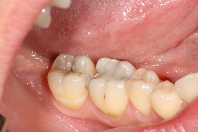
Cookie Consent byPrivacyPolicies.comUn onlay parmi tant d'autres... - Eugenol

Un onlay parmi tant d'autres...

rene

14/04/2012 à 08h20

IDS , c'est quoi?


Logo vuaztn - Eugenol
mac

14/04/2012 à 10h50

rene écrivait:
--------------
> IDS , c'est quoi?

immediate dentin sealing.


HPC

14/04/2012 à 19h54

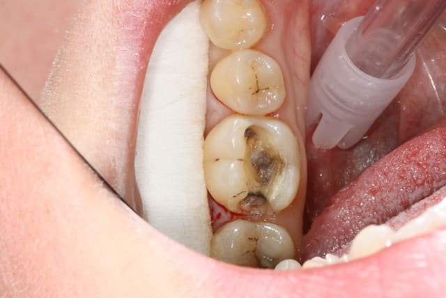
Cingulum, quelle cotation pour la piece prothétique sur la molaire ?


Smile beach jgh0a1 - Eugenol
Céramik

15/04/2012 à 04h11

samsam28 écrivait:
------------------
> bonjour!
> personnellement je pose pas d'inlay onlay, mais j'ai un ami qui en posait et qui
> passe actuellement directement à la couronne céramique car selon lui ça pete, ça
> tient pas la route. pensez-vous qu'il y a un problème opérateur dépendant?
> quel facteurs influencent cet échec. enrichissez nous de votre expérience, qu'es
> ce qui fait que ça casse et comment l'éviter
> merci pour vos réponses

Bah, moi je connais un type qui est mort en traversant la rue, donc je reste chez moi.

Sérieusement, tu te bases sur quoi pour faire un jugement ? Des histoires, les horoscopes, les légendes urbaines ?

Tout est operateur dépendant ! Mais avec une formation scientifique de base (tu es CD ?) tu devrais pouvoir trouver des vraies réponses, non ?

Moi je pose que des amalgames, car j'aime pas la colle, et que des couronnes en acier, c'est plus facile pour la teinte.

--
Céramik


Smile beach jgh0a1 - Eugenol
Céramik

15/04/2012 à 04h15

Marc Apap écrivait:
-------------------
> @ cingulum : Bonne indication, bonne préparation, bon (excellent) prothésiste,
> bon collage.
> Pour moi, le plus dur c'est de convaincre le patient. Alors, la couronne, c'est
> vrai que c'est une solution de facilité mais ça roule toujours.

Jamais de casse avec les couronnes ? Jamais de déscellement ? J'amais de nécrose ?
Wow, je fais des couronnes partout dès lundi
;-)))))))))))))


--
Céramik


Marque a3 orange fyvhyq - Eugenol
Marc Apap

15/04/2012 à 10h33

Une couronne nickel chrome scellée au CVIMAR sur dent dépulpée n'a jamais ce genre de problème ! :)))
(Ceramik, tu oublies souvent que nous sommes ici dans un autre monde que le tien : de l'autre côté du Rideau de Mer)


003 penrd2 - Eugenol
Cingulum

15/04/2012 à 11h19

oui, sableuse de bouche.
En général IDS = Adhésif Optibond Fl + compo flow en fond de cavité... comme ça on est sur d'avoir une bonne isolation de la dentine et une épaisseur de résine...

j'essaye de mettre un temps par temps...
de 1 à 3 c'est le jour de l'empreinte
de 4 à 7 le jour du collage...


--
Dr Cingulum
-----Ancien interné----
----Attaché à l'apex----
http://www.clinic-all.fr/ formation par passion

1 fin de preparation gtqwoc - Eugenol
2 adhesif isjdjz - Eugenol
3 flow kgh4sy - Eugenol
6 adhesif 2 eme temps qsmbao - Eugenol
4 apres sablage nbwuad - Eugenol
7 collage stlsm6 - Eugenol
5 essayage qaycfi - Eugenol

Uncmury6m4drs8ssni8vwnyrlbqu - Eugenol
curdents

16/04/2012 à 12h25

merci à tous, enfin un sujet sans polémique


samsam28

16/04/2012 à 13h11

bonjour et merci pour vos réponses
en fait j'avais un avis sur la chose d'une personne pour qui ça fonctionne pas, donc je voulais que les CD pour qui ça fonctionne partagent leurs expériences


