Cookie Consent byPrivacyPolicies.comqui a l'experience des 6 mm - Eugenol

qui a l'experience des 6 mm

olivier

17/03/2012 à 11h26

Bonjour j'ai un cas où le 6 mm s'impose (systeme alphabio) est ce que certains de vous l'ont utilisé


Photo pluton1b h9n4ea - Eugenol
pluton

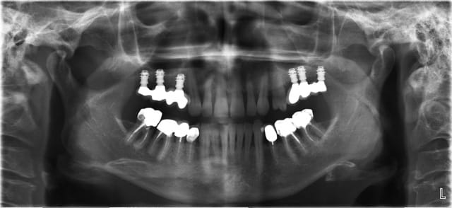
17/03/2012 à 12h10

une petite pano pour qu'on se rende compte?

j'en ai posé quelques uns...mais pas des alphabio, çà marche bien pour l'instant...


Humator t9r5wy - Eugenol
humator

17/03/2012 à 12h29

+1 si la largeure est là.
par contre, alphabio=fournisseur de cet ?*!"!! de centre lowcost d'implanto. A boycoter!

--
N.Hum


Photo pluton1b h9n4ea - Eugenol
pluton

17/03/2012 à 12h59

humator écrivait:
-----------------
> +1 si la largeure est là.
> par contre, alphabio=fournisseur de cet ?*!"!! de centre lowcost d'implanto. A
> boycoter!
>
> --
> N.Hum

et comme alphabio c'est à Nobel, faut aussi les boycotter...;-)

çà va faire du monde chez ID çà....;-))

du calme humator, ce genre de centre, çà angoisse au départ, et puis ensuite les fidèles reviendront quand ils verrons qu'eux ne gèrent pas les merdes, because course au "tiroir caisse" pour rester rentable...c'est une politique de travail à la chaine , une mécanique fragile dans laquelle il n'y a pas la place au moindre grain de sable..
et là, grand seigneur, tu pourras aligner ton devis sans modération pour reprendre correctement le ttm...;-)

mais bon, je comprends que çà te fasse chier...il y aura sûrement quelques périodes difficiles...où çà affectera peut être un peu ton activité...


bouboule

17/03/2012 à 13h43

qqes uns aussi mais peu de recule. Pour l'instant Ras (par contre c 'est pas alphabio) j'en ai 3 autres sur le feu le mois prochain. c'est vraiment quand j'ai pas le choix parce que c'est vraiment minuscule... (le point positif c'est que ça va vite à poser...)


pointG

17/03/2012 à 16h11

Pouvez vous donner les marques d'implants (à part alphabio...)
utilisées en 6mm et le diametre minimal que vous estimez
indispensable pour l'ostéointégration


Photo pluton1b h9n4ea - Eugenol
pluton

17/03/2012 à 17h47

oui, je peux te donner les marques:
dentium superline en 5/7mm (mais en fait s’enfouit de 5.5mm à 7mm car cette portion de l'implant est le biseau du plateform switching) et leone en 5/6.5mm...(mais par contre je commence tout juste à les utiliser...)


Toriko ucqp9i - Eugenol
Giantcoco

17/03/2012 à 17h51

j'en ai pose pas mal en 4.8*6 de Straumann.
résultats très stables même avec des bridges.


Smile beach jgh0a1 - Eugenol
Céramik

17/03/2012 à 19h25

Giantcoco écrivait:
-------------------
> j'en ai pose pas mal en 4.8*6 de Straumann.
> résultats très stables même avec des bridges.


Tu as des radios SVP ? Si possible à 1-3-5 ans ?
Merci

--
Céramik


3f3boxni50k58rq7e9ce9ddqrxgk - Eugenol
dentiste57

17/03/2012 à 20h37

olivier écrivait:
-----------------
> Bonjour j'ai un cas où le 6 mm s'impose (systeme alphabio) est ce que certains
> de vous l'ont utilisé
je ne peux rien te dire pour alpha bio, mais ayant posé pas mal de 6mm depuis 6 ans, je n'ai jusqu'à présent pas eu de problèmes.
je souhaiterai seulement à ne pas en poser, mais quand ça s'impose...


Avatar ow44t3 - Eugenol
Chicot

17/03/2012 à 22h31


Astra en 4X6, quand la greffe n'est pas envisageable ou refusée.

