Cookie Consent byPrivacyPolicies.comUn onlay parmi tant d'autres... - Eugenol

Un onlay parmi tant d'autres...

Img 3657 cwjvqm - Eugenol
alapex

01/11/2012 à 21h36

Sc17 + HN


387658 285645131467567 178493338849414 912435 1067789649 n e7hcpr - Eugenol
Djuls

01/11/2012 à 21h51

Smaze écrivait:
---------------
> Beau boulot les gars ! Ca fait plaisir à voir.
>
> Combien les facturez vous ces onlays ? et combien vous demande le prothésiste en
> moyenne ?

Celui de mon post est un onlay composite. 75€ de prothésiste, facturé dans les 400€.


Smile beach jgh0a1 - Eugenol
Céramik

02/11/2012 à 02h43

Djuls écrivait:
---------------
> Bonjour,
> quelques questions concernant les onlays:

Beau travail.
J'essai avec la digue en place. Pourquoi veux-tu essayer avant la pose de la digue ?

Je règle jamais rien avant le collage, si ton empreinte est bonne et ton labo correct, ça va. L'occlusion se règle tjs après le collage, sinon ça bouge ou pire ça casse !

Multilink, très bon choix.
Tu traites comment ton onlay composite ?
Sableuse ? acide ?

Ton idée de placer un 2e crampon pré-molaire est super bonne, je fais ça aussi !

--
Céramik


387658 285645131467567 178493338849414 912435 1067789649 n e7hcpr - Eugenol
Djuls

02/11/2012 à 21h37

Merci pour vos réponses.
Aujourd'hui, j'en ai posé 2 autres (25 dévitalisée, 14 vivante); pas d'essayage (merci céramik), mise en place de la digue direct, collage puis retouches.
Désolé pour les photos pas terribles, le rendu final était pas trop mal, l'occlusion aussi.

Vous sauriez pourquoi j'ai des tirages comme ça sur mon empreinte ? erreur d'insertion ?
Merci.

Img 1561 apmll7 - Eugenol
Img 1555 sv4n61 - Eugenol
Img 1565 vre7j1 - Eugenol
Img 1570 u6exha - Eugenol
Img 1573 rugkyx - Eugenol
Img 1579 vxzewz - Eugenol
Img 1558 uvucdd - Eugenol

387658 285645131467567 178493338849414 912435 1067789649 n e7hcpr - Eugenol
Djuls

02/11/2012 à 21h40

Céramik écrivait:
-----------------

> Tu traites comment ton onlay composite ?
> Sableuse ? acide ?
>--
> Céramik

Moi: rien; mon prothésiste, je vais lui demander.


Smile beach jgh0a1 - Eugenol
Céramik

03/11/2012 à 03h03

Tu devrais sabler et appliquer le monobond-plus

Quel est ton protocole pour ton empreinte ?
Le tirage c'est pas bon...
J'aurais fais 2 triple-tray pour tes 2 onlays prémolaires...

--
Céramik


387658 285645131467567 178493338849414 912435 1067789649 n e7hcpr - Eugenol
Djuls

03/11/2012 à 20h33

Céramik écrivait:
-----------------
> Tu devrais sabler et appliquer le monobond-plus
>
> Quel est ton protocole pour ton empreinte ?
> Le tirage c'est pas bon...
> J'aurais fais 2 triple-tray pour tes 2 onlays prémolaires...
>
> --
> Céramik

J'ai eu pas mal de retouches avec mon onlay quelques post au dessus avec une empreinte sectorielle, alors là, je me suis dit qu'une empreinte globale, ce serait mieux (j'ai d'ailleurs eu beaucoup moins de retouches pour ces 2 là).

Pour mon protocole: double mélange. Pas avec ce light d'habitude mais je ne pense pas que ça change quoique ce soit. Porte empreinte pas assez rempli ? temps de prise pas respectés ?


Grumpy cat ifik8s - Eugenol
radich_a_tord

03/11/2012 à 20h56

Ptet un light trop light et un putty trop compressif ?
En double mélange on cherche à avoir des viscosités proches.


