Tous les forums
Un cas de blanchiment interne .
12/03/2012 à 21h57
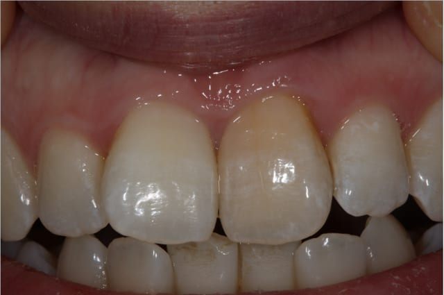
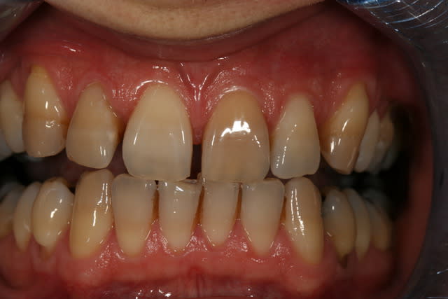
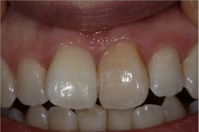
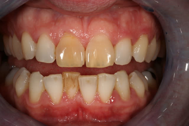
Cas simple et pourtant ... j'ai été obligé de prendre un risque . Lequel ?
Indice : on lui avait proposé la dévit et une céram .
PS/ Je prolonge le ttt jusqu'à la semaine prochaine en espérant gagner encore un poil sur l'opacité .
(désolé pour les doigts il était 20 h...)
12/03/2012 à 22h56
Tu nous parles de blanchiment interne. Et puis tu dis " on lui avait proposé la dévit..". Ca voudrait donc dire que la dent est toujours vivante. Alors ce n'est pas un blanchiment interne.
12/03/2012 à 22h59
tu as foré dans la dentine palatine sans toucher a la pulpe pour y placer le produit de blanchiment?
13/03/2012 à 13h31
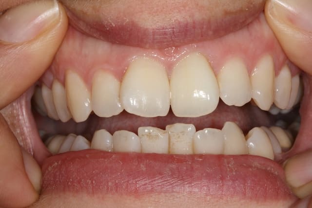
Un rapport avec la fissure vestibulaire qui semble se poursuivre en sous gingival?
13/03/2012 à 13h48
c'est ta femme ? ton amante ?
--
Dr Cingulum
-----Ancien interné----
----Attaché à l'apex----
http://www.clinic-all.fr/ formation par passion
13/03/2012 à 15h19
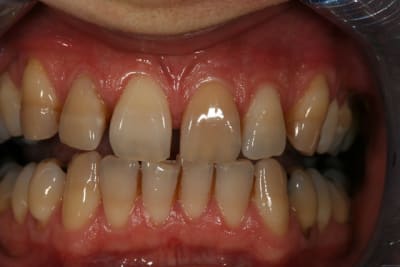
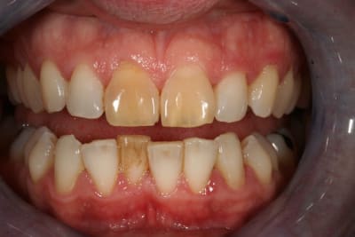
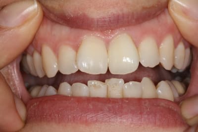
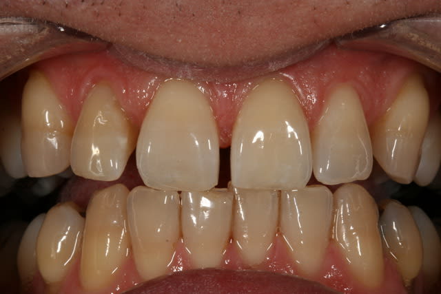
C'est un blanchiment unitaire sur dent vivante ayant eu traumatisme.
--
Normal is not something to aspire to, it's something to get away from...
13/03/2012 à 15h28
Elle pratique un sport de combat?
= o =
O''''''O
V ... V
13/03/2012 à 18h18
C'est un blanchiment interne comme si l'endo était faite (après recherche effrénée d'un hypothétique canal), et après contrôle +++ d'une isolation +++ . La patiente n'a aucun souvenir d'un traumatisme sur cette dent .
