Cookie Consent byPrivacyPolicies.comremonter les marges sous gingivales en compo - Eugenol

remonter les marges sous gingivales en compo

maz

17/03/2012 à 16h49

Je voulais partager une technique pour obturer des cavités sous gingivales.
L’idée générale est qu’être au dessus ou en dessous de la gencive n’a pas une grande importance, ce qui compte c’est surtout de savoir si on peut isoler la dent dans de bonnes conditions ou pas.
Ensuite dans les facteurs qui rentrent en jeu :
Présence d’émail ou pas
Hygiène et risque carieux du patient
distance biologique à l'os

Pour l’émail, je pense qu’on colle suffisamment bien même à la dentine, avec un collage bien mené avec un MR3 pour que ça ne pose pas de soucis à long terme si il y a une bonne hygiène

Pour l’hygiène et le risque carieux, je pense que ces choses là ne sont possibles qu’avec une hygiène maitrisée et un risque carieux faible.

Pour l'espace biologique, j'ai tendance à penser, que si on a un bon collage fait avec une bonne isolation, l'espace biologique importe peu, dans le sens ou si j'ai bien collé je vais pas aller faire une élongation coronaire parce que je suis 1 mm trop près de l'os (attention, avis personnel après avoir entendu quelques discours sur le sujet, mais avis personnel quand même). Je fais une élongation pour pouvoir placer une matrice et un champ opératoire, pas pour gagner 1 mm de distance avec l'os.

L’idée est de matricer la dent, et pour ça d’utiliser une matrice banane (greater curve), souvent découpée à moitié largeur pour pouvoir rester sous la ligne de plus grand contour de la dent et bien glisser en sous gingival en serrant la matrice autour de la dent.
On a ici la limite de cette technique : une concavité radiculaire.

Ensuite il faut renettoyer bien la marge (insert US avec un coté lisse contre la matrice idéalement, ou un coup d’air abrasion dans mon cas)

Puis on colle, classiquement, et on met du compo pour remonter la marge en situation supra gingivale.

Je passe ensuite des strips à polir de granulométrie décroissante pour que ce soit nickel. (je suppose que si on a passé les inserts US pour renettoyer la limite, la matrice n’est pas dépolie par l’air abrasion et du coup il suffit d’enlever les excès avec une lame de bistouri)

Il y a plus qu’à préparer pour un inlay/onlay, ou à remettre une matrice et un coin classique pour finir le compo

Voici l’exemple d’un cas fait comme ça hier, un cas un peu limite puisque j’ai presque pu passer avec une matrice et un coin classique, mais je n’arrivais pas à bien sertir la marge pour être étanche. On peut rattraper des trucs plus sous gingivaux que ça avec ces matrices bananes.

commentaires et critiques (constructives) bienvenues :)

Matrice banane 2 odcqmi - Eugenol
2 d pose compo aruiuv - Eugenol
4 isolation sous gencive z6vyol - Eugenol
Matrice banane 3 vghk2w - Eugenol
Pr  op 1 copy i9xxjl - Eugenol
3 nettoyage cavit s yqlvgx - Eugenol
6 compo finit b8yg9j - Eugenol
Post op 1 copy a3l6hs - Eugenol
Matrice banane 1 u7nw5s - Eugenol
1 d pose amalgame crerjc - Eugenol
5 marges remont es ds40ss - Eugenol

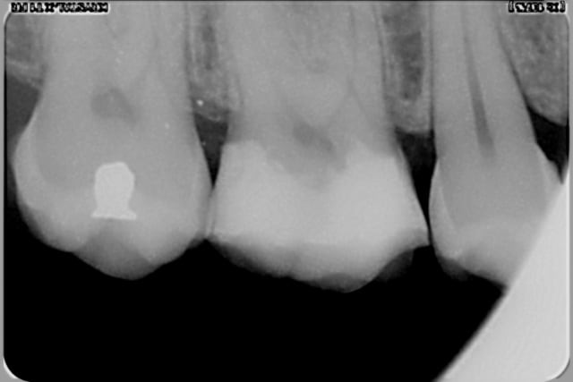
maz

17/03/2012 à 16h55

et deux exemples en radios de cas similaires, un peu plus sous gingivaux d'ailleurs

Post op 2 copy js6kde - Eugenol
Pr  op 3 copy pifnpq - Eugenol
Pr  op 2 copy ydqcpc - Eugenol
Post op 3 copy yxqhog - Eugenol

Avatar hjdsnm - Eugenol
TiGabi

17/03/2012 à 18h31

Sujet intéressant et belle iconographie : merci Maz.