Mais si on perd 1 à 2 mm la première année puis 0,2 tout les ans au bout de 10 ans il reste...... Pas bcp !

--
;O)


Grueavatar nptrc9 - Eugenol
Le Choixpeau magique

17/03/2012 à 23h09

Allez voir sur dentaltown les posts de bill schaeffer, c'est un implanto exclusif anglais dont l'implant de base est le 8mm Ankylos. Il a une grosse expérience des bicon en 6 et 5 mm, il obtient souvent des "repousse" d'os au dessus de l'implant qui sont impressionnantes.


olivier

19/03/2012 à 13h45

Pour Pluton

voici le cas extraction en décembre 2011 ce qui me pose problème c'est le 2eme implant le 8 mm passe mais le col ne serait pas enfoui , ne vaut il donc pas mieux plus enfouir un 6 mm d'où ma question.


L'os dans le 2 eme site est type 4 et type 3 vers le fond et avec le 8 mm je me retrouve dans la corticale linguale

Lev1 rgwtwp - Eugenol
Lev2 bkrczq - Eugenol
Levscan1 geqrxe - Eugenol
Levscan2 awlqdl - Eugenol

pointG

19/03/2012 à 14h26

J'ai eu quelques cas similaires ou l'implant zimmer en 8mm
peut etre interessant , puisque le col lisse mesure 1mm
donc on enfouit à 7mm et 1mm de col lisse non enfoui
Le 6mm est un implant qui n'est pas encore validé
scientifiquement,mais qui est certainement interessant
pour les cas limites


Logo m4n3gc - Eugenol
drmarcus

19/03/2012 à 15h48

Mes premiers implants courts: Que des implants courts! Pas assez de recul (2 ans) de plus on voit que celui en 27 n'a pas été enfoui j'ai laissé le col dépassé ( voulait pas qui parte dans le trou trou).
A toi de voir si ça t'aide. Ok je n'avais pas de contrainte d'axe prothétique (grace au système)mais bon ça renseigne un peu.

--
"La vis est à l'implant ce que la carie est à la dent!" (Pozzi)

Implant court d7htxi - Eugenol

olivier

19/03/2012 à 15h52

Quelle taille ??? Dans mon etude on peut placer un 10*4.2 mm en avant et un 6*5 mm en arriere le tout lié....Vous en pensez quoi?


Toriko ucqp9i - Eugenol
Giantcoco

19/03/2012 à 17h14

Céramik écrivait:
-----------------
> Giantcoco écrivait:
> -------------------
> > j'en ai pose pas mal en 4.8*6 de Straumann.
> > résultats très stables même avec des bridges.
>
>
> Tu as des radios SVP ? Si possible à 1-3-5 ans ?
> Merci
>
> --
> Céramik

oulala ça va pas être facile le scan est en rade et numériser les vieilles retro argentique pas facile mais je vais essayer
ce que je peux dire c'est que ce sont des cas ou la radio jour de la pose et après sont superposable.
pas de cratérisation est ce du à la biomécanique de l'implant qui envoie un max de force dans les 2 premiers millimètres ou le fait qu'un implant court ne gène pas l'os dans ses micro mouvements?


Photo pluton1b h9n4ea - Eugenol
pluton

19/03/2012 à 17h51

olivier écrivait:
-----------------
> Pour Pluton
>
> voici le cas extraction en décembre 2011 ce qui me pose problème c'est le 2eme
> implant le 8 mm passe mais le col ne serait pas enfoui , ne vaut il donc pas
> mieux plus enfouir un 6 mm d'où ma question.
>
>
> L'os dans le 2 eme site est type 4 et type 3 vers le fond et avec le 8 mm je me
> retrouve dans la corticale linguale
>

une petite pano pour une vue d'ensemble?
parce que j'ai l'impression qu'il y a une concavité...donc çà peut être l'indication d'implants pas totalement enfouis + rog pour retrouver une crête sympa...

sinon le deuxième site, moi, me paraît louche...c'est pas du D4, j'aurais plutôt tendance à dire que c'est du tissu de granulation...( et peut être bien un petit morceau de racine...c'est pas très net...)


