Tous les forums
Cerec sur Implant,gencive virtuelle et considérations économiques !!!
15/03/2012 à 23h26
En passant par là, j'ai vu la polémique qui se dégage des négociations actuelles avec les syndicats la sécu et tutti cuanti. Beaucoup d’entre nous craignent d’être à nouveau les dindons de la farce, cela à juste titre.
Comment justifier nos revendications? et comment preserver nos revenus actuelles et pourquoi pas les améliorer...???
une des solutions passe par l'investissement dans les technologies dentaires actuelles. cela peut paraitre lourd en terme de fonds à mobiliser au départ, mais sur le moyen terme on est toujours gagnant.
Pour ma part, exerçant seule, j'ai investie depuis quelque temps sur la radio cone beam et le Cerec de Sirona entre autre.
Avec le recul et moyennant un certain investissement en temps et argent, je m'y retrouve. et j'ai également améliorer mes marges tout en restant raisonnable en cout pour le patient.
J'entends aux Infos, qu'on voudrait améliorer la concurrence (comme s'il y en avait une!!!) avec les prothésistes....
Avec le Cerec Vous réduisez La concurrence en votre Faveur. et sincèrement avec un peu d'entrainement on peut faire tout aussi bien et même mieux que la majorité des prothésistes hormis les Proto-Artistes.
Les negociations actuelles penchent pour une baisse de la Prothese (La couronne fixe certainement)..... et Alors !!!! je suis pret à la baisser de 50% soit 300€ tout en preservant ma marge et en gagnant plus par un effet de volume plus que certain.
Au final face au instance malveillante envers nous on se doit d'etre équipé ..... Parce que personne ne viendra contester nos investissements en materiels.... tout cela sans parler de l'effet Wow du patient face à nos belles machines.
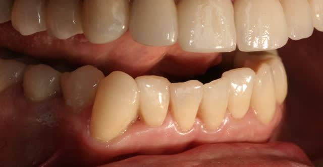
pour illustrer ma reflexion que j'avais envie de partager, voici un cas d'implant sur 15 réalisé à 100% au Cabinet....
ce qui veux dire pas de Prothesiste (pas de Concurrence...)
My Gear: Cone beam 9300, Cerec 4, Eos 5D.... un peu d'huile de coude et de jugeote.
Cout de L'implant : moins de 100€
Pilier usiné par mes soins: Moins de 40 €
Coiffe cerec : Moins de 20€
Facturé le tout au Patient 1800€ (Scanner Pré implantaire compris).....
Je vous laisse faire les calculs.....meme à 1500€ vous restez gagnant honorablement.
Mon Conseil :Investissez et faites vous aussi jouer la concurrence (implants et autres)
16/03/2012 à 01h33
danxe écrivait:
---------------
> Cout de L'implant : moins de 100€
> Pilier usiné par mes soins: Moins de 40 €
> Coiffe cerec : Moins de 20€
> Facturé le tout au Patient 1800€ (Scanner Pré implantaire compris).....
> Je vous laisse faire les calculs
Tu oublies :
- L'amortissement de ton plateau implantaire (y compris assistante)
- L'amortissement des 90 k€ du Cerec
- L'abonnement annuel au Cerec club (allez on part sur le silver club on reste raisonnable : 1200 € par an)
- Le temps passé à faire la conception, le temps que la machine usine et le maquillage. Autant pendant l'usinage tu peux faire autre chose, autant le reste te prend du temps sur ton temps au fauteuil.
- Les indications limitées du Cerec (hors Cerec connect) : pas de bridge, pas de facettes, pas de reconstitution corono radiculaire.
Ton post me parait aller un peu à contre courant de la réalité vécue par la majorité des praticiens ici et ailleurs. Mais je suis content pour toi que tu puisses réaliser de tels investissements et les rentabiliser.
16/03/2012 à 01h47
merci de partager ton travail avec nous. c'est sympa de voir qu'il y a encore des cerveaux qui fument dans notre profession.
je suis toujours admiratif de ce genres de choses.