Utilisateur banni

17/03/2012 à 19h04

Bonjour
J'emploie les matrices plastiques éventuellement taillées, si trop profond bague métal, pour le PC je maintiens en compression au fouloir quelques instant lors de la polymérisation. L'étanchéité est faite avec un ou plusieurs coin de bois. Pour le travail sous gingival je suis régulièrement sous les 2mm, une technique pour compenser le flot salivaire, construire en excès depuis l'intérieur vers la surface, cela chasse la salive et permet d'avoir une cavité durcie malgré la salive(excepté bien sur la zone en contact avec la salive mais qui est un excès). Les ajustages sont longs mais on peut tirer du tout à fait correct.
En cas de trop grand délabrement des jonctions entre face proximales et vestibulaire et difficultés pour obtenir un bon point de contact(PC), je refait une boîte dans le compo et redonne un contact, je sais que l'adhérence compo compo c'est pas ça mais c'est pas pire que de mettre un amalgame, il faut juste préparer sa boîte comme pour un amalgame.


Utilisateur banni

17/03/2012 à 19h08

Maz pour un travail plus confortable assure toi au préalable d'avoir retiré le tartre sulculaire et radiculaire car j'en vois sur tes clichés et une gencive inflammatoire donne quasi systématiquement un saignement lors d'un soin d'où emmerdes.


Nouveau image bitmap fz77zh - Eugenol
Sethef

17/03/2012 à 19h20

Pour tous mes compos proximaux, j'utilise les matrices unitaires préformées de Bisico. Si la cavité est largement sous-gingivale, certaines de ces matrices ont une petite extension (mais en règle générale, les matrices standards sont tout à fait suffisantes).
Matrice + coin + éventuellement anneau, on arrive à sertir très bas...

Je ne connaissais pas ces matrices "bananes" par contre, à tester...

Merci, c'est par ce genre de post que je suis venu à Eugénol, apprendre les petits trucs qui nous rendent plus efficaces dans notre job.


@+ Sethef


Smile beach jgh0a1 - Eugenol
Céramik

17/03/2012 à 19h23

Joli.
Au microscope, ces cas sont simples !
J'ai par contre jamais tester ces matrices, je vais commander.
T'as pas oublier un truc au distal de la 5 ? Sur la radio on dirait une carie...

--
Céramik


maz

17/03/2012 à 19h53

Céramik écrivait:
-----------------
> Joli.
> Au microscope, ces cas sont simples !
> J'ai par contre jamais tester ces matrices, je vais commander.
> T'as pas oublier un truc au distal de la 5 ? Sur la radio on dirait une carie...
>
> --
> Céramik

je sais, c'est pour ça que j'ai refait le composite mésial sur la 6, vérifier si il y avait ou pas une carie distale sur la 5


DLLB

17/03/2012 à 20h06

Avec les matrices metafix dee chez kerr + les coins et anneaux de chez wam c'est pas mal.
Ensuite polissage avec un CA Profin.


aldo74

17/03/2012 à 20h22

que pensez-vous du fait de placer quelques dixiemes de mm de compo fluide au niveau de la jonction dent-matrice?


maz

17/03/2012 à 20h48

aldo74 écrivait:
----------------
> que pensez-vous du fait de placer quelques dixiemes de mm de compo fluide au
> niveau de la jonction dent-matrice?

pourquoi pas, je pense que ça marche bien aussi.

dans mon cas l'adhésif est l'optibond FL, déjà très chargé
et le compo est chauffé, donc plus fuide, et je l'applique très consciencieusement sur la limite
je garde donc les meilleures propriétés de mon compo


aldo74

17/03/2012 à 21h25

OK


Bebe 038 nf8eum - Eugenol
danteyeah

17/03/2012 à 21h31

aldo, boit un vere d'eau pour faire passer ton OK.
Merci maz pour ton post, je ne suis pas contre une petite référence pour les matrices. Merci.


