Cookie Consent byPrivacyPolicies.comUn onlay parmi tant d'autres... - Eugenol

Un onlay parmi tant d'autres...

Img 3657 cwjvqm - Eugenol
alapex

26/03/2012 à 22h43

C'est tout beau du début à la fin , et partager des cas avec des photos bin c'est super .
Merki .


Capture ddc6bm - Eugenol
sumble

26/03/2012 à 23h38

Importance d'une bonne communication, d'information. Dommage qu'on ne sorte pas de la fac avec un minimum. Je ne regrette pas l'investissement dans l'APN.
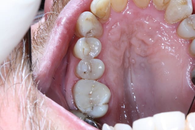
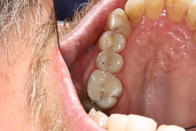
Photo 1. Moi: "Voilà pourquoi il vous faut un onlay."
Photo 3. Le patient: "Ah quand même! Ben on va faire les autres alors!"

1 rgxiug - Eugenol
2 jqorpg - Eugenol
3 mp2iyh - Eugenol

Smile beach jgh0a1 - Eugenol
Céramik

27/03/2012 à 00h30

sumble écrivait:
----------------
> Importance d'une bonne communication, d'information. Dommage qu'on ne sorte pas
> de la fac avec un minimum. Je ne regrette pas l'investissement dans l'APN.
> Photo 1. Moi: "Voilà pourquoi il vous faut un onlay."
> Photo 3. Le patient: "Ah quand même! Ben on va faire les autres alors!"


Très bien.
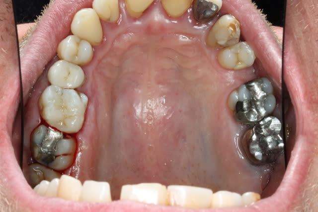
Une fois l'onlay unitaire maitrisé,
la prochaine étape, passe "au secteur", et évite les unitaires.
Comme tu as de belles photos d'emsemble, pense global

Tu fais 16 ET 17 ensemble.



--
Céramik


Avatar ow44t3 - Eugenol
Chicot

27/03/2012 à 10h08

Céramik écrivait:
-----------------

>
> Très bien.
> Une fois l'onlay unitaire maitrisé,
> la prochaine étape, passe "au secteur", et évite les unitaires.
> Comme tu as de belles photos d'emsemble, pense global
>
> Tu fais 16 ET 17


+1 pour le global


--
;O)


003 penrd2 - Eugenol
Cingulum

02/04/2012 à 18h34

pour les excès, le composite classique chauffé a beaucoup d'avantage pour coller les onlays. On a tout le temps de retirer les excès qui deviennent pâteux, plastique.





--
Dr Cingulum
-----Ancien interné----
----Attaché à l'apex----
http://www.clinic-all.fr/ formation par passion

Img 0810 cjylzb - Eugenol
Img 0973 rlvtwi - Eugenol
Img 0976 dikykf - Eugenol
Img 0982 mc5yxu - Eugenol
Img 0990 s7on62 - Eugenol

Capture ddc6bm - Eugenol
sumble

02/04/2012 à 21h18

Cingulum écrivait:
------------------
> pour les excès, le composite classique chauffé a beaucoup d'avantage pour coller
> les onlays. On a tout le temps de retirer les excès qui deviennent pâteux,
> plastique.

Les composites d'obturation sont-ils tous aussi performants pour coller un onlay?
Olivier, quel composite utilises-tu? Ton système adhésif? Et pourquoi ce choix?


Avatar ow44t3 - Eugenol
Chicot

08/04/2012 à 12h07

Utilises tu le soniflex avec l'embout inlay pour vibrer et bien placer ta pièce ceram à fond sans bulle ?


--
;O)


Img 3657 cwjvqm - Eugenol
alapex

12/04/2012 à 00h19

On a tout le temps pour réfléchir , être le moins invasif possible , mettre du "carie detector" , enlever les excès de pâte en prenant son temps , se passer d'assistante , travailler plein d'heures par semaine , mettre des photos sur nonol . Bref en éprouver du plaisir .
C'est le pied quoi ...)))