16/03/2012 à 09h14
radich_a_tord écrivait:
-----------------------
> Tu oublies :
>
> - L'amortissement de ton plateau implantaire (y compris assistante)
> - L'amortissement des 90 k€ du Cerec
> - L'abonnement annuel au Cerec club (allez on part sur le silver club on reste
> raisonnable : 1200 € par an)
>
> - Le temps passé à faire la conception, le temps que la machine usine et le
> maquillage. Autant pendant l'usinage tu peux faire autre chose, autant le reste
> te prend du temps sur ton temps au fauteuil.
>
> - Les indications limitées du Cerec (hors Cerec connect) : pas de bridge, pas de
> facettes, pas de reconstitution corono radiculaire.
>
> Ton post me parait aller un peu à contre courant de la réalité vécue par la
> majorité des praticiens ici et ailleurs. Mais je suis content pour toi que tu
> puisses réaliser de tels investissements et les rentabiliser.
De plus dans tes investissements:
My Gear: Cone beam 9300, Cerec 4, Eos 5D.... un peu d'huile de coude et de jugeote.
Cout de L'implant : moins de 100€
Pilier usiné par mes soins: Moins de 40 €
Coiffe cerec : Moins de 20€
Facturé le tout au Patient 1800€ (Scanner Pré implantaire compris).....
Je vous laisse faire les calculs.....meme à 1500€ vous restez gagnant honorablement.
Mon Conseil :Investissez et faites vous aussi jouer la concurrence (implants et autres)
Tu as oublié le four à céramique, car les blocs cerec, une fois fabriqués, nécessitent, sauf erreur de ma part une cuisson pour avoir la résistance finale, que tu ne les maquilles pas ne me gêne pas mais poser des blocs tendres, NON!
Prothésiste, c'est un métier ne l'oublies pas.
Ps je suis dentiste, mais n'envisage pas de remplacer l'AD par un robot, ni le savoir faire par une machine, surtout si elle ne fait pas le boulot en entier.
Ceci étant libre à toi, de faire ton boulot comme tu l'entends.
--
xbk
"Si tous ceux qui croient avoir raison n'avaient pas tort, la vérité ne serait pas loin" Dac Pierre
16/03/2012 à 09h31
simulation financière fausse car pleine d'omissions. Et le résultat est d'un médiocre, il n'y a qu'à regarder la merveilleuse adaptation de l'intrados sur le dernier cliché radiologique de votre présentation.
Des protos veulent devenir denturos pour jouer aux dentistes, je vois qu'il y a les mêmes frustrés dans notre corporation.
Il n'y a pas plus rentable que de faire votre métier et de déléguer le reste à un prothésiste compétent, mais libre à vous de perdre du temps et de l'argent.
Confraternellement
Paul-Henry
16/03/2012 à 10h20
Bon c'est vrai que l'adaptation n est pas top mais le principe est quand même pas mal
16/03/2012 à 11h00
olivier écrivait:
-----------------
> Bon c'est vrai que l'adaptation n est pas top mais le principe est quand même
> pas mal
En effet "l'adaptation" est trop large.
j'ai volontairement pris le partie de montrer la radio que j'aurai pu occulté.
je l'ai montré parce que c'est exactement ce genre de cliché qui quelques années auparavant avait suscité des reserves dans ma volonté d'investir ou pas dans le cerec.
avec l'experience , je peux dire que j'ai le meme taux(négligeable...!) de descellement qu'avec des coiffes réalisés par des prothesistes.
n'oubliez pas que c'est un collage d'une ceramique sur un pilier usiné ..... aujourd'hui les collages sur ces surfaces là sont quand meme au point.
16/03/2012 à 11h11
Le problème n'est pas l'adaptation, mais le point de contacte distal, en 30 secondes c'est corrigé j'ai fait cette erreur au début, avec la 4.0 il faut régler les contact en vert autrement ils sont trop serrés
16/03/2012 à 11h16
dentistevip écrivait:
---------------------
> simulation financière fausse car pleine d'omissions. Et le résultat est d'un
> médiocre, il n'y a qu'à regarder la merveilleuse adaptation de l'intrados sur le
> dernier cliché radiologique de votre présentation.