Marque a3 orange fyvhyq - Eugenol
Marc Apap

17/03/2012 à 22h13

J'avoue ne pas avoir bien compris l'intérêt de toute cette cuisine. Les matrices banane sur le tofflemire, quel avantage par rapport aux autres? La conicité ? comme on peut le voir, elles sont plates et donc, la face proximale n'est pas du tout galbée. Quant à assurer l'adaptation dans la concavité de la zone cervicale, c'est vrai que c'est souvent un casse tête. Les wave wedges sont plutôt bien mais il faut en mettre parfois plusieurs, ou même des coins en bois Hawe d'une manière particulière pour justement bien plaquer la matrice dans le creux.
Depuis que j'ai découvert les Metafix de Kerr, je trouve leur galbe et leur facilité de mise en place largement supérieurs à tous les autres systèmes.


Grueavatar nptrc9 - Eugenol
Le Choixpeau magique

17/03/2012 à 22h15

Maz, dans un cas comme tu le montres, j'obtiens une bien meilleure étanchéité avec le wave wedge et une matrice apis qu'avec un greater curve qui a toujours tendance à bailler un millipoil.


Pierre-E

17/03/2012 à 22h17

quel est l'avantage des metafix (c'est donc leur nom ! j'en ai utilisé une fois, pas très convaincu) par rapport aux automatrix ?

Sachant que c'est également utilisé avec coin de bois....

Je does m'y prendre comme une buse, les points de contacts en combo en postérieur, heu......... on va dire que je les réussit mieux avec l'amalgame....


maz

17/03/2012 à 22h30

Marc Apap écrivait:
-------------------
> J'avoue ne pas avoir bien compris l'intérêt de toute cette cuisine. Les matrices
> banane sur le tofflemire, quel avantage par rapport aux autres? La conicité ?
> comme on peut le voir, elles sont plates et donc, la face proximale n'est pas du
> tout galbée. Quant à assurer l'adaptation dans la concavité de la zone
> cervicale, c'est vrai que c'est souvent un casse tête. Les wave wedges sont
> plutôt bien mais il faut en mettre parfois plusieurs, ou même des coins en bois
> Hawe d'une manière particulière pour justement bien plaquer la matrice dans le
> creux.
> Depuis que j'ai découvert les Metafix de Kerr, je trouve leur galbe et leur
> facilité de mise en place largement supérieurs à tous les autres systèmes.

l'idée c'est d'aller plus loin sous la gencive qu'on ne peut le faire avec les matrices classiques, avec coin et anneau ou autres, et d'éviter les élongations coronaires.

le cas montré n'était pas le plus compliqué, c'est vrai, mais ceux des radios, c'était vraiment très sous-gingival, impossible pour moi à rendre étanche avec une matrice/coin/anneau (j'en ai plusieurs marques au cabinet pour varier les plaisirs)

l'intérêt de la matrice banane est que repliée dans le porte matrice (cf troisième photo) elle est plus serrée d'un coté que de l'autre, et du coup, si on est sous la ligne de plus grand contour de la dent (d'ou l'intérêt de la découper en deux) on peut en serrant descendre loin sous la gencive et bien sertir en cervical

le but n'est pas de reconstituer toute la dent, c'est de remonter la marge et ensuite de faire un compo ou un inlay/onlay de façon classique


maz

17/03/2012 à 22h31

danteyeah écrivait:
-------------------
> aldo, boit un vere d'eau pour faire passer ton OK.
> Merci maz pour ton post, je ne suis pas contre une petite référence pour les
> matrices. Merci.