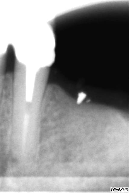
olivier

19/03/2012 à 18h49

une racine le morceau en distal e je l'ai enleve avant le scan, la radio date du 21.1 et le scan du 14.3.... je ne pense pas avoir de pano d'ensemble post extractionnel.

Maintenant lors de l'exam clinique il ne m a pas semble voir de tissus bourgeonnant comme on peut le voir lorsqu'il reste du tissu de granulation mais je peux me tromper.

Si c'est du TG quelle conduite à tenir???


Photo pluton1b h9n4ea - Eugenol
pluton

19/03/2012 à 19h10

oui, donc tu es à 8 semaines post extraction pour ton scan...c'est un peu juste pour juger de la densité osseuse, non?
au mieux tu es dans de l'ostéoïde...sinon dans du TG...

le problème: tu es limite en hauteur, et si tu es dans du mou, çà va pas vraiment le faire pour trouver une stab primaire...

perso, je laisserais çà tranquille encore 1 mois ou 2, pano de contrôle et si ok, on plante...


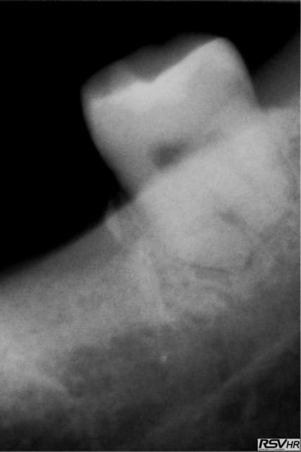
olivier

19/03/2012 à 19h29

et non pas à 8 semaines je l'ai extraite le 19.11.2011 donc c'est plus et je te joins une retro avant l'extraction la dent ne présentais pas de lésion paro enorme donc je ne vois pas pourquoi un TG se serait développé plus facilement.
J'ai du utiliser un fraise zekrya et j'ai mis dans l'aveole des éponges hémostatiques collageniques.

Lev3 a36qqm - Eugenol

Photo pluton1b h9n4ea - Eugenol
pluton

19/03/2012 à 22h45

c'est pas parce que t'as mis des éponges que tu n'as pas eu une petite alvéolite qui a retardé la cicat (chose fréquente quand on utilise une fraise pour faire une alvéolectomie/séparation...)
à 4 mois amha çà devrait être plus dense si tout était normal...


Smile beach jgh0a1 - Eugenol
Céramik

19/03/2012 à 22h51

Giantcoco écrivait:
-------------------
>>
> oulala ça va pas être facile le scan est en rade et numériser les vieilles retro
> argentique pas facile mais je vais essayer


Tu prends une simple photo avec un APN, et hop



> ce que je peux dire c'est que ce sont des cas ou la radio jour de la pose et après sont superposable.
> pas de cratérisation est ce du à la biomécanique de l'implant qui envoie un max
> de force dans les 2 premiers millimètres ou le fait qu'un implant court ne gène pas l'os dans ses micro mouvements?


C'est quoi comme implants ?

Place nous au moins 1 cas...
Merci



--
Céramik


olivier

20/03/2012 à 09h19

pluton écrivait:
----------------
> c'est pas parce que t'as mis des éponges que tu n'as pas eu une petite alvéolite
> qui a retardé la cicat (chose fréquente quand on utilise une fraise pour faire
> une alvéolectomie/séparation...)
> à 4 mois amha çà devrait être plus dense si tout était normal...

A mon avis aussi et maintenant quelles solutions mis à part un implant court ou une greffe qui a des chance de rater (les 2 que j'ai fais faire n'ont pas pris) et les exclusifs sur Marseille (qui font partie des pointures nationales) préfèrent de leur avis des implants court (7mm chez Nobel) plutôt que des greffes.
T'as une idée Pluton?


Humator t9r5wy - Eugenol
humator

20/03/2012 à 09h57

a mon avis, sur la 2eme zone d'implant, t'es dans de la soupe! tu vas au casse-pipe si tu plantes...(j'ai déjà eu ce genre d'image et conclusion...)
la lacune semble bien délimitée par des parois, donc tu peux tenter: ouverture curetage et comblement.
regardes sur la pano de ma mésaventure, c'est ce que j'ai fais dans le même secteur...
http://www.eugenol.com/sujets/396183-complication-du-matin

--
N.Hum


12