>
> Des protos veulent devenir denturos pour jouer aux dentistes, je vois qu'il y a
> les mêmes frustrés dans notre corporation.
> Il n'y a pas plus rentable que de faire votre métier et de déléguer le reste à
> un prothésiste compétent, mais libre à vous de perdre du temps et de l'argent.
>
> Confraternellement
>
> Paul-Henry
- je ne me prends pas pour "un protho" mais uniquement dieu ;)
comme nous tous :))))
- je ne perds pas d'argent.... mon BNC est Flatteur
""les mêmes frustrés dans notre corporation.
> Il n'y a pas plus rentable que de faire votre métier et de déléguer le reste à un prothésiste compétent""
C'est exactement un argument du même ordre qu'un banquier ou conseiller financier qui vous incite à déléguer votre argent pour investir dans une Lois de défiscalisation......Faites lui Confiance pour réduire Vos marges ;)
Je vous Rassure "Con-frère".... je n'ai aucune Frustration
l'exemple présenté s'adresse à ceux qui veulent travailler differement, gagner correctement leur vie.
ben oui faut prendre des risques dans la vie et pas attendre les subsides de la Sécu.
16/03/2012 à 11h43
danxe écrivait:
---------------
> dentistevip écrivait:
> ---------------------
> > simulation financière fausse car pleine d'omissions. Et le résultat est d'un
> > médiocre, il n'y a qu'à regarder la merveilleuse adaptation de l'intrados sur
> le
> > dernier cliché radiologique de votre présentation.
> >
> > Des protos veulent devenir denturos pour jouer aux dentistes, je vois qu'il y
> a
> > les mêmes frustrés dans notre corporation.
> > Il n'y a pas plus rentable que de faire votre métier et de déléguer le reste à
> > un prothésiste compétent, mais libre à vous de perdre du temps et de l'argent.
> >
> > Confraternellement
> >
> > Paul-Henry
>
> - je ne me prends pas pour "un protho" mais uniquement dieu ;)
> comme nous tous :))))
> - je ne perds pas d'argent.... mon BNC est Flatteur
>
> ""les mêmes frustrés dans notre corporation.
> > Il n'y a pas plus rentable que de faire votre métier et de déléguer le reste à
> un prothésiste compétent""
>
> C'est exactement un argument du même ordre qu'un banquier ou conseiller
> financier qui vous incite à déléguer votre argent pour investir dans une Lois de
> défiscalisation......Faites lui Confiance pour réduire Vos marges ;)
>
> Je vous Rassure "Con-frère".... je n'ai aucune Frustration
> l'exemple présenté s'adresse à ceux qui veulent travailler differement, gagner
> correctement leur vie.
>
> ben oui faut prendre des risques dans la vie et pas attendre les subsides de la
> Sécu.
Et bien et bien...toute sortes de réactions,
1) alors on peut faire des facettes avec le cerec et même très belles,
2) oui la version 4.02 est nettement supérieure
3) oui les résultats cliniques sont bluffants...et rentables.
4) oui c'est à nos prothésistes de franchir le pas de la CFAO en l'intégrant dans leurs labos pour les cas qui sortent du cadre cabinet. C'est un investissement certes. Que les cércistes font et nos patients nous le rendent bien croyez-nous!
Et je n'arrive pas à comprendre ces réticences? je pense qu'il y a trois catégories de praticiens en CFAo: ceux qui l'ont et savent l'utiliser, ceux qui l'ont eue et qui n'ont pas réussi à le faire et ceux qui ne l'ont pas mais qui sont contre (?).