http://www.greatercurve.com/


Marque a3 orange fyvhyq - Eugenol
Marc Apap

17/03/2012 à 22h36

Le Automatrix ne sont pas galbées et nécessite un dispositif de mise en place, et parfois une pince pour découper la petite pièce qui les maintient serrées. Si c'est avec ça que tu fais tes compo, il ne faut pas t'étonner de rater les points de contact.
Les Metafix se serrent avec les doigts, sont galbées, et très fines.


maz

17/03/2012 à 22h37

Le Choixpeau magique écrivait:
------------------------------
> Maz, dans un cas comme tu le montres, j'obtiens une bien meilleure étanchéité
> avec le wave wedge et une matrice apis qu'avec un greater curve qui a toujours
> tendance à bailler un millipoil.

je sais pas comment tu fais, j'ai l'impression inverse, de justement passer bien mieux avec cette méthode (que je réserve aux cas vraiment bien sous gingivaux, vu la perte de temps de cette étape de plus) qu'avec le reste ou je suis jamais satisfait


maz

17/03/2012 à 22h41

Marc Apap écrivait:
-------------------
> Le Automatrix ne sont pas galbées et nécessite un dispositif de mise en place,
> et parfois une pince pour découper la petite pièce qui les maintient serrées. Si
> c'est avec ça que tu fais tes compo, il ne faut pas t'étonner de rater les
> points de contact.
> Les Metafix se serrent avec les doigts, sont galbées, et très fines.

heu, je n'ai aucun problème de points de contact Marc, et je n'ai pas utilisé les automatrix depuis 5 ans !

je devrais changer le titre pour "remonter les marges sous gingivales avec du compo"

je fais le reste de la cavité dans un deuxième temps, avec une matrice sectorielle et un coin et un anneau, (c'est là qu'on peut aussi utiliser une metafix sans soucis)
ou la plupart du temps je fais un onlay par dessus ma marge en compo.


Marque a3 orange fyvhyq - Eugenol
Marc Apap

17/03/2012 à 22h45

Maz, je répondais à Pierre E qui utilise les automatrix. Sinon, comme Choixpeau, je suis à l'aise avec les apis, même si elles sont plus épaisses. En fait, je vous répète que j'ai définitivement adopté les Metafix et je les trouve géniales.


Avatar ow44t3 - Eugenol
Chicot

17/03/2012 à 22h46

Shadow écrivait:
----------------
>, une technique
> pour compenser le flot salivaire, construire en excès depuis l'intérieur vers la
> surface, cela chasse la salive et permet d'avoir une cavité durcie malgré la
> salive(excepté bien sur la zone en contact avec la salive mais qui est un
> excès). Les ajustages sont longs mais on peut tirer du tout à fait correct.
> En cas de trop grand délabrement des jonctions entre face proximales et
> vestibulaire et difficultés pour obtenir un bon point de contact(PC), je refait
> une boîte dans le compo et redonne un contact, je sais que l'adhérence compo
> compo c'est pas ça mais c'est pas pire que de mettre un amalgame, il faut juste
> préparer sa boîte comme pour un amalgame.

Ça a l'air bien empirique et compliqué, si j'ai compris, tu pousses la salive avec le compo ?

Et ensuite tu éliminés le compo contaminé ?


--
;O)


maz

17/03/2012 à 22h59

Marc Apap écrivait:
-------------------
> Maz, je répondais à Pierre E qui utilise les automatrix. Sinon, comme Choixpeau,
> je suis à l'aise avec les apis, même si elles sont plus épaisses. En fait, je
> vous répète que j'ai définitivement adopté les Metafix et je les trouve
> géniales.

oups, j'avais raté le post de Pierre E


malimor33

17/03/2012 à 23h00

Les matrices préformées de Bisico sont un peu épaisses, il est difficile de faire un point de contact efficace en composite avec,idem avec les Apis. J' aime bien les Palodent dentsply qui sont très fines, avec les coins plastique Bisico et les anneaux de maintien palodent qui écartent bien les dents , ça fait des points de contact assez bons.


12