06/04/2012 à 19h08

Candide Candida écrivait:
-------------------------
> Il n'y a que moi (...)

Non, c'est aussi mon avis, et d'après ce que je comprends celui de Pluton aussi, et d'autres certainement. Cela dit, si je posais du Tekka, je ne serais visiblement pas d'accord.


01 ukhwbq - Eugenol
ʎqqoq

06/04/2012 à 21h07

Mario180 écrivait:
------------------
> Dans l'absolu je suis d'accord avec toi, la courbe d'apprentissage est un peu
> longue pour l'Inkone, particulièrement pour ce qui concerne la perte osseuse
> cervicale.

Ça craint une courbe d'apprentissage dont les conséquences portent sur la perte cervicale. Ça veut dire qu'au début t'as forcément de la cratérisation?
A mon sens , le début de la courbe d'apprentissage, c'est plus une lenteur certaine, certains problèmes d'axe, une conception de la prothèse qui n'est pas optimale...


Mario ycg44a - Eugenol
Mario180

06/04/2012 à 21h39

ʎqqoq écrivait:
---------------

> Ça craint une courbe d'apprentissage dont les conséquences portent sur la perte
> cervicale. Ça veut dire qu'au début t'as forcément de la cratérisation?
> A mon sens , le début de la courbe d'apprentissage, c'est plus une lenteur
> certaine, certains problèmes d'axe, une conception de la prothèse qui n'est pas
> optimale...

Je crains d'être du même avis ;)

(Comme quoi je ne suis pas un "fanboy" non plus...)

Mais j'aimerais bien savoir de quelle manière les implants Leone (par exemple) seraient préservés de ce problème de positionnement tridimensionnel de l'implant par rapport à la prothèse.
Autrement dit : quand on le pose, la bague remonte jusqu'à ce qu'on soit en juxta-osseux. Donc je suppose que le débutant va s'en tenir là et obtenir une perte cervicale, non? Et corollaire : si ce débutant n'est pas assez enfoui, il va utiliser un pilier de faible hauteur et pour rattraper plus vite son émergence prothétique comprimer son "parodonte" et résorber du nonos?
Chez Leone, on n'est pas non plus à l'abri de mal enfouir son implant par rapport à la prothèse dont on a besoin, me trompe-je ?

Merci de ton avis Pluton ;)


Photo pluton1b h9n4ea - Eugenol
pluton

07/04/2012 à 00h24

mario, je pense que je n'ai pas encore assez posé de leone pour avoir un avis vraiment tranché...
mais pour l'instant: zéro cratérisation

il y a quand même une petite nuance entre un système vissé et un impacté comme le leone: l'implant se comporte avec son pilier comme un implant monobloc
l'implant se pose normalement en juxtacrestal, mais si on sait que l'on peut sans problème le sur-enfouir, c'est ahma mieux...
cela dit, drmarcus ainsi que béotien m'ont aussi dit parfois les poser légèrement en supracrestal...et çà n'aurait que peu d'incidence...
je ne sais pas par contre si dans ces conditions ils mettent un biomat pour faire une rog (c'est ce que je ferais...)


Moustache asiatique 2 b9rsxq - Eugenol
goupil

07/04/2012 à 01h08

combien de fois faudra-il vous le répéter pluton: dans les systèmes vissés il y a les connexions à plat et les coniques. Pourtant vous ne faites pas le distinguo puisque vous opposez dans vos propos les connexions vissés dans leur ensemble et la connexion conique leone. Zipprich trouverait cela un peu léger.


Photo pluton1b h9n4ea - Eugenol
pluton

07/04/2012 à 01h54

non, je fais la distinction entre les systèmes sans vis (leone, axiom 2.8, bicon) dont le comportement devient similaire à un implant monobloc une fois la pièce prothétique impactée, avec tous les systèmes vissés, où sans la vis il n'existe plus de liaison mécanique entre l'implant et le pilier...


Moustache asiatique 2 b9rsxq - Eugenol
goupil

07/04/2012 à 02h05

pluton écrivait:
----------------
... avec tous les systèmes vissés, où sans la vis il
n'existe plus de liaison mécanique entre l'implant et le pilier...


faux pour certaines (ankylos, tekka inkone, tekka twin kone...) et pour d'autres pour lesquelles la vis ne pose également aucun problème (astra, biotech kontact, anthogyr ...

comparez ce qui est comparable.


Photo pluton1b h9n4ea - Eugenol
pluton

07/04/2012 à 02h18

goupil écrivait:
----------------

> faux pour certaines (ankylos, tekka inkone, tekka twin kone...) et pour d'autres
> pour lesquelles la vis ne pose également aucun problème (astra, biotech kontact,
> anthogyr ...
>
> comparez ce qui est comparable.

pour ces systèmes, la vis est obligatoire


Mario ycg44a - Eugenol
Mario180

07/04/2012 à 02h41

Certes, mais le gap est réduit à peau de chagrin, et rien ne prouve qu'il existe plus de micro mouvements.
Je rappelle que la vis InKone est serrée à 15!


Photo pluton1b h9n4ea - Eugenol
pluton

07/04/2012 à 02h52

tien mario, quelques vidéos du comportement des connexions sous contrainte...
les connexions coniques sont les plus performantes pour le gap, les piliers se déforment plus ou moins selon les marques sous la contrainte
le seul qui ne bronche pas...je te laisse le découvrir...

http://www.klinik.uni-frankfurt.de/zzmk/werkstoffkunde/index_en.php#contact


Moustache asiatique 2 b9rsxq - Eugenol
goupil

07/04/2012 à 10h28

pluton écrivait:
----------------
> tien mario, quelques vidéos du comportement des connexions sous contrainte...
> les connexions coniques sont les plus performantes pour le gap, les piliers se
> déforment plus ou moins selon les marques sous la contrainte
> le seul qui ne bronche pas...je te laisse le découvrir...
>
> http://www.klinik.uni-frankfurt.de/zzmk/werkstoffkunde/index_en.php#contact

on relie le texte pluton:
"Precision conical connections (implant systems: Ankylos®; Astra Tech®) show no micro-motion." (il faut rajouter leone et il serait interessant que l'inkone passe également au banc)

pluton, l'objet de l'étude c'est la variation du micro-gap et il ne faut rien en conclure d'autre sans commettre une grossière erreur scientifique. Ton affirmation "le seul qui ne bronche pas...je te laisse le découvrir..." est fausse et partisane, éloignée de tout sens scientifique.


Photo pluton1b h9n4ea - Eugenol
pluton

07/04/2012 à 14h05

mon cher goupil, je sais parfaitement que cette étude concerne le gap...
ce que je voulais vous faire comprendre, c'est le comportement général de l'implant et son pilier sous la contrainte, certes pas mesuré dans cette étude mais parfaitement visible sur ces vidéos
regarde la flexibilité (déformation élastique, mais combien de fois avant qu'il y ait fatigue, du pilier, de la vis?) du pilier ankylos par ex et tu auras tout compris...

là, le pilier plein vs le pilier "tube creux" avec une vis montre un comportement sous contrainte fondamentalement différent...


Logo m4n3gc - Eugenol
drmarcus

07/04/2012 à 14h28

Tjrs de mon smartphone alors je developperai lundi

Mais goupil comptes tes abatis j'ai des munitons!
Tu ignores une grande partie du chapitre qui n'apparait pas encore dur le site mais j'ai eu l''immimmense honneur de voir l'integralite des travaux.
A lundi :-)
Ce sera pur plaisir

--
"La vis est à l'implant ce que la carie est à la dent!" (Pozzi)


1...456