Sinon DAnxe tu trouveras dans la rubrique http://www.eugenol.com/sujets/392618-cerec-cote-pratique-et-technique?page=17#post_611974
de multiples exemples du cas cerec dans laquelle tu pourras t'exprimer. ^^
16/03/2012 à 11h58
pouruoi tant de haine
L'adaptation d'une cournne cerec c'est ce que vous voyez sur la radio
les facettes çà marche très bien
ce mode de travail est très valorisant même si je ne me prend par pour dieu
les patients adhére totalement au procédé pour les cas "compliqués" je peux faire deux faisages avec deux nuances différentes
je ne vous parlerais de mon BNC, on ne parle pas d'argent à table mais c'est un bonheur de travailler
j'ai concience d'être dans une zone privilègié mais certain confrère qui m'en ont appris sur le cerec travail dans des petits villages et s'éclates
16/03/2012 à 12h07
jumpingjackflash écrivait:
--------------------------
> pouruoi tant de haine
> L'adaptation d'une cournne cerec c'est ce que vous voyez sur la radio
> les facettes çà marche très bien
> ce mode de travail est très valorisant même si je ne me prend par pour dieu
> les patients adhére totalement au procédé pour les cas "compliqués" je peux
> faire deux faisages avec deux nuances différentes
> je ne vous parlerais de mon BNC, on ne parle pas d'argent à table mais c'est un
> bonheur de travailler
> j'ai concience d'être dans une zone privilègié mais certain confrère qui m'en
> ont appris sur le cerec travail dans des petits villages et s'éclates
Précisément: le cerec comme tout autre outil n'a de valeur que selon l'usage qu'on en fait, par ici (au far ouest), il y a de plus en plus de cerecistes (satisfaits) et pourtant la moitié d'entre eux se trouve dans des localités de moins de 6000 habitants. Aucun rapport en effet ^^
16/03/2012 à 12h12
dentistevip écrivait:
---------------------
> simulation financière fausse car pleine d'omissions. Et le résultat est d'un
> médiocre, il n'y a qu'à regarder la merveilleuse adaptation de l'intrados sur le
> dernier cliché radiologique de votre présentation.
>
> Des protos veulent devenir denturos pour jouer aux dentistes, je vois qu'il y a
> les mêmes frustrés dans notre corporation.
> Il n'y a pas plus rentable que de faire votre métier et de déléguer le reste à
> un prothésiste compétent, mais libre à vous de perdre du temps et de l'argent.
>
> Confraternellement
>
> Paul-Henry
Paul-Henry: il est certain qu'avec un pseudo pareil tu dois être un caïd. Comment dire à un confrère qui ose présenter son travail et les imperfections inhérentes que "c'est d'un médiocre" ? Autant je suis plutôt solidaire avec des confrères de la même faculté que moi mais là...c'est un peu court jeune homme !
16/03/2012 à 12h41
danxe écrivait:
je n'ai aucune Frustration l'exemple présenté s'adresse à ceux qui veulent travailler différemment, gagner correctement leur vie.
> ben oui faut prendre des risques dans la vie et pas attendre les subsides de la Sécu.
j'ai aussi l'impression de prendre des risques dans la vie et pas attendre les subsides de la Sécu, je n'ai rien contre la CFAO, mais j'ai fait le choix d'avoir un labo de prothèse sur place, (2 prothésistes) et mes céramo-cérams, sont posées finies, après polissage et glaçage.
Un jour peut être quand les systèmes seront ouverts j'investirai pour le labo dans du cad cam.
Je trouvai aussi que l'adaptation de ta cerec su implant était très moyenne, perso je ne pose pas ça sur implant, pour une raison simple les excès de colle ou de ciment sont souvent responsable de problème.
Faire le boulot des autres oui, mais au minimum au même niveau, sinon c'est sans intérêt.
Tout ceci sans agressivité, ce n'est pas le but, nonol c'est fait pour élever le niveau.
--
xbk
"Si tous ceux qui croient avoir raison n'avaient pas tort, la vérité ne serait pas loin" Dac Pierre
16/03/2012 à 12h50
pxav écrivait:
--------------
> danxe écrivait:
> je n'ai aucune Frustration l'exemple présenté s'adresse à ceux qui veulent
> travailler différemment, gagner correctement leur vie.
>
> > ben oui faut prendre des risques dans la vie et pas attendre les subsides de
> la Sécu.
