Cookie Consent byPrivacyPolicies.comComment desceller ce bridge ? - Eugenol

Comment desceller ce bridge ?

dentiste20°

19/03/2012 à 14h39

Bonjour à tous. Le bridge de cette patiente repose sur 13 et 15. IL est descellé avec une reprise de carie sur 13. J'ai programmé de le déposer. L'idéal serait de fraiser sur le pilier de 15. Pour des raisons économiques, je vais tenter de le déposer puis de le resceller. J'ai informé la patiente du risque de fracture de la 15 et d'éclats de céramique.

Comment est ce que vous feriez pour déposer le bridge ?

Merci d'avance pour vos conseils.

Bonne journée, bon courage.

13 13 3 2012 m0bxdv - Eugenol
15 13 3 2012 ijvif4 - Eugenol

Logo m4n3gc - Eugenol
drmarcus

19/03/2012 à 14h44

Perso ça ne sert à rien: il n'y aura plus d'ajustage au niveau du collet de 13 (même avec un fm en direct) donc provisoire et refaire un bridge adapté.
Désolé! Sinon laisser en l'état; en immédiat c'est encore plus économique!

--
"La vis est à l'implant ce que la carie est à la dent!" (Pozzi)


Smile beach jgh0a1 - Eugenol
Céramik

19/03/2012 à 15h15

Tu as plein de carie sur la 12/13 et 15.
Vouloir resceller la dessus, impossible sans faire un bricolage aproximatif.

Tu déposes le tout en taillant et tu refais.
Le reste est OK, j'ai des doutes...

--
Céramik


rvb

19/03/2012 à 15h29

+1
abstention ou réfection totale.


X ray 03 medium zvq18j - Eugenol
cyber_quenottes

19/03/2012 à 15h52

pas se laisser attendrir

mort c'est mort

si c'était ta bouche tu remettrais cette bouze inadaptée en te disant tout ira bien ?

non ?

fais comme pour toi

n'oublies pas qu'on est maintenant à la lisière de l'obligation de résultat...


leplombier

19/03/2012 à 15h56

+1
tout refaire ou ne pas toucher


Humator t9r5wy - Eugenol
humator

19/03/2012 à 16h01

mon conseil sera: abstention ou gros boulot, car apparemment, il n'y a personne derrière cette 15 qui a déjà bien souffert...
il faudrai caler derriere pour pereniser le travail(implant).

Les compromis, on s'en mord souvent les doigts (pour pas dire toujours) et ça ne rend pas forcement service au patient...

--
N.Hum


Bazaruto 2007 ircsez - Eugenol
jumpingjackflash

19/03/2012 à 16h42

Si tu bricole et que ça foire tu perd la canine qui est encore untilisable mais limite
là la patiente, a qui tu a voulu rendre service, va t'en vouloir et elle n'aura pas vraiment tord
dépose tout refait proprement


croc1765

19/03/2012 à 16h57

uniquement pour répondre à ta question de la dépose
je tenterai de desceller en prennant appui en palatin de 15 le tenon ne me parait pas important ,de facon à eviter les eclats vsibles de ceram


Avatar 46 aoi1yc - Eugenol
HononLulu

19/03/2012 à 21h43

Il me semble impossible de te donner un conseil sans avoir au moins une vision globale de la bouche+
Une pano, peut-être ?


Img 3657 cwjvqm - Eugenol
alapex

20/03/2012 à 01h27

dentiste20° écrivait:
---------------------
"Bonjour à tous. Le bridge de cette patiente repose sur 13 et 15. IL est descellé avec une reprise de carie sur 13."


Et une paro de surcharge sur la 5 + le reste autour qui est carié .


"J'ai programmé de le déposer."


Tu as raison , je me demande à quoi ça sert mais poursuivons...


L'idéal serait
> de fraiser sur le pilier de 15. Pour des raisons économiques, je vais tenter de
> le déposer puis de le resceller. J'ai informé la patiente du risque de fracture
> de la 15 et d'éclats de céramique.


Vu la qualité du travail , je suis sûr qu'il n'y a pas de bandeau métallique en palatin , fais attention aux éclats ...)))


>
> Comment est ce que vous feriez pour déposer le bridge ?


Avant je ferais faire une pano et je passerais 1 heure devant le négatoscope avec le patient sur mes genoux pour lui expliquer que le reste est pareil .

>
> Merci d'avance pour vos conseils.
>
> Bonne journée,




"bon courage."

Oui , merci , à toi aussi , contacte au plus tôt ton assurance .


Images nv3xcf - Eugenol
au fond du canal

20/03/2012 à 14h28

Ne touches à rien c'est foutu.
Soit tu refais, mais dans une optique de traitement global, soit tu attends que ça lache. Lepatient ne doit pas faire le plan de traitement.


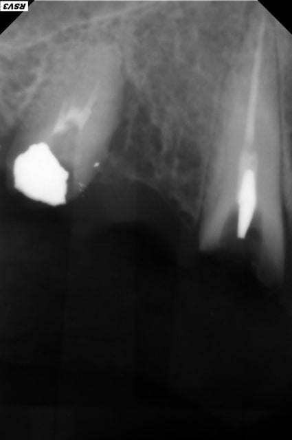
dentiste20°

25/03/2012 à 23h56

Ok j'ai bien lu vos réponses. Je vais revoir ma copie. bonne semaine.


caroncule

28/03/2012 à 17h04

Si j'ai bien compris et que tu souhaites épargner à cette patiente peut être sans trop de sou, un édentement pas terrible. Je te conseille de faire une encoche en palatin de 15 au niveau du collet, d'y glisser une lame rigide type syndesmotome et de faire levier, doucement en alternant avec us et arrache-couronne. ça peut être long mais ça vaut le coup d'essayer. Vu la carie sur 13, je ne pense pas qu'il y ait beaucoup d'accroche de ce côté... refais l'endo et réajuste le bridge au mieux en n'hésitant pas à rebaser pour avoir la meilleure étanchéité. Si tu t'en sors, tu auras un joli bridge provisoire amélioré. Préviens la patiente que ça n'est que du dépannage. Et sois conscient que tu risques d'y passer du temps pour 3 francs 6 sous et des soucis de réalisation...


dentiste20°

29/03/2012 à 12h01

Salut Caroncule.
J'ai bien lu les différents post et j'ai passé du temps avec la patiente à lui expliquer que sans prise en charge globale, je ne pourrais par régler son problème. Je lui ai aussi expliqué que si le bridge n'était pas facilement démontable, je serai obligé de le fraiser pour ne pas risquer de fracture.

Dans les faits le bridges est venu sans aucune difficulté, par contre l'ancrage sur la 13 était un tenon fileté en or, une vraie saleté. Aucun résultat après 30 mn d'ultra son, ni avec la trousse de Gonon. J'ai fini par tirer dessus, dans l'axe de la racine avec une pince hémostatique, il s'est cassé et j'ai dû fraiser pour retirer le dernier fragment ...

La 15 n'est pas conservable.


Ci joint les radios.

A +

13 27 3 2012 apfqe5 - Eugenol