Blocperso talon jer3sl - Eugenol
mrquentin

16/04/2012 à 20h16

cingulum:
Salut, plusieurs questions pour toi:
-La personne chez qui je travaille utilise également le Tetric (classic et Evoflow); quand je fais des resto directes, je trouve que le compo ne colle absolument pas à la surface à coller (adhésif excite F) avant polymérisation, et il reste systématiquement sur ma spatule. As tu le meme probleme?
- qu'est ce qu'un réchauffe carpule?
Comment le fais tu vibrer aux US? tu parles de ton bac à ultra sons?
j'ai essayé de le faire chauffer sur le stérilisateur, mais ca ne le fait pas fondre, il reste très peu fluide; qqun a conseillé de le scotcher sur le scialitique, mais je me vois mal récuperer la carpule devant les yeux du patient ébahit...
pourrais tu donc réexpliquer à un lent du cerveau comment procèdes tu pour fluidifier ton compo? merci
Dernière question pour tout le monde
quand je fais un inlay, sur les conseils du collaborateur, j'aspire les excès avec une aspi chir.
Perso, je trouve que ca tire trop sur le joint, et que parfois j'ai un petit manque qui se forme, et je suis parfois obligé , après polymérisation, de remettre un peu de flow sur la limite avec un bout de sonde.
Du coup, j'enlève les excès avec une petite brosse (du type de celles qui me servent à mettre l'adhésif). Quels sont vos trucs à vous?


Nouveau image bitmap fz77zh - Eugenol
Sethef

16/04/2012 à 20h32

mrquentin écrivait:
-------------------

> Dernière question pour tout le monde
> quand je fais un inlay, sur les conseils du collaborateur, j'aspire les excès
> avec une aspi chir.
> Perso, je trouve que ca tire trop sur le joint, et que parfois j'ai un petit
> manque qui se forme, et je suis parfois obligé , après polymérisation, de
> remettre un peu de flow sur la limite avec un bout de sonde.
> Du coup, j'enlève les excès avec une petite brosse (du type de celles qui me
> servent à mettre l'adhésif). Quels sont vos trucs à vous?



2-3 petits trucs qui me rendent la vie plus facile, dont un certain nombre inspiré des eugénoliens:

-la digue unitaire, quand c'est possible, c'est un gain de temps phénoménal par rapport au multiclampage (en particulier vis-à-vis du nettoyage des excès interproximaux)

-les excès, pour moi, c'est d'abord boulette de coton pour le plus gros, puis micro-brush sèche. Mais j'ai tendance à apporter ma colle largement en excès (Variolink). Puis flash de lampe, puis je repasse ma micro-brush d'adhésif (Excite Dsc) avant la polymérisation finale.

-la colle, c'est dans la cavité, pas sur l'inlay, ça évite d'en foutre partout sauf à l'endroit désiré.


@+ Sethef


Img 3657 cwjvqm - Eugenol
alapex

16/04/2012 à 21h14

"... Puis flash de lampe..."

Ta lampe te flashe quand tu vas trop vite ?
Je sors...)))


Nouveau image bitmap fz77zh - Eugenol
Sethef

16/04/2012 à 22h06

Je colle les inlays à la vitesse de la lumière, le matin pour me chauffer je monte une arcade en wax-up, je monte mes compos avant que les patients n'aient le temps de saliver et je prends mes empreintes de bridge complet au putty ultra-fast, mes carpules d'amalgame je les vibre à la main et fais mes forages d'implant en manuel, c'est moi super-dentiste!

(alors forcément je me fais flasher par ma lampe, mais le plus dur à la fin de la journée c'est l'odeur de caoutchouc brûlé des gants, inadaptés au frottement de l'air).


@+ Super-Sethef


Img 3657 cwjvqm - Eugenol
alapex

16/04/2012 à 22h24

PTDR ...)))


003 penrd2 - Eugenol
Cingulum

16/04/2012 à 22h31

mrquentin écrivait:
-------------------
> cingulum:
> Salut, plusieurs questions pour toi:
> -La personne chez qui je travaille utilise également le Tetric (classic et
> Evoflow); quand je fais des resto directes, je trouve que le compo ne colle
> absolument pas à la surface à coller (adhésif excite F) avant polymérisation, et
> il reste systématiquement sur ma spatule. As tu le meme probleme?

Je ne l'utilise que pour coller mes onlay. Il sert alors de "colle"
tu as:
Onlay > Silane > adhésif > compo > adhésif > dent



> - qu'est ce qu'un réchauffe carpule?

C'est un cylindre contenant des emplacements pour des seringues de compo, des compules ou carpules d'anesthésie... permet de monter à 40 - 70°c ce que tu mets dedans...


> Comment le fais tu vibrer aux US? tu parles de ton bac à ultra sons?