>
> j'ai aussi l'impression de prendre des risques dans la vie et pas attendre les
> subsides de la Sécu, je n'ai rien contre la CFAO, mais j'ai fait le choix
> d'avoir un labo de prothèse sur place, (2 prothésistes) et mes céramo-cérams,
> sont posées finies, après polissage et glaçage.
> Un jour peut être quand les systèmes seront ouverts j'investirai pour le labo
> dans du cad cam.
>
> Je trouvai aussi que l'adaptation de ta cerec su implant était très moyenne,
> perso je ne pose pas ça sur implant, pour une raison simple les excès de colle
> ou de ciment sont souvent responsable de problème.
> Faire le boulot des autres oui, mais au minimum au même niveau, sinon c'est sans
> intérêt.
> Tout ceci sans agressivité, ce n'est pas le but, nonol c'est fait pour élever le
> niveau.
> --
> xbk
> "Si tous ceux qui croient avoir raison n'avaient pas tort, la vérité ne
> serait pas loin" Dac Pierre
C'est une chance (ou un choix) d'avoir intégré des prothésistes: bravo.
Ma démarche (comme celle de pas mal de nos confrères) est venue du fait de l'insatisfaction quant au travail présenté par les prothésistes locaux et le prix demandé...le fait de "maitriser" le produit, la conception, la finition et la pose m'a semblé la solution la moins...prise de tête.
Tous avons conscience que nous ne volons pas le travail des prothésistes, car ce n'est pas le but car tout n'est pas faisable avec un cerec: par contre intégrer un cerec au sein d'une structure disposant de prothésistes est un plus , je pense.
Qu'en dit Vali? ;)
En plus ça m'a permis de m'ouvrir sur des propositions de traitement que je ne faisais pas jusqu'à présent.
Bonus, cela permet de proposer des travaux céramiques "biologiquement" neutres à un coût plus qu'abordable pour les patients, qui en redemandent.
16/03/2012 à 13h19
Qu'en dit Vali? ;)
ben elle dit, assistante dentaire info-prothésiste 10 couronnes par jour minimums avec le cerec mes patrons sont ravis et les patients aussi.
voici mes plateaux pour la journée..GNARF
ça parle tout seul non?
16/03/2012 à 13h51
vali écrivait:
--------------
>
> voici mes plateaux pour la journée..GNARF
>
> ça parle tout seul non?
être content de ce que l'on fait, ne veux pas dire que c'est parfait, par contre je crois que tu as une mini formation pour ça, mais faire des couronnes sur 1/4 d'empreintes (pour économiser?) je me l'interdit depuis que j'exerce, cerec ou pas.
Question quel four utilises tu pour la cuisson?
En dehors de ça tes patrons ne peuvent qu'être content, vu le pognon que tu leurs fait gagner, pour info un prothésiste qui fait 10 cerams/jour c'est 4000€ net par moi dans certains labos, alors fais toi augmenter...
--
xbk
"Si tous ceux qui croient avoir raison n'avaient pas tort, la vérité ne serait pas loin" Dac Pierre
16/03/2012 à 15h16
pourquoi tant de haine
je travaille quotidiennement avec le cerec et çà marche c'est un vraie plaisir le radio de notre consoeur l'implant n'est pas terrible mais cela se retravaille facilement et on peut friser la perfection sans se prendre pour dieu le père(radio jointe)
Moi je fais des pick-up pour les implants je les fait tôt et j'ai toute la fin de cicatrisation pour faire mes couronnes tranquillement
Pour ce qui est des facette il n'y a rien de mieux, avant le cerec je ne voulait plus en faire
on a une luminosité extra et les maquillages sont minimes
Les couronnes direct sans tenon avec une masse esthétique de 4à5 mm
Pour ce qui est de la rentabilité je ne me plaint pas mais combien d'entre nous se pose la question de la rentabilité d'une BMW c'est pareil juste du plaisir, celui du travail bien fait et du service rendu au patient
Du plus si le résultat ne me va pas cela me prend 15mm pour refaire, tout est dent la machine
16/03/2012 à 15h23
Je suis loin de dire que c'est parfait ;-) mais je ne désespère pas et je continus de me former j'essaye de faire une formation tous les deux mois, soit chez des dentistes qui utilisent le cerec depuis longtemps soit chez ivoclare, sirona ou la sop.