Img 0945 rzcfi6 - Eugenol
Img 1020 tj4578 - Eugenol
Img 1025 k0tqz1 - Eugenol
Img 1026 ceigai - Eugenol
Img 1027 mlvztx - Eugenol
Img 0950 yi72zt - Eugenol
Img 1021 sokbd4 - Eugenol
Img 1024 mlfloz - Eugenol
Img 0817 ehqe7s - Eugenol
Img 0955 mbekr9 - Eugenol
Img 1023 stgwgz - Eugenol

Smile beach jgh0a1 - Eugenol
Céramik

12/04/2012 à 04h06

Joli travail.

J'aime aussi la photo 4 !

;-)



--
Céramik


Toriko ucqp9i - Eugenol
Giantcoco

12/04/2012 à 12h14

c'est quoi cette digue prémarquée? elle a l'air pratique.


Img 3657 cwjvqm - Eugenol
alapex

12/04/2012 à 13h24

Optradam d'Ivoclar .


Bing surfboards tm mark pcsd1h - Eugenol
jayetche

12/04/2012 à 13h31

je dois être une peu C.. mais l'optradam j'en ai tout un stock j'arrive pas a m'en servir du coup je garde ma vieille digue classique. tu la trouves vraiement plus pratique?


Img 3657 cwjvqm - Eugenol
alapex

12/04/2012 à 13h38

Oui , faut voir la vidéo pour saisir le geste pour la mettre et ça roule .(tu peux demander au patient de faire des mouvements d'aide à la mise en place des lèvres dès que tu as mis les côtés , c'est plus facile).
Lorsque que tu mets l'aspi (il y a 2 traits d'incision prévus) , il est préférable de ne pas faire une incision étanche , l'air doit passer car sinon le patient ressent une dépression désagréable au niveau du voile du palais (ou bien ça lui draine les sinus...)))
Les cercles de maintient servent un peu de cale ce qui repose les patients d'après leurs dires .


PS/ Merci à Pluton , c'est lui qui me l'avait indiquée.


Marque a3 orange fyvhyq - Eugenol
Marc Apap

12/04/2012 à 14h12

Optradam Ivoclar je pense.
Sinon, j'en ai fait un comme ça il y a des années, en composite, ça c'est terminé en CCM après fractures, réparations, etc..
Moi je dis que tout ce ramdam autour des onlays pour pas faire de couronnes, c'est de l'enc.. de mouches pour dire de se faire de (petits?) plaisirs. Maintenant, chacun fait ce qu'il veut, ça n'empêche pas l'amitié.


Img 3657 cwjvqm - Eugenol
alapex

12/04/2012 à 18h33

Oui , chacun fait ce qu'il veut , moi j'applique le plan A , il restera toujours le plan B . Pis en céramique , j'ai confiance , je déteste les composites...


Marque a3 orange fyvhyq - Eugenol
Marc Apap

12/04/2012 à 18h40

Oui, en céramique c'est quand même plus solide.


Dsc 3167 ff43tz - Eugenol
Xenophon

13/04/2012 à 12h15

Marc Apap écrivait:
-------------------

> Sinon, j'en ai fait un comme ça il y a des années, en composite, ça c'est
> terminé en CCM après fractures, réparations, etc..
> Moi je dis que tout ce ramdam autour des onlays pour pas faire de couronnes,
> c'est de l'enc.. de mouches pour dire de se faire de (petits?) plaisirs.
> Maintenant, chacun fait ce qu'il veut, ça n'empêche pas l'amitié.


Tiens ? Marc s'est fait piraté son ordi ?
Ce n'est pas Marc qui parle là ??