Tu n'as pas saisi ;), tu mets ton adhésif sur la dent, tu mets ton silane puis adhésif sur la céramique de l'onlay, ensuite tu mets du compo chauffé dans ta cavité, et tu places ton onlay. C'est à ce moment que tu appliques sur l'onlay un insert pour vibrer l'ensemble. Sous l'application des vibrations, le compo se fluidifie par thyxotropie...
une fois que tu arrêtes de vibrer le compo reprend sa consistance classique... il y a pas mieux pour gérer le retrait des excés


--
Dr Cingulum
-----Ancien interné----
----Attaché à l'apex----
http://www.clinic-all.fr/ formation par passion


Grueavatar nptrc9 - Eugenol
Le Choixpeau magique

16/04/2012 à 23h07

Sinon en compo qui se réchauffe super bien y a le G-Aenial, ça devient un vrai chewing gum une fois chaud, en plus il est très esthétique.


Img 3657 cwjvqm - Eugenol
alapex

16/04/2012 à 23h11

Pfff , même pas Cingulum a remarqué ma photo avec les excès de compo...

PS/ Ceci dit je conseille à tous la formation Clinic All .


Blocperso talon jer3sl - Eugenol
mrquentin

16/04/2012 à 23h25

aaaaaaaaaaaaaaaahh! vibrer l'inlay avec les US! pas con!
penses tu que je peux le tenter sans l'avoir passé au réchauffe compo? (l'effet thixotrope est-il suffisant?)
merci pour les conseils:
la digue unitaire, pareil, en fait j''ai jamais posé d'inlay avec un multiclampage, car la premiere fois ou j'ai posé un inlay (sans digue), il m'a fallu une séance entiere pour me débarrasser des excès. En proximal, j'utilise du super floss avant de polymériser; sous digue, ca saigne pas!
Le flash de lampe, j'ai tjrs l'impression que je vais enlever un peu de compo au niveau du joint et que du coup il va se colorer en 15 j; la micro brush avec l'adhésif, je vais essayer, ca me parait une bonne idée.
merci des nombreux conseils


Avatar 46 aoi1yc - Eugenol
HononLulu

16/04/2012 à 23h30

Cingu, ton insert US, tu le mets à quelle puissance?
La dernière fois j'ai déformé le mien (soniflex) à sa première utilisation sur un inlay.
C'est normal, docteur ?


Dsc 3167 ff43tz - Eugenol
Xenophon

17/04/2012 à 11h58

mrquentin écrivait:
-------------------
> aaaaaaaaaaaaaaaahh! vibrer l'inlay avec les US! pas con!


oui mais attention, je me trompe peut être mais il faut utiliser un insert particulier.


Dsc 3167 ff43tz - Eugenol
Xenophon

17/04/2012 à 11h59

Le réchauffe composite, c'est très bien mais ça coûte un bras pour ce que c'est.


Capture ddc6bm - Eugenol
sumble

02/07/2012 à 22h10

Un autre sur dent non vitale :) (46, c'est prévu de changer dans quelques mois)

Img 1257 qyoctb - Eugenol
Img 1258 ybbnh7 - Eugenol
Img 1260 pq6gbc - Eugenol
Img 1261 apv4qo - Eugenol
Img 1262 u3dbgw - Eugenol

Img 3657 cwjvqm - Eugenol
alapex

02/07/2012 à 22h26

Ah bah , si tu remontes le sujet , en voiture ...)))

Clin d’œil à Cingulum pour la photo en place avec l'excès de variolink...

Img 1319 jganza - Eugenol
Img 1405 xd4emf - Eugenol
Img 1406 wsowrz - Eugenol
Img 1408 z9dew7 - Eugenol
Img 1321 wxtaxa - Eugenol
Img 1381 lvdmw9 - Eugenol
Img 1384 srbgzz - Eugenol
Img 1402 pqtuvy - Eugenol
Img 1407 iegsjl - Eugenol

Avatar ow44t3 - Eugenol
Chicot

03/07/2012 à 00h15

Oh punaise, Juste, c'est cro cro beau !

Joli intégration. Et quelle zenitude de prendre une photo pdt la polymérisation du bazar !

As tu vibré..... Non pas toi...... L'inlay avec le soniflex et l'insert spécial inlay ?



Reste juste à apprendre à recarder tes photos et tu es prêt pour une longue carrière de conférencier

Chapeau bas


--
;O)


Photo pluton1b h9n4ea - Eugenol
pluton

03/07/2012 à 00h26

ouaip, très chouette...;-)

dis moi, alapex, y a pas une carie occlusale sur la 47? çà m'a l'air douteux...