Pour les empreintes, je fais avec ce que l'on me donne ( ils font une clé à l'impregum et après je gère).
pour la cuisson j'utilise le programat cs qui me permet de cuire des emax.
je te remercie pour ton attention mais ne t'inquiète pas mon salaire est plus que correct et nombreux sont mes avantages ; -D
pxav écrivait:
--------------
> vali écrivait:
> --------------
> >
> > voici mes plateaux pour la journée..GNARF
> >
> > ça parle tout seul non?
>
> être content de ce que l'on fait, ne veux pas dire que c'est parfait, par contre
> je crois que tu as une mini formation pour ça, mais faire des couronnes sur 1/4
> d'empreintes (pour économiser?) je me l'interdit depuis que j'exerce, cerec ou
> pas.
> Question quel four utilises tu pour la cuisson?
> En dehors de ça tes patrons ne peuvent qu'être content, vu le pognon que tu
> leurs fait gagner, pour info un prothésiste qui fait 10 cerams/jour c'est 4000€
> net par moi dans certains labos, alors fais toi augmenter...
> --
> xbk
> "Si tous ceux qui croient avoir raison n'avaient pas tort, la vérité ne
> serait pas loin" Dac Pierre
16/03/2012 à 15h27
malheureusement je ne peux pas c'est au cas par cas.
Certains sont faits en direct d'autres sur deux voir trois cuissons.
croc1765 écrivait:
------------------
> peux tu preciser ton protocole de maquillage et le tmps necessaire
16/03/2012 à 15h28
> > être content de ce que l'on fait, ne veux pas dire que c'est parfait, par
> contre
> > je crois que tu as une mini formation pour ça, mais faire des couronnes sur
> 1/4
> > d'empreintes (pour économiser?) je me l'interdit depuis que j'exerce, cerec ou
> > pas.
> > Question quel four utilises tu pour la cuisson?
> > En dehors de ça tes patrons ne peuvent qu'être content, vu le pognon que tu
> > leurs fait gagner, pour info un prothésiste qui fait 10 cerams/jour c'est
> 4000€
> > net par moi dans certains labos, alors fais toi augmenter...
> > --
> > xbk
> > "Si tous ceux qui croient avoir raison n'avaient pas tort, la vérité ne
> > serait pas loin" Dac Pierre
C'est marrant Vali, ce sont toujours les mêmes arguments de la part des confrères, qui reviennent sur le tapis...drôle non?
16/03/2012 à 15h52
ben oui hebken, la nouveauté ça fait peur et ça chamboule tous les clichés. ça demande de se remettre en question dans son travail et aussi de se former.
Pour certain qui croit être au top et ne plus rien avoir à apprendre c'est énervant de devoir constater que l'on ne sait pas tout dans son domaine et que d'autres utilisent d'autre moyen en faisant la même qualité voir mieux. c'est juste un technique que l'on croyait connaitre mais que l'on ne voyait que sous un certain angle le cerec amène une autre vision des choses.
16/03/2012 à 16h14
danxe écrivait:
---------------
> Cout de L'implant : moins de 100€
> Pilier usiné par mes soins: Moins de 40 €
> Coiffe cerec : Moins de 20€
> Facturé le tout au Patient 1800€ (Scanner Pré implantaire compris).....
> Je vous laisse faire les calculs.....meme à 1500€ vous restez gagnant
> honorablement.
> Mon Conseil :Investissez et faites vous aussi jouer la concurrence (implants et
> autres)
C'est pas possible pour écrire des bêtises pareilles tu ne dois pas être dentiste...
Tes implants, tu les poses sans anesthésie avec un dremel dans un garage ?
Ton cerec, tu l'as trouvé dans une poubelle ?
Les calculs de coût réel du cerec ont déjà été faits et refaits, on arrive même en en posant énormément à un coût réel de 200 euros l'élément, c'est plus cher qu'un prothésiste.