Smile beach jgh0a1 - Eugenol
Céramik

04/11/2012 à 02h49

radich_a_tord écrivait:
-----------------------
> Ptet un light trop light et un putty trop compressif ?
> En double mélange on cherche à avoir des viscosités proches.


+1

C'était du light et putty ?
Je prend jamais de putty.

Je prend du heavy (si bcp de taille) ou du monophase pour quelques dents, avec du extra-light en cartouche.

J'utilise une minuterie, important de placer en bouche en moins de 60 secondes et de retirer après le temps minimum requis.
J'ai une AD et je prend du prise rapide, même pour une arcade

Photo que j'avais déjà postée. Le light est placé ici par dessus le mono, sans AD, c'est super facile, et hop en bouche.

--
Céramik

Empreinte  mono xlv  zxwivz - Eugenol

387658 285645131467567 178493338849414 912435 1067789649 n e7hcpr - Eugenol
Djuls

04/11/2012 à 13h16

radich_a_tord écrivait:
-----------------------
> Ptet un light trop light et un putty trop compressif ?
> En double mélange on cherche à avoir des viscosités proches.

Express 2 putty soft de chez 3M avec pour ce cas la honigum lihgt de chez DMG que le représentant m'a laissé pour essayer. Je l'ai trouvé en effet plus fluide que l'aquasil que j'utilise d'habitude.
Empreinte avec assistante, et minuterie.

Je regarderai les prochaines attentivement pour voir si le défaut persiste.

Céramik, le heavy est moins lourd que le putty ?
et il existe du extra-light en prise rapide ?
Light + monophase, je n'avais jamais vu, j'essaierai.

Merci!


Smile beach jgh0a1 - Eugenol
Céramik

04/11/2012 à 16h19

Le heavy (aquasil, cartouche avec fusil mélangeur, ou bien penta-mix)) est plus "léger" que le putty (qui se mélange avec les main, et comprime bcp, mais s'écoule mal, donc tirages).

Tout les produits aquasil sont disponibles en prise rapide.

--
Céramik


387658 285645131467567 178493338849414 912435 1067789649 n e7hcpr - Eugenol
Djuls

04/11/2012 à 16h32

Céramik écrivait:
-----------------
> Le heavy (aquasil, cartouche avec fusil mélangeur, ou bien penta-mix)) est plus
> "léger" que le putty (qui se mélange avec les main, et comprime bcp, mais
> s'écoule mal, donc tirages).
>
> Tout les produits aquasil sont disponibles en prise rapide.
>
> --
> Céramik

Je suis donc en pentamix heavy. Je vais regarder les prises rapides. Merci.


Niti35

24/11/2015 à 13h33

Bonjour, pour les onlays/inlays avez vous une astuce pour tenir la pièce une fois enduite de composite de collage. J'ai vu qu'il existe des stick mais le prix s'en ressent...
2ème question : j'ai pu lire que certains utilisaient du Téflon pour isoler les faces proximales des dents adjacentes : vous l'achetez en magasin de bricolage tout bêtement !?
Merci pour vos réponses.


Capture d  cran 2015 03 12 12.28 - Eugenol
chicot29

24/11/2015 à 13h40

Niti35 écrivait:
----------------
> Bonjour, pour les onlays/inlays avez vous une astuce pour tenir la pièce une
> fois enduite de composite de collage. J'ai vu qu'il existe des stick mais le
> prix s'en ressent...

Mini brush collée avec adhésif de compo. Les sticks c'est de la daube l'onlay se casse la gueule une fois sur 2.


Image saznoz - Eugenol
Hodina

24/11/2015 à 14h04

Voici THE SOLUTION !!!
http://www.wamkey.com/FR/produit/127-/WAM-Precelles-WAM-Tweezers
Je l'ai et çela fonctionne super bien


--
😁😁😁😁😁😁
Le Blog dentaire.
www.arcad-dentaire.fr
((-----Vivre le sourire Hollywoodien-----))


Sierra Tango

24/11/2015 à 14h32


> Bonjour, pour les onlays/inlays avez vous une astuce pour tenir la pièce une
> fois enduite de composite de collage. J'ai vu qu'il existe des stick mais le
> prix s'en ressent...