Dsc 3167 ff43tz - Eugenol
Xenophon

13/04/2012 à 13h55

J'ai beaucoup d'estime pour Marc mais là ?????? on dirait que c'est quelqu'un d'autre qui parle ....
Dire qu'il en a fait un qui n'a pas marché une fois et que TOUT est nul me semble venir d'une autre bouche que la sienne .....
ou alors, je n'ai pas bien compris la teneur de ses propos ....


Img 3657 cwjvqm - Eugenol
alapex

13/04/2012 à 14h43

Pfff , c'est un sujet avec des photos (déjà que ça manque cruellement sur nonol) , pas de polémique ...


samsam28

13/04/2012 à 14h46

bonjour!
personnellement je pose pas d'inlay onlay, mais j'ai un ami qui en posait et qui passe actuellement directement à la couronne céramique car selon lui ça pete, ça tient pas la route. pensez-vous qu'il y a un problème opérateur dépendant?
quel facteurs influencent cet échec. enrichissez nous de votre expérience, qu'es ce qui fait que ça casse et comment l'éviter
merci pour vos réponses


RépondreCiter
Dsc 3167 ff43tz - Eugenol
Xenophon

13/04/2012 à 16h36

Cela me semble évident qu'il y ait un problème opérateur dépendant.
Il y a des éléments à respecter. Ce n'est pas un amalgame foulé.


003 penrd2 - Eugenol
Cingulum

13/04/2012 à 20h13

Alors en Vrac,
Je colle depuis quelque temps au compo de restauration (Tetric classic) chauffé dans un réchauffe carpule et vibré au US.
J'utilise ce protocole pour:
- La facilité à retirer les excès
- La qualité mécanique et esthétique du joint
- les propriétés mécanique de ce collage

Il faut bien sur associer un adhésif... j'utilise un MR2, Adper Single Bond de 3m avec mordançage total ou
De plus en plus quand je peux, je fais un IDS, collage immédiat le jour de la préparation avant empreinte... avec de l'optibond FL qui reste un gold standard...

pour vibrer il n'y a qu'un seul insert disponible à ma connaissance c'est celui qui va sur le Soniflex...

Pour la casse... que vous dire,
je fais des onlays céram depuis 12 ans... il y a très peu de casse... moins que d'éclat de céramique sur des CCM
Biensur cela dépend du praticien et du prothésiste.
Il faut savoir que la qualité du collage joue dans la résistance mécanique de l'onlay.
Le matériaux de choix c'est aujourd'hui l'Emax/empress....

dans les échecs qui sont tous très rare, le pronostic étant très bon, par ordre décroissant:
- Nécrose (erreur d'indication)
- décollement (erreur de protocole de collage)
- quelques éclats en proximal (en général lié à la forme non soutenue du point de contact)
j'ai jamais eu de fracture de la dent....






--
Dr Cingulum
-----Ancien interné----
----Attaché à l'apex----
http://www.clinic-all.fr/ formation par passion

Img 0131 tqqy8y - Eugenol
Img 7943  large  yccavn - Eugenol
Img 0127 oetzsa - Eugenol
Img 7947  large  w0d0tl - Eugenol

Logo vuaztn - Eugenol
mac

13/04/2012 à 20h56

quand tu fais de l'IDS, utilises tu une sableuse avant le collage?


Marque a3 orange fyvhyq - Eugenol
Marc Apap

13/04/2012 à 23h32

@ cingulum : Bonne indication, bonne préparation, bon (excellent) prothésiste, bon collage.
Pour moi, le plus dur c'est de convaincre le patient. Alors, la couronne, c'est vrai que c'est une solution de facilité mais ça roule toujours.


Grueavatar nptrc9 - Eugenol
Le Choixpeau magique

14/04/2012 à 01h23

Cingulum écrivait:
------------------
> pour vibrer il n'y a qu'un seul insert disponible à ma connaissance c'est celui
> qui va sur le Soniflex...

Il y en a un chez Satelec (C20) et chez EMS (SP).


1234...