13/03/2012 à 21h23
donc j'avais bien raison tu as fait un blanchiment interne sans avoir pu faire l'endo a cause du canal calcifié?
celui qui m'a mis -1 peut aller se branler la nouille.
si c'est le cas ton protocole detaillé m'interesse car j'ai eu le meme cas ya 2 semaines (exactement pareil), j'ai preferé dire a la patiente de faire plutot une facette et de tenter l'endo dans un 2e temps si probleme un jour mais j'hesite toujours entre faire comme toi ou un blanchiment unitaire mais qui a mon avis ne marchera pas bien et recidivera.
13/03/2012 à 21h32
Je t'ai mis +1 ...)))
Le protocole est le même que pour une dent dépulpée ; isolation en regard présumé du canal , un peu plus parce que j'ai cherché un moment en plusieurs séances . Perborate , et voilà .
13/03/2012 à 21h37
ok super ça me rassure qd je vois le resultat car j'etais pas entierement satisfait de proposer ma facette j'avais bien prevenu la patiente qu'un resultat parfait etait dur a obtenir mais en voyant ton cas je pense que je ferai pareil si elle repasse.
combien de seances pour obtenir ce resultat?
merci bcp d'avoir publié ce cas en tout cas. ;)
13/03/2012 à 22h02
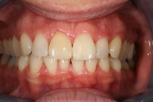
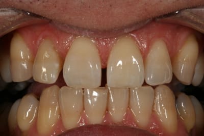
3 séances à 7 jours d'intervalles .
Si on décide d'être le moins invasif , j'ai jugé raisonnable de tenter quand même malgré l'impossibilité de repérage de l'entrée du canal . Faire une facette c'est passer un cap , et je n'ai de prothésiste capable de reproduire les stries visibles sur la photo de départ de tout façon donc je n'ai compté que sur moi même .
14/03/2012 à 01h15
Merci du cas , ça m'intéresse car j' ai vu plusieurs patientes dans ce cas avec canal totalement calcifié invisible à la radio mais je n' aurais jamais osé faire un éclaircissement interne car les dents sont vivantes même si leur réponse aux stimuli est atténuée. Combien as- tu de recul? Pas de nécrose par la suite? J' avais tenté un éclaircissement externe mais cela a très mal marché malgré trois séances. Dans deux cas je pense que la calcification est dûe à un trauma occlusal, dans le troisième que j'ai pu voir il s' agit peut-être de forces ortho excessives. Les trois cas que j' ai en tête, car il y a un moment que je ne les ai pas vues, concernaient exclusivement des femmes, mais peut être qu' elles ont plus tendance à consulter que les hommes pour ce motif, par coquetterie.
Je voudrais aussi pousser un coup de gueule contre cette manie des dents trop blanches: la plupart des demandes que j'entends pour un éclaircissement émane de jeunes entre 15 et 25 ans qui sont déjà en A1 ou A2 vita, je dis non !!!! Trop c'est trop.
14/03/2012 à 01h39
Et si la cause de la calcification était la nécrose par rupture du paquet vasculo-nerveux ? (hypothèse très probable, micro-traumatismes répétés, habitudes nocives).
J'ai un cas où 11 et 12 ont subi un trauma dans l'enfance avec lésion englobant les 2 apex. 11 a été fracturée et a donné une lésion apicale tandis que 12 a seulement été déplacée mais a subi une calcification du canal, invisible à la radio. Il serait intéressant de savoir si une cicatrisation est possible en ayant uniquement obturé 11. Je posterai la radio demain.
14/03/2012 à 05h20
sur des cas similaires, j'ai eu des succès avec un blanchiment externe (avec gouttière et port pendant plus d'un mois)
j'ai aussi eu un échec, une dent qui voulait pas ...
si je me souviens bien de la vidéo de machtou sur dentalespace sur l'éclaircissement interne, il disait que sur une dent intacte, asymptomatique et sans signes radios, il ne fallait pas prendre de fraise et tenter d'endo.
14/03/2012 à 08h30
Oui j'ai vu ça aussi.
D'autre part dans ces types de cas, le risque de récidive à moyen terme est important.
--
Normal is not something to aspire to, it's something to get away from...
14/03/2012 à 09h23
oui, j'ai un cas comme ça, toujours en éclaircissement externe, finit il y a deux ans, qui revient tous les ans et je lui donne une seringue qu'il réutilise 3 ou 4 nuits et ça redevient parfait
j'espère qu'à long terme ça va se stabiliser, il est encore jeune, peut être que la dent se "décolore" encore ? je dis ça au pif, je sais pas si ça récidive ou si la dent continue de s'assombrir indépendamment du traitement