Les sticks marchent très bien sur les onlays en composites, sur la céram, c'est vrai que ça se décolle vite fait si on ne fait pas gaffe.

http://www.tradekorea.com/product/detail/P490225/SAFEnSIT.html


> 2ème question : j'ai pu lire que certains utilisaient du Téflon pour isoler les
> faces proximales des dents adjacentes : vous l'achetez en magasin de bricolage
> tout bêtement !?

J'isole toujours avec la digue, en ne laissant dehors QUE la dent qui va recevoir l'onlay. Avant de me lancer, je pensais betement que l'épaisseur de la digue allait empêcher la bonne assise de la restoration ; pas du tout. Clampe la dent préparée uniquement, la digue isole impeccablement les autres dents et on s'épargne de longues minutes de galère. De plus, la digue fait un peu "matrice" en étant placée ainsi, et il m'arrive que des excès inter-proximaux soient parfois encore un peu visibles à la radio et pourtant à peine sensible avec le fil dentaire. Je ne dis pas que c'est bien de laisser des excès de colle, mais juste que clamper ainsi évite, ou du moins minore, le gros excès bien pointu qui gâche tout...
Maintenant, des praticiens bien meilleurs que moi isolent avec du téflon lorsqu'ils collent, et ils doivent avoir leur raison, mais je ne vois l'avantage par rapport à la digue sur dent unitaire.
Le Téflon, bien sûr, dans un banal magasin de bricolage.
Même si j'imagine bien qu'une boîte va sortir un jour le "Top Teflon spécial onlay" avec prix dentiste qui va bien...)


Niti35

24/11/2015 à 14h56

D'accord. J'avais dans l'idée de clamper une dent de part et d'autre, et de mettre du Téflon en proximale, mais en effet, je ne suis pas sûr que le Téflon soit plus fin que si on clamp simplement la dent recevant l'onlay.


3231500709 2 2 94jcbpqu h1bmap - Eugenol
T4xus

28/11/2015 à 20h16

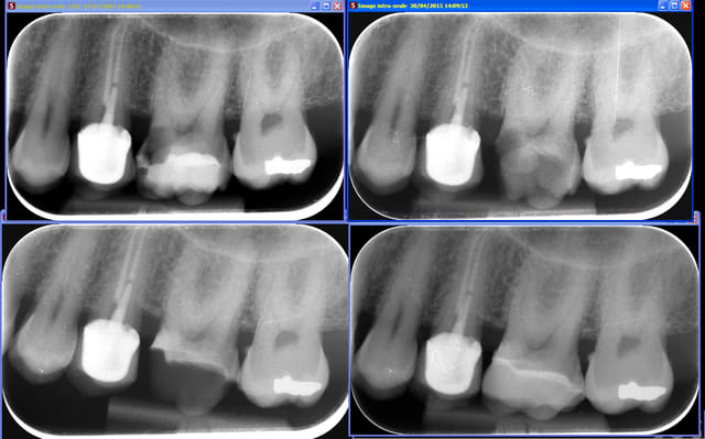
Ma petite contribution :

Reprise carieuse sous composite, juxta-pulpaire, cavité très profonde en mésial.

Eviction carieuse, Biodentine, remontée de marge, IDS et onlay Emax

C'est surtout pour la gestion de la proximité pulpaire et la remontée de marge que je poste, je n'ai pas la photo de l'onlay de toute façon il était pas très esthétique (Emax Cerec, pas eu le temps de retravailler les sillons ni de maquiller).

J'essaierai de faire des photos de chaque étape de la remontée de marge la prochaine fois (et de l'onlay lol).

Biodentineremontedemargeonlay ltoomd - Eugenol
Prep b1ysi2 - Eugenol

1...56